VCP anticorps
Aperçu rapide pour VCP anticorps (ABIN7800820)
Antigène
Voir toutes VCP AnticorpsReactivité
Hôte
Clonalité
Conjugué
Application
Clone
-
-
Fonction
- VCP Mouse mAb
-
Réactivité croisée
- Souris, Rat
-
Purification
- Affinity Purified
-
Immunogène
- Recombinant protein of human VCP
-
Isotype
- IgG1 kappa
-
-
-
-
Indications d'application
- Western Blotting (WB): 1:1,000-1:5,000
-
Restrictions
- For Research Use only
-
-
-
Format
- Liquid
-
Buffer
- PBS (pH 7.4) containing 50% glycerol and 0.02% sodium azide.
-
Agent conservateur
- Sodium azide
-
Précaution d'utilisation
- This product contains Sodium azide: a POISONOUS AND HAZARDOUS SUBSTANCE which should be handled by trained staff only.
-
Stock
- -20 °C
-
Stockage commentaire
- Store at -20 °C for one year.
-
Date de péremption
- 12 months
-
-
- VCP (Valosin Containing Protein (VCP))
-
Autre désignation
- VCP
-
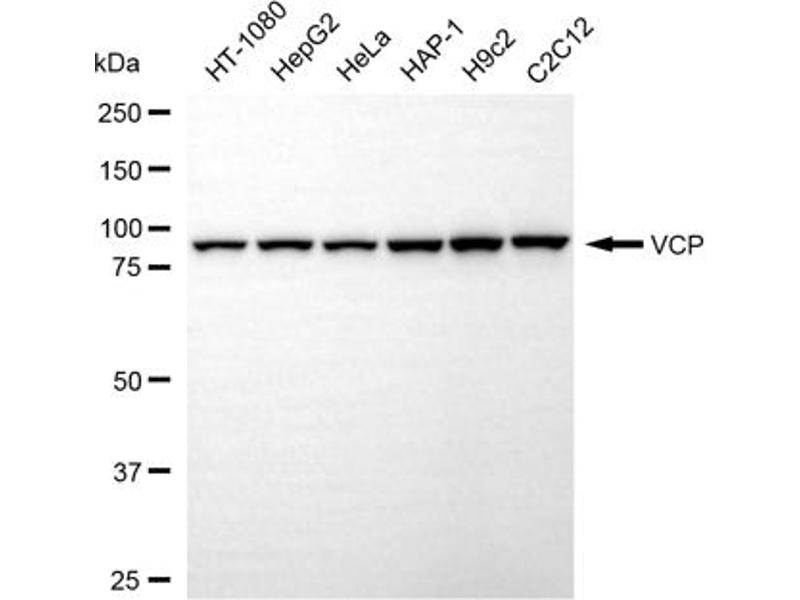
Poids moléculaire
- 89 kDa
-
ID gène
- 7415
-
UniProt
- P55072
-
Pathways
- ER-Nucleus Signaling, Positive Regulation of Endopeptidase Activity, Ubiquitin Proteasome Pathway
Antigène
-