Tel:
+49 (0)241 95 163 153
Fax:
+49 (0)241 95 163 155
E-Mail:
orders@anticorps-enligne.fr

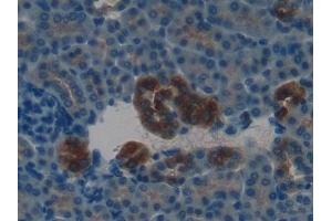
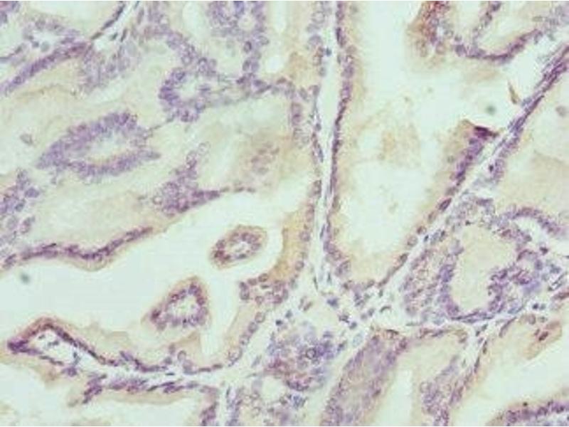
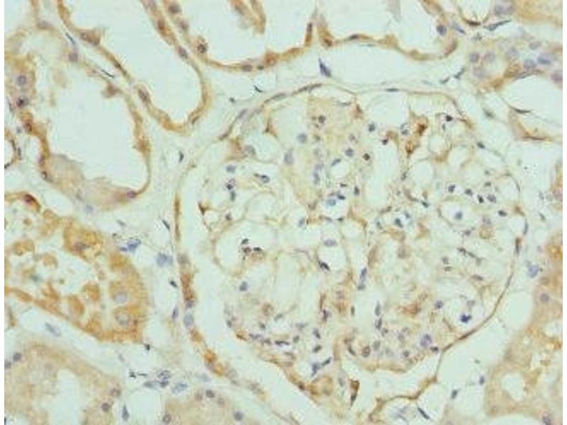
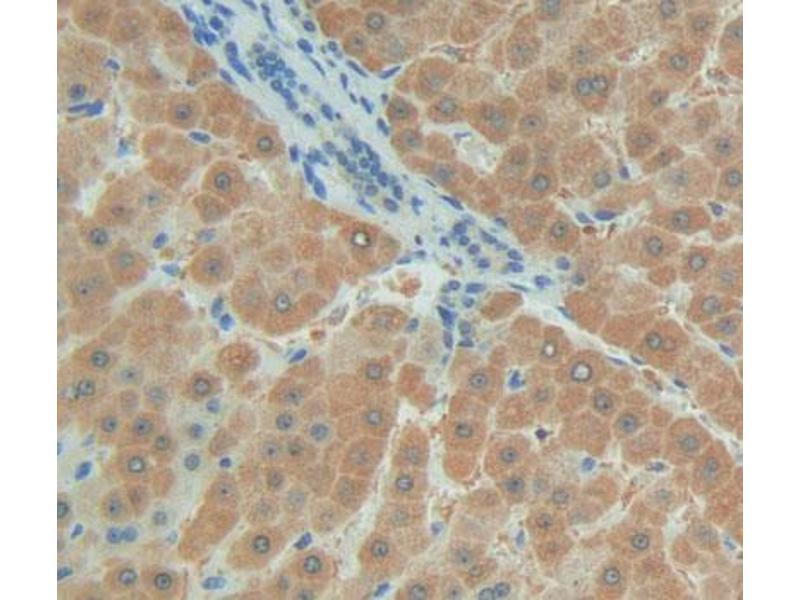
Kallikrein 4 Anticorps

(Kallikrein-Related Peptidase 4 (KLK4))

Choisissez l’un des 38 anticorps Kallikrein 4 de notre liste de produits basés sur 21 images de validation.

Découvrez des anticorps Kallikrein 4 fiables issus d’une large sélection de fabricants renommés. Notre portefeuille permet une détection précise de Kallikrein 4 dans plusieurs espèces, y compris Human, Mouse, Rat, et prend en charge diverses applications de recherche telles que WB, IHC, ELISA, ICC, IP.

Trouvez rapidement l’anticorps adapté grâce à nos outils de recherche, de filtrage et de comparaison. Chaque page produit fournit des données de validation détaillées, des références bibliographiques et des retours d’utilisateurs. Contrairement aux ressources dédiées uniquement à la comparaison, vous pouvez acheter directement les anticorps sur notre site. Choisissez parmi des anticorps polyclonaux, monoclonaux ou recombinants Kallikrein 4, issus de différents hôtes tels que Rabbit, Mouse. Parcourez nos produits ci-dessous et commandez directement pour soutenir vos recherches en toute confiance.

Les noms alternatifs de Kallikrein 4 sont Klk4, KLK4.

