Tel:
+49 (0)241 95 163 153
Fax:
+49 (0)241 95 163 155
E-Mail:
orders@anticorps-enligne.fr

CUBN Anticorps

(Cubilin (Intrinsic Factor-Cobalamin Receptor) (CUBN))

Choisissez l’un des 65 anticorps CUBN de notre liste de produits basés sur 26 images de validation.

Découvrez des anticorps CUBN fiables issus d’une large sélection de fabricants renommés. Notre portefeuille permet une détection précise de CUBN dans plusieurs espèces, y compris Human, Rat, Mouse, et prend en charge diverses applications de recherche telles que WB, IHC, IF (cc), IF (p), ICC.

Trouvez rapidement l’anticorps adapté grâce à nos outils de recherche, de filtrage et de comparaison. Chaque page produit fournit des données de validation détaillées, des références bibliographiques et des retours d’utilisateurs. Contrairement aux ressources dédiées uniquement à la comparaison, vous pouvez acheter directement les anticorps sur notre site. Choisissez parmi des anticorps polyclonaux, monoclonaux ou recombinants CUBN, issus de différents hôtes tels que Rabbit, Mouse. Parcourez nos produits ci-dessous et commandez directement pour soutenir vos recherches en toute confiance.

Les noms alternatifs de CUBN sont LOC411053, CUBN, cubn, Cubn.

65 Résultats

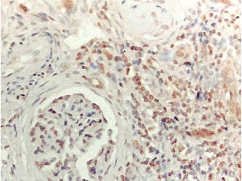
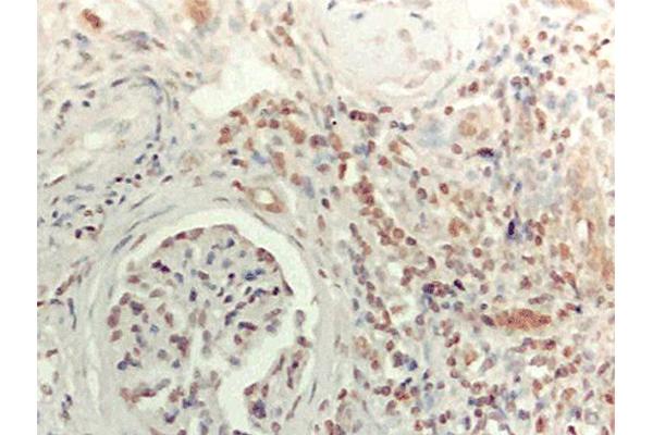
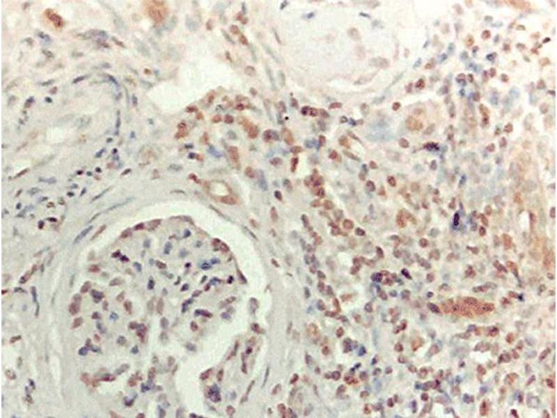
CUBN Reactivité: Humain, Rat, Souris WB, IHC, IF Hôte: Lapin Polyclonal unconjugated
N° du produit ABIN7073601
592,31 €
Plus frais de livraison 40,00 € et TVA
100 μL
Destination: France
Envoi sous 13 à 20 jours ouvrables
 
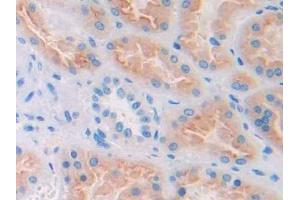
CUBN Reactivité: Humain ELISA, IF (cc), IF (p), IHC (p), IHC (fro) Hôte: Lapin Polyclonal unconjugated
N° du produit ABIN750868
357,70 €
Plus frais de livraison 40,00 € et TVA
100 μL
Destination: France
Envoi sous 8 à 12 jours ouvrables
 
