Tel:
+49 (0)241 95 163 153
Fax:
+49 (0)241 95 163 155
E-Mail:
orders@anticorps-enligne.fr

GDA Anticorps

(Guanine Deaminase (GDA))

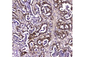
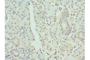
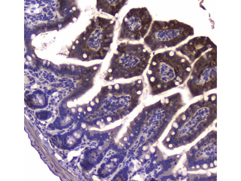
Choisissez l’un des 48 anticorps GDA de notre liste de produits basés sur 24 images de validation.

Découvrez des anticorps GDA fiables issus d’une large sélection de fabricants renommés. Notre portefeuille permet une détection précise de GDA dans plusieurs espèces, y compris Human, Rabbit, Mouse, Rat, Guinea Pig, Cow, Horse, Bat, Dog, et prend en charge diverses applications de recherche telles que WB, ELISA, FACS, IHC, IF.

Trouvez rapidement l’anticorps adapté grâce à nos outils de recherche, de filtrage et de comparaison. Chaque page produit fournit des données de validation détaillées, des références bibliographiques et des retours d’utilisateurs. Contrairement aux ressources dédiées uniquement à la comparaison, vous pouvez acheter directement les anticorps sur notre site. Choisissez parmi des anticorps polyclonaux, monoclonaux ou recombinants GDA, issus de différents hôtes tels que Rabbit, Sheep, Mouse. Parcourez nos produits ci-dessous et commandez directement pour soutenir vos recherches en toute confiance.

Les noms alternatifs de GDA sont GDA, Gda, gda.L, gda, SPO2956, Gdia_3192, Mchl_2046, Mnod_4655, guaD, Dd586_1771, Kvar_2512, Mrub_1462, BC1002_2263, Cseg_1079, Mesil_1795, Trad_2850, Mesop_0346, gDA, ML5_2802.

48 Résultats

GDA Reactivité: Humain WB, IHC, IF, ICC Hôte: Lapin Polyclonal unconjugated
N° du produit ABIN7441532
310,62 €
Plus frais de livraison 40,00 € et TVA
100 μL (Autres quantités disponibles)
Destination: France
Envoi sous 11 à 15 jours ouvrables
 
GDA Reactivité: Souris, Rat WB, ELISA, IHC Hôte: Lapin Polyclonal unconjugated
N° du produit ABIN5693253
500,50 €
Plus frais de livraison 40,00 € et TVA
100 μg
Destination: France
Envoi sous 8 à 12 jours ouvrables
 
GDA Reactivité: Humain WB, FACS Hôte: Lapin Polyclonal RB23974 unconjugated
N° du produit ABIN653665
434,77 €
Plus frais de livraison 40,00 € et TVA
400 μL (Autres quantités disponibles)
Destination: France
Envoi sous 14 à 17 jours ouvrables
 
GDA Reactivité: Humain WB, ELISA, IHC Hôte: Lapin Polyclonal unconjugated
N° du produit ABIN7154645
328,90 €
Plus frais de livraison 40,00 € et TVA
100 μL (Autres quantités disponibles)
Destination: France
Envoi sous 11 à 15 jours ouvrables
 
GDA Reactivité: Humain WB Hôte: Lapin Polyclonal RB36581 unconjugated
N° du produit ABIN1537920
434,77 €
Plus frais de livraison 40,00 € et TVA
400 μL (Autres quantités disponibles)
Destination: France
Envoi sous 14 à 17 jours ouvrables
 
GDA Reactivité: Humain ELISA Hôte: Souris Monoclonal 1D5 unconjugated
N° du produit ABIN523107
651,20 €
Plus frais de livraison 40,00 € et TVA
100 μg
Destination: France
Envoi sous 8 à 9 jours ouvrables
 
GDA Reactivité: Humain, Lapin, Cobaye, Cheval WB Hôte: Lapin Polyclonal unconjugated
N° du produit ABIN6748003
789,41 €
Plus frais de livraison 40,00 € et TVA
100 μL
Destination: France
Envoi sous 15 à 20 jours ouvrables
 
