Tel:
+49 (0)241 95 163 153
Fax:
+49 (0)241 95 163 155
E-Mail:
orders@anticorps-enligne.fr

ATP6V1A Anticorps

(ATPase, H+ Transporting, Lysosomal 70kDa, V1 Subunit A (ATP6V1A))

Choisissez l’un des 40 anticorps ATP6V1A de notre liste de produits basés sur 5 publications et 41 images de validation.

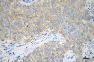
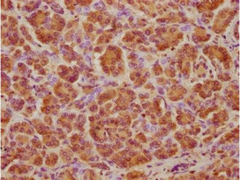
Découvrez des anticorps ATP6V1A fiables issus d’une large sélection de fabricants renommés. Notre portefeuille permet une détection précise de ATP6V1A dans plusieurs espèces, y compris Human, Mouse, Rat, Cow, Dog, Horse, Monkey, Pig, Rabbit, Zebrafish (Danio rerio), Arabidopsis thaliana, Guinea Pig, et prend en charge diverses applications de recherche telles que WB, ELISA, IHC, FACS, IHC (p).

Trouvez rapidement l’anticorps adapté grâce à nos outils de recherche, de filtrage et de comparaison. Chaque page produit fournit des données de validation détaillées, des références bibliographiques et des retours d’utilisateurs. Contrairement aux ressources dédiées uniquement à la comparaison, vous pouvez acheter directement les anticorps sur notre site. Choisissez parmi des anticorps polyclonaux, monoclonaux ou recombinants ATP6V1A, issus de différents hôtes tels que Rabbit, Mouse. Parcourez nos produits ci-dessous et commandez directement pour soutenir vos recherches en toute confiance.

Les noms alternatifs de ATP6V1A sont ATP6V1A, Atp6v1a, atp6v1aa, ANI_1_1468024, AOR_1_602134, VHA-A, atp6v1a.L, vpp3, Vha68-1.

40 Résultats

ATP6V1A Reactivité: Humain WB, ELISA, IHC (p), IF Hôte: Souris Monoclonal 4F5 unconjugated
N° du produit ABIN513626
651,20 €
Plus frais de livraison 40,00 € et TVA
100 μg
Destination: France
Envoi sous 8 à 9 jours ouvrables
 
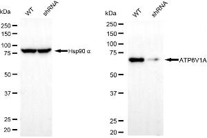
KD Validated ATP6V1A Reactivité: Humain WB, FACS, IF (p) Hôte: Lapin Monoclonal 24GB6940 unconjugated Recombinant Antibody
N° du produit ABIN7797699
598,92 €
Plus frais de livraison 40,00 € et TVA
100 μL
Destination: France
Envoi sous 7 à 10 jours ouvrables
 
ATP6V1A Reactivité: Humain, Souris, Rat WB, ELISA, IHC, IF, FACS, ICC Hôte: Lapin Polyclonal unconjugated
N° du produit ABIN7599916
500,50 €
Plus frais de livraison 40,00 € et TVA
100 μg
Destination: France
Envoi sous 8 à 12 jours ouvrables
 
ATP6V1A Reactivité: Humain WB, ELISA Hôte: Souris Polyclonal unconjugated
Pubmed 4 références
N° du produit ABIN513625
508,80 €
Plus frais de livraison 40,00 € et TVA
50 μL
Destination: France
Envoi sous 8 à 9 jours ouvrables
 
ATP6V1A Reactivité: Humain WB, IHC (p) Hôte: Lapin Polyclonal RB24578 unconjugated
Pubmed 1 reference
N° du produit ABIN653735
434,77 €
Plus frais de livraison 40,00 € et TVA
400 μL (Autres quantités disponibles)
Destination: France
Envoi sous 14 à 17 jours ouvrables
 
ATP6V1A Reactivité: Humain, Souris, Rat WB, IHC Hôte: Lapin Polyclonal unconjugated
N° du produit ABIN6260133
525,71 €
Plus frais de livraison 40,00 € et TVA
100 μL (Autres quantités disponibles)
Destination: France
Envoi sous 9 à 11 jours ouvrables
 
KD Validated ATP6V1A Reactivité: Humain WB, FACS Hôte: Lapin Monoclonal 25GB3865 unconjugated Recombinant Antibody
N° du produit ABIN7797698
598,92 €
Plus frais de livraison 40,00 € et TVA
100 μL
Destination: France
Envoi sous 7 à 10 jours ouvrables
 
