Tel:
+49 (0)241 95 163 153
Fax:
+49 (0)241 95 163 155
E-Mail:
orders@anticorps-enligne.fr

Kallikrein 9 anticorps (Middle Region)

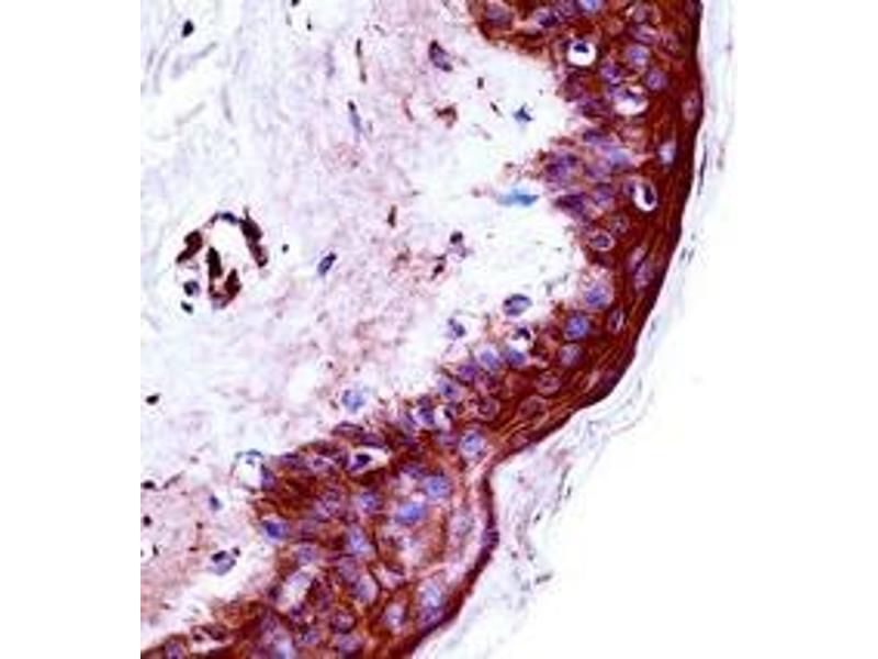
Cet anticorps anti-Kallikrein 9 Polyclonal Lapin (ABIN953103) détecte spécifiquement Kallikrein 9 dans WB, IHC (p) et EIA. L’anticorps est réactif avec des échantillons de Humain.
N° du produit ABIN953103
870,77 €
Plus frais de livraison 40,00 € et TVA
0.4 mL
Destination: France
Envoi sous 17 jours ouvrables

Aperçu rapide pour Kallikrein 9 anticorps (Middle Region) (ABIN953103)

Antigène

Voir toutes Kallikrein 9 (KLK9) Anticorps
Kallikrein 9 (KLK9)

Reactivité

  • 30
  • 18
  • 7
Humain

Hôte

  • 48
  • 5
Lapin

Clonalité

  • 49
  • 4
Polyclonal

Conjugué

  • 25
  • 4
  • 3
  • 2
  • 1
  • 1
  • 1
  • 1
  • 1
  • 1
  • 1
  • 1
  • 1
  • 1
  • 1
  • 1
  • 1
  • 1
  • 1
  • 1
  • 1
  • 1
  • 1
Cet anticorp Kallikrein 9 est non-conjugé

Application

  • 30
  • 18
  • 17
  • 13
  • 13
  • 11
  • 7
  • 5
  • 4
  • 2
  • 1
  • 1
Western Blotting (WB), Immunohistochemistry (Paraffin-embedded Sections) (IHC (p)), Enzyme Immunoassay (EIA)
  • Épitope

    • 15
    • 7
    • 4
    • 2
    • 2
    • 2
    • 2
    • 2
    • 1
    • 1
    • 1
    • 1
    • 1
    • 1
    AA 81-111, Middle Region

    Specificité

    This antibody recognizes Human KLK19 / Kallikrein-19 (Center).

    Purification

    Protein A column, followed by peptide affinity purification

    Immunogène

    KLH conjugated synthetic peptide between 81-111 amino acids from the Central region of Human KLK9 / Kallikrein-9

    Isotype

    Ig Fraction
  • Indications d'application

    Optimal working dilution should be determined by the investigator.

    Restrictions

    For Research Use only
  • Format

    Liquid

    Concentration

    0.5 mg/mL

    Buffer

    PBS containing 0.09 % (W/V) Sodium Azide as preservative

    Agent conservateur

    Sodium azide

    Précaution d'utilisation

    This product contains sodium azide: a POISONOUS AND HAZARDOUS SUBSTANCE which should be handled by trained staff only.

    Conseil sur la manipulation

    Avoid repeated freezing and thawing.

    Stock

    4 °C/-20 °C

    Stockage commentaire

    Store undiluted at 2-8 °C for one month or (in aliquots) at -20 °C for longer.
  • Antigène

    Kallikrein 9 (KLK9)

    Autre désignation

    KLK9 / Kallikrein-9

    Sujet

    The protein encoded by this gene is a kallikrein-related serine protease. This gene is activated by steroid hormones in a human breast cancer cell line, making it a good marker for cancer detection. The encoded protein is found primarily in the cytoplasm.Synonyms: KLK-L3, KLKL3, Kallikrein-like protein 3

    Poids moléculaire

    27513 Da

    ID gène

    284366

    NCBI Accession

    NP_036447

    Pathways

    Système du Complément
Vous êtes ici:
Chat with us!