Tel:
+49 (0)241 95 163 153
Fax:
+49 (0)241 95 163 155
E-Mail:
orders@anticorps-enligne.fr

Kallikrein 9 Anticorps

(Kallikrein 9 (KLK9))

Choisissez l’un des 54 anticorps Kallikrein 9 de notre liste de produits basés sur 12 images de validation.

Découvrez des anticorps Kallikrein 9 fiables issus d’une large sélection de fabricants renommés. Notre portefeuille permet une détection précise de Kallikrein 9 dans plusieurs espèces, y compris Human, Mouse, Rat, et prend en charge diverses applications de recherche telles que WB, IHC, ELISA, IF (cc), IF (p).

Trouvez rapidement l’anticorps adapté grâce à nos outils de recherche, de filtrage et de comparaison. Chaque page produit fournit des données de validation détaillées, des références bibliographiques et des retours d’utilisateurs. Contrairement aux ressources dédiées uniquement à la comparaison, vous pouvez acheter directement les anticorps sur notre site. Choisissez parmi des anticorps polyclonaux, monoclonaux ou recombinants Kallikrein 9, issus de différents hôtes tels que Rabbit, Mouse. Parcourez nos produits ci-dessous et commandez directement pour soutenir vos recherches en toute confiance.

Les noms alternatifs de Kallikrein 9 sont KLK9, Klk9, Klk1c9.

54 Résultats

KLK9 Reactivité: Humain IHC, ELISA Hôte: Lapin Polyclonal unconjugated
N° du produit ABIN7245401
449,00 €
Plus frais de livraison 40,00 € et TVA
200 μL (Autres quantités disponibles)
Destination: France
Envoi sous 9 à 13 jours ouvrables
 
KLK9 Reactivité: Humain, Souris WB Hôte: Lapin Polyclonal RB6478 unconjugated
N° du produit ABIN390306
434,77 €
Plus frais de livraison 40,00 € et TVA
400 μL (Autres quantités disponibles)
Destination: France
Envoi sous 14 à 17 jours ouvrables
 
KLK9 Reactivité: Humain WB Hôte: Souris Polyclonal unconjugated
N° du produit ABIN949931
651,20 €
Plus frais de livraison 40,00 € et TVA
50 μg
Destination: France
Envoi sous 8 à 9 jours ouvrables
 
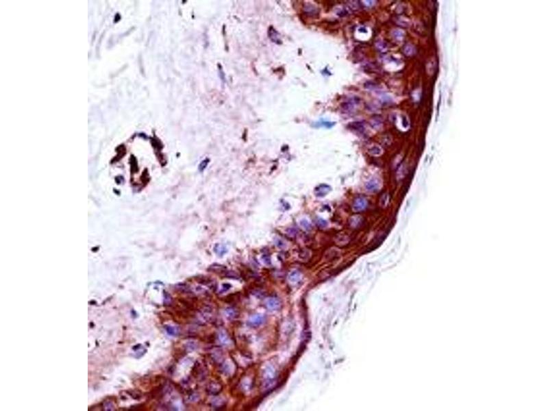
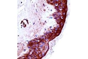
KLK9 Reactivité: Humain WB, IHC, IP, ICC Hôte: Lapin Polyclonal unconjugated
N° du produit ABIN1868887
221,00 €
Plus frais de livraison 40,00 € et TVA
100 μL (Autres quantités disponibles)
Destination: France
Envoi sous 11 à 15 jours ouvrables
 
KLK9 Reactivité: Humain WB, IHC (p) Hôte: Lapin Polyclonal unconjugated
N° du produit ABIN5531506
730,13 €
Plus frais de livraison 40,00 € et TVA
400 μL
Destination: France
Envoi sous 6 à 9 jours ouvrables
 
KLK9 Reactivité: Humain WB, IHC (p), EIA Hôte: Lapin Polyclonal unconjugated
N° du produit ABIN953103
870,77 €
Plus frais de livraison 40,00 € et TVA
0.4 mL
Destination: France
Envoi sous 17 jours ouvrables
 
