Tel:
+49 (0)241 95 163 153
Fax:
+49 (0)241 95 163 155
E-Mail:
orders@anticorps-enligne.fr

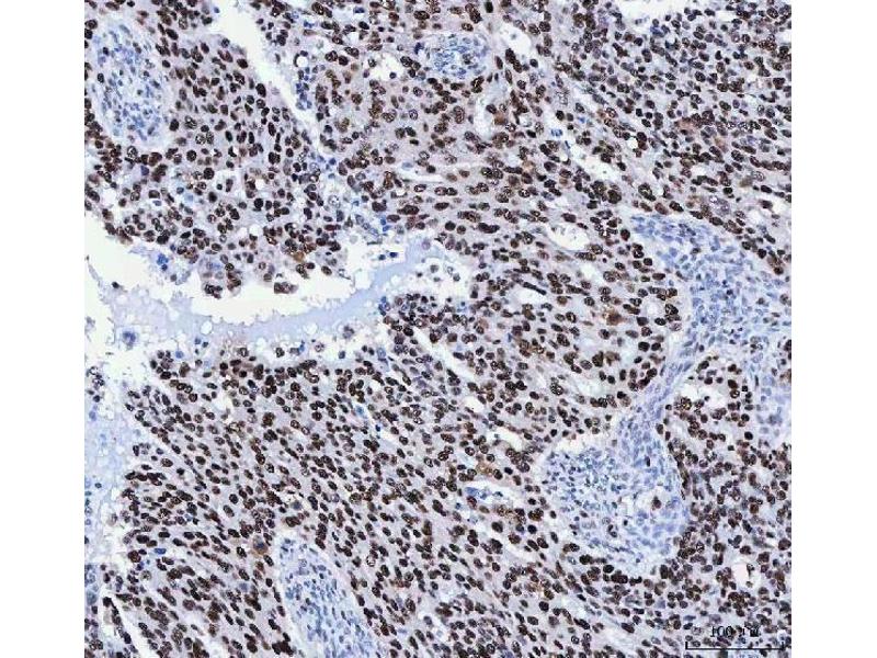
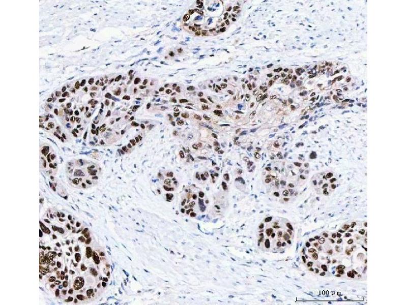
FEN1 anticorps (AA 4-300)

L’anticorps anti-FEN1 Polyclonal Lapin est utilisé pour la détection de FEN1 dans des échantillons de Humain, Souris et Rat. Il a été validé pour WB, IHC, IF, ELISA, ICC et FACS.
N° du produit ABIN7601617
500,50 €
Plus frais de livraison 40,00 € et TVA
100 μg
Destination: France
Envoi sous 8 à 12 jours ouvrables

Aperçu rapide pour FEN1 anticorps (AA 4-300) (ABIN7601617)

Antigène

Voir toutes FEN1 Anticorps
FEN1 (Flap Structure-Specific Endonuclease 1 (FEN1))

Reactivité

  • 81
  • 55
  • 50
  • 5
  • 4
  • 4
  • 4
  • 4
  • 3
  • 3
  • 2
  • 2
  • 2
  • 2
  • 1
Humain, Souris, Rat

Hôte

  • 72
  • 13
Lapin

Clonalité

  • 57
  • 28
Polyclonal

Conjugué

  • 52
  • 4
  • 2
  • 2
  • 2
  • 2
  • 2
  • 2
  • 2
  • 2
  • 1
  • 1
  • 1
  • 1
  • 1
  • 1
  • 1
  • 1
  • 1
  • 1
  • 1
  • 1
  • 1
Cet anticorp FEN1 est non-conjugé

