Tel:
+49 (0)241 95 163 153
Fax:
+49 (0)241 95 163 155
E-Mail:
orders@anticorps-enligne.fr

Hsc70 Anticorps

(Heat Shock 70kDa Protein 8 (HSPA8))

Choisissez l’un des 131 anticorps Hsc70 de notre liste de produits basés sur 19 publications et 163 images de validation.

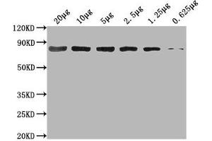
Découvrez des anticorps Hsc70 fiables issus d’une large sélection de fabricants renommés. Notre portefeuille permet une détection précise de Hsc70 dans plusieurs espèces, y compris Human, Rat, Mouse, Cow, Chicken, Pig, Monkey, Dog, Guinea Pig, Hamster, Rabbit, Sheep, Zebrafish (Danio rerio), Drosophila melanogaster, Goat, Horse, Xenopus laevis, Saccharomyces cerevisiae, Arabidopsis, Bat, C. elegans, Mammalian, Plant, Salmon, Spinach, et prend en charge diverses applications de recherche telles que WB, IHC, ICC, IF, IP.

Trouvez rapidement l’anticorps adapté grâce à nos outils de recherche, de filtrage et de comparaison. Chaque page produit fournit des données de validation détaillées, des références bibliographiques et des retours d’utilisateurs. Contrairement aux ressources dédiées uniquement à la comparaison, vous pouvez acheter directement les anticorps sur notre site. Choisissez parmi des anticorps polyclonaux, monoclonaux ou recombinants Hsc70, issus de différents hôtes tels que Rabbit, Mouse, Rat. Parcourez nos produits ci-dessous et commandez directement pour soutenir vos recherches en toute confiance.

Les noms alternatifs de Hsc70 sont hspa8.L, HSPA8, Hspa8, hspa8.

131 Résultats

HSPA8 Reactivité: Humain, Rat, Souris WB, ICC, IF, IHC (p) Hôte: Lapin Polyclonal unconjugated
N° du produit ABIN2854950
583,17 €
Plus frais de livraison 40,00 € et TVA
100 μL
Destination: France
Envoi sous 7 à 10 jours ouvrables
 
HSPA8 Reactivité: Humain WB, IHC, ELISA, IF, FACS Hôte: Souris Monoclonal 6E4D2 unconjugated
N° du produit ABIN7154884
385,00 €
Plus frais de livraison 40,00 € et TVA
100 μL (Autres quantités disponibles)
Destination: France
Envoi sous 11 à 15 jours ouvrables
 
HSPA8 Reactivité: Humain WB, IHC, ELISA, IP, FACS Hôte: Souris Monoclonal 2G8F6 unconjugated
N° du produit ABIN7154883
385,00 €
Plus frais de livraison 40,00 € et TVA
100 μL (Autres quantités disponibles)
Destination: France
Envoi sous 11 à 15 jours ouvrables
 
HSPA8 Reactivité: Humain WB, IHC, IF Hôte: Lapin Polyclonal unconjugated
N° du produit ABIN3016124
320,00 €
Plus frais de livraison 40,00 € et TVA
100 μL (Autres quantités disponibles)
Destination: France
Envoi sous 8 à 10 jours ouvrables
 
HSPA8 Reactivité: Humain WB, IF, FACS, IHC (p) Hôte: Lapin Polyclonal RB16528 unconjugated
Pubmed 2 références
N° du produit ABIN1944844
434,77 €
Plus frais de livraison 40,00 € et TVA
400 μL (Autres quantités disponibles)
Destination: France
Envoi sous 14 à 17 jours ouvrables
 
HSPA8 Reactivité: Humain WB, IHC, ELISA, IP, ICC, IF, Bind, PLA, AA Hôte: Souris Monoclonal 1F2-H5 unconjugated
Pubmed 4 références
N° du produit ABIN361801
683,93 €
Plus frais de livraison 40,00 € et TVA
200 μg
Destination: France
Envoi sous 7 à 10 jours ouvrables
 
HSPA8 Reactivité: Humain WB, IF, FACS, IHC (p) Hôte: Lapin Polyclonal RB17655 unconjugated
Pubmed 2 références
N° du produit ABIN650754
434,77 €
Plus frais de livraison 40,00 € et TVA
400 μL (Autres quantités disponibles)
Destination: France
Envoi sous 14 à 17 jours ouvrables
 