38 Résultats

KLK4 Reactivité: Rat WB, IHC, IP, ICC Hôte: Lapin Polyclonal unconjugated
N° du produit ABIN7431809
304,89 €
Plus frais de livraison 40,00 € et TVA
100 μL (Autres quantités disponibles)
Destination: France
Envoi sous 11 à 15 jours ouvrables
 
KLK4 Reactivité: Souris WB, IHC, IP, ICC Hôte: Lapin Polyclonal unconjugated
N° du produit ABIN7431806
293,45 €
Plus frais de livraison 40,00 € et TVA
100 μL (Autres quantités disponibles)
Destination: France
Envoi sous 11 à 15 jours ouvrables
 
KLK4 Reactivité: Humain WB, ELISA Hôte: Souris Monoclonal 2A4 unconjugated
N° du produit ABIN523113
651,20 €
Plus frais de livraison 40,00 € et TVA
100 μg
Destination: France
Envoi sous 8 à 9 jours ouvrables
 
KLK4 Reactivité: Humain, Souris WB Hôte: Lapin Polyclonal RB6105 unconjugated
N° du produit ABIN390304
434,77 €
Plus frais de livraison 40,00 € et TVA
400 μL (Autres quantités disponibles)
Destination: France
Envoi sous 14 à 17 jours ouvrables
 
KLK4 Reactivité: Humain IHC, ELISA Hôte: Lapin Polyclonal unconjugated
N° du produit ABIN7157212
328,90 €
Plus frais de livraison 40,00 € et TVA
100 μL (Autres quantités disponibles)
Destination: France
Envoi sous 11 à 15 jours ouvrables
 
KLK4 Reactivité: Humain WB, IHC, IP, ICC Hôte: Lapin Polyclonal unconjugated
N° du produit ABIN1868866
221,00 €
Plus frais de livraison 40,00 € et TVA
100 μL (Autres quantités disponibles)
Destination: France
Envoi sous 11 à 15 jours ouvrables
 
KLK4 Reactivité: Humain WB Hôte: Lapin Polyclonal unconjugated
N° du produit ABIN3042476
500,50 €
Plus frais de livraison 40,00 € et TVA
100 μg
Destination: France
Envoi sous 8 à 12 jours ouvrables
 
KLK4 Reactivité: Humain WB, IHC, IP, ICC Hôte: Lapin Polyclonal unconjugated
N° du produit ABIN7641662
287,72 €
Plus frais de livraison 40,00 € et TVA
100 μL (Autres quantités disponibles)
Destination: France
Envoi sous 11 à 15 jours ouvrables
 
KLK4 Reactivité: Souris WB, IHC, ICC, IF Hôte: Lapin Polyclonal FITC
N° du produit ABIN7693980
509,02 €
Plus frais de livraison 40,00 € et TVA
200 μL (Autres quantités disponibles)
Destination: France
Envoi sous 11 à 15 jours ouvrables
 
KLK4 Reactivité: Souris WB, IHC, ICC Hôte: Lapin Polyclonal Biotin
N° du produit ABIN7694528
416,49 €
Plus frais de livraison 40,00 € et TVA
200 μL (Autres quantités disponibles)
Destination: France
Envoi sous 11 à 15 jours ouvrables
 
KLK4 Reactivité: Humain WB, IHC, ELISA Hôte: Lapin Polyclonal unconjugated
N° du produit ABIN7569966
527,38 €
Plus frais de livraison 40,00 € et TVA
100 μg
Destination: France
Envoi sous 10 à 13 jours ouvrables
 
KLK4 Reactivité: Humain WB Hôte: Lapin Polyclonal unconjugated
N° du produit ABIN7795946
589,60 €
Plus frais de livraison 40,00 € et TVA
100 μL
Destination: France
Envoi sous 7 à 10 jours ouvrables
 
KLK4 Reactivité: Humain WB Hôte: Lapin Polyclonal unconjugated
N° du produit ABIN636259
764,26 €
Plus frais de livraison 40,00 € et TVA
100 μg
Destination: France
Envoi sous 13 à 17 jours ouvrables
 
KLK4 Reactivité: Humain WB, ELISA, IF, IHC (p) Hôte: Lapin Polyclonal unconjugated
N° du produit ABIN6991891
594,17 €
Plus frais de livraison 40,00 € et TVA
0.1 mg (Autres quantités disponibles)
Destination: France
Envoi sous 6 à 9 jours ouvrables
 
KLK4 Reactivité: Souris WB Hôte: Lapin Polyclonal Biotin
N° du produit ABIN2624579
593,34 €
Plus frais de livraison 40,00 € et TVA
100 μL (Autres quantités disponibles)
Destination: France
Envoi sous 15 à 20 jours ouvrables
 
KLK4 Reactivité: Souris WB Hôte: Lapin Polyclonal FITC
N° du produit ABIN2624580
639,37 €
Plus frais de livraison 40,00 € et TVA
100 μL (Autres quantités disponibles)
Destination: France
Envoi sous 15 à 20 jours ouvrables
 
