Tel:
+49 (0)241 95 163 153
Fax:
+49 (0)241 95 163 155
E-Mail:
orders@anticorps-enligne.fr

Myristoylated Alanine-Rich Protein Kinase C Substrate Anticorps

(Myristoylated Alanine-Rich Protein Kinase C Substrate (MARCKS))

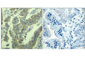
Choisissez l’un des 123 anticorps MARCKS de notre liste de produits basés sur 1 publication et 44 images de validation.

Découvrez des anticorps MARCKS fiables issus d’une large sélection de fabricants renommés. Notre portefeuille permet une détection précise de MARCKS dans plusieurs espèces, y compris Human, Rat, Mouse, Cow, Zebrafish (Danio rerio), Chicken, Xenopus laevis, Rabbit, Dog, Monkey, Pig, Saccharomyces cerevisiae, et prend en charge diverses applications de recherche telles que WB, ELISA, IF (cc), IF (p), IF.

Trouvez rapidement l’anticorps adapté grâce à nos outils de recherche, de filtrage et de comparaison. Chaque page produit fournit des données de validation détaillées, des références bibliographiques et des retours d’utilisateurs. Contrairement aux ressources dédiées uniquement à la comparaison, vous pouvez acheter directement les anticorps sur notre site. Choisissez parmi des anticorps polyclonaux, monoclonaux ou recombinants MARCKS, issus de différents hôtes tels que Rabbit, Mouse, Chicken. Parcourez nos produits ci-dessous et commandez directement pour soutenir vos recherches en toute confiance.

Les noms alternatifs de MARCKS sont MARCKS, Marcks, marcks, mbd106, marcksb, marcks.S, marcksa.

123 Résultats

MARCKS Reactivité: Humain WB, ELISA, IF, IHC (p) Hôte: Souris Monoclonal 2C2 unconjugated
N° du produit ABIN561708
651,20 €
Plus frais de livraison 40,00 € et TVA
50 μg
Destination: France
Envoi sous 8 à 9 jours ouvrables
 
MARCKS Reactivité: Humain WB, IF Hôte: Lapin Polyclonal unconjugated
N° du produit ABIN6143555
320,00 €
Plus frais de livraison 40,00 € et TVA
100 μL (Autres quantités disponibles)
Destination: France
Envoi sous 8 à 10 jours ouvrables
 
MARCKS Reactivité: Humain WB, ELISA, IHC Hôte: Lapin Polyclonal unconjugated
N° du produit ABIN7138449
396,00 €
Plus frais de livraison 40,00 € et TVA
100 μL
Destination: France
Envoi sous 11 à 15 jours ouvrables
 
MARCKS Reactivité: Humain WB, ELISA, IF Hôte: Lapin Polyclonal unconjugated
N° du produit ABIN7138444
396,00 €
Plus frais de livraison 40,00 € et TVA
100 μL
Destination: France
Envoi sous 11 à 15 jours ouvrables
 
MARCKS Reactivité: Humain WB, ELISA, IF Hôte: Lapin Polyclonal unconjugated
N° du produit ABIN7138441
396,00 €
Plus frais de livraison 40,00 € et TVA
100 μL
Destination: France
Envoi sous 11 à 15 jours ouvrables
 
MARCKS Reactivité: Humain, Souris WB, ELISA, IF, IHC, IHC (p) Hôte: Souris Monoclonal 2C2 unconjugated
N° du produit ABIN626091
512,07 €
Plus frais de livraison 40,00 € et TVA
50 μg
Destination: France
Envoi sous 15 à 20 jours ouvrables
 
MARCKS Reactivité: Humain, Souris, Rat WB, ELISA, IF, ICC Hôte: Lapin Polyclonal unconjugated
N° du produit ABIN6263130
525,71 €
Plus frais de livraison 40,00 € et TVA
100 μL (Autres quantités disponibles)
Destination: France
Envoi sous 9 à 11 jours ouvrables
 
MARCKS Reactivité: Humain, Souris, Rat, Boeuf (Vache), Poulet, Xenopus laevis WB Hôte: Lapin Polyclonal unconjugated
N° du produit ABIN227290
867,85 €
Plus frais de livraison 40,00 € et TVA
100 μL
Destination: France
Envoi sous 15 à 20 jours ouvrables
 
MARCKS Reactivité: Humain WB Hôte: Lapin Polyclonal RB04646 unconjugated
N° du produit ABIN389097
434,77 €
Plus frais de livraison 40,00 € et TVA
400 μL (Autres quantités disponibles)
Destination: France
Envoi sous 14 à 17 jours ouvrables
 
MARCKS Reactivité: Rat ELISA, IF (cc), IF (p), IHC (p), IHC (fro) Hôte: Lapin Polyclonal unconjugated
N° du produit ABIN681538
357,70 €
Plus frais de livraison 40,00 € et TVA
100 μL
Destination: France
Envoi sous 8 à 12 jours ouvrables
 
MARCKS Reactivité: Humain, Souris, Rat WB, ELISA Hôte: Lapin Polyclonal unconjugated
N° du produit ABIN6256157
525,71 €
Plus frais de livraison 40,00 € et TVA
100 μL (Autres quantités disponibles)
Destination: France
Envoi sous 9 à 11 jours ouvrables
 
