LRP2 anticorps (AA 3401-3500)
Aperçu rapide pour LRP2 anticorps (AA 3401-3500) (ABIN750988)
Antigène
Voir toutes LRP2 AnticorpsReactivité
Hôte
Clonalité
Conjugué
Application
-
-
Épitope
- AA 3401-3500
-
Réactivité croisée
- Humain, Souris
-
Homologie
- Rat,Dog,Horse,Chicken,Rabbit
-
Purification
- Purified by Protein A.
-
Immunogène
- KLH conjugated synthetic peptide derived from human Megalin
-
Isotype
- IgG
-
-
-
-
Indications d'application
-
ELISA 1:500-1000
FCM 1:20-100
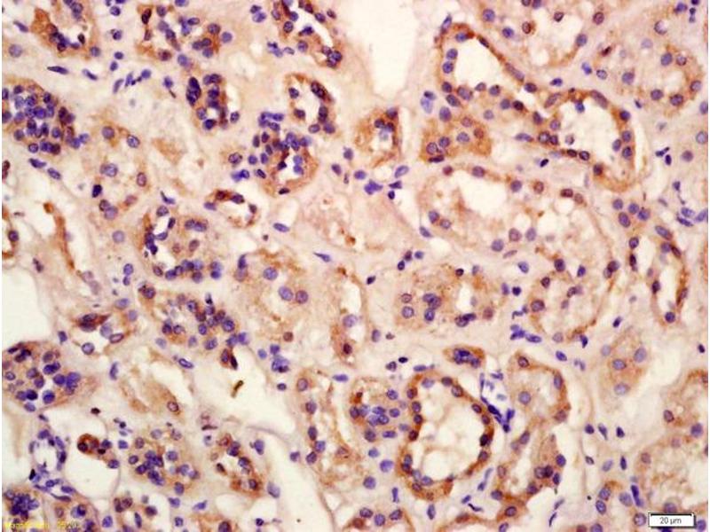
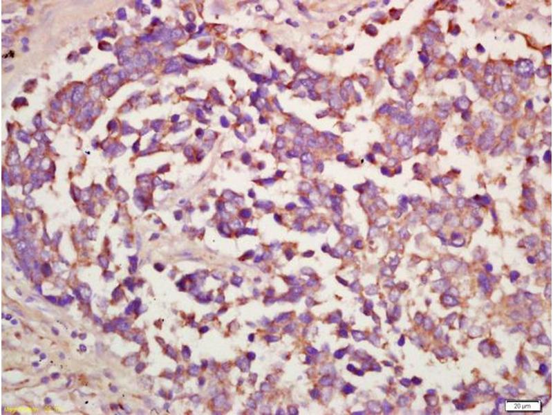
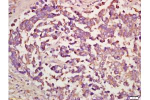
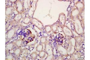
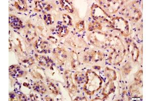
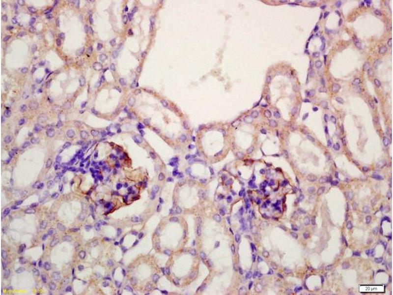
IHC-P 1:200-400
IHC-F 1:100-500
IF(IHC-P) 1:50-200
IF(IHC-F) 1:50-200
IF(ICC) 1:50-200
ICC 1:100-500 -
Restrictions
- For Research Use only
-
-
-
Format
- Liquid
-
Concentration
- 1 μg/μL
-
Buffer
- 0.01M TBS( pH 7.4) with 1 % BSA, 0.02 % Proclin300 and 50 % Glycerol.
-
Agent conservateur
- ProClin
-
Précaution d'utilisation
- This product contains ProClin: a POISONOUS AND HAZARDOUS SUBSTANCE, which should be handled by trained staff only.
-
Stock
- 4 °C,-20 °C
-
Stockage commentaire
- Shipped at 4°C. Store at -20°C for one year. Avoid repeated freeze/thaw cycles.
-
Date de péremption
- 12 months
-
-
-
: "Role of serotonin in the regulation of renal proximal tubular epithelial cells." dans: Renal failure, Vol. 38, Issue 7, pp. 1141-50, (2016) (PubMed).
: "Extracellular vesicles in urine of women with but not without kidney stones manifest patterns similar to men: a case control study." dans: Biology of sex differences, Vol. 6, pp. 2, (2015) (PubMed).
-
-
- LRP2 (Low Density Lipoprotein Receptor-Related Protein 2 (LRP2))
-
Autre désignation
- Lrp2/Megalin
-
Sujet
-
Synonyms: DBS, GP33, Low-density lipoprotein receptor-related protein 2, LRP-2, Glycoprotein 33, Megalin, LRP2
Background: Acts together with cubilin to mediate HDL endocytosis (By similarity). May participate in regulation of parathyroid-hormone and para-thyroid-hormone-related protein release.
-
ID gène
- 4036
-
UniProt
- P98164
-
Pathways
- Metabolism of Steroid Hormones and Vitamin D, Thyroid Hormone Synthesis, Hormone Transport
Antigène
-