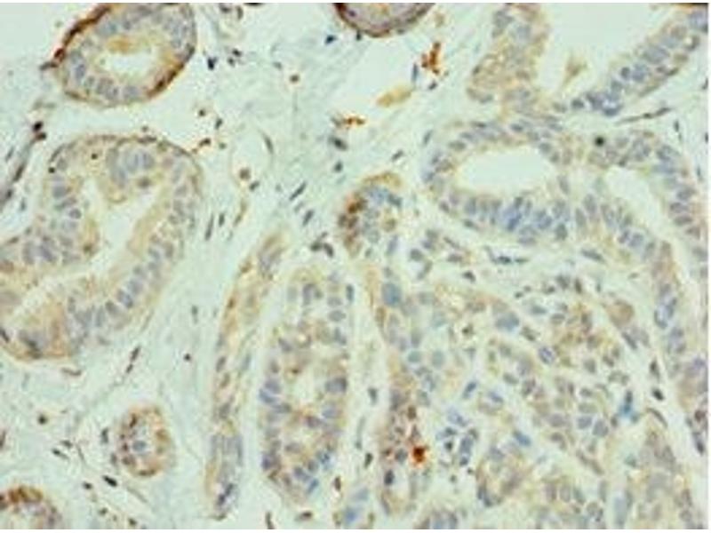
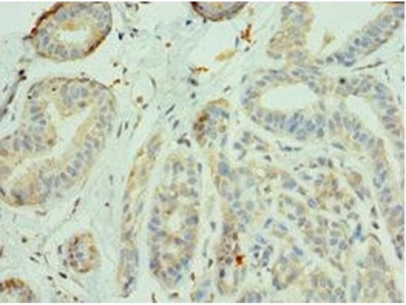
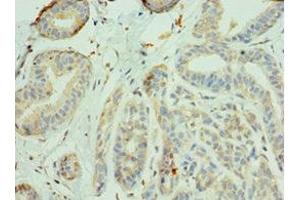
IRS1 anticorps (AA 1-160)
Aperçu rapide pour IRS1 anticorps (AA 1-160) (ABIN7156335)
Antigène
Voir toutes IRS1 AnticorpsReactivité
Hôte
Clonalité
Conjugué
Application
-
-
Épitope
- AA 1-160
-
Fonction
- IRS1 Antibody
-
Purification
- Antigen Affinity Purified
-
Immunogène
- Recombinant Human Insulin receptor substrate 1 protein (1-160AA)
-
Isotype
- IgG
-
-
-
-
Indications d'application
- Optimal working dilution should be determined by the investigator.
-
Restrictions
- For Research Use only
-
-
-
Format
- Liquid
-
Buffer
- PBS with 0.02 % sodium azide, 50 % glycerol, pH 7.3.
-
Agent conservateur
- Sodium azide
-
Précaution d'utilisation
- This product contains Sodium azide: a POISONOUS AND HAZARDOUS SUBSTANCE which should be handled by trained staff only.
-
Stock
- -20 °C,-80 °C
-
Stockage commentaire
- Upon receipt, store at -20°C or -80°C. Avoid repeated freeze.
-
-
- IRS1 (Insulin Receptor Substrate 1 (IRS1))
-
Autre désignation
- IRS1
-
Sujet
-
Background: May mediate the control of various cellular processes by insulin. When phosphorylated by the insulin receptor binds specifically to various cellular proteins containing SH2 domains such as phosphatidylinositol 3-kinase p85 subunit or GRB2. Activates phosphatidylinositol 3-kinase when bound to the regulatory p85 subunit.
Aliases: HIRS 1 antibody, HIRS1 antibody, Insulin receptor substrate 1 antibody, IRS 1 antibody, IRS-1 antibody, IRS1 antibody, IRS1_HUMAN antibody, OTTHUMP00000164234 antibody
-
UniProt
- P35568
-
Pathways
- Fc-epsilon Receptor Signaling Pathway, EGFR Signaling Pathway, Neurotrophin Signaling Pathway, Positive Regulation of Peptide Hormone Secretion, Hormone Transport, Negative Regulation of Hormone Secretion, Response to Growth Hormone Stimulus, Carbohydrate Homeostasis, Regulation of Carbohydrate Metabolic Process
Antigène
-