Tel:
+49 (0)241 95 163 153
Fax:
+49 (0)241 95 163 155
E-Mail:
orders@anticorps-enligne.fr

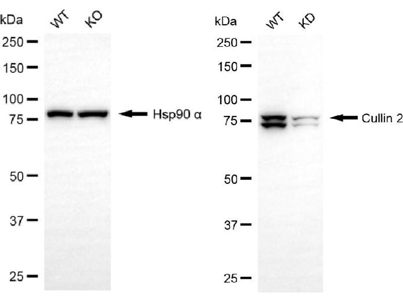
Cullin 2 Anticorps

(Cullin 2 (CUL2))

Choisissez l’un des 87 anticorps Cullin 2 de notre liste de produits basés sur 4 publications et 45 images de validation.

Découvrez des anticorps Cullin 2 fiables issus d’une large sélection de fabricants renommés. Notre portefeuille permet une détection précise de Cullin 2 dans plusieurs espèces, y compris Human, Mouse, Rat, Dog, Cow, Chicken, Pig, Xenopus laevis, Horse, Guinea Pig, Monkey, Rabbit, Bat, Sheep, et prend en charge diverses applications de recherche telles que WB, ELISA, IF, IP, IHC.

Trouvez rapidement l’anticorps adapté grâce à nos outils de recherche, de filtrage et de comparaison. Chaque page produit fournit des données de validation détaillées, des références bibliographiques et des retours d’utilisateurs. Contrairement aux ressources dédiées uniquement à la comparaison, vous pouvez acheter directement les anticorps sur notre site. Choisissez parmi des anticorps polyclonaux, monoclonaux ou recombinants Cullin 2, issus de différents hôtes tels que Rabbit, Mouse, Goat. Parcourez nos produits ci-dessous et commandez directement pour soutenir vos recherches en toute confiance.

Les noms alternatifs de Cullin 2 sont cul2, CUL2, PTRG_05231, Smp_079740, LOC100550749, Cul2, cul2.L, cul-2.

87 Résultats

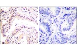
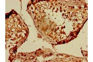
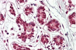
CUL2 Reactivité: Humain, Souris, Rat WB, ELISA, IHC, IF, ICC Hôte: Lapin Polyclonal unconjugated
Pubmed 1 reference
N° du produit ABIN6261115
525,71 €
Plus frais de livraison 40,00 € et TVA
100 μL (Autres quantités disponibles)
Destination: France
Envoi sous 9 à 11 jours ouvrables
 
CUL2 Reactivité: Humain, Souris, Rat, Chien WB, IHC, IF, IP Hôte: Souris Monoclonal 4-CUL unconjugated
Pubmed 2 références
N° du produit ABIN968173
164,17 €
Plus frais de livraison 40,00 € et TVA
50 μg
Destination: France
Envoi sous 12 à 15 jours ouvrables
 
KD Validated CUL2 Reactivité: Humain WB, FACS Hôte: Lapin Monoclonal 25GB3070 unconjugated Recombinant Antibody
N° du produit ABIN7798177
598,92 €
Plus frais de livraison 40,00 € et TVA
100 μL
Destination: France
Envoi sous 7 à 10 jours ouvrables
 
CUL2 Reactivité: Humain, Souris IHC, IF Hôte: Lapin Polyclonal unconjugated
N° du produit ABIN7260691
580,00 €
Plus frais de livraison 40,00 € et TVA
200 μL (Autres quantités disponibles)
Destination: France
Envoi sous 9 à 13 jours ouvrables
 
CUL2 Reactivité: Humain, Souris WB, ELISA, IHC, IF Hôte: Lapin Polyclonal unconjugated
N° du produit ABIN3184130
377,51 €
Plus frais de livraison 40,00 € et TVA
100 μL (Autres quantités disponibles)
Destination: France
Envoi sous 8 à 10 jours ouvrables
 
CUL2 Reactivité: Humain, Souris WB Hôte: Lapin Polyclonal RB33843 unconjugated
N° du produit ABIN1539078
434,77 €
Plus frais de livraison 40,00 € et TVA
400 μL (Autres quantités disponibles)
Destination: France
Envoi sous 14 à 17 jours ouvrables
 
