Tel:
+49 (0)241 95 163 153
Fax:
+49 (0)241 95 163 155
E-Mail:
orders@anticorps-enligne.fr

Menin Anticorps

(Multiple Endocrine Neoplasia 1 (MEN1))

Choisissez l’un des 97 anticorps Menin de notre liste de produits basés sur 61 images de validation.

Découvrez des anticorps Menin fiables issus d’une large sélection de fabricants renommés. Notre portefeuille permet une détection précise de Menin dans plusieurs espèces, y compris Human, Mouse, Rat, Cow, Guinea Pig, Horse, Pig, Dog, Chicken, Monkey, et prend en charge diverses applications de recherche telles que WB, IHC, ELISA, IF, IP.

Trouvez rapidement l’anticorps adapté grâce à nos outils de recherche, de filtrage et de comparaison. Chaque page produit fournit des données de validation détaillées, des références bibliographiques et des retours d’utilisateurs. Contrairement aux ressources dédiées uniquement à la comparaison, vous pouvez acheter directement les anticorps sur notre site. Choisissez parmi des anticorps polyclonaux, monoclonaux ou recombinants Menin, issus de différents hôtes tels que Rabbit, Mouse, Goat. Parcourez nos produits ci-dessous et commandez directement pour soutenir vos recherches en toute confiance.

Les noms alternatifs de Menin sont MEN1, men1, men1.L, Men1.

97 Résultats

MEN1 Reactivité: Humain ELISA, IHC, FACS Hôte: Souris Monoclonal 7D3E10 unconjugated
N° du produit ABIN2682998
498,33 €
Plus frais de livraison 40,00 € et TVA
100 μL
Destination: France
Envoi sous 7 à 10 jours ouvrables
 
MEN1 Reactivité: Humain WB, IHC, IP, ICC Hôte: Lapin Polyclonal unconjugated
N° du produit ABIN7443704
310,62 €
Plus frais de livraison 40,00 € et TVA
100 μL (Autres quantités disponibles)
Destination: France
Envoi sous 11 à 15 jours ouvrables
 
MEN1 Reactivité: Humain, Souris, Rat ELISA, IHC (p), IF (cc), IF (p), IHC (fro) Hôte: Lapin Polyclonal unconjugated
N° du produit ABIN676343
357,70 €
Plus frais de livraison 40,00 € et TVA
100 μL
Destination: France
Envoi sous 8 à 12 jours ouvrables
 
MEN1 Reactivité: Humain WB, IF, IHC (p) Hôte: Lapin Polyclonal RB0543 unconjugated
N° du produit ABIN391614
434,77 €
Plus frais de livraison 40,00 € et TVA
400 μL (Autres quantités disponibles)
Destination: France
Envoi sous 14 à 17 jours ouvrables
 
MEN1 Reactivité: Humain WB, IP Hôte: Lapin Polyclonal unconjugated
N° du produit ABIN948125
636,80 €
Plus frais de livraison 40,00 € et TVA
100 μL
Destination: France
Envoi sous 8 à 9 jours ouvrables
 
MEN1 Reactivité: Humain WB, IF Hôte: Souris Polyclonal unconjugated
N° du produit ABIN517864
651,20 €
Plus frais de livraison 40,00 € et TVA
50 μg
Destination: France
Envoi sous 8 à 9 jours ouvrables
 
MEN1 Reactivité: Humain, Souris, Rat WB, ELISA, IHC, IF, ICC Hôte: Lapin Polyclonal unconjugated
N° du produit ABIN6263220
525,71 €
Plus frais de livraison 40,00 € et TVA
100 μL (Autres quantités disponibles)
Destination: France
Envoi sous 9 à 11 jours ouvrables
 
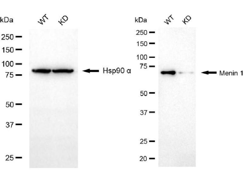
KD Validated MEN1 Reactivité: Humain WB, FACS Hôte: Lapin Monoclonal 25GB2590 unconjugated Recombinant Antibody
N° du produit ABIN7799493
598,92 €
Plus frais de livraison 40,00 € et TVA
100 μL
Destination: France
Envoi sous 7 à 10 jours ouvrables
 
MEN1 Reactivité: Humain, Souris WB, IP, IHC (fp) Hôte: Lapin Polyclonal unconjugated
N° du produit ABIN7454589
576,62 €
Plus frais de livraison 40,00 € et TVA
100 μg (Autres quantités disponibles)
Destination: France
Envoi sous 7 à 10 jours ouvrables
 
MEN1 Reactivité: Humain, Souris WB, ChIP, ChIP-seq Hôte: Lapin Polyclonal unconjugated
N° du produit ABIN6972340
663,08 €
Plus frais de livraison 40,00 € et TVA
100 μL
Destination: France
Envoi sous 2 à 4 jours ouvrables
 
MEN1 Reactivité: Humain WB, IHC (p) Hôte: Lapin Polyclonal RB0542 unconjugated
N° du produit ABIN391613
434,77 €
Plus frais de livraison 40,00 € et TVA
400 μL (Autres quantités disponibles)
Destination: France
Envoi sous 14 à 17 jours ouvrables
 