Application

  • 72
  • 31
  • 21
  • 13
  • 13
  • 12
  • 8
  • 7
  • 4
  • 1
  • 1
  • 1
  • 1
  • 1
  • 1
Western Blotting (WB), Immunohistochemistry (IHC), Immunofluorescence (IF), ELISA, Immunocytochemistry (ICC), Flow Cytometry (FACS)
  • Épitope

    • 7
    • 4
    • 4
    • 4
    • 3
    • 3
    • 3
    • 2
    • 2
    • 2
    • 2
    • 1
    • 1
    • 1
    • 1
    • 1
    • 1
    • 1
    AA 4-300

    Fonction

    Anti-FEN1 Antibody

    Réactivité croisée (Details)

    No cross-reactivity with other proteins.

    Attributs du produit

    Anti-FEN1 Antibody (ABIN7601617). Tested in ELISA, Flow Cytometry, IF, IHC, ICC, WB applications. This antibody reacts with Human, Mouse, Rat. This is a premium antibody that guarantees superior quality, high affinity, and strong signals with minimal background in Western blot applications.

    Purification

    Immunogen affinity purified.

    Immunogène

    E.coli-derived human FEN1 recombinant protein (Position: Q4-E300).

    Isotype

    IgG
  • Indications d'application

    Western blot, 0.1-0.25 μg/mL, Human, Mouse, Rat
    Immunohistochemistry (Paraffin-embedded Section), 2-5 μg/mL, Human
    Immunocytochemistry/Immunofluorescence, 5 μg/mL, Human
    Immunofluorescence, 5 μg/mL, Human
    Flow Cytometry (Fixed), 1-3 μg/1x106 cells, Human
    ELISA, 0.1-0.5 μg/mL, -

    Restrictions

    For Research Use only
  • Format

    Lyophilized

    Reconstitution

    Add 0.2 mL of distilled water will yield a concentration of 500 μg/mL.

    Concentration

    500 μg/mL

    Buffer

    Each vial contains 4 mg Trehalose, 0.9 mg NaCl and 0.2 mg Na2HPO4.

    Stock

    4 °C,-20 °C

    Stockage commentaire

    Store at -20°C for one year from date of receipt. After reconstitution, at 4°C for one month.
    It can also be aliquotted and stored frozen at -20°C for six months. Avoid repeated freeze-thaw cycles.
  • Antigène

    FEN1 (Flap Structure-Specific Endonuclease 1 (FEN1))

    Autre désignation

    FEN1

    Sujet

    Synonyms: Flap endonuclease 1, FEN-1, DNase IV, Flap structure-specific endonuclease 1, Maturation factor 1, MF1, hFEN-1

    Tissue Specificity: Predominantly expressed in the liver (PubMed:11099417, PubMed:11452359). Low expression levels in the small intestine and colon (PubMed:11099417). Very low levels in other tissues, including brain, heart and spleen (PubMed:11452359).

    Background: Flap endonuclease 1 is an enzyme that in humans is encoded by the FEN1 gene. It is mapped to 11q12.2. The protein encoded by this gene removes 5' overhanging flaps in DNA repair and processes the 5' ends of Okazaki fragments in lagging strand DNA synthesis. physical interaction between this protein and AP endonuclease 1 during long-patch base excision repair provides coordinated loading of the proteins onto the substrate, thus passing the substrate from one enzyme to another. The protein is a member of the XPG/RAD2 endonuclease family and is one of ten proteins essential for cell-free DNA replication. DNA secondary structure can inhibit flap processing at certain trinucleotide repeats in a length-dependent manner by concealing the 5' end of the flap that is necessary for both binding and cleavage by the protein encoded by this gene. Therefore, secondary structure can deter the protective function of this protein, leading to site-specific trinucleotide expansions.

    Poids moléculaire

    43 kDa

    ID gène

    2237

    UniProt

    P39748

    Pathways

    Telomere Maintenance, Réparation de l'ADN, DNA Replication, Synthesis of DNA
Vous êtes ici:
Chat with us!