KLK4 Reactivité: Humain IHC Hôte: Souris Monoclonal KLK4-8941 unconjugated
N° du produit ABIN7858590
639,45 €
Plus frais de livraison 40,00 € et TVA
100 μg
Destination: France
Envoi sous 6 à 10 jours ouvrables
 
KLK4 Reactivité: Humain IHC Hôte: Souris Monoclonal KLK4-8942 unconjugated
N° du produit ABIN7858591
308,95 €
Plus frais de livraison 40,00 € et TVA
20 μg
Destination: France
Envoi sous 6 à 10 jours ouvrables
 
KLK4 Reactivité: Humain IHC Hôte: Souris Monoclonal KLK4-8941 unconjugated
N° du produit ABIN7858589
308,95 €
Plus frais de livraison 40,00 € et TVA
20 μg
Destination: France
Envoi sous 6 à 10 jours ouvrables
 
KLK4 Reactivité: Humain IHC Hôte: Souris Monoclonal KLK4-8942 unconjugated
N° du produit ABIN7858592
639,45 €
Plus frais de livraison 40,00 € et TVA
100 μg
Destination: France
Envoi sous 6 à 10 jours ouvrables
 
  • Type Primary
    • Primary
  • Application
    • Western Blotting (WB)
    • Immunohistochemistry (IHC)
    • ELISA
    • Immunocytochemistry (ICC)
    • Immunoprecipitation (IP)
    • Immunofluorescence (fixed cells) (IF/ICC)
    • Immunofluorescence (IF)
    • Immunohistochemistry (Paraffin-embedded Sections) (IHC (p))
    • Immunohistochemistry (Frozen Sections) (IHC (fro))
    • Neutralization (Neut)
  • Réactivité
    • Human
    • Mouse
    • Rat
  • Images disponible
  • Sans conservateur uniquement
  • Carrier free only
  • Hote
    • Rabbit
    • Mouse
  • Clonalité
    • Polyclonal
    • Monoclonal
  • Clone
    • KLK4-8941
    • KLK4-8942
    • KLK4-8943
    • 2A4
    • MM0431-5D34
    • RB6105
  • Epitope
    • AA 1-200
    • AA 27-254
    • AA 32-255
    • AA 159-254
    • AA 242-254
    • AA 262-277
    • AA 3-14
    • AA 30-254
    • AA 31-254
    • AA 32-256
    • AA 80-130
    • AA 85-115
    • C-Term
    • N-Term
  • Conjugué
    • Inconjugué
    • Biotin
    • FITC
    • Alexa Fluor 488
    • Alexa Fluor 555
    • Alexa Fluor 594
    • Alexa Fluor 647
    • Alexa Fluor 680
    • Alexa Fluor 750
  • Isotype
    • IgG
    • kappa
    • IgG1
    • IgG2b
    • Ig Fraction
    • IgG2
    • IgG2a
  • Format
    • Liquid
    • Lyophilized
  • Supplier
    • antibodies-online
    • Signalway
    • Abbexa
    • Angio-Proteomie
    • Boster Bio
    • Cloud-Clone
    • Cohesion Biosciences
    • Covalab
    • ProSci
    • ProteoGenix

Dernières publications pour nos Kallikrein 4 Anticorps

Xi, Klokk, Korkmaz, Kurys, Elbi, Risberg, Danielsen, Loda, Saatcioglu: "Kallikrein 4 is a predominantly nuclear protein and is overexpressed in prostate cancer." dans: Cancer research, Vol. 64, Issue 7, pp. 2365-70, (2004) (PubMed).

Hart, Hart, Michalec, Ryu, Simmons, Hong, Wright: "Mutation in kallikrein 4 causes autosomal recessive hypomaturation amelogenesis imperfecta." dans: Journal of medical genetics, Vol. 41, Issue 7, pp. 545-9, (2004) (PubMed).

Hural, Friedman, McNabb, Steen, Henderson, Kalos: "Identification of naturally processed CD4 T cell epitopes from the prostate-specific antigen kallikrein 4 using peptide-based in vitro stimulation." dans: Journal of immunology (Baltimore, Md. : 1950), Vol. 169, Issue 1, pp. 557-65, (2002) (PubMed).

Pseudonymes pour Kallikrein 4 Anticorps

kallikrein related-peptidase 4 (prostase, enamel matrix, prostate) (Klk4) Anticorps
kallikrein related peptidase 4 (KLK4) Anticorps
kallikrein-related peptidase 4 (Klk4) Anticorps
AI2A1 Anticorps
ARM1 Anticorps
EMSP Anticorps
EMSP1 Anticorps
Emsp1 Anticorps
ESMP1 Anticorps
kallikrein Anticorps
KLK-L1 Anticorps
Prss17 Anticorps
PRSS17 Anticorps
PSTS Anticorps
Vous êtes ici:
Chat with us!