HSPA8 Reactivité: Humain, Rat, Souris, Boeuf (Vache), Mouton, Porc, Poisson zèbre (Danio rerio), Chévre WB, IHC Hôte: Lapin Polyclonal unconjugated
N° du produit ABIN2783374
534,11 €
Plus frais de livraison 40,00 € et TVA
100 μL (Autres quantités disponibles)
Destination: France
Envoi sous 6 à 9 jours ouvrables
 
HSPA8 Reactivité: Humain, Rat, Souris WB, IHC, ICC, IF, FACS, IHC (fro) Hôte: Lapin Polyclonal unconjugated
Pubmed 5 références
N° du produit ABIN3044300
500,50 €
Plus frais de livraison 40,00 € et TVA
100 μg
Destination: France
Envoi sous 8 à 12 jours ouvrables
 
HSPA8 Reactivité: Humain, Rat, Souris WB, IHC, ICC, IF, FACS Hôte: Souris Monoclonal 3B6 unconjugated
N° du produit ABIN7601962
500,50 €
Plus frais de livraison 40,00 € et TVA
100 μg
Destination: France
Envoi sous 8 à 12 jours ouvrables
 
HSPA8 Reactivité: Humain WB, IHC, ELISA, IP, ICC, IF, Bind, PLA, AA Hôte: Souris Monoclonal 1F2-H5 PerCP
N° du produit ABIN2484325
826,79 €
Plus frais de livraison 40,00 € et TVA
200 μg
Destination: France
Envoi sous 7 à 10 jours ouvrables
 
HSPA8 Reactivité: Humain WB, IHC, ELISA, IP, ICC, IF, Bind, PLA, AA Hôte: Souris Monoclonal 1F2-H5 PE
N° du produit ABIN2484326
816,79 €
Plus frais de livraison 40,00 € et TVA
200 μg
Destination: France
Envoi sous 7 à 10 jours ouvrables
 
HSPA8 Reactivité: Humain WB, IHC, ELISA, IP, ICC, IF, Bind, PLA, AA Hôte: Souris Monoclonal 1F2-H5 APC
N° du produit ABIN2484320
826,79 €
Plus frais de livraison 40,00 € et TVA
200 μg
Destination: France
Envoi sous 7 à 10 jours ouvrables
 
HSPA8 Reactivité: Humain WB, IHC, ELISA, IP, ICC, IF, Bind, PLA, AA Hôte: Souris Monoclonal 1F2-H5 FITC
N° du produit ABIN2484322
802,50 €
Plus frais de livraison 40,00 € et TVA
200 μg
Destination: France
Envoi sous 7 à 10 jours ouvrables
 
HSPA8 Reactivité: Humain WB, IHC, ELISA, IP, ICC, IF, Bind, PLA, AA Hôte: Souris Monoclonal 1F2-H5 Biotin
N° du produit ABIN2484321
813,93 €
Plus frais de livraison 40,00 € et TVA
200 μg
Destination: France
Envoi sous 7 à 10 jours ouvrables
 
HSPA8 Reactivité: Humain WB, IHC, ELISA, IP, ICC, IF, Bind, PLA, AA Hôte: Souris Monoclonal 1F2-H5 HRP
N° du produit ABIN2484323
793,93 €
Plus frais de livraison 40,00 € et TVA
200 μg
Destination: France
Envoi sous 7 à 10 jours ouvrables
 
HSPA8 Reactivité: Humain WB, IHC, ELISA, IP, ICC, IF, Bind, PLA, AA Hôte: Souris Monoclonal 1F2-H5 Atto 390
N° du produit ABIN2484311
832,50 €
Plus frais de livraison 40,00 € et TVA
200 μg
Destination: France
Envoi sous 7 à 10 jours ouvrables
 
HSPA8 Reactivité: Humain WB, IHC, ELISA, IP, ICC, IF, Bind, PLA, AA Hôte: Souris Monoclonal 1F2-H5 Atto 488
N° du produit ABIN2484312
828,21 €
Plus frais de livraison 40,00 € et TVA
200 μg
Destination: France
Envoi sous 7 à 10 jours ouvrables
 
HSPA8 Reactivité: Humain WB, IHC, ELISA, IP, ICC, IF, Bind, PLA, AA Hôte: Souris Monoclonal 1F2-H5 Atto 594
N° du produit ABIN2484314
828,21 €
Plus frais de livraison 40,00 € et TVA
200 μg
Destination: France
Envoi sous 7 à 10 jours ouvrables
 