KLK9 Reactivité: Souris IF (cc), IF (p) Hôte: Lapin Polyclonal AbBy Fluor® 680
N° du produit ABIN5005956
426,37 €
Plus frais de livraison 40,00 € et TVA
100 μL
Destination: France
Envoi sous 20 à 25 jours ouvrables
 
KLK9 Reactivité: Souris IF (cc), IF (p) Hôte: Lapin Polyclonal AbBy Fluor® 750
N° du produit ABIN5005957
426,37 €
Plus frais de livraison 40,00 € et TVA
100 μL
Destination: France
Envoi sous 20 à 25 jours ouvrables
 
KLK9 Reactivité: Souris IF (cc), IF (p) Hôte: Lapin Polyclonal AbBy Fluor® 647
N° du produit ABIN904207
426,37 €
Plus frais de livraison 40,00 € et TVA
100 μL
Destination: France
Envoi sous 20 à 25 jours ouvrables
 
KLK9 Reactivité: Souris IF (cc), IF (p) Hôte: Lapin Polyclonal AbBy Fluor® 555
N° du produit ABIN904205
426,37 €
Plus frais de livraison 40,00 € et TVA
100 μL
Destination: France
Envoi sous 20 à 25 jours ouvrables
 
KLK9 Reactivité: Souris IF (cc), IF (p) Hôte: Lapin Polyclonal AbBy Fluor® 488
N° du produit ABIN904206
426,37 €
Plus frais de livraison 40,00 € et TVA
100 μL
Destination: France
Envoi sous 20 à 25 jours ouvrables
 
KLK9 Reactivité: Souris IF (cc), IF (p) Hôte: Lapin Polyclonal AbBy Fluor® 350
N° du produit ABIN904204
426,37 €
Plus frais de livraison 40,00 € et TVA
100 μL
Destination: France
Envoi sous 20 à 25 jours ouvrables
 
KLK9 Reactivité: Humain WB, IHC, IP, ICC Hôte: Lapin Polyclonal unconjugated
N° du produit ABIN7641650
287,72 €
Plus frais de livraison 40,00 € et TVA
100 μL (Autres quantités disponibles)
Destination: France
Envoi sous 11 à 15 jours ouvrables
 
KLK9 Reactivité: Rat WB, IHC, IP, ICC Hôte: Lapin Polyclonal unconjugated
N° du produit ABIN7641651
304,89 €
Plus frais de livraison 40,00 € et TVA
100 μL (Autres quantités disponibles)
Destination: France
Envoi sous 11 à 15 jours ouvrables
 
KLK9 Reactivité: Humain WB Hôte: Lapin Polyclonal unconjugated
N° du produit ABIN7795943
589,60 €
Plus frais de livraison 40,00 € et TVA
100 μL
Destination: France
Envoi sous 7 à 10 jours ouvrables
 
KLK9 Reactivité: Humain WB Hôte: Lapin Polyclonal unconjugated
N° du produit ABIN289486
764,26 €
Plus frais de livraison 40,00 € et TVA
100 μg
Destination: France
Envoi sous 13 à 17 jours ouvrables
 
KLK9 Reactivité: Souris ELISA, IF (cc), IF (p), IHC (p), IHC (fro) Hôte: Lapin Polyclonal unconjugated
N° du produit ABIN676043
357,70 €
Plus frais de livraison 40,00 € et TVA
100 μL
Destination: France
Envoi sous 8 à 12 jours ouvrables
 
KLK9 Reactivité: Souris ELISA, IHC (p), IHC (fro) Hôte: Lapin Polyclonal Biotin
N° du produit ABIN676045
419,50 €
Plus frais de livraison 40,00 € et TVA
100 μL
Destination: France
Envoi sous 20 à 25 jours ouvrables
 
KLK9 Reactivité: Souris IF (cc), IF (p) Hôte: Lapin Polyclonal Cy5
N° du produit ABIN676047
437,53 €
Plus frais de livraison 40,00 € et TVA
100 μL
Destination: France
Envoi sous 20 à 25 jours ouvrables
 
