SCO2 anticorps (AA 1-130)
Aperçu rapide pour SCO2 anticorps (AA 1-130) (ABIN7166101)
Antigène
Voir toutes SCO2 AnticorpsReactivité
Hôte
Clonalité
Conjugué
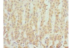
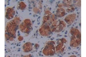
Application
-
-
Épitope
- AA 1-130
-
Fonction
- SCO2 Antibody
-
Purification
- Antigen Affinity Purified
-
Immunogène
- Recombinant Human Protein SCO2 homolog, mitochondrial protein (1-130AA)
-
Isotype
- IgG
-
-
-
-
Indications d'application
- Optimal working dilution should be determined by the investigator.
-
Restrictions
- For Research Use only
-
-
-
Format
- Liquid
-
Buffer
- PBS with 0.02 % sodium azide, 50 % glycerol, pH 7.3.
-
Agent conservateur
- Sodium azide
-
Précaution d'utilisation
- This product contains Sodium azide: a POISONOUS AND HAZARDOUS SUBSTANCE which should be handled by trained staff only.
-
Stock
- -20 °C,-80 °C
-
Stockage commentaire
- Upon receipt, store at -20°C or -80°C. Avoid repeated freeze.
-
-
- SCO2 (SCO2 Cytochrome C Oxidase Assembly Protein (SCO2))
-
Autre désignation
- SCO2
-
Sujet
-
Background: Acts as a copper chaperone, transporting copper to the Cu(A) site on the cytochrome c oxidase subunit II (COX2).
Aliases: Cytochrome oxidase deficient homolog 2 antibody, MGC125823 antibody, MGC125825 antibody, OTTHUMP00000196774 antibody, OTTHUMP00000196775 antibody, Protein SCO2 homolog, mitochondrial antibody, SCO (cytochrome oxidase deficient, yeast) homolog 2 antibody, SCO 1L antibody, SCO 2 antibody, SCO cytochrome oxidase deficient homolog 2 (yeast) antibody, SCO cytochrome oxidase deficient homolog 2 antibody, SCO1L antibody, SCO2 antibody, SCO2_HUMAN antibody, Synthesis of cytochrome c oxidase 2 antibody
-
UniProt
- O43819
-
Pathways
- Transition Metal Ion Homeostasis, L'effet Warburg
Antigène
-