TGFB1 anticorps
Aperçu rapide pour TGFB1 anticorps (ABIN465317)
Antigène
Voir toutes TGFB1 AnticorpsReactivité
Hôte
Clonalité
Conjugué
Application
-
-
Specificité
- Human TGF-beta1
-
Purification
- Protein G purified
-
Immunogène
- Hi-5 Insect cell derived recombinant Human TGF-beta1.
-
Isotype
- IgG1
-
-
-
-
Indications d'application
-
Approved: ELISA, WB
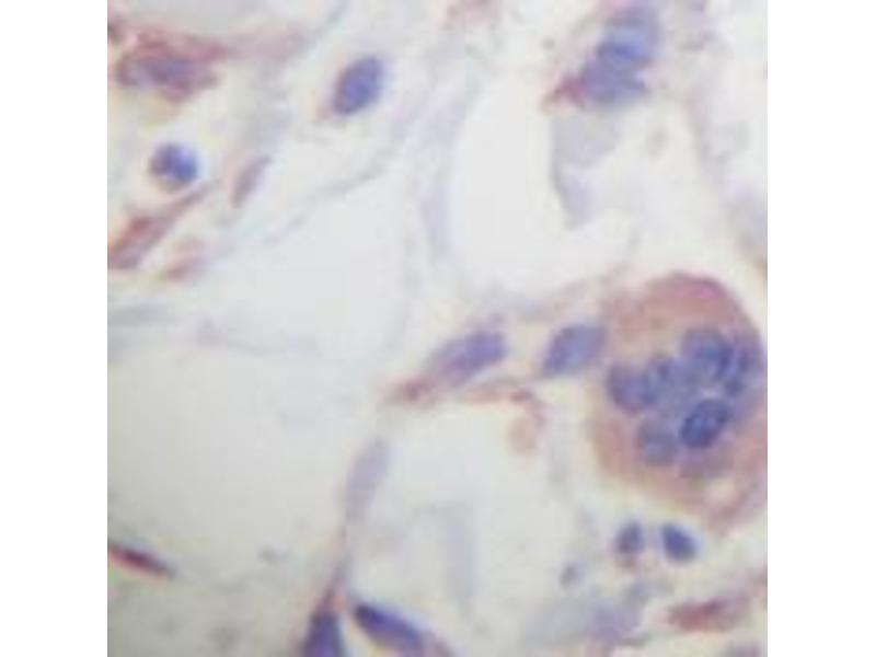
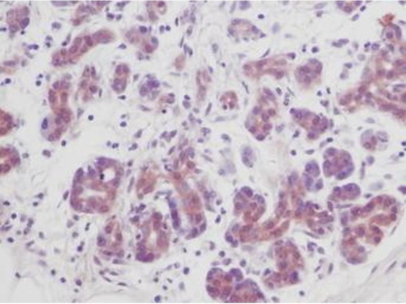
Usage: Immunohistochemistry: This antibody stained formalin-fixed paraffin-embedded sections of human pancreas adenocarcinoma tissue. The recommended concentration is 5 μg/mL with an overnight incubation at 4 °C. An HRP-labeled polymer detection system was used with an alcohol-soluble AEC chromogen. Heat induced antigen retrieval with a pH 6 sodium citrate buffer is recommended. Optimal concentrations and conditions may vary. Tissue samples were provided by the Cooperative Human Tissue Network, which is funded by the National Cancer Institute. *Additional Immunostaining data available. Please contact Tech Support for information. ELISA: In a sandwich ELISA (assuming 100 μL/well), a concentration of 4-8 μg/mL of this antibody will detect at least 100 pg/mL of recombinant Human TGF-beta1 when used in conjunction with compatible secondary reagents. Western Blot: To detect Human TGF-beta1 by Western Blot analysis this antibody can be used at a concentration of 2-4 μg/mL. Used in conjunction with compatible secondary reagents the detection limit for recombinant Human TGF-beta1 is 2-4 ng/lane, under non-reducing conditions. In a dot blot, a 1:500 dilution of this antibody exhibited complete cross reactivity with Human TGF-beta2 and TGF-beta3 isotypes. Reduced cross reactivity was shown at a 1:1000 dilution. -
Commentaires
-
Target Species of Antibody: Human
-
Restrictions
- For Research Use only
-
-
-
Format
- Lyophilized
-
Reconstitution
- Sterile water
-
Concentration
- Lot specific
-
Buffer
- Lyophilized from PBS
-
Conseil sur la manipulation
- Avoid freeze/thaw cycles.
-
Stock
- 4 °C,-20 °C
-
Stockage commentaire
-
Store Lyophilized at room temperature up to 1 month
Reconstituted for up to 2 weeks at 2-8°C. Aliquot and freeze at -20°C for long term storage. Avoid freeze/thaw cycles.
-
-
- TGFB1 (Transforming Growth Factor, beta 1 (TGFB1))
-
Autre désignation
- TGFB1 / TGF Beta 1
-
Sujet
-
Name/Gene ID: TGFB1
Family: TGF beta
Synonyms: TGFB1, CED, DPD1, Diaphyseal dysplasia 1, LAP, Latency-associated peptide, TGF Beta, TGFbeta, TGF-beta 1 protein, TGF-beta-1, TGFB -
ID gène
- 7040
-
UniProt
- P01137
-
Pathways
- EGFR Signaling Pathway, Dopaminergic Neurogenesis, Cellular Response to Molecule of Bacterial Origin, Glycosaminoglycan Metabolic Process, Regulation of Leukocyte Mediated Immunity, Regulation of Muscle Cell Differentiation, Positive Regulation of Immune Effector Process, Cell-Cell Junction Organization, Production of Molecular Mediator of Immune Response, Ribonucleoside Biosynthetic Process, Skeletal Muscle Fiber Development, Regulation of Carbohydrate Metabolic Process, Protein targeting to Nucleus, Autophagy, Cancer Immune Checkpoints
Antigène
-