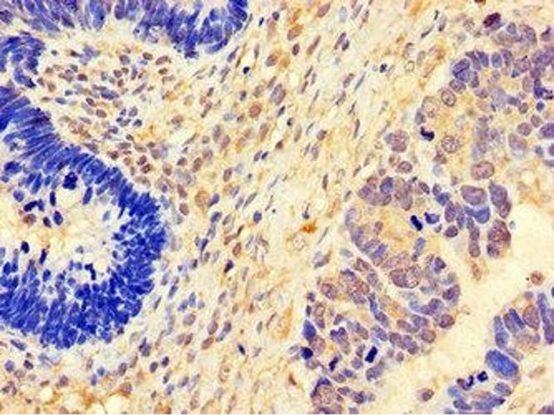
FGF8 anticorps (AA 23-143)
Aperçu rapide pour FGF8 anticorps (AA 23-143) (ABIN7152824)
Antigène
Voir toutes FGF8 AnticorpsReactivité
Hôte
Clonalité
Conjugué
Application
-
-
Épitope
- AA 23-143
-
Fonction
- FGF8 Antibody
-
Purification
- Protein G purified
-
Pureté
- >95 %
-
Immunogène
- Recombinant Human Fibroblast growth factor 8 protein (23-143AA)
-
Isotype
- IgG
-
-
-
-
Indications d'application
- Optimal working dilution should be determined by the investigator.
-
Restrictions
- For Research Use only
-
-
-
Format
- Liquid
-
Buffer
-
Preservative: 0.03 % Proclin 300
Constituents: 50 % Glycerol, 0.01M PBS, PH 7.4 -
Agent conservateur
- ProClin
-
Précaution d'utilisation
- This product contains ProClin: a POISONOUS AND HAZARDOUS SUBSTANCE which should be handled by trained staff only.
-
Stock
- -20 °C,-80 °C
-
Stockage commentaire
- Upon receipt, store at -20°C or -80°C. Avoid repeated freeze.
-
-
- FGF8 (Fibroblast Growth Factor 8 (Androgen-Induced) (FGF8))
-
Autre désignation
- FGF8
-
Sujet
-
Background: Plays an important role in the regulation of embryonic development, cell proliferation, cell differentiation and cell migration. Required for normal brain, eye, ear and limb development during embryogenesis. Required for normal development of the gonadotropin-releasing hormone (GnRH) neuronal system (PubMed:16384934, PubMed:16597617, PubMed:8663044). Plays a role in neurite outgrowth in hippocampal cells (PubMed:21576111).
Aliases: AIGF antibody, Androgen induced growth factor antibody, Androgen-induced growth factor antibody, FGF 8 antibody, FGF-8 antibody, FGF-8b antibody, FGF8 antibody, FGF8_HUMAN antibody, Fibroblast growth factor 8 (androgen induced) antibody, Fibroblast growth factor 8 antibody, Fibroblast growth factor 8 precursor antibody, HBGF 8 antibody, HBGF-8 antibody, HBGF8 antibody, Heparin-binding growth factor 8 antibody, HH6 antibody, KAL6 antibody
-
UniProt
- P55075
-
Pathways
- Signalisation RTK, Fc-epsilon Receptor Signaling Pathway, EGFR Signaling Pathway, Neurotrophin Signaling Pathway, Dopaminergic Neurogenesis
Antigène
-