HSPA8 Reactivité: Souris WB, IHC, IP, ICC Hôte: Lapin Polyclonal unconjugated
N° du produit ABIN7439072
269,60 €
Plus frais de livraison 40,00 € et TVA
100 μL (Autres quantités disponibles)
Destination: France
Envoi sous 11 à 15 jours ouvrables
 
  • Type Primary
    • Primary
  • Application
    • Western Blotting (WB)
    • Immunohistochemistry (IHC)
    • Immunocytochemistry (ICC)
    • Immunofluorescence (IF)
    • Immunoprecipitation (IP)
    • ELISA
    • Flow Cytometry (FACS)
    • Immunohistochemistry (Paraffin-embedded Sections) (IHC (p))
    • Antibody Array (AA)
    • Binding Studies (Bind)
    • Proximity Ligation Assay (PLA)
    • Immunofluorescence (fixed cells) (IF/ICC)
    • Immunochromatography (IC)
    • Immunofluorescence (Cultured Cells) (IF (cc))
    • Immunofluorescence (Paraffin-embedded Sections) (IF (p))
    • Immunohistochemistry (Frozen Sections) (IHC (fro))
  • Réactivité
    • Human
    • Rat
    • Mouse
    • Cow
    • Chicken
    • Pig
    • Monkey
    • Dog
    • Guinea Pig
    • Hamster
    • Rabbit
    • Sheep
    • Zebrafish (Danio rerio)
    • Drosophila melanogaster
    • Goat
    • Horse
    • Xenopus laevis
    • Saccharomyces cerevisiae
    • Arabidopsis
    • Bat
    • C. elegans
    • Mammalian
    • Plant
    • Salmon
    • Spinach
  • Cité dans publications
  • Images disponible
  • Carrier free only
  • Hote
    • Rabbit
    • Mouse
    • Rat
    • Goat
  • Clonalité
    • Polyclonal
    • Monoclonal
  • Clone
    • 1F2-H5
    • 1B5
    • 8C7
    • 1D9
    • 1G2
    • 1H3
    • 23GB2675
    • 2G8F6
    • 3B6
    • 3G10
    • 4D2
    • 4E11
    • 4E110
    • 6C7
    • 6E4D2
    • 6i2
    • DBB-8
    • N27F3-4
    • R07-1B7
    • RB16528
    • RB17655
    • RB47220
    • RB49652
  • Epitope
    • AA 534-615
    • N-Term
    • AA 418-597
    • C-Term
    • AA 1-646
    • AA 2-646
    • AA 520-614
    • AA 563-582
    • AA 82-110
    • Internal Region
    • AA 1-300
    • AA 13-31
    • AA 143-192
    • AA 202-251
    • AA 212-261
    • AA 458-490
    • AA 501-600
    • AA 520-645
    • AA 528-562
    • AA 539-569
    • AA 539-601
    • AA 556-568
    • AA 89-118
    • Center
    • Lys251
  • Conjugué
    • Inconjugué
    • Biotin
    • FITC
    • HRP
    • Alexa Fluor 488
    • Alexa Fluor 555
    • Alexa Fluor 594
    • Alexa Fluor 647
    • Alexa Fluor 680
    • Alexa Fluor 750
    • PE
    • APC
    • Alexa Fluor 350
    • Alexa Fluor 405
    • Atto 390
    • Atto 488
    • Atto 594
    • PerCP
  • Isotype
    • IgG
    • IgG2a
    • IgG2a kappa
    • IgG1
    • Ig Fraction
    • IgG2b
    • IgG1 kappa
    • IgG3
  • Type Proteine
    • Recombinant Antibody
  • Format
    • Liquid
    • Lyophilized
  • Grade
    • KD Validated
    • Verified
  • Supplier
    • antibodies-online
    • Signalway
    • Abbexa
    • Boster Bio
    • USBio
    • Cloud-Clone
    • Cohesion Biosciences
    • Covalab
    • Agrisera
    • Assay Biotechnology Company, Inc.
    • Aviva Systems Biology
    • Biomatik
    • Enogene Biotech
    • ProteoGenix
    • Rockland

Dernières publications pour nos Hsc70 Anticorps

Kim, Kim, Lee, Eom, Kim, Park, Jeong, Lee: "Transcription Factor TonEBP Stimulates Hyperosmolality-Dependent Arginine Vasopressin Gene Expression in the Mouse Hypothalamus." dans: Frontiers in endocrinology, Vol. 12, pp. 627343, (2021) (PubMed).