ATP6V1A Reactivité: Humain ELISA, IHC, IF Hôte: Lapin Polyclonal unconjugated
N° du produit ABIN7175225
328,90 €
Plus frais de livraison 40,00 € et TVA
100 μL (Autres quantités disponibles)
Destination: France
Envoi sous 11 à 15 jours ouvrables
 
ATP6V1A Reactivité: Humain, Souris, Rat WB Hôte: Lapin Polyclonal unconjugated
N° du produit ABIN631586
1.218,13 €
Plus frais de livraison 40,00 € et TVA
100 μL
Destination: France
Envoi sous 13 à 17 jours ouvrables
 
ATP6V1A Reactivité: Humain WB, IHC Hôte: Lapin Polyclonal unconjugated
N° du produit ABIN7265765
320,00 €
Plus frais de livraison 40,00 € et TVA
100 μL (Autres quantités disponibles)
Destination: France
Envoi sous 8 à 10 jours ouvrables
 
ATP6V1A Reactivité: Humain, Souris, Rat, Boeuf (Vache), Chien, Cheval, Porc, Lapin, Singe WB Hôte: Lapin Polyclonal unconjugated
N° du produit ABIN6744043
789,41 €
Plus frais de livraison 40,00 € et TVA
100 μL
Destination: France
Envoi sous 15 à 20 jours ouvrables
 
ATP6V1A Reactivité: Humain WB, IHC (p) Hôte: Lapin Polyclonal unconjugated
N° du produit ABIN950568
870,77 €
Plus frais de livraison 40,00 € et TVA
0.4 mL
Destination: France
Envoi sous 17 jours ouvrables
 
ATP6V1A Reactivité: Humain WB, IHC (p), IP Hôte: Lapin Monoclonal R08-5E9R08-5E9 unconjugated Recombinant Antibody
N° du produit ABIN7542319
877,50 €
Plus frais de livraison 40,00 € et TVA
100 μL
Destination: France
Envoi sous 8 à 9 jours ouvrables
 
ATP6V1A Reactivité: Humain WB, ELISA, IHC Hôte: Lapin Polyclonal unconjugated
N° du produit ABIN7568232
527,38 €
Plus frais de livraison 40,00 € et TVA
100 μg
Destination: France
Envoi sous 10 à 13 jours ouvrables
 
ATP6V1A Reactivité: Humain WB, ELISA Hôte: Lapin Polyclonal unconjugated
N° du produit ABIN7232110
623,62 €
Plus frais de livraison 40,00 € et TVA
100 μL (Autres quantités disponibles)
Destination: France
Envoi sous 10 à 14 jours ouvrables
 
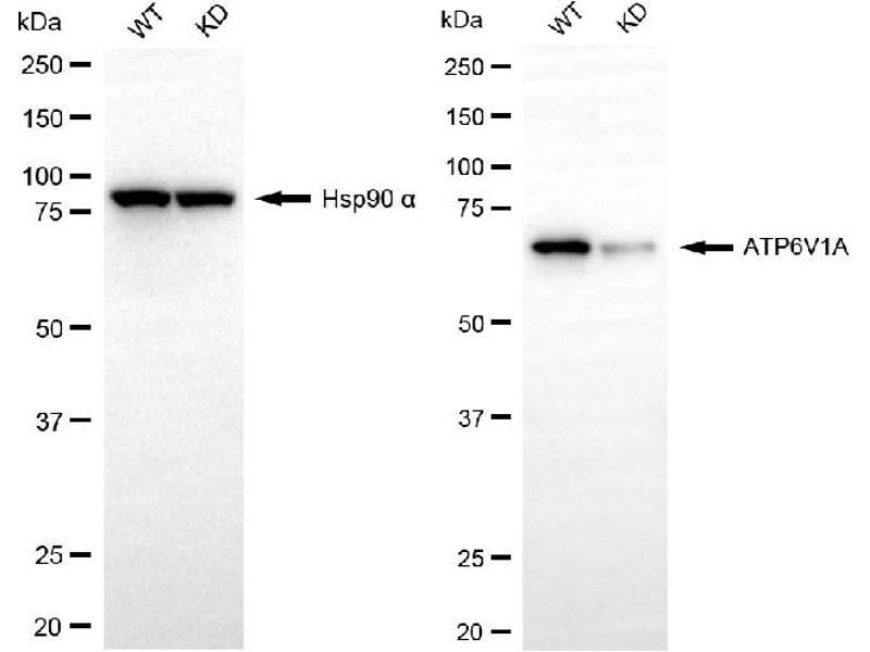
KO Validated ATP6V1A Reactivité: Humain WB, IHC (p), IF, FACS, ICC Hôte: Souris Monoclonal GT811 unconjugated
N° du produit ABIN7468020
765,00 €
Plus frais de livraison 40,00 € et TVA
100 μL
Destination: France
Envoi sous 7 à 10 jours ouvrables
 
