Tel:
+49 (0)241 95 163 153
Fax:
+49 (0)241 95 163 155
E-Mail:
orders@anticorps-enligne.fr

ATP10D Anticorps

(ATPase, Class V, Type 10D (ATP10D))

Choisissez l’un des 7 anticorps ATP10D de notre liste de produits basés sur 3 publications et 9 images de validation.

Découvrez des anticorps ATP10D fiables issus d’une large sélection de fabricants renommés. Notre portefeuille permet une détection précise de ATP10D dans plusieurs espèces, y compris Human, Cow, Mouse, Rat, Guinea Pig, Horse, Rabbit, Dog, Bat, Chicken, Monkey, Pig, Zebrafish (Danio rerio), et prend en charge diverses applications de recherche telles que WB, ELISA, IHC, IHC (p).

Trouvez rapidement l’anticorps adapté grâce à nos outils de recherche, de filtrage et de comparaison. Chaque page produit fournit des données de validation détaillées, des références bibliographiques et des retours d’utilisateurs. Contrairement aux ressources dédiées uniquement à la comparaison, vous pouvez acheter directement les anticorps sur notre site. Choisissez parmi des anticorps polyclonaux, monoclonaux ou recombinants ATP10D, issus de différents hôtes tels que Rabbit. Parcourez nos produits ci-dessous et commandez directement pour soutenir vos recherches en toute confiance.

Les noms alternatifs de ATP10D sont ATP10D, atp10d, Atp10d.

7 Résultats

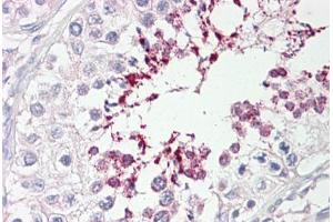
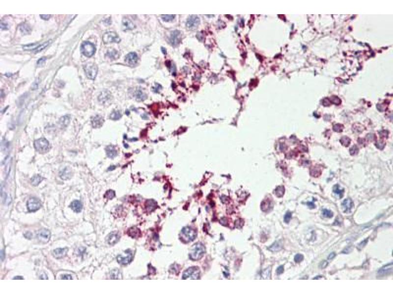
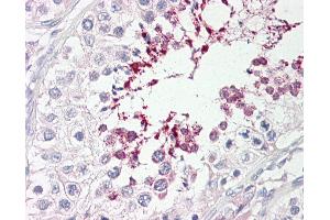
ATP10D Reactivité: Humain, Boeuf (Vache), Souris WB, IHC, IHC (p) Hôte: Lapin Polyclonal unconjugated
N° du produit ABIN6749742
512,07 €
Plus frais de livraison 40,00 € et TVA
100 μL
Destination: France
Envoi sous 15 à 20 jours ouvrables
 
ATP10D Reactivité: Humain, Boeuf (Vache), Souris, Rat, Cobaye, Cheval, Lapin, Roussette (Chauve-souris), Poulet, Singe WB Hôte: Lapin Polyclonal unconjugated
Pubmed 2 références
N° du produit ABIN6746304
789,41 €
Plus frais de livraison 40,00 € et TVA
100 μL
Destination: France
Envoi sous 15 à 20 jours ouvrables
 
ATP10D Reactivité: Humain WB Hôte: Lapin Polyclonal unconjugated
N° du produit ABIN635469
1.218,13 €
Plus frais de livraison 40,00 € et TVA
100 μL
Destination: France
Envoi sous 13 à 17 jours ouvrables
 
ATP10D Reactivité: Humain, Rat WB Hôte: Lapin Polyclonal unconjugated
N° du produit ABIN928273
1.218,13 €
Plus frais de livraison 40,00 € et TVA
100 μL
Destination: France
Envoi sous 20 à 27 jours ouvrables
 
ATP10D Reactivité: Humain, Boeuf (Vache), Souris, Rat, Cobaye, Cheval, Lapin, Chien, Porc WB Hôte: Lapin Polyclonal unconjugated
Pubmed 1 reference
N° du produit ABIN2783787
534,11 €
Plus frais de livraison 40,00 € et TVA
100 μL (Autres quantités disponibles)
Destination: France
Envoi sous 6 à 9 jours ouvrables
 
ATP10D Reactivité: Humain WB, ELISA Hôte: Lapin Polyclonal unconjugated
N° du produit ABIN2459297
763,13 €
Plus frais de livraison 40,00 € et TVA
100 μL
Destination: France
Envoi sous 6 à 9 jours ouvrables
 
ATP10D Reactivité: Humain, Boeuf (Vache), Souris, Rat, Cobaye, Cheval, Lapin, Chien, Poisson zèbre (Danio rerio) WB Hôte: Lapin Polyclonal unconjugated
N° du produit ABIN2783786
534,11 €
Plus frais de livraison 40,00 € et TVA
100 μL (Autres quantités disponibles)
Destination: France
Envoi sous 6 à 9 jours ouvrables
 
  • Type Primary
    • Primary
  • Application
    • Western Blotting (WB)
    • ELISA
    • Immunohistochemistry (IHC)
    • Immunohistochemistry (Paraffin-embedded Sections) (IHC (p))
  • Réactivité
    • Human
    • Cow
    • Mouse
    • Rat
    • Guinea Pig
    • Horse
    • Rabbit
    • Dog
    • Bat
    • Chicken
    • Monkey
    • Pig
    • Zebrafish (Danio rerio)
  • Cité dans publications
  • Images disponible
  • Hote
    • Rabbit
  • Clonalité
    • Polyclonal
  • Epitope
    • C-Term
    • Middle Region
    • AA 1154-1203
    • AA 886-935
  • Conjugué
    • Inconjugué
  • Isotype
    • IgG
  • Format
    • Lyophilized
    • Liquid
  • Supplier
    • antibodies-online
    • Aviva Systems Biology
    • ProSci

Dernières publications pour nos ATP10D Anticorps

Tian, Schreiber, Kunzelmann: "Anoctamins are a family of Ca2+-activated Cl- channels." dans: Journal of cell science, Vol. 125, Issue Pt 21, pp. 4991-8, (2013) (PubMed).

Marte, Downward: "PKB/Akt: connecting phosphoinositide 3-kinase to cell survival and beyond." dans: Trends in biochemical sciences, Vol. 22, Issue 9, pp. 355-8, (1997) (PubMed).

Jones, Jakubowicz, Pitossi, Maurer, Hemmings: "Molecular cloning and identification of a serine/threonine protein kinase of the second-messenger subfamily." dans: Proceedings of the National Academy of Sciences of the United States of America, Vol. 88, Issue 10, pp. 4171-5, (1991) (PubMed).

Pseudonymes pour ATP10D Anticorps

ATPase phospholipid transporting 10D (putative) (ATP10D) Anticorps
ATPase, class V, type 10D (atp10d) Anticorps
ATPase phospholipid transporting 10D (putative) (atp10d) Anticorps
ATPase, class V, type 10D (Atp10d) Anticorps
ATPase phospholipid transporting 10D (putative) (Atp10d) Anticorps
9830145H18Rik Anticorps
ATP10D Anticorps
atp10d Anticorps
ATPVD Anticorps
D5Buc24e Anticorps
MGC185750 Anticorps
Vous êtes ici:
Chat with us!