Tel:
+49 (0)241 95 163 153
Fax:
+49 (0)241 95 163 155
E-Mail:
orders@anticorps-enligne.fr

CSK anticorps (AA 1-200)

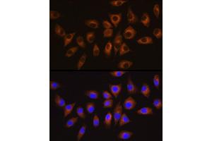
L’anticorps anti-CSK Polyclonal Lapin est utilisé pour la détection de CSK dans des échantillons de Humain. Il a été validé pour WB et IF.
N° du produit ABIN7265975
320,00 €
Plus frais de livraison 40,00 € et TVA
Destination: France
Envoi sous 8 à 10 jours ouvrables

Aperçu rapide pour CSK anticorps (AA 1-200) (ABIN7265975)

Antigène

Voir toutes CSK Anticorps
CSK (C-Src tyrosine Kinase (CSK))

Reactivité

  • 116
  • 70
  • 58
  • 4
  • 4
  • 3
  • 3
  • 3
  • 2
  • 2
  • 1
  • 1
  • 1
Humain

Hôte

  • 105
  • 11
  • 2
Lapin

Clonalité

  • 93
  • 25
Polyclonal

Conjugué

  • 58
  • 8
  • 6
  • 5
  • 3
  • 2
  • 2
  • 2
  • 2
  • 2
  • 2
  • 2
  • 2
  • 2
  • 2
  • 2
  • 2
  • 2
  • 2
  • 2
  • 2
  • 2
  • 2
  • 1
  • 1
Cet anticorp CSK est non-conjugé

Application

  • 106
  • 42
  • 28
  • 26
  • 26
  • 17
  • 13
  • 12
  • 8
  • 7
  • 6
  • 1
  • 1
  • 1
Western Blotting (WB), Immunofluorescence (IF)
  • Épitope

    • 19
    • 16
    • 8
    • 8
    • 7
    • 6
    • 5
    • 4
    • 3
    • 2
    • 2
    • 2
    • 2
    • 2
    • 1
    • 1
    • 1
    • 1
    • 1
    • 1
    • 1
    • 1
    • 1
    • 1
    • 1
    • 1
    • 1
    • 1
    • 1
    • 1
    • 1
    AA 1-200

    Fonction

    CSK Rabbit pAb

    Séquence

    MSAIQAAWPS GTECIAKYNF HGTAEQDLPF CKGDVLTIVA VTKDPNWYKA KNKVGREGII PANYVQKREG VKAGTKLSLM PWFHGKITRE QAERLLYPPE TGLFLVREST NYPGDYTLCV SCDGKVEHYR IMYHASKLSI DEEVYFENLM QLVEHYTSDA DGLCTRLIKP KVMEGTVAAQ DEFYRSGWAL NMKELKLLQT

     Réactivité croisée

    Humain, Souris, Rat

    Attributs du produit

    Polyclonal Antibodies

    Purification

    Affinity purification

    Immunogène

    Recombinant fusion protein containing a sequence corresponding to amino acids 1-200 of human CSK (NP_001120662.1).

    Isotype

    IgG
  • Indications d'application

    WB,1:500 - 1:2000,IF,1:50 - 1:200

    Restrictions

    For Research Use only
  • Format

    Liquid

    Buffer

    PBS with 0.02 % sodium azide,50 % glycerol, pH 7.3.

    Agent conservateur

    Sodium azide

    Précaution d'utilisation

    This product contains Sodium azide: a POISONOUS AND HAZARDOUS SUBSTANCE which should be handled by trained staff only.

    Stock

    -20 °C

    Stockage commentaire

    Store at -20°C. Avoid freeze / thaw cycles.
  • Antigène

    CSK (C-Src tyrosine Kinase (CSK))

    Autre désignation

    CSK

    Sujet

    Non-receptor tyrosine-protein kinase that plays an important role in the regulation of cell growth, differentiation, migration and immune response. Phosphorylates tyrosine residues located in the C-terminal tails of Src-family kinases (SFKs including LCK, SRC, HCK, FYN, LYN, CSK or YES1. Upon tail phosphorylation, Src-family members engage in intramolecular interactions between the phosphotyrosine tail and the SH2 domain that result in an inactive conformation. To inhibit SFKs, CSK is recruited to the plasma membrane via binding to transmembrane proteins or adapter proteins located near the plasma membrane. Suppresses signaling by various surface receptors, including T-cell receptor (TCR and B-cell receptor (BCR by phosphorylating and maintaining inactive several positive effectors such as FYN or LCK.,CSK,Signal Transduction,Kinase,Tyrosine kinases,Immunology & Inflammation,B Cell Receptor Signaling Pathway,CSK

    Poids moléculaire

    50kDa

    ID gène

    1445

    UniProt

    P41240

    Pathways

    TCR Signaling, EGFR Signaling Pathway, Cell-Cell Junction Organization, CXCR4-mediated Signaling Events
Vous êtes ici:
Chat with us!