Tel:
+49 (0)241 95 163 153
Fax:
+49 (0)241 95 163 155
E-Mail:
orders@anticorps-enligne.fr

CYP2S1 Anticorps

(Cytochrome P450, Family 2, Subfamily S, Polypeptide 1 (CYP2S1))

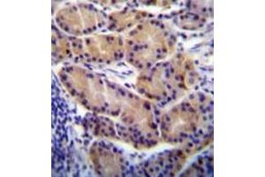
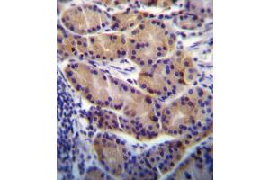
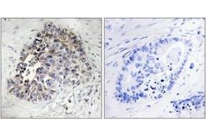
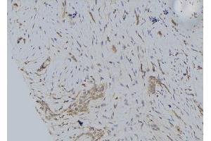
Choisissez l’un des 34 anticorps CYP2S1 de notre liste de produits basés sur 2 publications et 21 images de validation.

Découvrez des anticorps CYP2S1 fiables issus d’une large sélection de fabricants renommés. Notre portefeuille permet une détection précise de CYP2S1 dans plusieurs espèces, y compris Human, Mouse, Rat, Cow, Dog, Goat, Guinea Pig, Horse, Monkey, Pig, Rabbit, Sheep, et prend en charge diverses applications de recherche telles que WB, IF, ELISA, IF (cc), IF (p).

Trouvez rapidement l’anticorps adapté grâce à nos outils de recherche, de filtrage et de comparaison. Chaque page produit fournit des données de validation détaillées, des références bibliographiques et des retours d’utilisateurs. Contrairement aux ressources dédiées uniquement à la comparaison, vous pouvez acheter directement les anticorps sur notre site. Choisissez parmi des anticorps polyclonaux, monoclonaux ou recombinants CYP2S1, issus de différents hôtes tels que Rabbit. Parcourez nos produits ci-dessous et commandez directement pour soutenir vos recherches en toute confiance.

Les noms alternatifs de CYP2S1 sont Cyp2s1, CYP2S1.

34 Résultats

CYP2S1 Reactivité: Humain WB, IF, IHC (p) Hôte: Lapin Polyclonal RB17020 unconjugated
Pubmed 2 références
N° du produit ABIN656566
434,77 €
Plus frais de livraison 40,00 € et TVA
400 μL (Autres quantités disponibles)
Destination: France
Envoi sous 14 à 17 jours ouvrables
 
CYP2S1 Reactivité: Humain, Souris WB, ELISA, IF, IHC, ICC Hôte: Lapin Polyclonal unconjugated
N° du produit ABIN6258505
525,71 €
Plus frais de livraison 40,00 € et TVA
100 μL (Autres quantités disponibles)
Destination: France
Envoi sous 9 à 11 jours ouvrables
 
CYP2S1 Reactivité: Souris, Rat IF, IHC Hôte: Lapin Polyclonal unconjugated
N° du produit ABIN7073673
592,31 €
Plus frais de livraison 40,00 € et TVA
100 μL
Destination: France
Envoi sous 13 à 20 jours ouvrables
 
CYP2S1 Reactivité: Humain, Souris WB, ELISA, IF, IHC Hôte: Lapin Polyclonal unconjugated
N° du produit ABIN1534391
402,00 €
Plus frais de livraison 40,00 € et TVA
100 μL (Autres quantités disponibles)
Destination: France
Envoi sous 6 à 9 jours ouvrables
 
CYP2S1 Reactivité: Humain WB, IF, IHC (p), EIA Hôte: Lapin Polyclonal unconjugated
N° du produit ABIN951784
870,77 €
Plus frais de livraison 40,00 € et TVA
0.4 mL
Destination: France
Envoi sous 17 jours ouvrables
 
