Tel:
+49 (0)241 95 163 153
Fax:
+49 (0)241 95 163 155
E-Mail:
orders@anticorps-enligne.fr

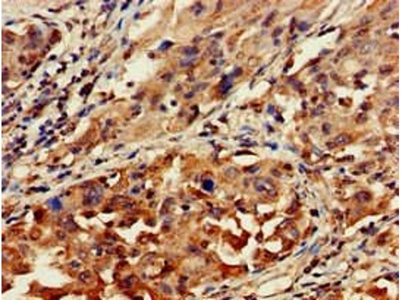
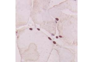
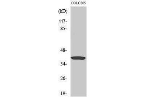
GNAT1 Anticorps

(Guanine Nucleotide Binding Protein (G Protein), alpha Transducing Activity Polypeptide 1 (GNAT1))

Choisissez l’un des 38 anticorps GNAT1 de notre liste de produits basés sur 15 images de validation.

Découvrez des anticorps GNAT1 fiables issus d’une large sélection de fabricants renommés. Notre portefeuille permet une détection précise de GNAT1 dans plusieurs espèces, y compris Human, Mouse, Rat, Cow, Dog, Xenopus laevis, Guinea Pig, Horse, Pig, Rabbit, Sheep, Zebrafish (Danio rerio), et prend en charge diverses applications de recherche telles que WB, ELISA, IHC, FACS, IHC (p).

Trouvez rapidement l’anticorps adapté grâce à nos outils de recherche, de filtrage et de comparaison. Chaque page produit fournit des données de validation détaillées, des références bibliographiques et des retours d’utilisateurs. Contrairement aux ressources dédiées uniquement à la comparaison, vous pouvez acheter directement les anticorps sur notre site. Choisissez parmi des anticorps polyclonaux, monoclonaux ou recombinants GNAT1, issus de différents hôtes tels que Rabbit. Parcourez nos produits ci-dessous et commandez directement pour soutenir vos recherches en toute confiance.

Les noms alternatifs de GNAT1 sont GNAT1, gnat1, Gnat1, gnat1.S.

38 Résultats

GNAT1 Reactivité: Humain WB, FACS, IHC (p) Hôte: Lapin Polyclonal RB24620 unconjugated
N° du produit ABIN653740
467,50 €
Plus frais de livraison 40,00 € et TVA
400 μL (Autres quantités disponibles)
Destination: France
Envoi sous 14 à 17 jours ouvrables
 
GNAT1 Reactivité: Humain WB, ELISA, IHC, IF Hôte: Lapin Polyclonal unconjugated
N° du produit ABIN7154711
394,68 €
Plus frais de livraison 40,00 € et TVA
100 μg (Autres quantités disponibles)
Destination: France
Envoi sous 11 à 15 jours ouvrables
 
GNAT1 Reactivité: Humain, Souris WB, ELISA, IHC Hôte: Lapin Polyclonal unconjugated
N° du produit ABIN7245083
538,80 €
Plus frais de livraison 40,00 € et TVA
200 μL (Autres quantités disponibles)
Destination: France
Envoi sous 9 à 13 jours ouvrables
 
GNAT1 Reactivité: Humain WB Hôte: Lapin Polyclonal unconjugated
N° du produit ABIN2856227
583,17 €
Plus frais de livraison 40,00 € et TVA
100 μL
Destination: France
Envoi sous 7 à 10 jours ouvrables
 
GNAT1 Reactivité: Humain WB Hôte: Lapin Polyclonal unconjugated
N° du produit ABIN1498484
896,50 €
Plus frais de livraison 40,00 € et TVA
100 μL
Destination: France
Envoi sous 15 à 20 jours ouvrables
 
GNAT1 Reactivité: Humain, Souris, Rat WB, ELISA, IF, ICC Hôte: Lapin Polyclonal unconjugated
N° du produit ABIN6257751
630,85 €
Plus frais de livraison 40,00 € et TVA
100 μL (Autres quantités disponibles)
Destination: France
Envoi sous 9 à 11 jours ouvrables
 
GNAT1 Reactivité: Humain, Souris, Rat WB, ELISA Hôte: Lapin Polyclonal unconjugated
N° du produit ABIN3184968
377,51 €
Plus frais de livraison 40,00 € et TVA
100 μL (Autres quantités disponibles)
Destination: France
Envoi sous 8 à 10 jours ouvrables
 
GNAT1 Reactivité: Humain, Souris, Rat, Boeuf (Vache), Chien WB, IHC Hôte: Lapin Polyclonal unconjugated
N° du produit ABIN7300746
330,77 €
Plus frais de livraison 40,00 € et TVA
100 μL (Autres quantités disponibles)
Destination: France
Envoi sous 17 à 20 jours ouvrables
 
GNAT1 Reactivité: Humain, Souris, Rat WB, ELISA, IHC Hôte: Lapin Polyclonal unconjugated
N° du produit ABIN3187355
377,51 €
Plus frais de livraison 40,00 € et TVA
100 μL (Autres quantités disponibles)
Destination: France
Envoi sous 8 à 10 jours ouvrables
 
GNAT1 Reactivité: Xenopus laevis IHC Hôte: Lapin Polyclonal unconjugated
N° du produit ABIN966215
411,13 €
Plus frais de livraison 40,00 € et TVA
0.1 mg
Destination: France
Envoi sous 8 à 12 jours ouvrables
 
GNAT1 Reactivité: Humain, Souris, Rat WB, ELISA, IHC (p) Hôte: Lapin Polyclonal unconjugated
N° du produit ABIN7224694
748,34 €
Plus frais de livraison 40,00 € et TVA
100 μL (Autres quantités disponibles)
Destination: France
Envoi sous 10 à 14 jours ouvrables
 
