Tel:
+49 (0)241 95 163 153
Fax:
+49 (0)241 95 163 155
E-Mail:
orders@anticorps-enligne.fr

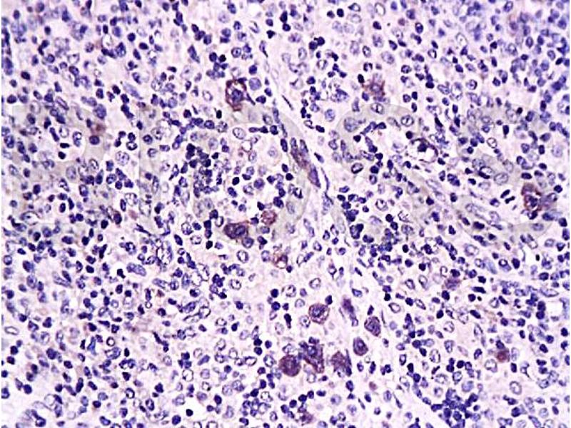
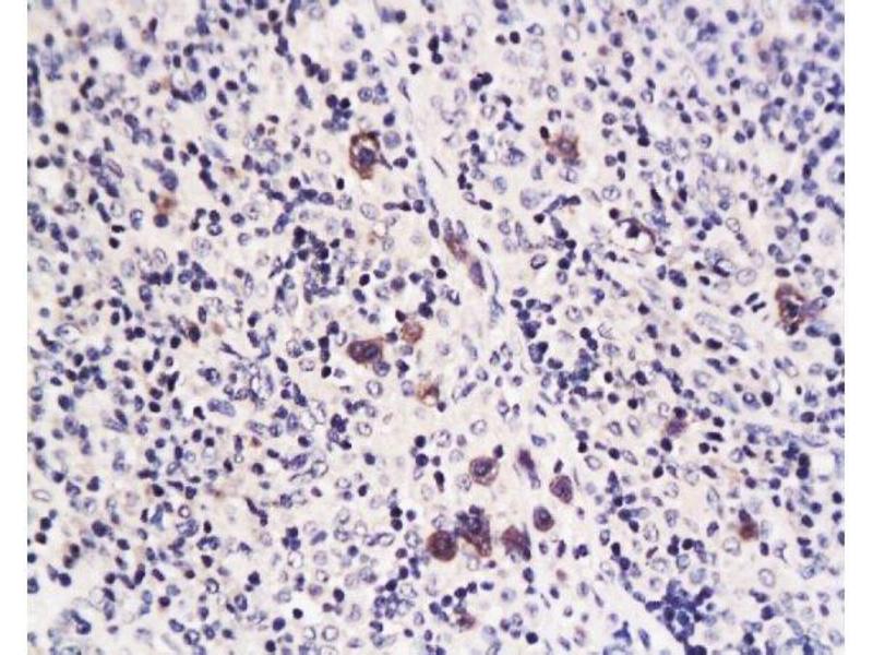
Caspase 1 (p10) anticorps (AA 320-404)

Il existe 4+ publications pour ce produit. L’anticorps anti-Caspase 1 (p10) Polyclonal Lapin est utilisé pour la détection de Caspase 1 (p10) dans des échantillons de Humain, Souris, Rat et Poulet. Il a été validé pour WB, FACS, IF (cc), IF (p), ELISA, IHC (fro) et IHC (p).
N° du produit ABIN725780
357,70 €
Plus frais de livraison 40,00 € et TVA
100 μL
Destination: France
Envoi sous 8 à 12 jours ouvrables

Aperçu rapide pour Caspase 1 (p10) anticorps (AA 320-404) (ABIN725780)

Antigène

Caspase 1 (p10) (CASP-1 (p10))

