Tel:
+49 (0)241 95 163 153
Fax:
+49 (0)241 95 163 155
E-Mail:
orders@anticorps-enligne.fr

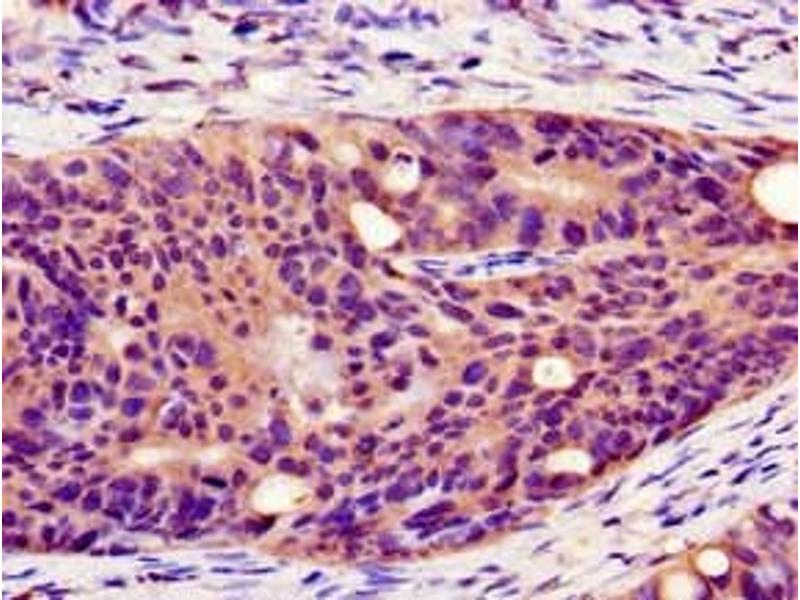
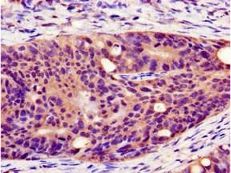
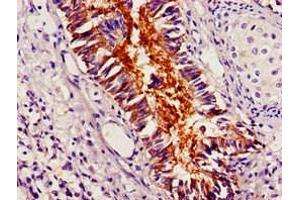
PLIN1 anticorps (AA 411-496)

Cet anticorps Lapin Polyclonal détecte spécifiquement PLIN1 dans ELISA et IHC. Il présente une réactivité avec des échantillons de Humain.
N° du produit ABIN7162886
328,90 €
Plus frais de livraison 40,00 € et TVA
Destination: France
Envoi sous 11 à 15 jours ouvrables

Aperçu rapide pour PLIN1 anticorps (AA 411-496) (ABIN7162886)

Antigène

Voir toutes PLIN1 Anticorps
PLIN1 (Perilipin 1 (PLIN1))

Reactivité

  • 68
  • 63
  • 44
  • 7
  • 4
  • 2
  • 2
  • 2
  • 2
  • 2
  • 1
  • 1
  • 1
Humain

Hôte

  • 77
  • 5
  • 4
  • 2
  • 1
Lapin

Clonalité

  • 64
  • 25
Polyclonal

Conjugué

  • 34
  • 5
  • 4
  • 3
  • 3
  • 3
  • 3
  • 3
  • 3
  • 3
  • 2
  • 2
  • 2
  • 2
  • 2
  • 2
  • 2
  • 2
  • 2
  • 2
  • 2
  • 1
  • 1
  • 1
Cet anticorp PLIN1 est non-conjugé

Application

  • 72
  • 17
  • 16
  • 16
  • 15
  • 13
  • 13
  • 13
  • 4
  • 4
  • 4
ELISA, Immunohistochemistry (IHC)
  • Épitope

    • 16
    • 15
    • 5
    • 5
    • 4
    • 2
    • 2
    • 1
    • 1
    • 1
    • 1
    • 1
    • 1
    • 1
    • 1
    • 1
    • 1
    AA 411-496

    Fonction

    PLIN1 Antibody

    Purification

    Protein G purified

    Pureté

    >95 %

    Immunogène

    Recombinant Human Perilipin-1 protein (411-496AA)

    Isotype

    IgG
  • Indications d'application

    Optimal working dilution should be determined by the investigator.

    Restrictions

    For Research Use only
  • Format

    Liquid

    Buffer

    Preservative: 0.03 % Proclin 300
    Constituents: 50 % Glycerol, 0.01M PBS, pH 7.4

    Agent conservateur

    ProClin

    Précaution d'utilisation

    This product contains ProClin: a POISONOUS AND HAZARDOUS SUBSTANCE which should be handled by trained staff only.

    Stock

    -20 °C,-80 °C

    Stockage commentaire

    Upon receipt, store at -20°C or -80°C. Avoid repeated freeze.
  • Antigène

    PLIN1 (Perilipin 1 (PLIN1))

    Autre désignation

    PLIN1

    Sujet

    Background: Modulator of adipocyte lipid metabolism. Coats lipid storage droplets to protect them from breakdown by hormone-sensitive lipase (HSL). Its absence may result in leanness. Plays a role in unilocular lipid droplet formation by activating CIDEC. Their interaction promotes lipid droplet enlargement and directional net neutral lipid transfer. May modulate lipolysis and triglyceride levels.

    Aliases: Lipid droplet associated protein antibody, Lipid droplet-associated protein antibody, PERI antibody, Perilipin A antibody, Perilipin antibody, Perilipin-1 antibody, PerilipinA antibody, PLIN antibody, PLIN1 antibody, PLIN1_HUMAN antibody

    UniProt

    O60240

    Pathways

    Lipid Metabolism
Vous êtes ici:
Chat with us!