Tel:
+49 (0)241 95 163 153
Fax:
+49 (0)241 95 163 155
E-Mail:
orders@anticorps-enligne.fr

MYST2 Anticorps

(MYST Histone Acetyltransferase 2 (MYST2))

Choisissez l’un des 61 anticorps MYST2 de notre liste de produits basés sur 2 publications et 47 images de validation.

Découvrez des anticorps MYST2 fiables issus d’une large sélection de fabricants renommés. Notre portefeuille permet une détection précise de MYST2 dans plusieurs espèces, y compris Human, Mouse, Rat, Dog, Cow, Chicken, Monkey, Pig, Guinea Pig, Horse, Rabbit, Xenopus laevis, Zebrafish (Danio rerio), Bat, et prend en charge diverses applications de recherche telles que WB, IF, IHC, ICC, ELISA.

Trouvez rapidement l’anticorps adapté grâce à nos outils de recherche, de filtrage et de comparaison. Chaque page produit fournit des données de validation détaillées, des références bibliographiques et des retours d’utilisateurs. Contrairement aux ressources dédiées uniquement à la comparaison, vous pouvez acheter directement les anticorps sur notre site. Choisissez parmi des anticorps polyclonaux, monoclonaux ou recombinants MYST2, issus de différents hôtes tels que Rabbit, Mouse. Parcourez nos produits ci-dessous et commandez directement pour soutenir vos recherches en toute confiance.

Les noms alternatifs de MYST2 sont Kat7, KAT7, myst2.

61 Résultats

MYST2 Reactivité: Humain WB, IHC Hôte: Lapin Polyclonal unconjugated
Pubmed 1 reference
N° du produit ABIN6142689
320,00 €
Plus frais de livraison 40,00 € et TVA
100 μL (Autres quantités disponibles)
Destination: France
Envoi sous 8 à 10 jours ouvrables
 
MYST2 Reactivité: Humain, Souris, Singe WB, ELISA, IHC Hôte: Souris Monoclonal 1D9H9 unconjugated
N° du produit ABIN7193385
498,33 €
Plus frais de livraison 40,00 € et TVA
100 μL
Destination: France
Envoi sous 7 à 10 jours ouvrables
 
MYST2 Reactivité: Humain, Souris, Rat WB, ELISA, IHC, IF, ICC Hôte: Lapin Polyclonal unconjugated
Pubmed 1 reference
N° du produit ABIN6257254
525,71 €
Plus frais de livraison 40,00 € et TVA
100 μL (Autres quantités disponibles)
Destination: France
Envoi sous 9 à 11 jours ouvrables
 
MYST2 Reactivité: Humain WB, ELISA, RNAi Hôte: Souris Monoclonal 2G5 unconjugated
N° du produit ABIN564834
651,20 €
Plus frais de livraison 40,00 € et TVA
100 μg
Destination: France
Envoi sous 8 à 9 jours ouvrables
 
MYST2 Reactivité: Humain, Souris WB, IHC (p) Hôte: Lapin Polyclonal unconjugated
N° du produit ABIN2855265
583,17 €
Plus frais de livraison 40,00 € et TVA
100 μL
Destination: France
Envoi sous 7 à 10 jours ouvrables
 
KD Validated MYST2 Reactivité: Humain WB, FACS Hôte: Lapin Monoclonal 23GB2390 unconjugated Recombinant Antibody
N° du produit ABIN7799528
598,92 €
Plus frais de livraison 40,00 € et TVA
100 μL
Destination: France
Envoi sous 7 à 10 jours ouvrables
 
MYST2 Reactivité: Humain WB, IP Hôte: Lapin Polyclonal unconjugated
N° du produit ABIN524561
636,80 €
Plus frais de livraison 40,00 € et TVA
100 μL
Destination: France
Envoi sous 8 à 9 jours ouvrables
 
MYST2 Reactivité: Humain WB, IF Hôte: Souris Polyclonal unconjugated
N° du produit ABIN5584143
651,20 €
Plus frais de livraison 40,00 € et TVA
50 μg
Destination: France
Envoi sous 8 à 9 jours ouvrables
 
MYST2 Reactivité: Humain WB, ELISA, IHC Hôte: Lapin Polyclonal unconjugated
N° du produit ABIN7155278
328,90 €
Plus frais de livraison 40,00 € et TVA
100 μg (Autres quantités disponibles)
Destination: France
Envoi sous 11 à 15 jours ouvrables
 
MYST2 Reactivité: Humain, Souris, Rat WB, ELISA, IF Hôte: Lapin Polyclonal unconjugated
N° du produit ABIN3184974
377,51 €
Plus frais de livraison 40,00 € et TVA
100 μL (Autres quantités disponibles)
Destination: France
Envoi sous 8 à 10 jours ouvrables
 