KO Validated ATP6V1A Reactivité: Humain WB, IHC (p), IP Hôte: Lapin Polyclonal unconjugated
N° du produit ABIN7468022
765,00 €
Plus frais de livraison 40,00 € et TVA
100 μL
Destination: France
Envoi sous 7 à 10 jours ouvrables
 
KO Validated ATP6V1A Reactivité: Humain WB, FACS Hôte: Souris Monoclonal GT1561 unconjugated
N° du produit ABIN7468021
765,00 €
Plus frais de livraison 40,00 € et TVA
100 μL
Destination: France
Envoi sous 7 à 10 jours ouvrables
 
KO Validated ATP6V1A Reactivité: Humain WB, IHC (p), FACS Hôte: Souris Monoclonal GT3846 unconjugated
N° du produit ABIN7468019
765,00 €
Plus frais de livraison 40,00 € et TVA
100 μL
Destination: France
Envoi sous 7 à 10 jours ouvrables
 
ATP6V1A Reactivité: Humain ELISA Hôte: Lapin Polyclonal Biotin
N° du produit ABIN7175226
328,90 €
Plus frais de livraison 40,00 € et TVA
100 μL (Autres quantités disponibles)
Destination: France
Envoi sous 11 à 15 jours ouvrables
 
  • Type Primary
    • Primary
  • Application
    • Western Blotting (WB)
    • ELISA
    • Immunohistochemistry (IHC)
    • Flow Cytometry (FACS)
    • Immunohistochemistry (Paraffin-embedded Sections) (IHC (p))
    • Immunofluorescence (IF)
    • Immunoprecipitation (IP)
    • Immunocytochemistry (ICC)
    • Immunofluorescence (Paraffin-embedded Sections) (IF (p))
  • Réactivité
    • Human
    • Mouse
    • Rat
    • Cow
    • Dog
    • Horse
    • Monkey
    • Pig
    • Rabbit
    • Zebrafish (Danio rerio)
    • Arabidopsis thaliana
    • Guinea Pig
  • Cité dans publications
  • Images disponible
  • Sans conservateur uniquement
  • Carrier free only
  • Hote
    • Rabbit
    • Mouse
  • Clonalité
    • Polyclonal
    • Monoclonal
  • Clone
    • 24GB6940
    • 25GB3865
    • 4F5
    • GT1561
    • GT3846
    • GT811
    • R08-5E9R08-5E9
    • RB24578
  • Epitope
    • AA 441-468
    • AA 159-405
    • Catalytic Subunit
    • N-Term
    • AA 37-617
    • AA 447-477
    • AA 508-617
    • AA 129-617
    • AA 139-617
    • AA 450-500
    • AA 456-617
    • AA 500-600
    • AA 567-617
    • AA 71-120
    • C-Term
    • Center
    • Internal Region
    • Middle Region
    • Subunit A
  • Conjugué
    • Inconjugué
    • Biotin
    • FITC
    • HRP
    • APC
    • PE
  • Isotype
    • IgG
    • Ig Fraction
    • IgG1
    • IgG2a
    • IgG2b
  • Type Proteine
    • Recombinant Antibody
  • Format
    • Liquid
    • Lyophilized
  • Grade
    • KO Validated
    • KD Validated
  • Supplier
    • antibodies-online
    • Boster Bio
    • Cohesion Biosciences
    • Acris
    • Aviva Systems Biology
    • CUSABIO
    • ProteoGenix
    • USBio

Dernières publications pour nos ATP6V1A Anticorps

Farsi, Gowrisankaran, Krunic, Rammner, Woehler, Lafer, Mim, Jahn, Milosevic: "Clathrin coat controls synaptic vesicle acidification by blocking vacuolar ATPase activity." dans: eLife, Vol. 7, (2018) (PubMed).

Gokey, Dasgupta, Amack: "The V-ATPase accessory protein Atp6ap1b mediates dorsal forerunner cell proliferation and left-right asymmetry in zebrafish." dans: Developmental biology, Vol. 407, Issue 1, pp. 115-30, (2016) (PubMed).

