Tel:
+49 (0)241 95 163 153
Fax:
+49 (0)241 95 163 155
E-Mail:
orders@anticorps-enligne.fr

NFASC Anticorps

(Neurofascin (NFASC))

Choisissez l’un des 35 anticorps NFASC de notre liste de produits basés sur 15 images de validation.

Découvrez des anticorps NFASC fiables issus d’une large sélection de fabricants renommés. Notre portefeuille permet une détection précise de NFASC dans plusieurs espèces, y compris Rat, Human, Mouse, et prend en charge diverses applications de recherche telles que WB, IF (cc), IF (p), IHC, ELISA.

Trouvez rapidement l’anticorps adapté grâce à nos outils de recherche, de filtrage et de comparaison. Chaque page produit fournit des données de validation détaillées, des références bibliographiques et des retours d’utilisateurs. Contrairement aux ressources dédiées uniquement à la comparaison, vous pouvez acheter directement les anticorps sur notre site. Choisissez parmi des anticorps polyclonaux, monoclonaux ou recombinants NFASC, issus de différents hôtes tels que Rabbit, Mouse, Chicken. Parcourez nos produits ci-dessous et commandez directement pour soutenir vos recherches en toute confiance.

Les noms alternatifs de NFASC sont NFASC, nfasca, Nfasc.

35 Résultats

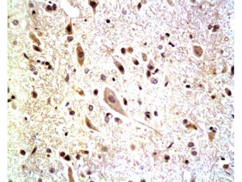
NFASC Reactivité: Humain, Rat, Souris WB, ELISA, ICC, IF (cc), IF (p), IHC (fro), IHC (p) Hôte: Lapin Polyclonal unconjugated
N° du produit ABIN727325
357,70 €
Plus frais de livraison 40,00 € et TVA
100 μL
Destination: France
Envoi sous 8 à 12 jours ouvrables
 
NFASC Reactivité: Humain WB Hôte: Lapin Polyclonal unconjugated
N° du produit ABIN3017267
320,00 €
Plus frais de livraison 40,00 € et TVA
100 μL (Autres quantités disponibles)
Destination: France
Envoi sous 8 à 10 jours ouvrables
 
NFASC Reactivité: Humain WB, ELISA Hôte: Souris Polyclonal unconjugated
N° du produit ABIN524981
508,80 €
Plus frais de livraison 40,00 € et TVA
50 μL
Destination: France
Envoi sous 8 à 9 jours ouvrables
 
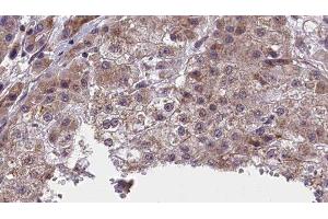
NFASC Reactivité: Humain, Rat, Souris WB, IHC, ELISA Hôte: Lapin Polyclonal unconjugated
N° du produit ABIN6266254
525,71 €
Plus frais de livraison 40,00 € et TVA
100 μL (Autres quantités disponibles)
Destination: France
Envoi sous 9 à 11 jours ouvrables
 
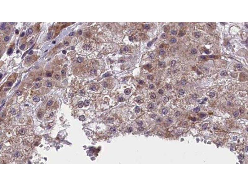
NFASC Reactivité: Rat WB, IHC Hôte: Lapin Polyclonal unconjugated
N° du produit ABIN7043360
854,77 €
Plus frais de livraison 40,00 € et TVA
25 μL (Autres quantités disponibles)
Destination: France
Envoi sous 8 à 9 jours ouvrables
 
NFASC Reactivité: Humain WB, IHC, ICC, IP Hôte: Lapin Polyclonal unconjugated
N° du produit ABIN7430123
334,46 €
Plus frais de livraison 40,00 € et TVA
100 μL (Autres quantités disponibles)
Destination: France
Envoi sous 11 à 15 jours ouvrables
 
NFASC Reactivité: Humain, Rat, Souris WB, IF (cc), IF (p) Hôte: Lapin Polyclonal AbBy Fluor® 750
N° du produit ABIN5007474
426,37 €
Plus frais de livraison 40,00 € et TVA
100 μL
Destination: France
Envoi sous 20 à 25 jours ouvrables
 
NFASC Reactivité: Humain, Rat, Souris WB, IF (cc), IF (p) Hôte: Lapin Polyclonal AbBy Fluor® 680
N° du produit ABIN5007473
426,37 €
Plus frais de livraison 40,00 € et TVA
100 μL
Destination: France
Envoi sous 20 à 25 jours ouvrables
 