MYST2 Reactivité: Humain, Souris, Rat ELISA, IHC Hôte: Lapin Polyclonal unconjugated
N° du produit ABIN7245419
449,00 €
Plus frais de livraison 40,00 € et TVA
200 μL (Autres quantités disponibles)
Destination: France
Envoi sous 9 à 13 jours ouvrables
 
MYST2 Reactivité: Humain, Souris, Rat, Chien, Boeuf (Vache), Cobaye, Cheval, Lapin, Porc, Singe, Roussette (Chauve-souris) WB Hôte: Lapin Polyclonal unconjugated
N° du produit ABIN6736157
789,41 €
Plus frais de livraison 40,00 € et TVA
100 μL
Destination: France
Envoi sous 15 à 20 jours ouvrables
 
MYST2 Reactivité: Humain, Souris, Rat, Chien, Boeuf (Vache), Poulet, Xenopus laevis WB, IHC, IF, IHC (p), PLA Hôte: Lapin Polyclonal unconjugated
N° du produit ABIN1915789
564,35 €
Plus frais de livraison 40,00 € et TVA
2 μg (Autres quantités disponibles)
Destination: France
Envoi sous 15 à 20 jours ouvrables
 
MYST2 Reactivité: Humain, Souris, Rat IF Hôte: Lapin Polyclonal unconjugated
N° du produit ABIN7261776
580,00 €
Plus frais de livraison 40,00 € et TVA
200 μL (Autres quantités disponibles)
Destination: France
Envoi sous 9 à 13 jours ouvrables
 
MYST2 Reactivité: Humain WB, IHC (p), EIA Hôte: Lapin Polyclonal unconjugated
N° du produit ABIN356663
783,38 €
Plus frais de livraison 40,00 € et TVA
0.4 mL
Destination: France
Envoi sous 17 jours ouvrables
 
MYST2 Reactivité: Humain, Souris, Rat WB, ELISA, IF Hôte: Lapin Polyclonal unconjugated
N° du produit ABIN1533558
402,00 €
Plus frais de livraison 40,00 € et TVA
100 μL (Autres quantités disponibles)
Destination: France
Envoi sous 6 à 9 jours ouvrables
 
MYST2 Reactivité: Humain, Souris, Rat, Chien, Boeuf (Vache), Cobaye, Cheval, Lapin WB Hôte: Lapin Polyclonal unconjugated
N° du produit ABIN2777626
534,11 €
Plus frais de livraison 40,00 € et TVA
100 μL (Autres quantités disponibles)
Destination: France
Envoi sous 6 à 9 jours ouvrables
 
MYST2 Reactivité: Humain, Souris, Rat, Chien, Boeuf (Vache), Poulet, Porc, Poisson zèbre (Danio rerio) WB, IF, IP Hôte: Lapin Polyclonal unconjugated
N° du produit ABIN7297884
330,77 €
Plus frais de livraison 40,00 € et TVA
100 μL (Autres quantités disponibles)
Destination: France
Envoi sous 17 à 20 jours ouvrables
 
MYST2 Reactivité: Humain WB, ELISA, IHC Hôte: Lapin Polyclonal unconjugated
N° du produit ABIN7570416
527,38 €
Plus frais de livraison 40,00 € et TVA
100 μg
Destination: France
Envoi sous 10 à 13 jours ouvrables
 
MYST2 Reactivité: Humain WB, IF, ICC Hôte: Lapin Polyclonal unconjugated
N° du produit ABIN5620025
754,80 €
Plus frais de livraison 40,00 € et TVA
100 μL
Destination: France
Envoi sous 13 à 17 jours ouvrables
 