MARCKS Reactivité: Humain, Poisson zèbre (Danio rerio) WB Hôte: Lapin Polyclonal unconjugated
N° du produit ABIN6746804
789,41 €
Plus frais de livraison 40,00 € et TVA
100 μL
Destination: France
Envoi sous 15 à 20 jours ouvrables
 
MARCKS Reactivité: Humain, Rat, Boeuf (Vache), Porc WB, IF, IHC, ICC Hôte: Rat Polyclonal unconjugated
N° du produit ABIN1842262
247,50 €
Plus frais de livraison 40,00 € et TVA
100 μL (Autres quantités disponibles)
Destination: France
Envoi sous 6 à 9 jours ouvrables
 
MARCKS Reactivité: Humain WB, ELISA Hôte: Lapin Polyclonal unconjugated
N° du produit ABIN3031923
631,13 €
Plus frais de livraison 40,00 € et TVA
0.4 mL (Autres quantités disponibles)
Destination: France
Envoi sous 6 à 9 jours ouvrables
 
MARCKS Reactivité: Humain, Souris, Rat WB, IF Hôte: Lapin Polyclonal unconjugated
N° du produit ABIN197560
606,15 €
Plus frais de livraison 40,00 € et TVA
0.1 mL (Autres quantités disponibles)
Destination: France
Envoi sous 17 jours ouvrables
 
MARCKS Reactivité: Humain, Souris, Rat WB, ELISA, IHC Hôte: Lapin Polyclonal unconjugated
N° du produit ABIN1532930
402,00 €
Plus frais de livraison 40,00 € et TVA
100 μL (Autres quantités disponibles)
Destination: France
Envoi sous 6 à 9 jours ouvrables
 
MARCKS Reactivité: Humain, Souris, Rat WB, ELISA, IF Hôte: Lapin Polyclonal unconjugated
N° du produit ABIN1532929
402,00 €
Plus frais de livraison 40,00 € et TVA
100 μL (Autres quantités disponibles)
Destination: France
Envoi sous 6 à 9 jours ouvrables
 
MARCKS Reactivité: Humain, Souris, Rat ELISA, IHC Hôte: Lapin Polyclonal unconjugated
N° du produit ABIN3182997
377,51 €
Plus frais de livraison 40,00 € et TVA
100 μL (Autres quantités disponibles)
Destination: France
Envoi sous 8 à 10 jours ouvrables
 
MARCKS Reactivité: Humain, Souris, Rat WB, ELISA Hôte: Lapin Polyclonal unconjugated
N° du produit ABIN3182413
377,51 €
Plus frais de livraison 40,00 € et TVA
100 μL (Autres quantités disponibles)
Destination: France
Envoi sous 8 à 10 jours ouvrables
 
MARCKS Reactivité: Humain IF (cc), IF (p) Hôte: Lapin Polyclonal AbBy Fluor® 680
N° du produit ABIN5006567
426,37 €
Plus frais de livraison 40,00 € et TVA
100 μL
Destination: France
Envoi sous 15 à 22 jours ouvrables
 
  • Type Primary
    • Primary
  • Application
    • Western Blotting (WB)
    • ELISA
    • Immunofluorescence (Cultured Cells) (IF (cc))
    • Immunofluorescence (Paraffin-embedded Sections) (IF (p))
    • Immunofluorescence (IF)
    • Immunohistochemistry (IHC)
    • Immunohistochemistry (Paraffin-embedded Sections) (IHC (p))
    • Immunohistochemistry (Frozen Sections) (IHC (fro))
    • Flow Cytometry (FACS)
    • Immunocytochemistry (ICC)
    • Immunofluorescence (fixed cells) (IF/ICC)
    • Enzyme Immunoassay (EIA)
    • Immunoprecipitation (IP)
  • Réactivité
    • Human
    • Rat
    • Mouse
    • Cow
    • Zebrafish (Danio rerio)
    • Chicken
    • Xenopus laevis
    • Rabbit
    • Dog
    • Monkey
    • Pig
    • Saccharomyces cerevisiae
  • Cité dans publications
  • Images disponible
  • Sans conservateur uniquement
  • Carrier free only
  • Hote
    • Rabbit
    • Mouse
    • Chicken
    • Rat
  • Clonalité
    • Polyclonal
    • Monoclonal
  • Clone
    • 2C2
    • RB04646
  • Epitope
    • pSer162
    • pSer152
    • pSer156
    • pSer158
    • AA 241-271
    • pSer170
    • C-Term
    • pSer163
    • AA 2-65
    • Ser158
    • AA 136-185
    • AA 156-160
    • AA 160-164
    • Center
    • Ser156
    • Ser162
    • AA 1-100
    • AA 126-175
    • AA 155-199
    • AA 2-66
    • AA 226-275
    • AA 247-276
    • AA 256-305
    • AA 31-120
    • Arg157
    • Internal Region
    • Lys152
    • N-Term
    • Ser152
    • Ser163
    • Ser780
    • pSer159
    • pSer167
  • Conjugué
    • Inconjugué
    • Biotin
    • FITC
    • Alexa Fluor 488
    • Alexa Fluor 555
    • Alexa Fluor 594
    • Alexa Fluor 647
    • Alexa Fluor 680
    • Alexa Fluor 750
    • HRP
    • APC
    • AbBy Fluor® 350
    • AbBy Fluor® 488
    • AbBy Fluor® 555
    • AbBy Fluor® 594
    • AbBy Fluor® 647
    • AbBy Fluor® 680
    • AbBy Fluor® 750
    • Cy3
    • Cy5
    • Cy5.5
    • Cy7
    • PE
  • Isotype
    • IgG
    • IgG1 kappa
    • Ig Fraction
    • IgG1
    • IgY
  • Format
    • Liquid
    • Lyophilized
  • Supplier
    • antibodies-online
    • Signalway
    • Acris
    • Cohesion Biosciences
    • ProSci
    • Abbexa
    • Assay Biotechnology Company, Inc.
    • Aviva Systems Biology
    • Boster Bio
    • EnCor Biotechnology
    • NSJ Bioreagents
    • ProteoGenix
    • Rockland
    • USBio
    • Wuhan Fine biotech