NFASC Reactivité: Humain, Rat, Souris WB, IF (cc), IF (p) Hôte: Lapin Polyclonal AbBy Fluor® 647
N° du produit ABIN908095
426,37 €
Plus frais de livraison 40,00 € et TVA
100 μL
Destination: France
Envoi sous 20 à 25 jours ouvrables
 
NFASC Reactivité: Humain, Rat, Souris WB, IF (cc), IF (p) Hôte: Lapin Polyclonal AbBy Fluor® 350
N° du produit ABIN908096
426,37 €
Plus frais de livraison 40,00 € et TVA
100 μL
Destination: France
Envoi sous 20 à 25 jours ouvrables
 
Verified NFASC Reactivité: Humain WB, ELISA Hôte: Chèvre Polyclonal unconjugated
N° du produit ABIN768573
488,25 €
Plus frais de livraison 40,00 € et TVA
100 μg
Destination: France
Envoi sous 5 à 8 jours ouvrables
 
NFASC Reactivité: Humain, Rat, Souris WB, ELISA, IHC (fro), IHC (p) Hôte: Lapin Polyclonal HRP
N° du produit ABIN727334
437,53 €
Plus frais de livraison 40,00 € et TVA
100 μL
Destination: France
Envoi sous 20 à 25 jours ouvrables
 
NFASC Reactivité: Humain, Rat, Souris WB, IF (cc), IF (p) Hôte: Lapin Polyclonal FITC
N° du produit ABIN727332
437,53 €
Plus frais de livraison 40,00 € et TVA
100 μL
Destination: France
Envoi sous 20 à 25 jours ouvrables
 
NFASC Reactivité: Humain, Rat, Souris WB, IF (cc), IF (p) Hôte: Lapin Polyclonal Cy5.5
N° du produit ABIN727330
437,53 €
Plus frais de livraison 40,00 € et TVA
100 μL
Destination: France
Envoi sous 20 à 25 jours ouvrables
 
NFASC Reactivité: Humain, Rat, Souris WB, IF (cc), IF (p) Hôte: Lapin Polyclonal Cy7
N° du produit ABIN727331
437,53 €
Plus frais de livraison 40,00 € et TVA
100 μL
Destination: France
Envoi sous 20 à 25 jours ouvrables
 
NFASC Reactivité: Humain, Rat, Souris WB, ELISA, IHC (fro), IHC (p) Hôte: Lapin Polyclonal Biotin
N° du produit ABIN727327
419,50 €
Plus frais de livraison 40,00 € et TVA
100 μL
Destination: France
Envoi sous 20 à 25 jours ouvrables
 
NFASC Reactivité: Humain, Rat, Souris WB, IF (cc), IF (p) Hôte: Lapin Polyclonal Cy3
N° du produit ABIN727328
437,53 €
Plus frais de livraison 40,00 € et TVA
100 μL
Destination: France
Envoi sous 20 à 25 jours ouvrables
 
NFASC Reactivité: Humain, Rat, Souris WB, IF (cc), IF (p) Hôte: Lapin Polyclonal Cy5
N° du produit ABIN727329
437,53 €
Plus frais de livraison 40,00 € et TVA
100 μL
Destination: France
Envoi sous 20 à 25 jours ouvrables
 
NFASC Reactivité: Humain, Rat, Souris WB, IF (cc), IF (p) Hôte: Lapin Polyclonal AbBy Fluor® 488
N° du produit ABIN908099
426,37 €
Plus frais de livraison 40,00 € et TVA
100 μL
Destination: France
Envoi sous 20 à 25 jours ouvrables
 
NFASC Reactivité: Humain, Rat, Souris WB, IF (cc), IF (p) Hôte: Lapin Polyclonal AbBy Fluor® 555
N° du produit ABIN908097
426,37 €
Plus frais de livraison 40,00 € et TVA
100 μL
Destination: France
Envoi sous 20 à 25 jours ouvrables
 