GDA Reactivité: Humain, Cobaye, Boeuf (Vache), Roussette (Chauve-souris) WB Hôte: Lapin Polyclonal unconjugated
N° du produit ABIN6748002
789,41 €
Plus frais de livraison 40,00 € et TVA
100 μL
Destination: France
Envoi sous 15 à 20 jours ouvrables
 
GDA Reactivité: Humain WB, FACS, EIA Hôte: Lapin Polyclonal unconjugated
N° du produit ABIN952661
870,77 €
Plus frais de livraison 40,00 € et TVA
0.4 mL
Destination: France
Envoi sous 17 jours ouvrables
 
GDA Reactivité: Humain, Souris, Rat WB Hôte: Lapin Polyclonal unconjugated
N° du produit ABIN7306628
330,77 €
Plus frais de livraison 40,00 € et TVA
100 μL (Autres quantités disponibles)
Destination: France
Envoi sous 17 à 20 jours ouvrables
 
GDA Reactivité: Lapin WB, ELISA, IF Hôte: Mouton Polyclonal Biotin
N° du produit ABIN459126
577,31 €
Plus frais de livraison 40,00 € et TVA
1 mL
Destination: France
Envoi sous 2 à 4 jours ouvrables
 
GDA Reactivité: Lapin WB, ELISA, IF Hôte: Mouton Polyclonal unconjugated
N° du produit ABIN459292
302,40 €
Plus frais de livraison 40,00 € et TVA
10 mg
Destination: France
Envoi sous 2 à 4 jours ouvrables
 
GDA Reactivité: Humain WB, ELISA, IHC Hôte: Lapin Polyclonal unconjugated
N° du produit ABIN7569573
527,38 €
Plus frais de livraison 40,00 € et TVA
100 μg
Destination: France
Envoi sous 10 à 13 jours ouvrables
 
KO Validated GDA Reactivité: Humain WB, IHC (p) Hôte: Lapin Polyclonal unconjugated
N° du produit ABIN7464426
765,00 €
Plus frais de livraison 40,00 € et TVA
100 μL
Destination: France
Envoi sous 7 à 10 jours ouvrables
 
GDA Reactivité: Humain WB, ELISA Hôte: Lapin Polyclonal unconjugated
N° du produit ABIN2603472
1.328,20 €
Plus frais de livraison 40,00 € et TVA
200 μL
Destination: France
Envoi sous 15 à 20 jours ouvrables
 
GDA Reactivité: Humain WB, ELISA, FACS Hôte: Lapin Polyclonal unconjugated
N° du produit ABIN2603471
1.328,20 €
Plus frais de livraison 40,00 € et TVA
200 μL
Destination: France
Envoi sous 15 à 20 jours ouvrables
 
GDA Reactivité: Humain WB, FACS Hôte: Lapin Polyclonal unconjugated
N° du produit ABIN1812885
734,86 €
Plus frais de livraison 40,00 € et TVA
400 μL
Destination: France
Envoi sous 15 à 20 jours ouvrables
 
GDA Reactivité: Humain WB, ELISA, FACS Hôte: Lapin Polyclonal PE
N° du produit ABIN1898058
1.708,41 €
Plus frais de livraison 40,00 € et TVA
200 μL
Destination: France
Envoi sous 15 à 20 jours ouvrables
 
GDA Reactivité: Humain WB, ELISA, FACS Hôte: Lapin Polyclonal HRP
N° du produit ABIN1898059
1.708,41 €
Plus frais de livraison 40,00 € et TVA
200 μL
Destination: France
Envoi sous 15 à 20 jours ouvrables
 
GDA Reactivité: Humain WB, ELISA, FACS Hôte: Lapin Polyclonal FITC
N° du produit ABIN1898057
1.708,41 €
Plus frais de livraison 40,00 € et TVA
200 μL
Destination: France
Envoi sous 15 à 20 jours ouvrables
 