CYP2S1 Reactivité: Humain, Souris WB, IF, IHC Hôte: Lapin Polyclonal unconjugated
N° du produit ABIN7300598
330,77 €
Plus frais de livraison 40,00 € et TVA
100 μL (Autres quantités disponibles)
Destination: France
Envoi sous 17 à 20 jours ouvrables
 
CYP2S1 Reactivité: Humain, Singe WB Hôte: Lapin Polyclonal unconjugated
N° du produit ABIN6746052
789,41 €
Plus frais de livraison 40,00 € et TVA
100 μL
Destination: France
Envoi sous 15 à 20 jours ouvrables
 
CYP2S1 Reactivité: Humain, Souris WB, ELISA, IF, IHC Hôte: Lapin Polyclonal unconjugated
N° du produit ABIN3184190
377,51 €
Plus frais de livraison 40,00 € et TVA
100 μL (Autres quantités disponibles)
Destination: France
Envoi sous 8 à 10 jours ouvrables
 
CYP2S1 Reactivité: Humain WB, IF (cc), IF (p) Hôte: Lapin Polyclonal AbBy Fluor® 750
N° du produit ABIN5000879
426,37 €
Plus frais de livraison 40,00 € et TVA
100 μL
Destination: France
Envoi sous 20 à 25 jours ouvrables
 
CYP2S1 Reactivité: Humain WB, IF (cc), IF (p) Hôte: Lapin Polyclonal AbBy Fluor® 680
N° du produit ABIN5000878
426,37 €
Plus frais de livraison 40,00 € et TVA
100 μL
Destination: France
Envoi sous 20 à 25 jours ouvrables
 
CYP2S1 Reactivité: Humain WB, IF (cc), IF (p) Hôte: Lapin Polyclonal AbBy Fluor® 350
N° du produit ABIN1692710
426,37 €
Plus frais de livraison 40,00 € et TVA
100 μL
Destination: France
Envoi sous 20 à 25 jours ouvrables
 
CYP2S1 Reactivité: Humain WB, IF (cc), IF (p) Hôte: Lapin Polyclonal AbBy Fluor® 647
N° du produit ABIN1698164
426,37 €
Plus frais de livraison 40,00 € et TVA
100 μL
Destination: France
Envoi sous 20 à 25 jours ouvrables
 
CYP2S1 Reactivité: Humain WB, IF (cc), IF (p) Hôte: Lapin Polyclonal AbBy Fluor® 488
N° du produit ABIN1694523
426,37 €
Plus frais de livraison 40,00 € et TVA
100 μL
Destination: France
Envoi sous 20 à 25 jours ouvrables
 
CYP2S1 Reactivité: Humain WB, ELISA, IHC (p), IHC (fro) Hôte: Lapin Polyclonal Biotin
N° du produit ABIN1699977
419,50 €
Plus frais de livraison 40,00 € et TVA
100 μL
Destination: France
Envoi sous 20 à 25 jours ouvrables
 
CYP2S1 Reactivité: Humain WB, IF (cc), IF (p) Hôte: Lapin Polyclonal Cy3
N° du produit ABIN1701790
437,53 €
Plus frais de livraison 40,00 € et TVA
100 μL
Destination: France
Envoi sous 20 à 25 jours ouvrables
 
CYP2S1 Reactivité: Humain WB, IF (cc), IF (p) Hôte: Lapin Polyclonal Cy5
N° du produit ABIN1703601
437,53 €
Plus frais de livraison 40,00 € et TVA
100 μL
Destination: France
Envoi sous 20 à 25 jours ouvrables
 
CYP2S1 Reactivité: Humain WB, IF (cc), IF (p) Hôte: Lapin Polyclonal AbBy Fluor® 555
N° du produit ABIN1696353
426,37 €
Plus frais de livraison 40,00 € et TVA
100 μL
Destination: France
Envoi sous 20 à 25 jours ouvrables
 