GNAT1 Reactivité: Humain WB, ELISA, IHC Hôte: Lapin Polyclonal unconjugated
N° du produit ABIN7569577
632,86 €
Plus frais de livraison 40,00 € et TVA
100 μg
Destination: France
Envoi sous 10 à 13 jours ouvrables
 
GNAT1 Reactivité: Humain Hôte: Lapin Polyclonal FITC
N° du produit ABIN7154713
394,68 €
Plus frais de livraison 40,00 € et TVA
100 μg (Autres quantités disponibles)
Destination: France
Envoi sous 11 à 15 jours ouvrables
 
GNAT1 Reactivité: Humain ELISA Hôte: Lapin Polyclonal Biotin
N° du produit ABIN7154712
394,68 €
Plus frais de livraison 40,00 € et TVA
100 μg (Autres quantités disponibles)
Destination: France
Envoi sous 11 à 15 jours ouvrables
 
GNAT1 Reactivité: Humain ELISA Hôte: Lapin Polyclonal HRP
N° du produit ABIN7154714
394,68 €
Plus frais de livraison 40,00 € et TVA
100 μg (Autres quantités disponibles)
Destination: France
Envoi sous 11 à 15 jours ouvrables
 
GNAT1 Reactivité: Humain, Souris WB Hôte: Lapin Polyclonal unconjugated
N° du produit ABIN2892766
810,33 €
Plus frais de livraison 40,00 € et TVA
100 μL (Autres quantités disponibles)
Destination: France
Envoi sous 15 à 20 jours ouvrables
 
GNAT1 Reactivité: Humain WB, ELISA, IHC, FACS Hôte: Lapin Polyclonal unconjugated
N° du produit ABIN2604115
1.428,17 €
Plus frais de livraison 40,00 € et TVA
200 μL
Destination: France
Envoi sous 15 à 20 jours ouvrables
 
GNAT1 Reactivité: Xenopus laevis Hôte: Lapin Polyclonal unconjugated
N° du produit ABIN207395
764,50 €
Plus frais de livraison 40,00 € et TVA
0.1 mg
Destination: France
Envoi sous 15 à 20 jours ouvrables
 
GNAT1 Reactivité: Humain, Souris WB, IHC, FACS, IHC (p) Hôte: Lapin Polyclonal unconjugated
N° du produit ABIN1812967
790,17 €
Plus frais de livraison 40,00 € et TVA
400 μL
Destination: France
Envoi sous 15 à 20 jours ouvrables
 
GNAT1 Reactivité: Humain WB, ELISA, IHC, FACS Hôte: Lapin Polyclonal Biotin
N° du produit ABIN1899060
1.837,00 €
Plus frais de livraison 40,00 € et TVA
200 μL
Destination: France
Envoi sous 15 à 20 jours ouvrables
 
  • Type Primary
    • Primary
  • Application
    • Western Blotting (WB)
    • ELISA
    • Immunohistochemistry (IHC)
    • Flow Cytometry (FACS)
    • Immunohistochemistry (Paraffin-embedded Sections) (IHC (p))
    • Immunofluorescence (IF)
    • Immunocytochemistry (ICC)
    • Immunofluorescence (fixed cells) (IF/ICC)
  • Réactivité
    • Human
    • Mouse
    • Rat
    • Cow
    • Dog
    • Xenopus laevis
    • Guinea Pig
    • Horse
    • Pig
    • Rabbit
    • Sheep
    • Zebrafish (Danio rerio)
  • Images disponible
  • Sans conservateur uniquement
  • Carrier free only
  • Hote
    • Rabbit
  • Clonalité
    • Polyclonal
  • Clone
    • RB24620
  • Epitope
    • AA 290-318
    • AA 92-170
    • N-Term
    • C-Term
    • Center
    • Internal Region
    • AA 1-350
    • AA 10-90
    • AA 297-326
    • AA 317-490
    • AA 37-350
    • AA 71-120
    • AA 85-101
    • Met104
  • Conjugué
    • Inconjugué
    • Biotin
    • FITC
    • HRP
    • APC
    • Alexa Fluor 488
    • Alexa Fluor 555
    • Alexa Fluor 594
    • Alexa Fluor 647
    • Alexa Fluor 680
    • Alexa Fluor 750
    • PE
  • Isotype
    • IgG
    • Ig Fraction
  • Format
    • Liquid
  • Supplier
    • antibodies-online
    • Signalway
    • Abbexa
    • Assay Biotechnology Company, Inc.
    • Aviva Systems Biology
    • Cohesion Biosciences
    • ProteoGenix
    • USBio

Pseudonymes pour GNAT1 Anticorps

G protein subunit alpha transducin 1 (GNAT1) Anticorps
guanine nucleotide binding protein (G protein), alpha transducing activity polypeptide 1 (gnat1) Anticorps
G protein subunit alpha transducin 1 (Gnat1) Anticorps
guanine nucleotide binding protein (G protein), alpha transducing activity polypeptide 1 S homeolog (gnat1.S) Anticorps
guanine nucleotide binding protein, alpha transducing 1 (Gnat1) Anticorps
csnbad3 Anticorps
CSNBAD3 Anticorps
gbt1 Anticorps
GBT1 Anticorps
Gnat-1 Anticorps
GNAT1 Anticorps
gnatr Anticorps
GNATR Anticorps
Ird1 Anticorps
Ird2 Anticorps
irdc Anticorps
irdr Anticorps
Tralpha Anticorps
transducin Anticorps
wu:fk56e06 Anticorps
Vous êtes ici:
Chat with us!