KLK9 Reactivité: Souris IF (cc), IF (p) Hôte: Lapin Polyclonal Cy3
N° du produit ABIN676046
437,53 €
Plus frais de livraison 40,00 € et TVA
100 μL
Destination: France
Envoi sous 20 à 25 jours ouvrables
 
  • Type Primary
    • Primary
  • Application
    • Western Blotting (WB)
    • Immunohistochemistry (IHC)
    • ELISA
    • Immunofluorescence (Cultured Cells) (IF (cc))
    • Immunofluorescence (Paraffin-embedded Sections) (IF (p))
    • Immunoprecipitation (IP)
    • Immunocytochemistry (ICC)
    • Immunohistochemistry (Paraffin-embedded Sections) (IHC (p))
    • Immunohistochemistry (Frozen Sections) (IHC (fro))
    • Immunofluorescence (fixed cells) (IF/ICC)
    • Enzyme Immunoassay (EIA)
    • Immunochromatography (IC)
    • Immunofluorescence (IF)
  • Réactivité
    • Human
    • Mouse
    • Rat
  • Images disponible
  • Sans conservateur uniquement
  • Carrier free only
  • Hote
    • Rabbit
    • Mouse
  • Clonalité
    • Polyclonal
    • Monoclonal
  • Clone
    • 7H142
    • RB6478
  • Epitope
    • AA 51-150
    • AA 82-111
    • AA 1-254
    • AA 1-250
    • AA 1-30
    • AA 239-250
    • AA 81-111
    • C-Term
    • N-Term
    • AA 20-250
    • AA 236-250
    • AA 39-260
    • Center
    • Internal Region
    • Middle Region
  • Conjugué
    • Inconjugué
    • Biotin
    • FITC
    • HRP
    • APC
    • AbBy Fluor® 350
    • AbBy Fluor® 488
    • AbBy Fluor® 555
    • AbBy Fluor® 594
    • AbBy Fluor® 647
    • AbBy Fluor® 680
    • AbBy Fluor® 750
    • Alexa Fluor 488
    • Alexa Fluor 555
    • Alexa Fluor 594
    • Alexa Fluor 647
    • Alexa Fluor 680
    • Alexa Fluor 750
    • Cy3
    • Cy5
    • Cy5.5
    • Cy7
    • PE
  • Isotype
    • IgG
    • Ig Fraction
    • IgG2b
  • Format
    • Liquid
    • Lyophilized
  • Supplier
    • antibodies-online
    • Signalway
    • USBio
    • Abbexa
    • Cloud-Clone
    • Acris
    • Biomatik
    • Covalab
    • ProSci

Dernières publications pour nos Kallikrein 9 Anticorps

Diamandis, Yousef, Luo, Magklara, Obiezu: "The new human kallikrein gene family: implications in carcinogenesis." dans: Trends in endocrinology and metabolism: TEM, Vol. 11, Issue 2, pp. 54-60, (2001) (PubMed).

Yousef, Kyriakopoulou, Scorilas, Fracchioli, Ghiringhello, Zarghooni, Chang, Diamandis, Giardina, Hartwick, Richiardi, Massobrio, Diamandis, Katsaros: "Quantitative expression of the human kallikrein gene 9 (KLK9) in ovarian cancer: a new independent and favorable prognostic marker." dans: Cancer research, Vol. 61, Issue 21, pp. 7811-8, (2001) (PubMed).

Yousef, Diamandis: "The expanded human kallikrein gene family: locus characterization and molecular cloning of a new member, KLK-L3 (KLK9)." dans: Genomics, Vol. 65, Issue 2, pp. 184-94, (2000) (PubMed).

Pseudonymes pour Kallikrein 9 Anticorps

kallikrein related peptidase 9 (KLK9) Anticorps
kallikrein related-peptidase 9 (Klk9) Anticorps
kallikrein 1-related peptidase C9 (Klk1c9) Anticorps
1200016C12Rik Anticorps
AI324041 Anticorps
KLK-L3 Anticorps
Klk9 Anticorps
KLKL3 Anticorps
Klks3 Anticorps
rGK-9 Anticorps
rK9 Anticorps
Vous êtes ici:
Chat with us!