Tel:
+49 (0)241 95 163 153
Fax:
+49 (0)241 95 163 155
E-Mail:
orders@anticorps-enligne.fr

ARL6 anticorps (Internal Region)

Cet anticorps Chèvre Polyclonal détecte spécifiquement ARL6 dans IHC et ELISA. Il présente une réactivité avec des échantillons de Humain.
N° du produit ABIN768580
488,25 €
Plus frais de livraison 40,00 € et TVA
100 μg
Destination: France
Envoi sous 5 à 8 jours ouvrables

Aperçu rapide pour ARL6 anticorps (Internal Region) (ABIN768580)

Antigène

Voir toutes ARL6 Anticorps
ARL6 (ADP Ribosylation Factor Like GTPase 6 (ARL6))

Reactivité

  • 22
  • 2
  • 1
Humain

Hôte

  • 15
  • 8
Chèvre

Clonalité

  • 16
  • 7
Polyclonal

Conjugué

  • 12
  • 1
  • 1
  • 1
  • 1
  • 1
  • 1
  • 1
  • 1
  • 1
  • 1
  • 1
Cet anticorp ARL6 est non-conjugé

Application

  • 14
  • 9
  • 7
  • 6
  • 2
  • 1
  • 1
Immunohistochemistry (IHC), ELISA

Classe de qualité

Verified
  • Épitope

    • 9
    • 2
    • 1
    • 1
    Internal Region

    Fonction

    Arl6 / BBS3 (mouse)

    Séquence

    KPSNAQSQDI VPT

    Specificité

    Reported variants represent identical protein: NP_816931.1, NP_115522.1

     Réactivité croisée

    Boeuf (Vache), Chien, Souris, Rat

    Purification

    Purified from goat serum by ammonium sulphate precipitation followed by antigen affinity chromatography using the immunizing peptide.

    Immunogène

    Peptide with sequence C-KPSNAQSQDIVPT, from the internal region of the protein sequence according to NP_062639.3.

    Isotype

    IgG
  • Indications d'application

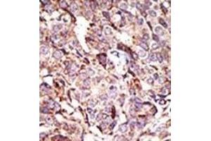
    Immunohistochemistry: Paraffin embedded Human Lung. Recommended concentration: 5 μg/mL.

    Western Blot: Preliminary experiments gave an approx 33 kDa band in Mouse Brain lysates after 1 μg/mL antibody staining. Please note that currently we cannot find an explanation in the literature for the band we observe given the calculated size of 21.0 kDa

    Peptide ELISA: antibody detection limit dilution 1:16000.

    Restrictions

    For Research Use only
  • Format

    Liquid

    Concentration

    0.5 mg/mL

    Buffer

    Supplied at 0.5 mg/mL in Tris saline, 0.02 % sodium azide, pH 7.3 with 0.5 % bovine serum albumin.

    Agent conservateur

    Sodium azide

    Précaution d'utilisation

    This product contains Sodium azide: a POISONOUS AND HAZARDOUS SUBSTANCE which should be handled by trained staff only.

    Conseil sur la manipulation

    Minimize freezing and thawing.

    Stock

    -20 °C

    Stockage commentaire

    Aliquot and store at -20°C, with minimal freeze/thawing. A working aliquot may be refrigerated at 4°C for a few weeks and still remain viable.
  • Antigène

    ARL6 (ADP Ribosylation Factor Like GTPase 6 (ARL6))

    Autre désignation

    Arl6

    Sujet

    ARL6, ADP-ribosylation factor-like 6, BBS3, 1110018H24Rik, 2210411E14Rik, ADP-ribosylation factor-like protein 6, ADP-ribosylation-like factor homolog ARL6, bardet-Biedl syndrome 3 protein

    Poids moléculaire

    33kDa

    ID gène

    56297

    NCBI Accession

    NP_062639
Vous êtes ici:
Chat with us!