Tel:
+49 (0)241 95 163 153
Fax:
+49 (0)241 95 163 155
E-Mail:
orders@anticorps-enligne.fr

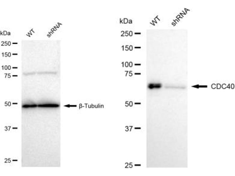
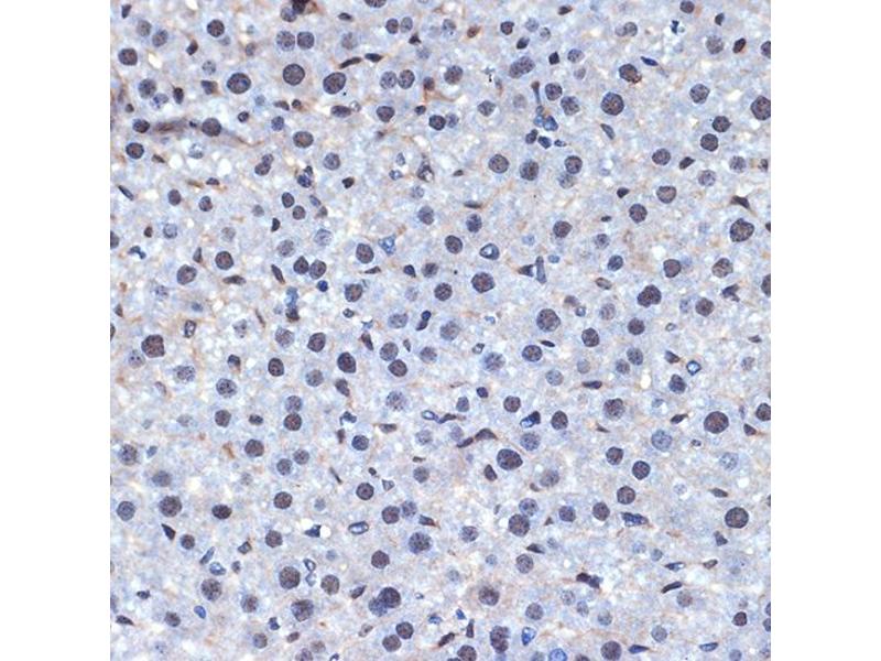
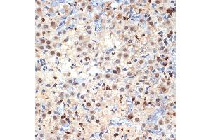
CDC40 Anticorps

(Cell Division Cycle 40 (CDC40))

Choisissez l’un des 56 anticorps CDC40 de notre liste de produits basés sur 17 images de validation.

Découvrez des anticorps CDC40 fiables issus d’une large sélection de fabricants renommés. Notre portefeuille permet une détection précise de CDC40 dans plusieurs espèces, y compris Mouse, Rat, Human, Cow, Dog, Horse, Rabbit, Guinea Pig, Pig, Bat, Chicken, Monkey, Xenopus laevis, Zebrafish (Danio rerio), et prend en charge diverses applications de recherche telles que WB, IHC, ICC, IF (cc), IF (p).

Trouvez rapidement l’anticorps adapté grâce à nos outils de recherche, de filtrage et de comparaison. Chaque page produit fournit des données de validation détaillées, des références bibliographiques et des retours d’utilisateurs. Contrairement aux ressources dédiées uniquement à la comparaison, vous pouvez acheter directement les anticorps sur notre site. Choisissez parmi des anticorps polyclonaux, monoclonaux ou recombinants CDC40, issus de différents hôtes tels que Rabbit, Mouse. Parcourez nos produits ci-dessous et commandez directement pour soutenir vos recherches en toute confiance.

Les noms alternatifs de CDC40 sont CDC40, cdc40, CAALFM_C112750CA, LOC100184816, LOC100636188, AT1G10580, ANI_1_1152064, AOR_1_2740174, CpipJ_CPIJ008035, CpipJ_CPIJ015768, SJAG_00639, PAAG_06400, MCYG_02443, VDBG_03904, MGYG_07449, Tsp_12048, CG6015, LOC413523, prp17, PRP17, Cdc40.