CUL2 Reactivité: Humain WB, ELISA Hôte: Souris Polyclonal unconjugated
Pubmed 1 reference
N° du produit ABIN563635
508,80 €
Plus frais de livraison 40,00 € et TVA
50 μL
Destination: France
Envoi sous 8 à 9 jours ouvrables
 
CUL2 Reactivité: Humain WB, ELISA, IF Hôte: Souris Monoclonal 4G11 unconjugated
N° du produit ABIN521912
651,20 €
Plus frais de livraison 40,00 € et TVA
100 μg
Destination: France
Envoi sous 8 à 9 jours ouvrables
 
Verified CUL2 Reactivité: Humain, Souris WB, ELISA, IHC Hôte: Chèvre Polyclonal unconjugated
N° du produit ABIN571170
488,25 €
Plus frais de livraison 40,00 € et TVA
100 μg
Destination: France
Envoi sous 5 à 8 jours ouvrables
 
CUL2 Reactivité: Humain WB, ELISA, IHC, IF Hôte: Lapin Polyclonal unconjugated
N° du produit ABIN7184770
218,90 €
Plus frais de livraison 40,00 € et TVA
100 μg (Autres quantités disponibles)
Destination: France
Envoi sous 11 à 15 jours ouvrables
 
CUL2 Reactivité: Humain WB, ELISA, IHC Hôte: Lapin Polyclonal unconjugated
N° du produit ABIN7148749
328,90 €
Plus frais de livraison 40,00 € et TVA
100 μg (Autres quantités disponibles)
Destination: France
Envoi sous 11 à 15 jours ouvrables
 
CUL2 Reactivité: Humain WB, IHC Hôte: Lapin Monoclonal unconjugated
N° du produit ABIN7266542
330,00 €
Plus frais de livraison 40,00 € et TVA
100 μL (Autres quantités disponibles)
Destination: France
Envoi sous 8 à 10 jours ouvrables
 
CUL2 Reactivité: Humain WB, IF Hôte: Lapin Polyclonal unconjugated
N° du produit ABIN6139249
320,00 €
Plus frais de livraison 40,00 € et TVA
100 μL (Autres quantités disponibles)
Destination: France
Envoi sous 8 à 10 jours ouvrables
 
CUL2 Reactivité: Humain, Souris WB, ELISA, IHC, IF Hôte: Lapin Polyclonal unconjugated
N° du produit ABIN1533245
402,00 €
Plus frais de livraison 40,00 € et TVA
100 μL (Autres quantités disponibles)
Destination: France
Envoi sous 6 à 9 jours ouvrables
 
CUL2 Reactivité: Humain, Souris, Rat, Chien, Boeuf (Vache), Poulet, Porc WB, IHC, IF Hôte: Lapin Polyclonal unconjugated
N° du produit ABIN7297372
330,77 €
Plus frais de livraison 40,00 € et TVA
100 μL (Autres quantités disponibles)
Destination: France
Envoi sous 17 à 20 jours ouvrables
 
CUL2 Reactivité: Humain, Souris, Rat WB Hôte: Lapin Polyclonal unconjugated
N° du produit ABIN3043009
500,50 €
Plus frais de livraison 40,00 € et TVA
100 μg
Destination: France
Envoi sous 8 à 12 jours ouvrables
 
CUL2 Reactivité: Humain, Souris WB, ELISA Hôte: Lapin Polyclonal unconjugated
N° du produit ABIN7242053
449,00 €
Plus frais de livraison 40,00 € et TVA
200 μL (Autres quantités disponibles)
Destination: France
Envoi sous 9 à 13 jours ouvrables
 
CUL2 Reactivité: Humain, Souris, Rat, Chien, Boeuf (Vache), Poulet, Porc, Cheval, Xenopus laevis, Cobaye, Singe, Lapin WB Hôte: Lapin Polyclonal unconjugated
N° du produit ABIN6744352
789,41 €
Plus frais de livraison 40,00 € et TVA
100 μL
Destination: France
Envoi sous 15 à 20 jours ouvrables
 
