PCNA anticorps
Aperçu rapide pour PCNA anticorps (ABIN7799914)
Antigène
Voir toutes PCNA AnticorpsReactivité
Hôte
Clonalité
Conjugué
Application
Classe de qualité
Clone
-
-
Fonction
- KD-Validated PCNA Mouse mAb
-
Réactivité croisée
- Souris, Rat
-
Purification
- Affinity Purified
-
Immunogène
- Recombinant protein of human PCNA
-
Isotype
- IgG1 kappa
-
-
-
-
Indications d'application
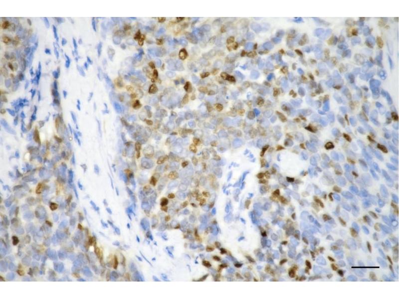
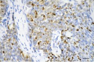
- Western Blotting (WB): 1:1,000-1:5,000, Immunohistochemistry-Paraffin (IHC-P): 1:100-1:200
-
Commentaires
-
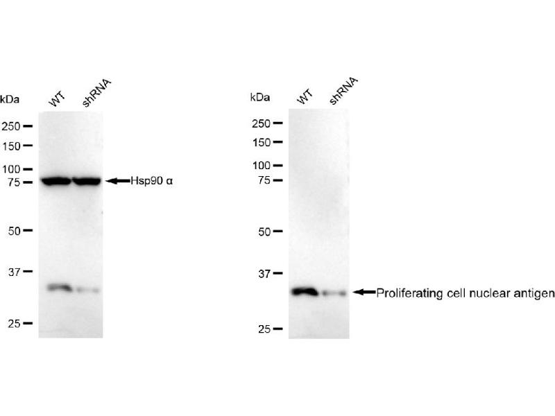
We assess the antibodies’ specificity and selectivity using knockdown techniques. Our validation approach is straightforward: if an antibody identifies a signal in wild-type (WT) cells, but this signal is absent or noticeably reduced in gene-silenced (KD) cells, we consider the antibody to be highly specific.
-
Restrictions
- For Research Use only
-
-
-
Format
- Liquid
-
Buffer
- PBS (pH 7.4) containing 50% glycerol and 0.02% sodium azide.
-
Agent conservateur
- Sodium azide
-
Précaution d'utilisation
- This product contains Sodium azide: a POISONOUS AND HAZARDOUS SUBSTANCE which should be handled by trained staff only.
-
Stock
- -20 °C
-
Stockage commentaire
- Store at -20 °C for one year.
-
Date de péremption
- 12 months
-
-
- PCNA (Proliferating Cell Nuclear Antigen (PCNA))
-
Autre désignation
- PCNA
-
Poids moléculaire
- 29 kDa
-
ID gène
- 5111
-
UniProt
- P12004
-
Pathways
- Telomere Maintenance, Réparation de l'ADN, Mitotic G1-G1/S Phases, DNA Replication, Synthesis of DNA, Autophagy
Antigène
-