TGFB1 anticorps (AA 62-195)
Aperçu rapide pour TGFB1 anticorps (AA 62-195) (ABIN969570)
Antigène
Voir toutes TGFB1 AnticorpsReactivité
Hôte
Clonalité
Conjugué
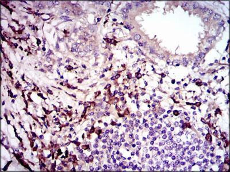
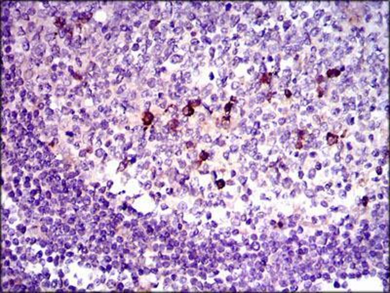
Application
Clone
-
-
Épitope
- AA 62-195
-
Fonction
- TGFb1 Antibody
-
Purification
- Purified antibody
-
Immunogène
- Purified recombinant fragment of human TGFb1 (AA: 62-195) expressed in E. Coli.
-
Isotype
- IgG1
-
-
-
-
Indications d'application
-
ELISA: 1/10000
FCM: 1/200 - 1/400
-
Restrictions
- For Research Use only
-
-
-
Format
- Liquid
-
Buffer
- Purified antibody in PBS with 0.05 % sodium azide.
-
Agent conservateur
- Sodium azide
-
Précaution d'utilisation
- This product contains Sodium azide: a POISONOUS AND HAZARDOUS SUBSTANCE which should be handled by trained staff only.
-
Stock
- 4 °C,-20 °C
-
Stockage commentaire
- Store at 4°C short term. Aliquot and store at -20°C long term. Avoid freeze/thaw cycles.
-
-
-
: "Effect of ultrasound irradiation on α-SMA and TGF-β1 expression in human dermal fibroblasts." dans: The Kobe journal of medical sciences, Vol. 56, Issue 6, pp. E242-52, (2011) (PubMed).
-
: "Effect of ultrasound irradiation on α-SMA and TGF-β1 expression in human dermal fibroblasts." dans: The Kobe journal of medical sciences, Vol. 56, Issue 6, pp. E242-52, (2011) (PubMed).
-
- TGFB1 (Transforming Growth Factor, beta 1 (TGFB1))
-
Autre désignation
- TGFb1
-
Sujet
- This gene encodes a member of the transforming growth factor beta (TGFB) family of cytokines, which are multifunctional peptides that regulate proliferation, differentiation, adhesion, migration, and other functions in many cell types. Many cells have TGFB receptors, and the protein positively and negatively regulates many other growth factors. The secreted protein is cleaved into a latency-associated peptide (LAP) and a mature TGFB1 peptide, and is found in either a latent form composed of a TGFB1 homodimer, a LAP homodimer, and a latent TGFB1-binding protein, or in an active form composed of a TGFB1 homodimer. The mature peptide may also form heterodimers with other TGFB family members. This gene is frequently upregulated in tumor cells, and mutations in this gene result in Camurati-Engelmann disease
-
Poids moléculaire
- 44.3 kDa
-
UniProt
- P01137
-
Pathways
- EGFR Signaling Pathway, Dopaminergic Neurogenesis, Cellular Response to Molecule of Bacterial Origin, Glycosaminoglycan Metabolic Process, Regulation of Leukocyte Mediated Immunity, Regulation of Muscle Cell Differentiation, Positive Regulation of Immune Effector Process, Cell-Cell Junction Organization, Production of Molecular Mediator of Immune Response, Ribonucleoside Biosynthetic Process, Skeletal Muscle Fiber Development, Regulation of Carbohydrate Metabolic Process, Protein targeting to Nucleus, Autophagy, Cancer Immune Checkpoints
Antigène
-