CUL2 Reactivité: Humain, Souris, Rat WB, ELISA, FACS Hôte: Lapin Polyclonal unconjugated
N° du produit ABIN6719399
500,50 €
Plus frais de livraison 40,00 € et TVA
100 μg
Destination: France
Envoi sous 8 à 12 jours ouvrables
 
CUL2 Reactivité: Humain, Souris, Rat WB, IHC (p), IF (cc) Hôte: Lapin Monoclonal 4C9 unconjugated
N° du produit ABIN6942737
456,42 €
Plus frais de livraison 40,00 € et TVA
100 μL
Destination: France
Envoi sous 12 à 17 jours ouvrables
 
  • Type Primary
    • Primary
  • Application
    • Western Blotting (WB)
    • ELISA
    • Immunofluorescence (IF)
    • Immunoprecipitation (IP)
    • Immunohistochemistry (IHC)
    • Immunofluorescence (Cultured Cells) (IF (cc))
    • Immunocytochemistry (ICC)
    • Immunofluorescence (Paraffin-embedded Sections) (IF (p))
    • Flow Cytometry (FACS)
    • Immunohistochemistry (Paraffin-embedded Sections) (IHC (p))
    • Immunohistochemistry (Frozen Sections) (IHC (fro))
    • Immunohistochemistry (Formalin-fixed Paraffin-embedded Sections) (IHC (fp))
  • Réactivité
    • Human
    • Mouse
    • Rat
    • Dog
    • Cow
    • Chicken
    • Pig
    • Xenopus laevis
    • Horse
    • Guinea Pig
    • Monkey
    • Rabbit
    • Bat
    • Sheep
  • Cité dans publications
  • Images disponible
  • Sans conservateur uniquement
  • Carrier free only
  • Hote
    • Rabbit
    • Mouse
    • Goat
  • Clonalité
    • Polyclonal
    • Monoclonal
  • Clone
    • 19C43
    • 25GB3070
    • 4-CUL
    • 4C9
    • 4G11
    • R09-8A9
    • RB33843
  • Epitope
    • AA 365-745
    • C-Term
    • AA 150-179
    • AA 591-742
    • AA 150-200
    • AA 1-100
    • AA 264-280
    • AA 695-745
    • Middle Region
    • N-Term
    • AA 149-179
    • AA 18-182
    • AA 389-745
    • AA 40-310
    • AA 526-745
    • AA 670-750
    • AA 696-745
    • AA 733-745
    • Ile726
  • Conjugué
    • Inconjugué
    • Biotin
    • FITC
    • Alexa Fluor 488
    • Alexa Fluor 555
    • Alexa Fluor 594
    • Alexa Fluor 647
    • Alexa Fluor 680
    • Alexa Fluor 750
    • HRP
    • APC
    • AbBy Fluor® 350
    • AbBy Fluor® 488
    • AbBy Fluor® 555
    • AbBy Fluor® 594
    • AbBy Fluor® 647
    • AbBy Fluor® 680
    • AbBy Fluor® 750
    • Alexa Fluor 350
    • Alexa Fluor 405
    • Cy3
    • Cy5
    • Cy5.5
    • Cy7
    • PE
  • Isotype
    • IgG
    • Ig Fraction
    • IgG1
    • IgG2a
  • Type Proteine
    • Recombinant Antibody
  • Format
    • Liquid
    • Lyophilized
  • Grade
    • KD Validated
    • Verified
  • Supplier
    • antibodies-online
    • Signalway
    • Boster Bio
    • Abbexa
    • Assay Biotechnology Company, Inc.
    • BD Biosciences
    • Cohesion Biosciences
    • ProteoGenix
    • USBio

Dernières publications pour nos Cullin 2 Anticorps

Meng, Chen, Han, Qian, Wang, Zhong, Qin, Zhang, Gao, Lei, Yang, Yang, Zhang, Liu, Liu, Zhou, Sun, Yang: "Twist1 Regulates Vimentin through Cul2 Circular RNA to Promote EMT in Hepatocellular Carcinoma." dans: Cancer research, Vol. 78, Issue 15, pp. 4150-4162, (2018) (PubMed).

