Tel:
+49 (0)241 95 163 153
Fax:
+49 (0)241 95 163 155
E-Mail:
orders@anticorps-enligne.fr

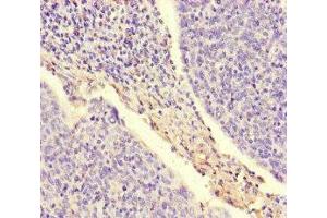
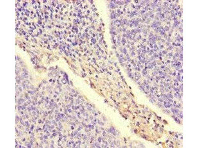
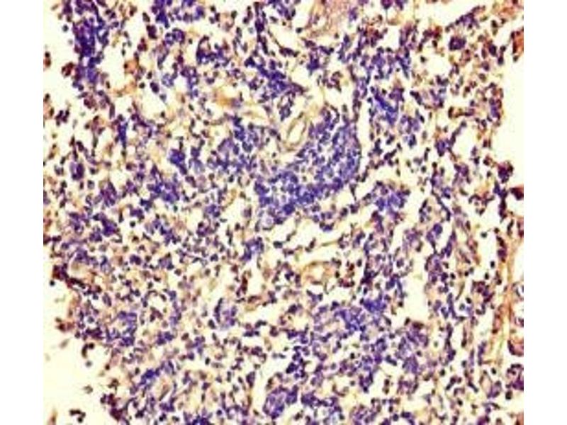
ARAF anticorps (AA 160-310)

L’anticorps anti-ARAF Polyclonal Lapin est utilisé pour la détection de ARAF dans des échantillons de Humain. Il a été validé pour ELISA, IHC et IF.
N° du produit ABIN7169007
328,90 €
Plus frais de livraison 40,00 € et TVA
Destination: France
Envoi sous 11 à 15 jours ouvrables

Aperçu rapide pour ARAF anticorps (AA 160-310) (ABIN7169007)

Antigène

Voir toutes ARAF Anticorps
ARAF (V-Raf Murine Sarcoma 3611 Viral Oncogene Homolog (ARAF))

Reactivité

  • 119
  • 41
  • 22
  • 4
  • 4
  • 4
  • 3
  • 3
  • 2
  • 2
  • 1
  • 1
Humain

Hôte

  • 113
  • 6
Lapin

Clonalité

  • 94
  • 25
Polyclonal

Conjugué

  • 52
  • 7
  • 6
  • 5
  • 3
  • 3
  • 3
  • 3
  • 3
  • 3
  • 3
  • 3
  • 3
  • 3
  • 3
  • 2
  • 2
  • 2
  • 2
  • 2
  • 2
  • 1
  • 1
  • 1
  • 1
Cet anticorp ARAF est non-conjugé

Application

  • 84
  • 40
  • 39
  • 39
  • 28
  • 23
  • 19
  • 14
  • 12
  • 9
  • 5
  • 2
  • 1
  • 1
  • 1
ELISA, Immunohistochemistry (IHC), Immunofluorescence (IF)
  • Épitope

    • 19
    • 18
    • 16
    • 15
    • 8
    • 4
    • 3
    • 3
    • 2
    • 2
    • 2
    • 2
    • 1
    • 1
    • 1
    • 1
    • 1
    • 1
    • 1
    • 1
    • 1
    • 1
    • 1
    • 1
    • 1
    • 1
    • 1
    • 1
    • 1
    • 1
    • 1
    • 1
    • 1
    • 1
    • 1
    AA 160-310

    Fonction

    ARAF Antibody

    Purification

    Protein G purified

    Pureté

    >95 %

    Immunogène

    Recombinant Human Serine/threonine-protein kinase A-Raf protein (160-310AA)

    Isotype

    IgG
  • Indications d'application

    Optimal working dilution should be determined by the investigator.

    Restrictions

    For Research Use only
  • Format

    Liquid

    Buffer

    Preservative: 0.03 % Proclin 300
    Constituents: 50 % Glycerol, 0.01M PBS, PH 7.4

    Agent conservateur

    ProClin

    Précaution d'utilisation

    This product contains ProClin: a POISONOUS AND HAZARDOUS SUBSTANCE which should be handled by trained staff only.

    Stock

    -20 °C,-80 °C

    Stockage commentaire

    Upon receipt, store at -20°C or -80°C. Avoid repeated freeze.
  • Antigène

    ARAF (V-Raf Murine Sarcoma 3611 Viral Oncogene Homolog (ARAF))

    Autre désignation

    ARAF

    Sujet

    Background: Involved in the transduction of mitogenic signals from the cell membrane to the nucleus. May also regulate the TOR signaling cascade.

    Aliases: A raf 1 antibody, A Raf proto oncogene serine/threonine protein kinase antibody, ARAF 1 antibody, Araf antibody, ARaf proto oncogene serine/threonine protein kinase antibody, ARAF_HUMAN antibody, ARAF1 antibody, Oncogene Araf1 antibody, Oncogene PKS2 antibody, PKS 2 antibody, PKS antibody, PKS2 antibody, Proto oncogene Pks antibody, Proto-oncogene A-Raf antibody, Proto-oncogene A-Raf-1 antibody, Proto-oncogene Pks antibody, RAFA 1 antibody, RAFA1 antibody, Ras binding protein DA Raf antibody, Serine/threonine-protein kinase A-Raf antibody, v raf murine sarcoma 3611 viral oncogene homolog antibody, v raf murine sarcoma 3611 viral oncogene homolog 1 antibody, v raf oncogene homolog 1 (murine sarcoma 3611 virus) antibody

    UniProt

    P10398

    Pathways

    Signalisation MAPK, Signalisation RTK, Hepatitis C
Vous êtes ici:
Chat with us!