  • Type Primary
    • Primary
  • Application
    • Western Blotting (WB)
    • Immunofluorescence (Cultured Cells) (IF (cc))
    • Immunofluorescence (Paraffin-embedded Sections) (IF (p))
    • Immunohistochemistry (IHC)
    • ELISA
    • Immunocytochemistry (ICC)
    • Immunohistochemistry (Frozen Sections) (IHC (fro))
    • Immunohistochemistry (Paraffin-embedded Sections) (IHC (p))
    • Immunoprecipitation (IP)
    • Immunofluorescence (fixed cells) (IF/ICC)
  • Réactivité
    • Rat
    • Human
    • Mouse
  • Images disponible
  • Sans conservateur uniquement
  • Carrier free only
  • Hote
    • Rabbit
    • Mouse
    • Chicken
    • Goat
  • Clonalité
    • Polyclonal
    • Monoclonal
  • Clone
    • L11A-41
  • Epitope
    • AA 501-650
    • Intracellular
    • pan
    • AA 1142-1155
    • AA 25-1031
    • AA 661-758
    • AA 760-1007
    • AA 830-1100
    • AA 877-890
    • C-Term
  • Conjugué
    • Inconjugué
    • AbBy Fluor® 350
    • AbBy Fluor® 488
    • AbBy Fluor® 555
    • AbBy Fluor® 594
    • AbBy Fluor® 647
    • AbBy Fluor® 680
    • AbBy Fluor® 750
    • Alexa Fluor 488
    • Alexa Fluor 555
    • Alexa Fluor 594
    • Alexa Fluor 647
    • Alexa Fluor 680
    • Alexa Fluor 750
    • Biotin
    • Cy3
    • Cy5
    • Cy5.5
    • Cy7
    • FITC
    • FL490
    • FL550
    • FL594
    • FL650
    • HRP
  • Isotype
    • IgG
    • IgG1
    • IgY
  • Format
    • Liquid
    • Lyophilized
  • Grade
    • Carrier-free
    • Verified
  • Supplier
    • antibodies-online
    • Antibodies Incorporated
    • Signalway
    • Abbexa
    • Alomone Labs

Dernières publications pour nos NFASC Anticorps

OGuin, Gruber, Raine, Guzik, Poulos, Shafit-Zagardo: "Gas6 enhances axonal ensheathment by MBP+ membranous processes in human DRG/OL promyelinating co-cultures." dans: ASN neuro, Vol. 6, Issue 1, pp. e00135, (2014) (PubMed).

Jones, Korobova, Svitkina: "Axon initial segment cytoskeleton comprises a multiprotein submembranous coat containing sparse actin filaments." dans: The Journal of cell biology, Vol. 205, Issue 1, pp. 67-81, (2014) (PubMed).

Buffington, Sobotzik, Schultz, Rasband: "I?B? is not required for axon initial segment assembly." dans: Molecular and cellular neurosciences, Vol. 50, Issue 1, pp. 1-9, (2012) (PubMed).

Dhaunchak, Becker, Schulman, De Faria, Rajasekharan, Banwell, Colman, Bar-Or: "Implication of perturbed axoglial apparatus in early pediatric multiple sclerosis." dans: Annals of neurology, Vol. 71, Issue 5, pp. 601-13, (2012) (PubMed).

Galiano, Jha, Ho, Zhang, Ogawa, Chang, Stankewich, Mohler, Rasband: "A distal axonal cytoskeleton forms an intra-axonal boundary that controls axon initial segment assembly." dans: Cell, Vol. 149, Issue 5, pp. 1125-39, (2012) (PubMed).

Yap, Vakulenko, Kruczek, Motamedi, Digilio, Liu, Winckler: "Doublecortin (DCX) mediates endocytosis of neurofascin independently of microtubule binding." dans: The Journal of neuroscience : the official journal of the Society for Neuroscience, Vol. 32, Issue 22, pp. 7439-53, (2012) (PubMed).

Cortes, Landis, Ottens: "High-capacity peptide-centric platform to decode the proteomic response to brain injury." dans: Electrophoresis, Vol. 33, Issue 24, pp. 3712-9, (2012) (PubMed).

Shi, Sun, McBride, Cheng, Shi: "Acrolein induces myelin damage in mammalian spinal cord." dans: Journal of neurochemistry, Vol. 117, Issue 3, pp. 554-64, (2011) (PubMed).

Roza, Castillejo, Lopez-García: "Accumulation of Kv7.2 channels in putative ectopic transduction zones of mice nerve-end neuromas." dans: Molecular pain, Vol. 7, pp. 58, (2011) (PubMed).

Kaphzan, Buffington, Jung, Rasband, Klann: "Alterations in intrinsic membrane properties and the axon initial segment in a mouse model of Angelman syndrome." dans: The Journal of neuroscience : the official journal of the Society for Neuroscience, Vol. 31, Issue 48, pp. 17637-48, (2011) (PubMed).

Pseudonymes pour NFASC Anticorps

neurofascin (NFASC) Anticorps
neurofascin homolog (chicken) a (nfasca) Anticorps
neurofascin (Nfasc) Anticorps
AA387016 Anticorps
D430023G06Rik Anticorps
mKIAA0756 Anticorps
NF Anticorps
NRCAML Anticorps
sc:d0205 Anticorps
Vous êtes ici:
Chat with us!