MEN1 Reactivité: Humain WB, ELISA Hôte: Souris Polyclonal unconjugated
N° du produit ABIN517862
508,80 €
Plus frais de livraison 40,00 € et TVA
50 μL
Destination: France
Envoi sous 8 à 9 jours ouvrables
 
MEN1 Reactivité: Humain ELISA, IHC, IF Hôte: Lapin Polyclonal unconjugated
N° du produit ABIN7159407
328,90 €
Plus frais de livraison 40,00 € et TVA
100 μg (Autres quantités disponibles)
Destination: France
Envoi sous 11 à 15 jours ouvrables
 
MEN1 Reactivité: Humain WB Hôte: Lapin Monoclonal unconjugated
N° du produit ABIN7268697
330,00 €
Plus frais de livraison 40,00 € et TVA
100 μL (Autres quantités disponibles)
Destination: France
Envoi sous 8 à 10 jours ouvrables
 
MEN1 Reactivité: Humain, Souris, Rat WB, ELISA, IHC Hôte: Lapin Polyclonal unconjugated
N° du produit ABIN3185541
377,51 €
Plus frais de livraison 40,00 € et TVA
100 μL (Autres quantités disponibles)
Destination: France
Envoi sous 8 à 10 jours ouvrables
 
MEN1 Reactivité: Humain, Souris IHC Hôte: Lapin Polyclonal unconjugated
N° du produit ABIN7448666
571,23 €
Plus frais de livraison 40,00 € et TVA
25 μg (Autres quantités disponibles)
Destination: France
Envoi sous 7 à 10 jours ouvrables
 
MEN1 Reactivité: Humain WB, ELISA Hôte: Lapin Monoclonal 8G11 unconjugated Recombinant Antibody
N° du produit ABIN7127614
385,00 €
Plus frais de livraison 40,00 € et TVA
100 μL (Autres quantités disponibles)
Destination: France
Envoi sous 11 à 15 jours ouvrables
 
MEN1 Reactivité: Humain, Souris, Rat, Boeuf (Vache), Cobaye, Cheval, Porc, Chien WB, IHC, IP, IF, ICC, IHC (p), ChIP Hôte: Lapin Polyclonal unconjugated
N° du produit ABIN2625340
610,95 €
Plus frais de livraison 40,00 € et TVA
50 μL
Destination: France
Envoi sous 15 à 20 jours ouvrables
 
MEN1 Reactivité: Humain, Souris IHC, IF, IHC (p) Hôte: Lapin Polyclonal unconjugated
N° du produit ABIN2625339
610,95 €
Plus frais de livraison 40,00 € et TVA
50 μL
Destination: France
Envoi sous 15 à 20 jours ouvrables
 
MEN1 Reactivité: Humain, Souris, Rat, Boeuf (Vache), Cobaye, Cheval, Porc, Chien WB, IHC, IP, IHC (p), PLA Hôte: Chèvre Polyclonal unconjugated
N° du produit ABIN2625341
610,95 €
Plus frais de livraison 40,00 € et TVA
50 μL
Destination: France
Envoi sous 15 à 20 jours ouvrables
 
  • Type Primary
    • Primary
  • Application
    • Western Blotting (WB)
    • Immunohistochemistry (IHC)
    • ELISA
    • Immunofluorescence (IF)
    • Immunoprecipitation (IP)
    • Immunocytochemistry (ICC)
    • Immunofluorescence (Cultured Cells) (IF (cc))
    • Immunofluorescence (Paraffin-embedded Sections) (IF (p))
    • Immunohistochemistry (Paraffin-embedded Sections) (IHC (p))
    • Flow Cytometry (FACS)
    • Immunohistochemistry (Frozen Sections) (IHC (fro))
    • Chromatin Immunoprecipitation (ChIP)
    • ChIP DNA-Sequencing (ChIP-seq)
    • Immunohistochemistry (Formalin-fixed Paraffin-embedded Sections) (IHC (fp))
    • Proximity Ligation Assay (PLA)
  • Réactivité
    • Human
    • Mouse
    • Rat
    • Cow
    • Guinea Pig
    • Horse
    • Pig
    • Dog
    • Chicken
    • Monkey
  • Images disponible
  • Sans conservateur uniquement
  • Carrier free only
  • Hote
    • Rabbit
    • Mouse
    • Goat
    • Chicken
    • Rat
  • Clonalité
    • Polyclonal
    • Monoclonal
  • Clone
    • 25GB2590
    • 7D3E10
    • 8G11
    • ACBA-13
    • R05-6A9
    • RB0542
    • RB0543
    • SAA0211
  • Epitope
    • AA 501-615
    • C-Term
    • Thr594
    • AA 1-615
    • AA 3-32
    • Ser128
    • AA 1-575
    • AA 575-615
    • Internal Region
    • AA 113-144
    • AA 150-230
    • AA 181-230
    • AA 2-32
    • AA 213-258
    • AA 219-395
    • AA 224-395
    • AA 266-615
    • AA 301-615
    • AA 351-400
    • AA 392-554
    • AA 500-550
    • AA 506-615
    • AA 584-615
    • AA 71-407
    • Center
    • Middle Region
    • N-Term
  • Conjugué
    • Inconjugué
    • Biotin
    • FITC
    • HRP
    • APC
    • PE
    • Alexa Fluor 488
    • Alexa Fluor 555
    • Alexa Fluor 594
    • Alexa Fluor 647
    • Alexa Fluor 680
    • Alexa Fluor 750
    • AbBy Fluor® 350
    • AbBy Fluor® 488
    • AbBy Fluor® 555
    • AbBy Fluor® 594
    • AbBy Fluor® 647
    • AbBy Fluor® 680
    • AbBy Fluor® 750
    • Alexa Fluor 350
    • Alexa Fluor 405
    • Cy3
    • Cy5
    • Cy5.5
    • Cy7
  • Isotype
    • IgG
    • Ig Fraction
    • IgG1
    • IgG2a
  • Type Proteine
    • Recombinant Antibody
  • Format
    • Liquid
    • Lyophilized
  • Grade
    • KD Validated
  • Supplier
    • antibodies-online
    • Signalway
    • Boster Bio
    • ProteoGenix
    • Rockland
    • Abbexa
    • Assay Biotechnology Company, Inc.
    • Aviva Systems Biology
    • Cohesion Biosciences
    • USBio

