Tel:
+49 (0)241 95 163 153
Fax:
+49 (0)241 95 163 155
E-Mail:
orders@anticorps-enligne.fr

NIM1 Anticorps

(Serine/threonine-Protein Kinase NIM1 (NIM1))

Choisissez l’un des 26 anticorps NIM1 de notre liste de produits basés sur 11 images de validation.

Découvrez des anticorps NIM1 fiables issus d’une large sélection de fabricants renommés. Notre portefeuille permet une détection précise de NIM1 dans plusieurs espèces, y compris Human, Mouse, Rat, Cow, Dog, Guinea Pig, Rabbit, Hamster, Horse, Monkey, Zebrafish (Danio rerio), et prend en charge diverses applications de recherche telles que WB, ELISA, ICC, IHC, IF.

Trouvez rapidement l’anticorps adapté grâce à nos outils de recherche, de filtrage et de comparaison. Chaque page produit fournit des données de validation détaillées, des références bibliographiques et des retours d’utilisateurs. Contrairement aux ressources dédiées uniquement à la comparaison, vous pouvez acheter directement les anticorps sur notre site. Choisissez parmi des anticorps polyclonaux, monoclonaux ou recombinants NIM1, issus de différents hôtes tels que Rabbit, Mouse. Parcourez nos produits ci-dessous et commandez directement pour soutenir vos recherches en toute confiance.

Les noms alternatifs de NIM1 sont NIM1K, Nim1k.

26 Résultats

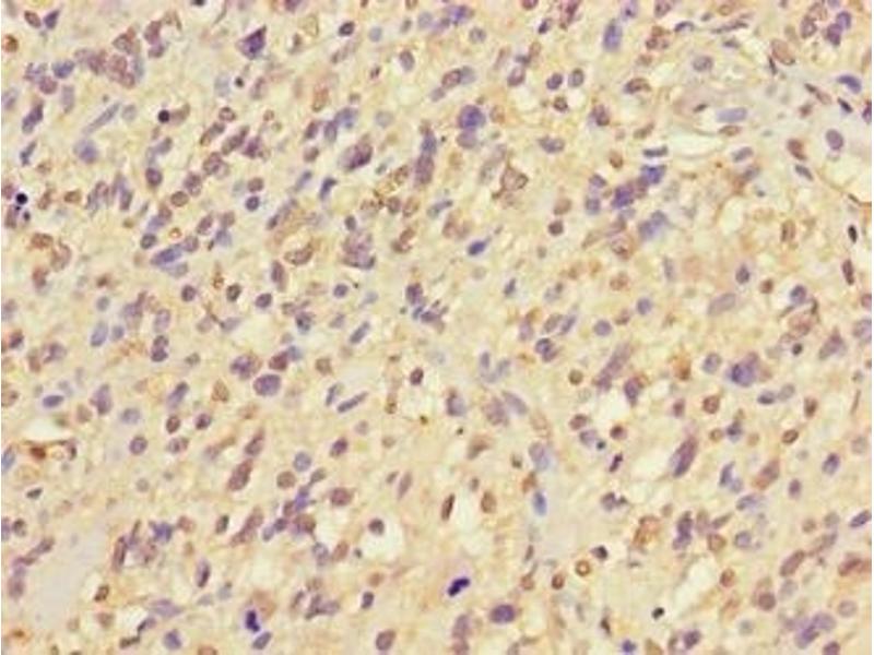
NIM1 Reactivité: Humain ELISA, WB, IHC Hôte: Lapin Polyclonal unconjugated
N° du produit ABIN7169120
328,90 €
Plus frais de livraison 40,00 € et TVA
100 μg (Autres quantités disponibles)
Destination: France
Envoi sous 11 à 15 jours ouvrables
 
NIM1 Reactivité: Humain, Souris WB Hôte: Lapin Polyclonal RB34650 unconjugated
N° du produit ABIN657849
434,77 €
Plus frais de livraison 40,00 € et TVA
400 μL (Autres quantités disponibles)
Destination: France
Envoi sous 14 à 17 jours ouvrables
 
NIM1 Reactivité: Humain, Souris ELISA, WB, ICC, IF Hôte: Lapin Polyclonal unconjugated
N° du produit ABIN6259609
525,71 €
Plus frais de livraison 40,00 € et TVA
100 μL (Autres quantités disponibles)
Destination: France
Envoi sous 9 à 11 jours ouvrables
 
NIM1 Reactivité: Humain WB Hôte: Souris Polyclonal unconjugated
N° du produit ABIN531179
651,20 €
Plus frais de livraison 40,00 € et TVA
50 μg
Destination: France
Envoi sous 8 à 9 jours ouvrables
 
NIM1 Reactivité: Humain, Souris, Rat, Boeuf (Vache), Chien, Cobaye, Lapin, Hamster, Singe ELISA, WB, IHC, ICC, IP Hôte: Lapin Polyclonal unconjugated
N° du produit ABIN6741236
789,41 €
Plus frais de livraison 40,00 € et TVA
100 μL
Destination: France
Envoi sous 15 à 20 jours ouvrables
 
NIM1 Reactivité: Humain, Souris ELISA, WB Hôte: Lapin Polyclonal unconjugated
N° du produit ABIN3185907
377,51 €
Plus frais de livraison 40,00 € et TVA
100 μL (Autres quantités disponibles)
Destination: France
Envoi sous 8 à 10 jours ouvrables
 
NIM1 Reactivité: Humain, Souris ELISA, WB Hôte: Lapin Polyclonal unconjugated
N° du produit ABIN7220020
623,62 €
Plus frais de livraison 40,00 € et TVA
100 μL (Autres quantités disponibles)
Destination: France
Envoi sous 10 à 14 jours ouvrables
 