56 Résultats

CDC40 Reactivité: Humain WB, IHC Hôte: Lapin Monoclonal unconjugated
N° du produit ABIN7266255
330,00 €
Plus frais de livraison 40,00 € et TVA
100 μL (Autres quantités disponibles)
Destination: France
Envoi sous 8 à 10 jours ouvrables
 
KD Validated CDC40 Reactivité: Humain WB, FACS Hôte: Lapin Monoclonal 23GB3445 unconjugated Recombinant Antibody
N° du produit ABIN7798012
598,92 €
Plus frais de livraison 40,00 € et TVA
100 μL
Destination: France
Envoi sous 7 à 10 jours ouvrables
 
CDC40 Reactivité: Souris, Rat ELISA, ICC, IF (cc), IF (p), IHC (p), IHC (fro) Hôte: Lapin Polyclonal unconjugated
N° du produit ABIN2172778
357,70 €
Plus frais de livraison 40,00 € et TVA
100 μL
Destination: France
Envoi sous 8 à 12 jours ouvrables
 
CDC40 Reactivité: Humain, Souris, Rat WB, ELISA, ICC, IF Hôte: Lapin Polyclonal unconjugated
N° du produit ABIN6258463
525,71 €
Plus frais de livraison 40,00 € et TVA
100 μL (Autres quantités disponibles)
Destination: France
Envoi sous 9 à 11 jours ouvrables
 
CDC40 Reactivité: Humain, Souris, Rat, Boeuf (Vache) WB, IHC Hôte: Lapin Polyclonal unconjugated
N° du produit ABIN7298146
330,77 €
Plus frais de livraison 40,00 € et TVA
100 μL (Autres quantités disponibles)
Destination: France
Envoi sous 17 à 20 jours ouvrables
 
CDC40 Reactivité: Souris, Rat IF (cc), IF (p) Hôte: Lapin Polyclonal AbBy Fluor® 750
N° du produit ABIN4999722
426,37 €
Plus frais de livraison 40,00 € et TVA
100 μL
Destination: France
Envoi sous 20 à 25 jours ouvrables
 
CDC40 Reactivité: Souris, Rat IF (cc), IF (p) Hôte: Lapin Polyclonal AbBy Fluor® 680
N° du produit ABIN4999721
426,37 €
Plus frais de livraison 40,00 € et TVA
100 μL
Destination: France
Envoi sous 20 à 25 jours ouvrables
 
CDC40 Reactivité: Souris, Rat IF (cc), IF (p) Hôte: Lapin Polyclonal Cy5.5
N° du produit ABIN2172786
437,53 €
Plus frais de livraison 40,00 € et TVA
100 μL
Destination: France
Envoi sous 20 à 25 jours ouvrables
 
CDC40 Reactivité: Souris, Rat IF (cc), IF (p) Hôte: Lapin Polyclonal Cy5
N° du produit ABIN2172785
437,53 €
Plus frais de livraison 40,00 € et TVA
100 μL
Destination: France
Envoi sous 20 à 25 jours ouvrables
 
CDC40 Reactivité: Souris, Rat IF (cc), IF (p) Hôte: Lapin Polyclonal Cy3
N° du produit ABIN2172784
437,53 €
Plus frais de livraison 40,00 € et TVA
100 μL
Destination: France
Envoi sous 20 à 25 jours ouvrables
 
CDC40 Reactivité: Souris, Rat ELISA, IHC (p), IHC (fro) Hôte: Lapin Polyclonal Biotin
N° du produit ABIN2172783
419,50 €
Plus frais de livraison 40,00 € et TVA
100 μL
Destination: France
Envoi sous 20 à 25 jours ouvrables
 
CDC40 Reactivité: Souris, Rat IF (cc), IF (p) Hôte: Lapin Polyclonal AbBy Fluor® 647
N° du produit ABIN2172782
426,37 €
Plus frais de livraison 40,00 € et TVA
100 μL
Destination: France
Envoi sous 20 à 25 jours ouvrables
 
