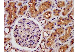
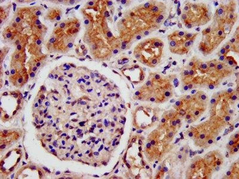
LRP2 anticorps (AA 1211-1369)
Aperçu rapide pour LRP2 anticorps (AA 1211-1369) (ABIN7158567)
Antigène
Voir toutes LRP2 AnticorpsReactivité
Hôte
Clonalité
Conjugué
Application
-
-
Épitope
- AA 1211-1369
-
Fonction
- LRP2 Antibody
-
Purification
- Protein G purified
-
Pureté
- >95 %
-
Immunogène
- Recombinant Human Low-density lipoprotein receptor-related protein 2 protein (1211-1369AA)
-
Isotype
- IgG
-
-
-
-
Indications d'application
- Optimal working dilution should be determined by the investigator.
-
Restrictions
- For Research Use only
-
-
-
Format
- Liquid
-
Buffer
-
Preservative: 0.03 % Proclin 300
Constituents: 50 % Glycerol, 0.01M PBS, pH 7.4 -
Agent conservateur
- ProClin
-
Précaution d'utilisation
- This product contains ProClin: a POISONOUS AND HAZARDOUS SUBSTANCE which should be handled by trained staff only.
-
Stock
- -20 °C,-80 °C
-
Stockage commentaire
- Upon receipt, store at -20°C or -80°C. Avoid repeated freeze.
-
-
- LRP2 (Low Density Lipoprotein Receptor-Related Protein 2 (LRP2))
-
Autre désignation
- LRP2
-
Sujet
-
Background: Acts together with cubilin to mediate HDL endocytosis (By similarity). May participate in regulation of parathyroid-hormone and para-thyroid-hormone-related protein release.
Aliases: Calcium sensor protein antibody, DBS antibody, Glycoprotein 330 antibody, gp330 antibody, Heymann nephritis antigen homolog antibody, Low-density lipoprotein receptor-related protein 2 antibody, LRP-2 antibody, Lrp2 antibody, LRP2_HUMAN antibody, Megalin antibody
-
UniProt
- P98164
-
Pathways
- Metabolism of Steroid Hormones and Vitamin D, Thyroid Hormone Synthesis, Hormone Transport
Antigène
-