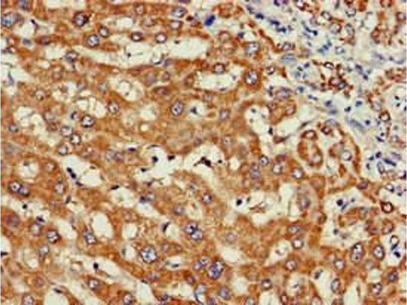
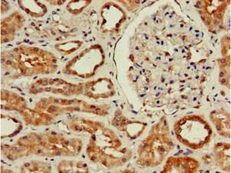
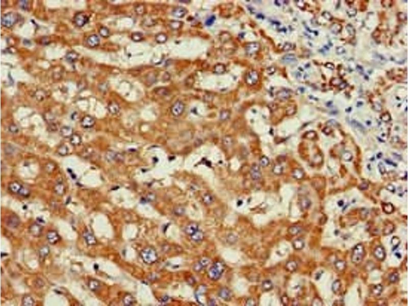
WISP3 anticorps (AA 201-372)
Aperçu rapide pour WISP3 anticorps (AA 201-372) (ABIN7175855)
Antigène
Voir toutes WISP3 AnticorpsReactivité
Hôte
Clonalité
Conjugué
Application
-
-
Épitope
- AA 201-372
-
Fonction
- WISP3 Antibody
-
Réactivité croisée
- Souris, Rat
-
Purification
- Protein G purified
-
Pureté
- >95 %
-
Immunogène
- Recombinant Human WNT1-inducible-signaling pathway protein 3 protein (201-372AA)
-
Isotype
- IgG
-
-
-
-
Indications d'application
- Optimal working dilution should be determined by the investigator.
-
Restrictions
- For Research Use only
-
-
-
Format
- Liquid
-
Buffer
-
Preservative: 0.03 % Proclin 300
Constituents: 50 % Glycerol, 0.01M PBS, pH 7.4 -
Agent conservateur
- ProClin
-
Précaution d'utilisation
- This product contains ProClin: a POISONOUS AND HAZARDOUS SUBSTANCE which should be handled by trained staff only.
-
Stock
- -20 °C,-80 °C
-
Stockage commentaire
- Upon receipt, store at -20°C or -80°C. Avoid repeated freeze.
-
-
- WISP3 (Wnt1 Inducible Signaling Pathway Protein 3 (WISP3))
-
Autre désignation
- WISP3
-
Sujet
-
Background: Appears to be required for normal postnatal skeletal growth and cartilage homeostasis.
Aliases: CCN 6 antibody, CCN family member 6 antibody, CCN6 antibody, CYR61 antibody, LIBC antibody, Lost in inflammatory breast cancer tumor suppressor protein antibody, MGC125987 antibody, MGC125988 antibody, MGC125989 antibody, OTTHUMP00000040421 antibody, PPAC antibody, PPD antibody, UNQ462/PRO790/PRO956 antibody, WISP 3 antibody, WISP-3 antibody, WISP3 antibody, WISP3_HUMAN antibody, WNT 1 inducible signaling pathway protein 3 antibody, Wnt 1 signaling pathway protein 3 antibody, WNT1 inducible signaling pathway protein 3 antibody, WNT1 inducible signaling pathway protein 3 precursor antibody, WNT1-inducible-signaling pathway protein 3 antibody
-
UniProt
- O95389
-
Pathways
- Signalisation WNT, Growth Factor Binding
Antigène
-