Dernières publications pour nos Myristoylated Alanine-Rich Protein Kinase C Substrate Anticorps

Gonzalez-Lozano, Klemmer, Gebuis, Hassan, van Nierop, van Kesteren, Smit, Li: "Dynamics of the mouse brain cortical synaptic proteome during postnatal brain development." dans: Scientific reports, Vol. 6, pp. 35456, (2016) (PubMed).

Pelletier, Padhi, Hawari, Sunahara, Poon: "Development of a sensitive in vitro assay to quantify the biological activity of pro-inflammatory phorbol esters in Jatropha oil." dans: In vitro cellular & developmental biology. Animal, Vol. 51, Issue 6, pp. 644-50, (2015) (PubMed).

Olianas, Dedoni, Onali: "Signaling pathways mediating phosphorylation and inactivation of glycogen synthase kinase-3? by the recombinant human ?-opioid receptor stably expressed in Chinese hamster ovary cells." dans: Neuropharmacology, Vol. 60, Issue 7-8, pp. 1326-36, (2011) (PubMed).

Zhang, Ahmed, McFarlane, Capone, Boreham, Truant, Igdoura, Trigatti: "Regulation of SR-BI-mediated selective lipid uptake in Chinese hamster ovary-derived cells by protein kinase signaling pathways." dans: Journal of lipid research, Vol. 48, Issue 2, pp. 405-16, (2007) (PubMed).

Pariser, Herradon, Ezquerra, Perez-Pinera, Deuel: "Pleiotrophin regulates serine phosphorylation and the cellular distribution of beta-adducin through activation of protein kinase C." dans: Proceedings of the National Academy of Sciences of the United States of America, Vol. 102, Issue 35, pp. 12407-12, (2005) (PubMed).

Rauch, Ferguson, Prestwich, Cafiso: "Myristoylated alanine-rich C kinase substrate (MARCKS) sequesters spin-labeled phosphatidylinositol 4,5-bisphosphate in lipid bilayers." dans: The Journal of biological chemistry, Vol. 277, Issue 16, pp. 14068-76, (2002) (PubMed).

Nagumo, Ikenoya, Sakurada, Furuya, Ikuhara, Hiraoka, Sasaki: "Rho-associated kinase phosphorylates MARCKS in human neuronal cells." dans: Biochemical and biophysical research communications, Vol. 280, Issue 3, pp. 605-9, (2001) (PubMed).

Ramsden: "MARCKS: a case of molecular exaptation?" dans: The international journal of biochemistry & cell biology, Vol. 32, Issue 5, pp. 475-9, (2001) (PubMed).

Pseudonymes pour Myristoylated Alanine-Rich Protein Kinase C Substrate Anticorps

myristoylated alanine rich protein kinase C substrate (MARCKS) Anticorps
myristoylated alanine rich protein kinase C substrate (Marcks) Anticorps
myristoylated alanine-rich protein kinase C substrate (marcks) Anticorps
methyl binding domain106 (mbd106) Anticorps
myristoylated alanine-rich protein kinase C substrate b (marcksb) Anticorps
myristoylated alanine-rich protein kinase C substrate S homeolog (marcks.S) Anticorps
myristoylated alanine-rich protein kinase C substrate a (marcksa) Anticorps
80K-L Anticorps
fc34g03 Anticorps
fc38c06 Anticorps
KINC Anticorps
MACS Anticorps
Macs Anticorps
macs Anticorps
marcks Anticorps
MARCKS Anticorps
MGC89127 Anticorps
PKCSL Anticorps
PRKCSL Anticorps
wu:fb55c06 Anticorps
wu:fb92d04 Anticorps
wu:fc19b04 Anticorps
wu:fc34g03 Anticorps
wu:fc38c06 Anticorps
wu:fc44a10 Anticorps
zgc:109978 Anticorps
zgc:110235 Anticorps
Vous êtes ici:
Chat with us!