NIM1 Reactivité: Humain ELISA Hôte: Lapin Polyclonal HRP
N° du produit ABIN7169123
328,90 €
Plus frais de livraison 40,00 € et TVA
100 μg (Autres quantités disponibles)
Destination: France
Envoi sous 11 à 15 jours ouvrables
 
NIM1 Reactivité: Humain Hôte: Lapin Polyclonal FITC
N° du produit ABIN7169122
328,90 €
Plus frais de livraison 40,00 € et TVA
100 μg (Autres quantités disponibles)
Destination: France
Envoi sous 11 à 15 jours ouvrables
 
NIM1 Reactivité: Humain ELISA, WB Hôte: Lapin Polyclonal unconjugated
N° du produit ABIN7185225
218,90 €
Plus frais de livraison 40,00 € et TVA
100 μg (Autres quantités disponibles)
Destination: France
Envoi sous 11 à 15 jours ouvrables
 
NIM1 Reactivité: Humain ELISA Hôte: Lapin Polyclonal Biotin
N° du produit ABIN7169121
328,90 €
Plus frais de livraison 40,00 € et TVA
100 μg (Autres quantités disponibles)
Destination: France
Envoi sous 11 à 15 jours ouvrables
 
NIM1 Reactivité: Humain ELISA, WB Hôte: Lapin Polyclonal Biotin
N° du produit ABIN2586237
678,59 €
Plus frais de livraison 40,00 € et TVA
100 μg (Autres quantités disponibles)
Destination: France
Envoi sous 15 à 20 jours ouvrables
 
NIM1 Reactivité: Humain ELISA, WB Hôte: Lapin Polyclonal HRP
N° du produit ABIN2586236
678,59 €
Plus frais de livraison 40,00 € et TVA
100 μg (Autres quantités disponibles)
Destination: France
Envoi sous 15 à 20 jours ouvrables
 
NIM1 Reactivité: Humain WB Hôte: Souris Polyclonal unconjugated
N° du produit ABIN2586233
1.278,75 €
Plus frais de livraison 40,00 € et TVA
50 μg
Destination: France
Envoi sous 15 à 20 jours ouvrables
 
NIM1 Reactivité: Humain, Souris ELISA, WB Hôte: Lapin Polyclonal unconjugated
N° du produit ABIN2586238
1.328,20 €
Plus frais de livraison 40,00 € et TVA
200 μL
Destination: France
Envoi sous 15 à 20 jours ouvrables
 
NIM1 Reactivité: Humain, Souris ELISA, WB Hôte: Lapin Polyclonal PE
N° du produit ABIN1917315
1.708,41 €
Plus frais de livraison 40,00 € et TVA
200 μL
Destination: France
Envoi sous 15 à 20 jours ouvrables
 
NIM1 Reactivité: Humain, Souris ELISA, WB Hôte: Lapin Polyclonal Biotin
N° du produit ABIN1917313
1.708,41 €
Plus frais de livraison 40,00 € et TVA
200 μL
Destination: France
Envoi sous 15 à 20 jours ouvrables
 
NIM1 Reactivité: Humain, Souris ELISA, WB Hôte: Lapin Polyclonal FITC
N° du produit ABIN1917314
1.708,41 €
Plus frais de livraison 40,00 € et TVA
200 μL
Destination: France
Envoi sous 15 à 20 jours ouvrables
 
NIM1 Reactivité: Humain, Souris ELISA, WB Hôte: Lapin Polyclonal APC
N° du produit ABIN1917312
1.708,41 €
Plus frais de livraison 40,00 € et TVA
200 μL
Destination: France
Envoi sous 15 à 20 jours ouvrables
 
NIM1 Reactivité: Humain, Souris ELISA, WB Hôte: Lapin Polyclonal HRP
N° du produit ABIN1917316
1.708,41 €
Plus frais de livraison 40,00 € et TVA
200 μL
Destination: France
Envoi sous 15 à 20 jours ouvrables
 
  • Type Primary
    • Primary
  • Application
    • Western Blotting (WB)
    • ELISA
    • Immunocytochemistry (ICC)
    • Immunohistochemistry (IHC)
    • Immunofluorescence (IF)
    • Immunoprecipitation (IP)
  • Réactivité
    • Human
    • Mouse
    • Rat
    • Cow
    • Dog
    • Guinea Pig
    • Rabbit
    • Hamster
    • Horse
    • Monkey
    • Zebrafish (Danio rerio)
  • Images disponible
  • Sans conservateur uniquement
  • Carrier free only
  • Hote
    • Rabbit
    • Mouse
  • Clonalité
    • Polyclonal
  • Clone
    • RB34650
  • Epitope
    • AA 352-380
    • AA 1-436
    • C-Term
    • AA 143-192
    • AA 320-400
    • AA 347-396
    • Middle Region
  • Conjugué
    • Inconjugué
    • Biotin
    • FITC
    • HRP
    • APC
    • PE
  • Isotype
    • IgG
    • Ig Fraction
  • Format
    • Liquid
    • Lyophilized
  • Supplier
    • antibodies-online
    • Abbexa
    • Assay Biotechnology Company, Inc.
    • Aviva Systems Biology
    • Cohesion Biosciences
    • ProSci

Dernières publications pour nos NIM1 Anticorps

Knauf, Tschopp, Gram: "Negative regulation of protein translation by mitogen-activated protein kinase-interacting kinases 1 and 2." dans: Molecular and cellular biology, Vol. 21, Issue 16, pp. 5500-11, (2001) (PubMed).

Pseudonymes pour NIM1 Anticorps

NIM1 serine/threonine protein kinase (NIM1K) Anticorps
NIM1 serine/threonine protein kinase (Nim1k) Anticorps
E130304F04Rik Anticorps
Vous êtes ici:
Chat with us!