CYP2S1 Reactivité: Humain WB, ELISA, IHC (p), IF (cc), IF (p), ICC, IHC (fro) Hôte: Lapin Polyclonal unconjugated
N° du produit ABIN1713479
357,70 €
Plus frais de livraison 40,00 € et TVA
100 μL
Destination: France
Envoi sous 8 à 12 jours ouvrables
 
CYP2S1 Reactivité: Humain WB, IF (cc), IF (p) Hôte: Lapin Polyclonal Cy7
N° du produit ABIN1707370
437,53 €
Plus frais de livraison 40,00 € et TVA
100 μL
Destination: France
Envoi sous 20 à 25 jours ouvrables
 
CYP2S1 Reactivité: Humain WB, ELISA, IHC (p), IHC (fro) Hôte: Lapin Polyclonal HRP
N° du produit ABIN1710994
437,53 €
Plus frais de livraison 40,00 € et TVA
100 μL
Destination: France
Envoi sous 20 à 25 jours ouvrables
 
  • Type Primary
    • Primary
  • Application
    • Western Blotting (WB)
    • Immunofluorescence (IF)
    • ELISA
    • Immunofluorescence (Cultured Cells) (IF (cc))
    • Immunofluorescence (Paraffin-embedded Sections) (IF (p))
    • Immunohistochemistry (IHC)
    • Immunocytochemistry (ICC)
    • Immunohistochemistry (Paraffin-embedded Sections) (IHC (p))
    • Immunohistochemistry (Frozen Sections) (IHC (fro))
    • Enzyme Immunoassay (EIA)
  • Réactivité
    • Human
    • Mouse
    • Rat
    • Cow
    • Dog
    • Goat
    • Guinea Pig
    • Horse
    • Monkey
    • Pig
    • Rabbit
    • Sheep
  • Cité dans publications
  • Images disponible
  • Sans conservateur uniquement
  • Carrier free only
  • Hote
    • Rabbit
  • Clonalité
    • Polyclonal
  • Clone
    • RB17020
  • Epitope
    • AA 21-120
    • AA 399-428
    • C-Term
    • AA 406-436
    • Internal Region
    • AA 140-220
    • AA 181-230
    • AA 319-368
    • Center
  • Conjugué
    • Inconjugué
    • Biotin
    • FITC
    • HRP
    • APC
    • AbBy Fluor® 350
    • AbBy Fluor® 488
    • AbBy Fluor® 555
    • AbBy Fluor® 594
    • AbBy Fluor® 647
    • AbBy Fluor® 680
    • AbBy Fluor® 750
    • Cy3
    • Cy5
    • Cy5.5
    • Cy7
    • PE
  • Isotype
    • IgG
    • Ig Fraction
  • Format
    • Liquid
    • Lyophilized
  • Supplier
    • antibodies-online
    • Acris
    • Assay Biotechnology Company, Inc.
    • Aviva Systems Biology
    • Cohesion Biosciences
    • USBio

Dernières publications pour nos CYP2S1 Anticorps

Yang, Zhou, Li, Tong, Sun, Qing, Sun, Yang, Hu, Jiang, Yan, He, Wan: "Upregulation of CYP2S1 by oxaliplatin is associated with p53 status in colorectal cancer cell lines." dans: Scientific reports, Vol. 6, pp. 33078, (2016) (PubMed).

Yang, Li, Li, Tong, Hu, Yang, Yan, He, Wan: "CYP2S1 depletion enhances colorectal cell proliferation is associated with PGE2-mediated activation of ?-catenin signaling." dans: Experimental cell research, Vol. 331, Issue 2, pp. 377-86, (2015) (PubMed).

Pseudonymes pour CYP2S1 Anticorps

cytochrome P450, family 2, subfamily s, polypeptide 1 (Cyp2s1) Anticorps
cytochrome P450 family 2 subfamily S member 1 (CYP2S1) Anticorps
1200011C15Rik Anticorps
AU041727 Anticorps
C79779 Anticorps
Vous êtes ici:
Chat with us!