CUBN Reactivité: Humain WB, IHC, IP, ICC Hôte: Lapin Polyclonal unconjugated
N° du produit ABIN7434884
310,62 €
Plus frais de livraison 40,00 € et TVA
100 μL (Autres quantités disponibles)
Destination: France
Envoi sous 11 à 15 jours ouvrables
 
CUBN Reactivité: Souris WB, IHC, IP, ICC Hôte: Lapin Polyclonal unconjugated
N° du produit ABIN7437311
317,29 €
Plus frais de livraison 40,00 € et TVA
100 μL (Autres quantités disponibles)
Destination: France
Envoi sous 11 à 15 jours ouvrables
 
CUBN Reactivité: Humain WB, IHC, ICC, ELISA, IF Hôte: Lapin Polyclonal unconjugated
N° du produit ABIN6261105
525,71 €
Plus frais de livraison 40,00 € et TVA
100 μL (Autres quantités disponibles)
Destination: France
Envoi sous 9 à 11 jours ouvrables
 
CUBN Reactivité: Rat WB, IHC, IP, ICC Hôte: Lapin Polyclonal unconjugated
N° du produit ABIN1858565
266,00 €
Plus frais de livraison 40,00 € et TVA
100 μL (Autres quantités disponibles)
Destination: France
Envoi sous 11 à 15 jours ouvrables
 
CUBN Reactivité: Rat WB, IHC, IP, ICC Hôte: Lapin Polyclonal unconjugated
N° du produit ABIN1858562
266,00 €
Plus frais de livraison 40,00 € et TVA
100 μL (Autres quantités disponibles)
Destination: France
Envoi sous 11 à 15 jours ouvrables
 
CUBN Reactivité: Humain WB, IHC, IP, ICC Hôte: Lapin Polyclonal unconjugated
N° du produit ABIN1858561
245,00 €
Plus frais de livraison 40,00 € et TVA
100 μL (Autres quantités disponibles)
Destination: France
Envoi sous 11 à 15 jours ouvrables
 
CUBN Reactivité: Rat WB, IHC, IP, ICC Hôte: Lapin Polyclonal unconjugated
N° du produit ABIN7437314
330,65 €
Plus frais de livraison 40,00 € et TVA
100 μL (Autres quantités disponibles)
Destination: France
Envoi sous 11 à 15 jours ouvrables
 
CUBN Reactivité: Souris WB, IHC, IP, ICC Hôte: Lapin Polyclonal unconjugated
N° du produit ABIN1858563
252,00 €
Plus frais de livraison 40,00 € et TVA
100 μL (Autres quantités disponibles)
Destination: France
Envoi sous 11 à 15 jours ouvrables
 
CUBN Reactivité: Humain WB, IHC (p) Hôte: Lapin Monoclonal 7B12 unconjugated
N° du produit ABIN6942736
456,42 €
Plus frais de livraison 40,00 € et TVA
100 μL
Destination: France
Envoi sous 12 à 17 jours ouvrables
 
CUBN Reactivité: Humain IF (cc), IF (p) Hôte: Lapin Polyclonal AbBy Fluor® 750
N° du produit ABIN5000704
426,37 €
Plus frais de livraison 40,00 € et TVA
100 μL
Destination: France
Envoi sous 20 à 25 jours ouvrables
 
CUBN Reactivité: Humain IF (cc), IF (p) Hôte: Lapin Polyclonal AbBy Fluor® 680
N° du produit ABIN5000703
426,37 €
Plus frais de livraison 40,00 € et TVA
100 μL
Destination: France
Envoi sous 20 à 25 jours ouvrables
 
CUBN Reactivité: Souris WB, IHC, ICC Hôte: Lapin Polyclonal Biotin
N° du produit ABIN7698017
454,65 €
Plus frais de livraison 40,00 € et TVA
200 μL (Autres quantités disponibles)
Destination: France
Envoi sous 11 à 15 jours ouvrables
 
CUBN Reactivité: Rat WB, IHC, ICC Hôte: Lapin Polyclonal Biotin
N° du produit ABIN7699407
475,63 €
Plus frais de livraison 40,00 € et TVA
200 μL (Autres quantités disponibles)
Destination: France
Envoi sous 11 à 15 jours ouvrables
 