Liberman, Bond, Shainheit, Stadecker, Forgac: "Regulated assembly of vacuolar ATPase is increased during cluster disruption-induced maturation of dendritic cells through a phosphatidylinositol 3-kinase/mTOR-dependent pathway." dans: The Journal of biological chemistry, Vol. 289, Issue 3, pp. 1355-63, (2014) (PubMed).

Grubman, Lidgerwood, Duncan, Bica, Tan, Parker, Caragounis, Meyerowitz, Volitakis, Moujalled, Liddell, Hickey, Horne, Longmuir, Koistinaho, Donnelly, Crouch, Tammen, White, Kanninen: "Deregulation of subcellular biometal homeostasis through loss of the metal transporter, Zip7, in a childhood neurodegenerative disorder." dans: Acta neuropathologica communications, Vol. 2, pp. 25, (2014) (PubMed).

Monteiro, Aires, Becker, Jacinto, Certal, Rodríguez-León: "V-ATPase proton pumping activity is required for adult zebrafish appendage regeneration." dans: PLoS ONE, Vol. 9, Issue 3, pp. e92594, (2014) (PubMed).

Nabatov, Hatzis, Rouschop, van Diest, Vooijs: "Hypoxia inducible NOD2 interacts with 3-O-sulfogalactoceramide and regulates vesicular homeostasis." dans: Biochimica et biophysica acta, Vol. 1830, Issue 11, pp. 5277-86, (2013) (PubMed).

Matsuda, Okada, Kodama, Honda, Iida: "A cytotoxic type III secretion effector of Vibrio parahaemolyticus targets vacuolar H+-ATPase subunit c and ruptures host cell lysosomes." dans: PLoS pathogens, Vol. 8, Issue 7, pp. e1002803, (2012) (PubMed).

Li, Chen, Klemmer, Koopmans, Karupothula, Smit: "Identifying true protein complex constituents in interaction proteomics: the example of the DMXL2 protein complex." dans: Proteomics, Vol. 12, Issue 15-16, pp. 2428-32, (2012) (PubMed).

Huang, Chen, Shen, Shen, Guo, Gao, Zou: "Inhibition of activated Stat3 reverses drug resistance to chemotherapeutic agents in gastric cancer cells." dans: Cancer letters, Vol. 315, Issue 2, pp. 198-205, (2011) (PubMed).

Nylandsted, Becker, Bunkenborg, Andersen, Dengjel, Jäättelä: "ErbB2-associated changes in the lysosomal proteome." dans: Proteomics, Vol. 11, Issue 14, pp. 2830-8, (2011) (PubMed).

Pseudonymes pour ATP6V1A Anticorps

ATPase H+ transporting V1 subunit A (ATP6V1A) Anticorps
ATPase, H+ transporting, lysosomal V1 subunit A (Atp6v1a) Anticorps
ATPase, H+ transporting, lysosomal, V1 subunit Aa (atp6v1aa) Anticorps
ATPase H+ transporting V1 subunit A (Atp6v1a) Anticorps
v-type proton ATPase catalytic subunit A (ANI_1_1468024) Anticorps
v-type proton ATPase catalytic subunit A (AOR_1_602134) Anticorps
vacuolar ATP synthase subunit A (VHA-A) Anticorps
ATPase H+ transporting V1 subunit A L homeolog (atp6v1a.L) Anticorps
vacuolar proton pump 3 (vpp3) Anticorps
Vacuolar H[+] ATPase 68kD subunit 1 (Vha68-1) Anticorps
AI647066 Anticorps
An02g10440 Anticorps
AO090102000349 Anticorps
ATP6A1 Anticorps
Atp6a1 Anticorps
atp6a1 Anticorps
Atp6a2 Anticorps
ATP6V1A Anticorps
ATP6V1A1 Anticorps
Atp6v1a1 Anticorps
atp6v1a1 Anticorps
atp6v1al Anticorps
CG12403 Anticorps
Dmel\CG12403 Anticorps
HO68 Anticorps
ho68 Anticorps
V-ATPase Anticorps
v1a Anticorps
VA68 Anticorps
va68 Anticorps
vacuolar ATP synthase subunit A Anticorps
Vha Anticorps
Vha-68-1 Anticorps
vha67-2 Anticorps
Vha68 Anticorps
vha68-1 Anticorps
Vma1 Anticorps
vma1 Anticorps
VPP2 Anticorps
vpp2 Anticorps
zgc:63516 Anticorps
Vous êtes ici:
Chat with us!