CDC40 Reactivité: Souris, Rat IF (cc), IF (p) Hôte: Lapin Polyclonal AbBy Fluor® 555
N° du produit ABIN2172781
426,37 €
Plus frais de livraison 40,00 € et TVA
100 μL
Destination: France
Envoi sous 20 à 25 jours ouvrables
 
CDC40 Reactivité: Souris, Rat IF (cc), IF (p) Hôte: Lapin Polyclonal AbBy Fluor® 488
N° du produit ABIN2172780
426,37 €
Plus frais de livraison 40,00 € et TVA
100 μL
Destination: France
Envoi sous 20 à 25 jours ouvrables
 
CDC40 Reactivité: Souris, Rat IF (cc), IF (p) Hôte: Lapin Polyclonal AbBy Fluor® 350
N° du produit ABIN2172779
426,37 €
Plus frais de livraison 40,00 € et TVA
100 μL
Destination: France
Envoi sous 20 à 25 jours ouvrables
 
CDC40 Reactivité: Souris, Rat IF (cc), IF (p) Hôte: Lapin Polyclonal FITC
N° du produit ABIN2172788
437,53 €
Plus frais de livraison 40,00 € et TVA
100 μL
Destination: France
Envoi sous 20 à 25 jours ouvrables
 
CDC40 Reactivité: Souris, Rat IF (cc), IF (p) Hôte: Lapin Polyclonal Cy7
N° du produit ABIN2172787
437,53 €
Plus frais de livraison 40,00 € et TVA
100 μL
Destination: France
Envoi sous 20 à 25 jours ouvrables
 
CDC40 Reactivité: Souris, Rat ELISA, IHC (p), IHC (fro) Hôte: Lapin Polyclonal HRP
N° du produit ABIN2172789
437,53 €
Plus frais de livraison 40,00 € et TVA
100 μL
Destination: France
Envoi sous 20 à 25 jours ouvrables
 
CDC40 Reactivité: Humain, Souris, Rat WB, ELISA, IHC (p) Hôte: Lapin Polyclonal unconjugated
N° du produit ABIN7223016
623,62 €
Plus frais de livraison 40,00 € et TVA
100 μL (Autres quantités disponibles)
Destination: France
Envoi sous 10 à 14 jours ouvrables
 
CDC40 Reactivité: Humain, Souris, Rat WB, IHC, ELISA Hôte: Lapin Polyclonal unconjugated
N° du produit ABIN3183815
377,51 €
Plus frais de livraison 40,00 € et TVA
100 μL (Autres quantités disponibles)
Destination: France
Envoi sous 8 à 10 jours ouvrables
 
  • Type Primary
    • Primary
  • Application
    • Western Blotting (WB)
    • Immunohistochemistry (IHC)
    • Immunocytochemistry (ICC)
    • Immunofluorescence (Cultured Cells) (IF (cc))
    • Immunofluorescence (Paraffin-embedded Sections) (IF (p))
    • Immunofluorescence (IF)
    • ELISA
    • Immunohistochemistry (Paraffin-embedded Sections) (IHC (p))
    • Immunoprecipitation (IP)
    • Flow Cytometry (FACS)
    • Immunohistochemistry (Frozen Sections) (IHC (fro))
  • Réactivité
    • Mouse
    • Rat
    • Human
    • Cow
    • Dog
    • Horse
    • Rabbit
    • Guinea Pig
    • Pig
    • Bat
    • Chicken
    • Monkey
    • Xenopus laevis
    • Zebrafish (Danio rerio)
  • Images disponible
  • Carrier free only
  • Hote
    • Rabbit
    • Mouse
  • Clonalité
    • Polyclonal
    • Monoclonal
  • Clone
    • 23GB3445
    • IAO-3
  • Epitope
    • AA 481-579
    • AA 175-225
    • AA 75-125
    • AA 150-230
    • AA 162-211
    • AA 179-228
    • Center
    • Internal Region
    • N-Term
    • Ser209
  • Conjugué
    • Inconjugué
    • Biotin
    • Alexa Fluor 488
    • Alexa Fluor 555
    • Alexa Fluor 594
    • Alexa Fluor 647
    • Alexa Fluor 680
    • Alexa Fluor 750
    • AbBy Fluor® 350
    • AbBy Fluor® 488
    • AbBy Fluor® 555
    • AbBy Fluor® 594
    • AbBy Fluor® 647
    • AbBy Fluor® 680
    • AbBy Fluor® 750
    • Alexa Fluor 350
    • Alexa Fluor 405
    • Cy3
    • Cy5
    • Cy5.5
    • Cy7
    • FITC
    • HRP
  • Isotype
    • IgG
  • Type Proteine
    • Recombinant Antibody
  • Format
    • Liquid
    • Lyophilized
  • Grade
    • KD Validated
  • Supplier
    • antibodies-online
    • Signalway
    • Cohesion Biosciences
    • Assay Biotechnology Company, Inc.
    • Aviva Systems Biology
    • Boster Bio