Ye, Lee, Yoo, Lee, Lee, Kang, Jeong, Park, Lee-Kwon, Choi, Kwon: "TonEBP in dendritic cells mediates pro-inflammatory maturation and Th1/Th17 responses." dans: Cell death & disease, Vol. 11, Issue 6, pp. 421, (2021) (PubMed).

Capello, Vykoukal, Katayama, Bantis, Wang, Kundnani, Aguilar-Bonavides, Aguilar, Tripathi, Dhillon, Momin, Peters, Katz, Alvarez, Bernard, Ferri-Borgogno, Brand, Adler, Firpo, Mulvihill, Molldrem et al.: "Exosomes harbor B cell targets in pancreatic adenocarcinoma and exert decoy function against complement-mediated cytotoxicity. ..." dans: Nature communications, Vol. 10, Issue 1, pp. 254, (2019) (PubMed).

Lee, An, Ye, Lee, Yoo, Jeong, Kang, Alfadda, Lim, Park, Lee-Kwon, Kim, Choi, Kwon: "TonEBP/NFAT5 promotes obesity and insulin resistance by epigenetic suppression of white adipose tissue beiging." dans: Nature communications, Vol. 10, Issue 1, pp. 3536, (2019) (PubMed).

Lee, Sanada, An, Ye, Lee, Seo, Lee, Lee-Kwon, Küper, Neuhofer, Choi, Kwon: "LPS-induced NFκB enhanceosome requires TonEBP/NFAT5 without DNA binding." dans: Scientific reports, Vol. 6, pp. 24921, (2018) (PubMed).

Almiñana, Corbin, Tsikis, Alcântara-Neto, Labas, Reynaud, Galio, Uzbekov, Garanina, Druart, Mermillod: "Oviduct extracellular vesicles protein content and their role during oviduct-embryo cross-talk." dans: Reproduction (Cambridge, England), Vol. 154, Issue 3, pp. 153-168, (2017) (PubMed).

Fitter, Gronthos, Ooi, Zannettino: "The Mesenchymal Precursor Cell Marker Antibody STRO-1 Binds to Cell Surface Heat Shock Cognate 70." dans: Stem cells (Dayton, Ohio), Vol. 35, Issue 4, pp. 940-951, (2017) (PubMed).

Vavilis, Delivanoglou, Aggelidou, Stamoula, Mellidis, Kaidoglou, Cheva, Pourzitaki, Chatzimeletiou, Lazou, Albani, Kritis: "Oxygen-Glucose Deprivation (OGD) Modulates the Unfolded Protein Response (UPR) and Inflicts Autophagy in a PC12 Hypoxia Cell Line Model." dans: Cellular and molecular neurobiology, Vol. 36, Issue 5, pp. 701-12, (2016) (PubMed).

Shan, Wang, Xu, Wang, Cao, Liu, Zhu: "Aging as a Precipitating Factor in Chronic Restraint Stress-Induced Tau Aggregation Pathology, and the Protective Effects of Rosmarinic Acid." dans: Journal of Alzheimer's disease : JAD, Vol. 49, Issue 3, pp. 829-44, (2016) (PubMed).

Li, Li, Wang, Cui, Gong, Qu, Zhong, Zhou, Zhou, Gao, Li: "Quantitative proteomic study of human prostate cancer cells with different metastatic potentials." dans: International journal of oncology, Vol. 48, Issue 4, pp. 1437-46, (2016) (PubMed).

Pseudonymes pour Hsc70 Anticorps

heat shock protein family A (Hsp70) member 8 L homeolog (hspa8.L) Anticorps
heat shock protein family A (Hsp70) member 8 (HSPA8) Anticorps
heat shock protein family A (Hsp70) member 8 (Hspa8) Anticorps
heat shock 70kDa protein 8 (HSPA8) Anticorps
heat shock protein 8 (Hspa8) Anticorps
heat shock protein 8 (hspa8) Anticorps
2410008N15Rik Anticorps
hsc54 Anticorps
HSC54 Anticorps
hsc70 Anticorps
HSC70 Anticorps
Hsc70 Anticorps
hsc71 Anticorps
HSC71 Anticorps
Hsc71 Anticorps
Hsc73 Anticorps
hsp71 Anticorps
HSP71 Anticorps
hsp73 Anticorps
HSP73 Anticorps
Hsp73 Anticorps
hspa10 Anticorps
HSPA10 Anticorps
Hspa10 Anticorps
lap1 Anticorps
LAP1 Anticorps
nip71 Anticorps
NIP71 Anticorps
wu:fb01g06 Anticorps
wu:fi48b06 Anticorps
Vous êtes ici:
Chat with us!