  • Type Primary
    • Primary
  • Application
    • Western Blotting (WB)
    • ELISA
    • Flow Cytometry (FACS)
    • Immunohistochemistry (IHC)
    • Immunofluorescence (IF)
    • Enzyme Immunoassay (EIA)
    • Immunocytochemistry (ICC)
    • Immunoprecipitation (IP)
    • Radioimmunoassay (RIA)
    • Dot Blot (DB)
    • Immunodiffusion (ID)
    • Immunochromatography (IC)
    • Immunohistochemistry (Paraffin-embedded Sections) (IHC (p))
    • Immunofluorescence (fixed cells) (IF/ICC)
  • Réactivité
    • Human
    • Rabbit
    • Mouse
    • Rat
    • Guinea Pig
    • Cow
    • Horse
    • Bat
    • Dog
  • Images disponible
  • Sans conservateur uniquement
  • Carrier free only
  • Hote
    • Rabbit
    • Sheep
    • Mouse
  • Clonalité
    • Polyclonal
    • Monoclonal
  • Clone
    • 1D5
    • RB23974
    • RB36581
  • Epitope
    • AA 1-454
    • AA 94-122
    • AA 164-193
    • N-Term
    • AA 101-130
    • AA 163-193
    • AA 165-454
    • AA 171-220
    • AA 220-446
    • AA 30-79
    • Center
    • Internal Region
  • Conjugué
    • Inconjugué
    • Biotin
    • APC
    • FITC
    • PE
    • HRP
    • Alexa Fluor 488
    • Alexa Fluor 555
    • Alexa Fluor 594
    • Alexa Fluor 647
    • Alexa Fluor 680
    • Alexa Fluor 750
    • PerCP
  • Isotype
    • IgG
    • Ig Fraction
    • IgG2a
  • Format
    • Liquid
    • Lyophilized
  • Grade
    • KO Validated
  • Supplier
    • antibodies-online
    • Signalway
    • Assaypro
    • USBio
    • Acris
    • Abbexa
    • Aviva Systems Biology
    • Boster Bio
    • Cohesion Biosciences
    • ProteoGenix

Dernières publications pour nos GDA Anticorps

Zuccarini, Giuliani, Frinchi, Mudò, Serio, Belluardo, Buccella, Carluccio, Condorelli, Caciagli, Ciccarelli, Di Iorio: "Uncovering the Signaling Pathway behind Extracellular Guanine-Induced Activation of NO System: New Perspectives in Memory-Related Disorders." dans: Frontiers in pharmacology, Vol. 9, pp. 110, (2018) (PubMed).

Pseudonymes pour GDA Anticorps

guanine deaminase (GDA) Anticorps
guanine deaminase (Gda) Anticorps
guanine deaminase L homeolog (gda.L) Anticorps
guanine deaminase (gda) Anticorps
guanine deaminase (SPO2956) Anticorps
guanine deaminase (Gdia_3192) Anticorps
guanine deaminase (Mchl_2046) Anticorps
guanine deaminase (Mnod_4655) Anticorps
guanine deaminase (guaD) Anticorps
guanine deaminase (Dd586_1771) Anticorps
guanine deaminase (Kvar_2512) Anticorps
guanine deaminase (Mrub_1462) Anticorps
guanine deaminase (BC1002_2263) Anticorps
guanine deaminase (Cseg_1079) Anticorps
guanine deaminase (Mesil_1795) Anticorps
guanine deaminase (Trad_2850) Anticorps
guanine deaminase (Mesop_0346) Anticorps
guanine deaminase (gDA) Anticorps
short-chain dehydrogenase/reductase sdr (ML5_2802) Anticorps
AGR_C_4212 Anticorps
AU015411 Anticorps
AW047581 Anticorps
CYPIN Anticorps
Cypin Anticorps
DDBDRAFT_0169373 Anticorps
DDBDRAFT_0230211 Anticorps
DDB_0169373 Anticorps
DDB_0230211 Anticorps
GUANASE Anticorps
MGC81835 Anticorps
NEDASIN Anticorps
zgc:112282 Anticorps
Vous êtes ici:
Chat with us!