CUBN Reactivité: Souris WB, IHC, ICC, IF Hôte: Lapin Polyclonal FITC
N° du produit ABIN7701925
557,66 €
Plus frais de livraison 40,00 € et TVA
200 μL (Autres quantités disponibles)
Destination: France
Envoi sous 11 à 15 jours ouvrables
 
CUBN Reactivité: Humain WB, IHC, ELISA Hôte: Lapin Polyclonal unconjugated
N° du produit ABIN7568864
527,38 €
Plus frais de livraison 40,00 € et TVA
100 μg
Destination: France
Envoi sous 10 à 13 jours ouvrables
 
CUBN Reactivité: Humain ELISA, IHC (p) Hôte: Lapin Polyclonal unconjugated
N° du produit ABIN7225140
623,62 €
Plus frais de livraison 40,00 € et TVA
100 μL (Autres quantités disponibles)
Destination: France
Envoi sous 10 à 14 jours ouvrables
 
CUBN Reactivité: Humain IF (cc), IF (p) Hôte: Lapin Polyclonal APC
N° du produit ABIN7542925
437,53 €
Plus frais de livraison 40,00 € et TVA
100 μL
Destination: France
Envoi sous 20 à 25 jours ouvrables
 
CUBN Reactivité: Humain IF (cc), IF (p) Hôte: Lapin Polyclonal PE
N° du produit ABIN7542924
446,11 €
Plus frais de livraison 40,00 € et TVA
100 μL
Destination: France
Envoi sous 20 à 25 jours ouvrables
 
  • Type Primary
    • Primary
  • Application
    • Western Blotting (WB)
    • Immunohistochemistry (IHC)
    • Immunofluorescence (Cultured Cells) (IF (cc))
    • Immunofluorescence (Paraffin-embedded Sections) (IF (p))
    • Immunocytochemistry (ICC)
    • Immunoprecipitation (IP)
    • ELISA
    • Immunohistochemistry (Paraffin-embedded Sections) (IHC (p))
    • Immunofluorescence (IF)
    • Immunohistochemistry (Frozen Sections) (IHC (fro))
    • Immunofluorescence (fixed cells) (IF/ICC)
  • Réactivité
    • Human
    • Rat
    • Mouse
  • Images disponible
  • Carrier free only
  • Hote
    • Rabbit
    • Mouse
  • Clonalité
    • Polyclonal
    • Monoclonal
  • Clone
    • 7B12
  • Epitope
    • AA 51-150
    • AA 3157-3274
    • AA 3511-3623
    • N-Term
    • AA 98-207
  • Conjugué
    • Inconjugué
    • Biotin
    • FITC
    • Alexa Fluor 488
    • Alexa Fluor 555
    • Alexa Fluor 594
    • Alexa Fluor 647
    • Alexa Fluor 680
    • Alexa Fluor 750
    • APC
    • AbBy Fluor® 350
    • AbBy Fluor® 488
    • AbBy Fluor® 555
    • AbBy Fluor® 594
    • AbBy Fluor® 647
    • AbBy Fluor® 680
    • AbBy Fluor® 750
    • Alexa Fluor 350
    • Alexa Fluor 405
    • Cy3
    • Cy5
    • Cy5.5
    • Cy7
    • HRP
    • PE
  • Isotype
    • IgG
  • Type Proteine
    • Recombinant Antibody
  • Format
    • Liquid
  • Supplier
    • antibodies-online
    • Signalway
    • Cloud-Clone
    • Abbexa
    • ProteoGenix

Dernières publications pour nos CUBN Anticorps

Christensen, Birn: "Megalin and cubilin: synergistic endocytic receptors in renal proximal tubule." dans: American journal of physiology. Renal physiology, Vol. 280, Issue 4, pp. F562-73, (2001) (PubMed).

Pseudonymes pour CUBN Anticorps

cubilin (LOC411053) Anticorps
cubilin (CUBN) Anticorps
cubilin (cubn) Anticorps
cubilin (intrinsic factor-cobalamin receptor) (cubn) Anticorps
cubilin (Cubn) Anticorps
cubilin (intrinsic factor-cobalamin receptor) (Cubn) Anticorps
AA408369 Anticorps
AL022750 Anticorps
D2Wsu88e Anticorps
GP280 Anticorps
gp280 Anticorps
IFCR Anticorps
MGA1 Anticorps
Vous êtes ici:
Chat with us!