Dernières publications pour nos CDC40 Anticorps

Ben-Yehuda, Dix, Russell, McGarvey, Beggs, Kupiec: "Genetic and physical interactions between factors involved in both cell cycle progression and pre-mRNA splicing in Saccharomyces cerevisiae." dans: Genetics, Vol. 156, Issue 4, pp. 1503-17, (2000) (PubMed).

Pseudonymes pour CDC40 Anticorps

cell division cycle 40 (CDC40) Anticorps
cell division cycle 40 (cdc40) Anticorps
hypothetical protein (CAALFM_C112750CA) Anticorps
cell division cycle 40 homolog (S. cerevisiae) (CDC40) Anticorps
pre-mRNA-processing factor 17 (LOC100184816) Anticorps
pre-mRNA-processing factor 17 (LOC100636188) Anticorps
cell division cycle 40 homolog (S. cerevisiae) (cdc40) Anticorps
Transducin/WD40 repeat-like superfamily protein (AT1G10580) Anticorps
pre-mRNA-processing factor 17 (ANI_1_1152064) Anticorps
pre-mRNA-processing factor 17 (AOR_1_2740174) Anticorps
pre-mRNA-processing factor 17 (CpipJ_CPIJ008035) Anticorps
pre-mRNA-processing factor 17 (CpipJ_CPIJ015768) Anticorps
splicing factor Prp17 (SJAG_00639) Anticorps
pre-mRNA-processing factor 17 (PAAG_06400) Anticorps
pre-mRNA-processing factor 17 (MCYG_02443) Anticorps
pre-mRNA-processing factor 17 (VDBG_03904) Anticorps
pre-mRNA-processing factor 17 (MGYG_07449) Anticorps
Pre-mRNA-processing factor 17 (Tsp_12048) Anticorps
CG6015 gene product from transcript CG6015-RA (CG6015) Anticorps
pre-mRNA-processing factor 17 (LOC413523) Anticorps
Cdc40p (CDC40) Anticorps
splicing factor Prp17 (prp17) Anticorps
nuclear pre-mRNA splicing factor, component of the spliceosome (PRP17) Anticorps
mRNA splicing factor PRP17 (prp17) Anticorps
cell division cycle 40 (Cdc40) Anticorps
1200003H23Rik Anticorps
An07g09150 Anticorps
AO090005001571 Anticorps
CDC40 Anticorps
DKFZp459B247 Anticorps
Dmel\\CG6015 Anticorps
EHB3 Anticorps
GB11047 Anticorps
prp17 Anticorps
PRP17 Anticorps
PRPF17 Anticorps
SLT15 Anticorps
SLU4 Anticorps
T10O24.21 Anticorps
T10O24_21 Anticorps
zgc:86860 Anticorps
Vous êtes ici:
Chat with us!