Argyropoulos, Stütz, Ilnytska, Rice, Teran-Garcia, Rao, Bouchard, Rankinen: "KIF5B gene sequence variation and response of cardiac stroke volume to regular exercise." dans: Physiological genomics, Vol. 36, Issue 2, pp. 79-88, (2009) (PubMed).

Shiraishi, Zhou, Aoki, Sato, Chiba, Tanaka, Yoshida, Nabeshima, Nabeshima, Tamura: "TBP-interacting protein 120B (TIP120B)/cullin-associated and neddylation-dissociated 2 (CAND2) inhibits SCF-dependent ubiquitination of myogenin and accelerates myogenic differentiation." dans: The Journal of biological chemistry, Vol. 282, Issue 12, pp. 9017-28, (2007) (PubMed).

Maine, Mao, Komarck, Burstein: "COMMD1 promotes the ubiquitination of NF-kappaB subunits through a cullin-containing ubiquitin ligase." dans: The EMBO journal, Vol. 26, Issue 2, pp. 436-47, (2007) (PubMed).

Saitoh, Pizzi, Wang: "Perturbation of SUMOlation enzyme Ubc9 by distinct domain within nucleoporin RanBP2/Nup358." dans: The Journal of biological chemistry, Vol. 277, Issue 7, pp. 4755-63, (2002) (PubMed).

Feng, Zhong, Punkosdy, Gu, Zhou, Seabolt, Kipreos: "CUL-2 is required for the G1-to-S-phase transition and mitotic chromosome condensation in Caenorhabditis elegans." dans: Nature cell biology, Vol. 1, Issue 8, pp. 486-92, (2000) (PubMed).

Clifford, Walsh, Hewson, Green, Brinke, Green, Gianelli, Eng, Maher et al.: "Genomic organization and chromosomal localization of the human CUL2 gene and the role of von Hippel-Lindau tumor suppressor-binding protein (CUL2 and VBP1) mutation and loss in renal-cell carcinoma ..." dans: Genes, chromosomes & cancer, Vol. 26, Issue 1, pp. 20-8, (1999) (PubMed).

Michel, Xiong: "Human CUL-1, but not other cullin family members, selectively interacts with SKP1 to form a complex with SKP2 and cyclin A." dans: Cell growth & differentiation : the molecular biology journal of the American Association for Cancer Research, Vol. 9, Issue 6, pp. 435-49, (1998) (PubMed).

Pause, Lee, Worrell, Chen, Burgess, Linehan, Klausner: "The von Hippel-Lindau tumor-suppressor gene product forms a stable complex with human CUL-2, a member of the Cdc53 family of proteins." dans: Proceedings of the National Academy of Sciences of the United States of America, Vol. 94, Issue 6, pp. 2156-61, (1997) (PubMed).

Kipreos, Lander, Wing, He, Hedgecock: "cul-1 is required for cell cycle exit in C. elegans and identifies a novel gene family." dans: Cell, Vol. 85, Issue 6, pp. 829-39, (1996) (PubMed).

Pseudonymes pour Cullin 2 Anticorps

cullin 2 (cul2) Anticorps
cullin 2 (CUL2) Anticorps
cullin-2 (PTRG_05231) Anticorps
putative cullin-2 (cul-2) (Smp_079740) Anticorps
cullin-2 (LOC100550749) Anticorps
cullin 2 (Cul2) Anticorps
cullin 2 L homeolog (cul2.L) Anticorps
Cullin-2 (cul-2) Anticorps
1300003D18Rik Anticorps
4932411N15Rik Anticorps
AI327301 Anticorps
ATCUL2 Anticorps
cul2 Anticorps
Cullin-2 Anticorps
cullin-2 Anticorps
cullin 2 Anticorps
F22D16.2 Anticorps
F22D16_2 Anticorps
fj48a06 Anticorps
LOC100221330 Anticorps
mKIAA4106 Anticorps
wu:fj48a06 Anticorps
Vous êtes ici:
Chat with us!