  • Type Primary
    • Primary
  • Application
    • Western Blotting (WB)
    • Immunofluorescence (IF)
    • Immunohistochemistry (IHC)
    • Immunocytochemistry (ICC)
    • ELISA
    • Immunoprecipitation (IP)
    • Immunohistochemistry (Paraffin-embedded Sections) (IHC (p))
    • Enzyme Immunoassay (EIA)
    • Flow Cytometry (FACS)
    • Immunohistochemistry (Frozen Sections) (IHC (fro))
    • Proximity Ligation Assay (PLA)
    • RNA Interference (RNAi)
  • Réactivité
    • Human
    • Mouse
    • Rat
    • Dog
    • Cow
    • Chicken
    • Monkey
    • Pig
    • Guinea Pig
    • Horse
    • Rabbit
    • Xenopus laevis
    • Zebrafish (Danio rerio)
    • Bat
  • Cité dans publications
  • Images disponible
  • Sans conservateur uniquement
  • Carrier free only
  • Hote
    • Rabbit
    • Mouse
  • Clonalité
    • Polyclonal
    • Monoclonal
  • Clone
    • 1D9H9
    • 23GB2390
    • 2G5
    • ADAE-11
    • R01-2I6
  • Epitope
    • AA 1-214
    • Internal Region
    • AA 1-611
    • N-Term
    • Center
    • AA 1-200
    • AA 1-320
    • AA 125-175
    • AA 131-180
    • AA 333-611
    • AA 512-611
    • AA 55-193
    • AA 561-611
    • C-Term
    • Ser167
  • Conjugué
    • Inconjugué
    • Biotin
    • Alexa Fluor 488
    • Alexa Fluor 555
    • Alexa Fluor 594
    • Alexa Fluor 647
    • Alexa Fluor 680
    • Alexa Fluor 750
    • FITC
    • Alexa Fluor 350
    • Alexa Fluor 405
    • HRP
  • Isotype
    • IgG
    • IgG1
    • Ig Fraction
  • Type Proteine
    • Recombinant Antibody
  • Format
    • Liquid
    • Lyophilized
  • Grade
    • KD Validated
  • Supplier
    • antibodies-online
    • Signalway
    • Cohesion Biosciences
    • Abbexa
    • Abiocode
    • Acris
    • Assay Biotechnology Company, Inc.
    • Aviva Systems Biology
    • Boster Bio
    • CUSABIO
    • ProSci
    • ProteoGenix
    • USBio

Dernières publications pour nos MYST2 Anticorps

Yang, Guan, Shaikh, Liang, Sun, Wang, Li, Qiu, Li: "Histone Acetyltransferase Mof Affects the Progression of DSS-Induced Colitis." dans: Cellular physiology and biochemistry : international journal of experimental cellular physiology, biochemistry, and pharmacology, Vol. 47, Issue 5, pp. 2159-2169, (2018) (PubMed).

Wu, Lou, Ge, Xiong: "Quantitative Proteomics Analysis Reveals Novel Targets of miR-21 in Zebrafish Embryos." dans: Scientific reports, Vol. 7, Issue 1, pp. 4022, (2018) (PubMed).

Wu, Liu: "Role for Plk1 phosphorylation of Hbo1 in regulation of replication licensing." dans: Proceedings of the National Academy of Sciences of the United States of America, Vol. 105, Issue 6, pp. 1919-24, (2008) (PubMed).

Iizuka, Sarmento, Sekiya, Scrable, Allis, Smith: "Hbo1 Links p53-dependent stress signaling to DNA replication licensing." dans: Molecular and cellular biology, Vol. 28, Issue 1, pp. 140-53, (2007) (PubMed).

Pseudonymes pour MYST2 Anticorps

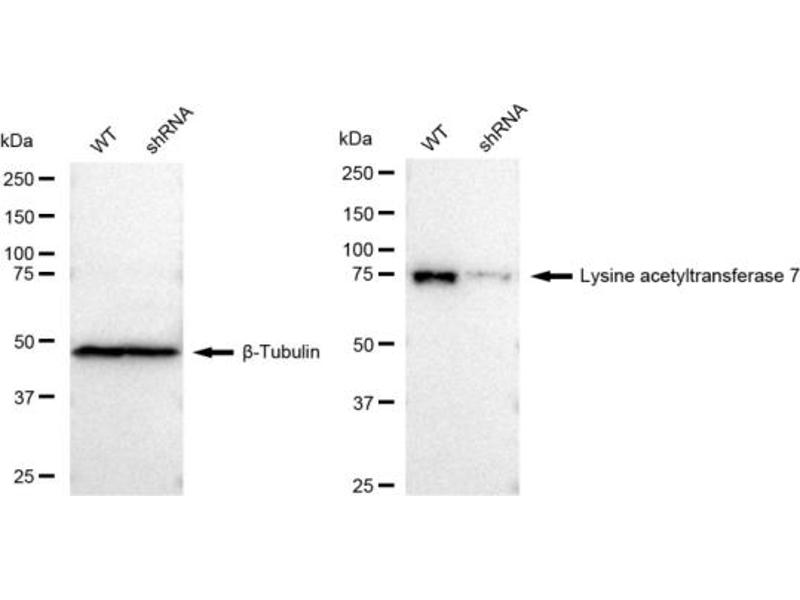
lysine acetyltransferase 7 (Kat7) Anticorps
lysine acetyltransferase 7 (KAT7) Anticorps
K(lysine) acetyltransferase 7 (Kat7) Anticorps
MYST histone acetyltransferase 2 (myst2) Anticorps
HBO1 Anticorps
Hbo1 Anticorps
HBOA Anticorps
Hboa Anticorps
Myst2 Anticorps
MYST2 Anticorps
ZC2HC7 Anticorps
Vous êtes ici:
Chat with us!