Reactivité

Humain, Souris, Rat, Poulet

Hôte

  • 47
  • 2
Lapin

Clonalité

  • 47
  • 2
Polyclonal

Conjugué

  • 4
  • 4
  • 3
  • 3
  • 3
  • 3
  • 3
  • 3
  • 3
  • 3
  • 3
  • 3
  • 3
  • 3
  • 3
  • 2
Cet anticorp Caspase 1 (p10) est non-conjugé

Application

  • 49
  • 27
  • 25
  • 25
  • 8
  • 5
  • 5
  • 1
  • 1
Western Blotting (WB), Flow Cytometry (FACS), Immunofluorescence (Cultured Cells) (IF (cc)), Immunofluorescence (Paraffin-embedded Sections) (IF (p)), ELISA, Immunohistochemistry (Frozen Sections) (IHC (fro)), Immunohistochemistry (Paraffin-embedded Sections) (IHC (p))
  • Épitope

    • 16
    • 15
    • 15
    • 1
    AA 320-404

     Réactivité croisée

    Poulet, Humain, Souris, Rat

    Purification

    Purified by Protein A.

    Immunogène

    KLH conjugated synthetic peptide derived from human Caspase-1

    Isotype

    IgG
  • Indications d'application

    WB 1:300-5000
    ELISA 1:500-1000
    FCM 1:20-100
    IHC-P 1:200-400
    IHC-F 1:100-500
    IF(IHC-P) 1:50-200
    IF(IHC-F) 1:50-200
    IF(ICC) 1:50-200

    Restrictions

    For Research Use only
  • Format

    Liquid

    Concentration

    1 μg/μL

    Buffer

    0.01M TBS( pH 7.4) with 1 % BSA, 0.02 % Proclin300 and 50 % Glycerol.

    Agent conservateur

    ProClin

    Précaution d'utilisation

    This product contains ProClin: a POISONOUS AND HAZARDOUS SUBSTANCE, which should be handled by trained staff only.

    Stock

    4 °C,-20 °C

    Stockage commentaire

    Shipped at 4°C. Store at -20°C for one year. Avoid repeated freeze/thaw cycles.

    Date de péremption

    12 months
  • Daverey, Agrawal: "Curcumin alleviates oxidative stress and mitochondrial dysfunction in astrocytes." dans: Neuroscience, Vol. 333, pp. 92-103, (2016) (PubMed).

    Wang, Lei, Zhang, Zhao, Fang, Lai, Han, Xiao, Wang: "Xenobiotic Pregnane X Receptor (PXR) Regulates Innate Immunity via Activation of NLRP3 Inflammasome in Vascular Endothelial Cells." dans: The Journal of biological chemistry, Vol. 289, Issue 43, pp. 30075-81, (2014) (PubMed).

    Yao, Wigginton, Maass, Ma, Carlson, Wolf, Minei, Zang: "Estrogen-provided cardiac protection following burn trauma is mediated through a reduction in mitochondria-derived DAMPs." dans: American journal of physiology. Heart and circulatory physiology, Vol. 306, Issue 6, pp. H882-94, (2014) (PubMed).

    Hu, Kang, Chen, Mamuti, Wu, Yuan: "Drug-induced apoptosis of Echinococcus granulosus protoscoleces." dans: Parasitology research, Vol. 109, Issue 2, pp. 453-9, (2011) (PubMed).

  • Antigène

    Caspase 1 (p10) (CASP-1 (p10))

    Autre désignation

    Caspase-1 P10

    Sujet

    Synonyms: ICE, P45, IL1BC, Caspase-1, CASP-1, Interleukin-1 beta convertase, IL-1BC, Interleukin-1 beta-converting enzyme, IL-1 beta-converting enzyme, CASP1, IL1BCE

    Background: Thiol protease that cleaves IL-1 beta between an Asp and an Ala, releasing the mature cytokine which is involved in a variety of inflammatory processes. Important for defense against pathogens. Cleaves and activates sterol regulatory element binding proteins (SREBPs). Can also promote apoptosis.

    ID gène

    834

    UniProt

    P29466
Vous êtes ici:
Chat with us!