Dernières publications pour nos Menin Anticorps

Fang, Xia, Mahalingam, Virbasius, Wajapeyee, Green: "MEN1 is a melanoma tumor suppressor that preserves genomic integrity by stimulating transcription of genes that promote homologous recombination-directed DNA repair." dans: Molecular and cellular biology, Vol. 33, Issue 13, pp. 2635-47, (2013) (PubMed).

Niu, Mei, Wang, Liu, Tian, Mo, Li, Lu, Xiao: "Phosphorylated olig1 localizes to the cytosol of oligodendrocytes and promotes membrane expansion and maturation." dans: Glia, Vol. 60, Issue 9, pp. 1427-36, (2012) (PubMed).

Agarwal, Jothi: "Genome-wide characterization of menin-dependent H3K4me3 reveals a specific role for menin in the regulation of genes implicated in MEN1-like tumors." dans: PLoS ONE, Vol. 7, Issue 5, pp. e37952, (2012) (PubMed).

Luzi, Marini, Giusti, Galli, Cavalli, Brandi: "The negative feedback-loop between the oncomir Mir-24-1 and menin modulates the Men1 tumorigenesis by mimicking the "Knudson's second hit"." dans: PLoS ONE, Vol. 7, Issue 6, pp. e39767, (2012) (PubMed).

Veniaminova, Hayes, Varney, Merchant: "Conditional deletion of menin results in antral G cell hyperplasia and hypergastrinemia." dans: American journal of physiology. Gastrointestinal and liver physiology, Vol. 303, Issue 6, pp. G752-64, (2012) (PubMed).

Xu, Wu, Wang, Shen, Guo, Shen, Wang: "Tumor suppressor menin mediates peripheral nerve injury-induced neuropathic pain through potentiating synaptic plasticity." dans: Neuroscience, Vol. 223, pp. 473-85, (2012) (PubMed).

Wuescher, Angevine, Hinds, Ramakrishnan, Najjar, Mensah-Osman: "Insulin regulates menin expression, cytoplasmic localization, and interaction with FOXO1." dans: American journal of physiology. Endocrinology and metabolism, Vol. 301, Issue 3, pp. E474-83, (2011) (PubMed).

Wu, Zhang, Huang, Yang, Hua: "Regulation of cyclin B2 expression and cell cycle G2/m transition by menin." dans: The Journal of biological chemistry, Vol. 285, Issue 24, pp. 18291-300, (2010) (PubMed).

Shen, Ylaya, Pechhold, Wilson, Adem, Hewitt, Libutti: "Multiple endocrine neoplasia type 1 deletion in pancreatic alpha-cells leads to development of insulinomas in mice." dans: Endocrinology, Vol. 151, Issue 8, pp. 4024-30, (2010) (PubMed).

Corbo, Dalai, Scardoni, Barbi, Beghelli, Bersani, Albarello, Doglioni, Schott, Capelli, Chilosi, Boninsegna, Becker, Falconi, Scarpa: "MEN1 in pancreatic endocrine tumors: analysis of gene and protein status in 169 sporadic neoplasms reveals alterations in the vast majority of cases." dans: Endocrine-related cancer, Vol. 17, Issue 3, pp. 771-83, (2010) (PubMed).

Pseudonymes pour Menin Anticorps

menin 1 (MEN1) Anticorps
menin 1 (men1) Anticorps
menin 1 L homeolog (men1.L) Anticorps
multiple endocrine neoplasia I (men1) Anticorps
multiple endocrine neoplasia 1 (Men1) Anticorps
menin 1 (Men1) Anticorps
AW045611 Anticorps
MEAI Anticorps
meai Anticorps
menin Anticorps
SCG2 Anticorps
scg2 Anticorps
Vous êtes ici:
Chat with us!