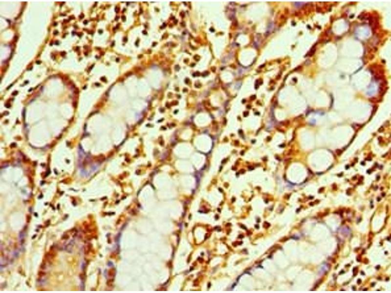
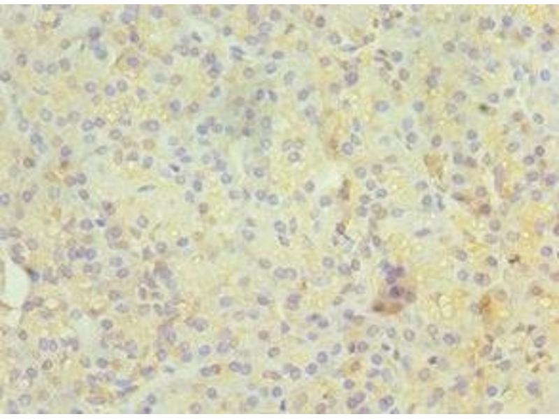
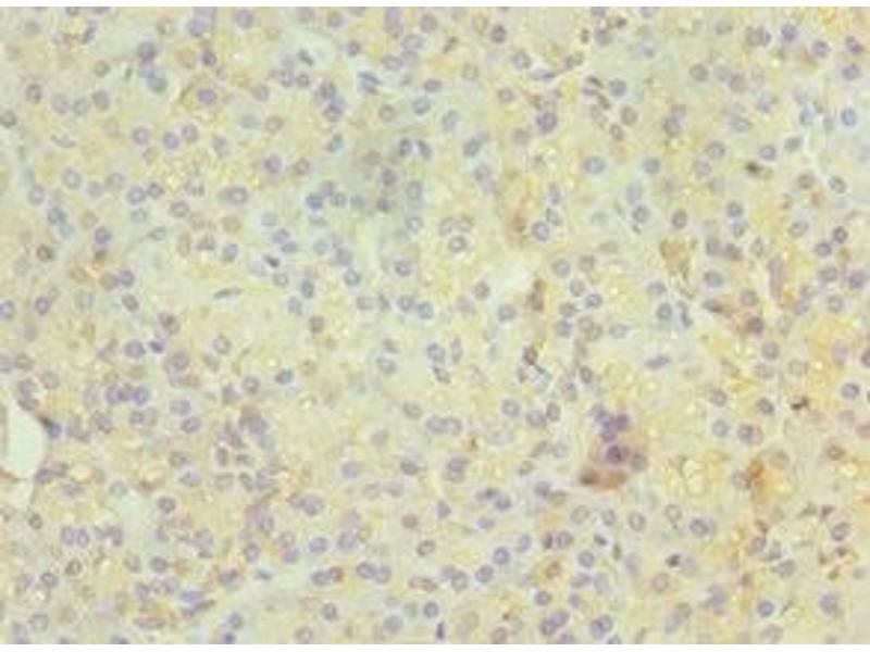
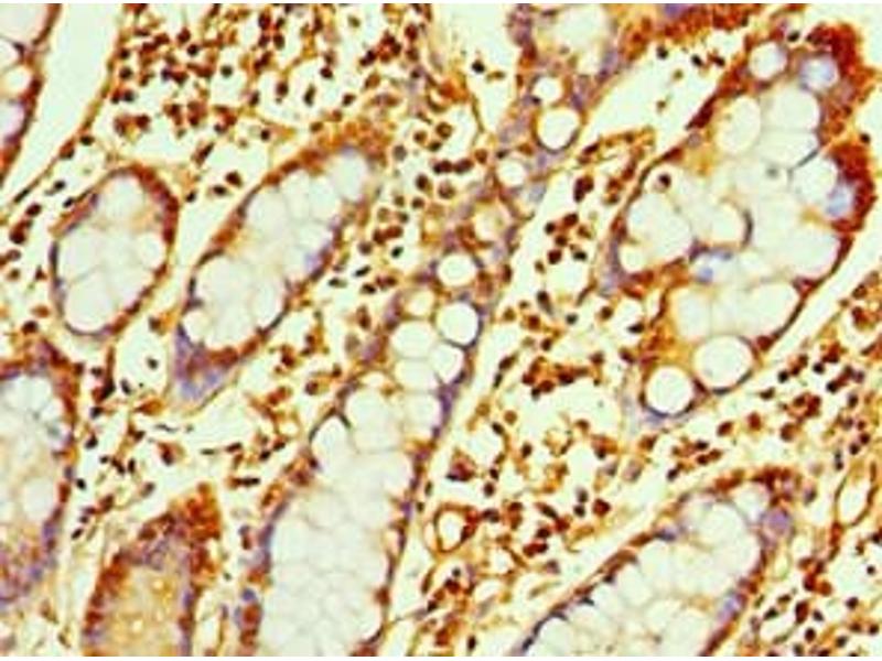
Rab4 anticorps (AA 1-218)
Aperçu rapide pour Rab4 anticorps (AA 1-218) (ABIN7167347)
Antigène
Voir toutes Rab4 (RAB4A) AnticorpsReactivité
Hôte
Clonalité
Conjugué
Application
-
-
Épitope
- AA 1-218
-
Fonction
- RAB4A Antibody
-
Réactivité croisée
- Souris
-
Purification
- Antigen Affinity Purified
-
Immunogène
- Recombinant Human Ras-related protein Rab-4A protein (1-218AA)
-
Isotype
- IgG
-
-
-
-
Indications d'application
- Optimal working dilution should be determined by the investigator.
-
Restrictions
- For Research Use only
-
-
-
Format
- Liquid
-
Buffer
- PBS with 0.02 % sodium azide, 50 % glycerol, pH 7.3.
-
Agent conservateur
- Sodium azide
-
Précaution d'utilisation
- This product contains Sodium azide: a POISONOUS AND HAZARDOUS SUBSTANCE which should be handled by trained staff only.
-
Stock
- -20 °C,-80 °C
-
Stockage commentaire
- Upon receipt, store at -20°C or -80°C. Avoid repeated freeze.
-
-
- Rab4 (RAB4A) (RAB4A, Member RAS Oncogene Family (RAB4A))
-
Autre désignation
- RAB4A
-
Sujet
-
Background: Protein transport. Probably involved in vesicular traffic.
Aliases: HRES 1 / RAB4 antibody, Oncogene RAB4 antibody, Rab 4 antibody, RAB 4A antibody, RAB4 member RAS oncogene family antibody, Rab4a antibody, RAB4A member RAS oncogene family antibody, RAB4A_HUMAN antibody, Ras related protein Rab 4A antibody, Ras related protein Rab4A antibody, Ras-related protein Rab-4A antibody
-
UniProt
- P20338
Antigène
-