Tel:
+49 (0)241 95 163 153
Fax:
+49 (0)241 95 163 155
E-Mail:
orders@anticorps-enligne.fr

OR10R2 Anticorps

(Olfactory Receptor, Family 10, Subfamily R, Member 2 (OR10R2))

Choisissez l’un des 11 anticorps OR10R2 de notre liste de produits basés sur 8 images de validation.

Découvrez des anticorps OR10R2 fiables issus d’une large sélection de fabricants renommés. Notre portefeuille permet une détection précise de OR10R2 dans plusieurs espèces, y compris Human, Cow, Monkey, Rabbit, Dog, Guinea Pig, Horse, Mouse, Rat, et prend en charge diverses applications de recherche telles que WB, ELISA, IF, IHC, IHC (p).

Trouvez rapidement l’anticorps adapté grâce à nos outils de recherche, de filtrage et de comparaison. Chaque page produit fournit des données de validation détaillées, des références bibliographiques et des retours d’utilisateurs. Contrairement aux ressources dédiées uniquement à la comparaison, vous pouvez acheter directement les anticorps sur notre site. Choisissez parmi des anticorps polyclonaux, monoclonaux ou recombinants OR10R2, issus de différents hôtes tels que Rabbit. Parcourez nos produits ci-dessous et commandez directement pour soutenir vos recherches en toute confiance.

Les noms alternatifs de OR10R2 sont OR10R2, cOR10AH1P.

11 Résultats

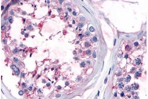
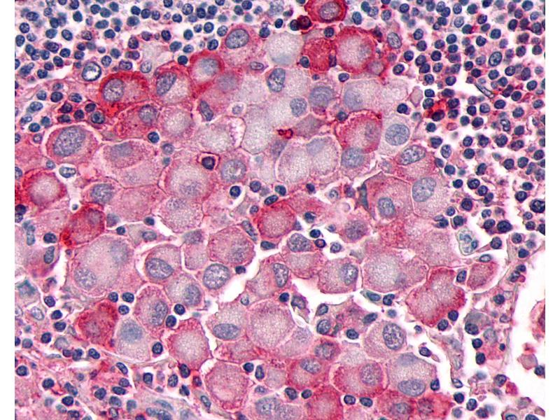
OR10R2 Reactivité: Humain, Boeuf (Vache), Lapin, Singe IHC, IHC (p) Hôte: Lapin Polyclonal unconjugated
N° du produit ABIN1049175
534,81 €
Plus frais de livraison 40,00 € et TVA
50 μg
Destination: France
Envoi sous 15 à 20 jours ouvrables
 
OR10R2 Reactivité: Humain WB, ELISA, IF Hôte: Lapin Polyclonal unconjugated
N° du produit ABIN7185271
218,90 €
Plus frais de livraison 40,00 € et TVA
100 μg (Autres quantités disponibles)
Destination: France
Envoi sous 11 à 15 jours ouvrables
 
OR10R2 Reactivité: Humain, Singe IHC, IHC (p) Hôte: Lapin Polyclonal unconjugated
N° du produit ABIN1049174
534,81 €
Plus frais de livraison 40,00 € et TVA
50 μg
Destination: France
Envoi sous 15 à 20 jours ouvrables
 
OR10R2 Reactivité: Humain WB, ELISA, IF, ICC Hôte: Lapin Polyclonal unconjugated
N° du produit ABIN6258880
525,71 €
Plus frais de livraison 40,00 € et TVA
100 μL (Autres quantités disponibles)
Destination: France
Envoi sous 9 à 11 jours ouvrables
 
OR10R2 Reactivité: Humain WB, ELISA, IF Hôte: Lapin Polyclonal unconjugated
N° du produit ABIN3186018
377,51 €
Plus frais de livraison 40,00 € et TVA
100 μL (Autres quantités disponibles)
Destination: France
Envoi sous 8 à 10 jours ouvrables
 
OR10R2 Reactivité: Humain WB, ELISA, IF Hôte: Lapin Polyclonal unconjugated
N° du produit ABIN7216192
623,62 €
Plus frais de livraison 40,00 € et TVA
100 μL (Autres quantités disponibles)
Destination: France
Envoi sous 10 à 14 jours ouvrables
 
OR10R2 Reactivité: Humain WB Hôte: Lapin Polyclonal unconjugated
N° du produit ABIN6752855
789,41 €
Plus frais de livraison 40,00 € et TVA
100 μL
Destination: France
Envoi sous 15 à 20 jours ouvrables
 
OR10R2 Reactivité: Humain WB, ELISA Hôte: Lapin Polyclonal unconjugated
N° du produit ABIN2884998
741,67 €
Plus frais de livraison 40,00 € et TVA
100 μL (Autres quantités disponibles)
Destination: France
Envoi sous 15 à 20 jours ouvrables
 
OR10R2 Reactivité: Humain WB, ELISA Hôte: Lapin Polyclonal unconjugated
N° du produit ABIN1536029
402,00 €
Plus frais de livraison 40,00 € et TVA
100 μL (Autres quantités disponibles)
Destination: France
Envoi sous 6 à 9 jours ouvrables
 
OR10R2 Reactivité: Humain, Boeuf (Vache), Lapin, Chien, Cobaye, Cheval, Souris, Rat WB Hôte: Lapin Polyclonal unconjugated
N° du produit ABIN2791821
534,11 €
Plus frais de livraison 40,00 € et TVA
100 μL (Autres quantités disponibles)
Destination: France
Envoi sous 6 à 9 jours ouvrables
 
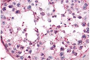
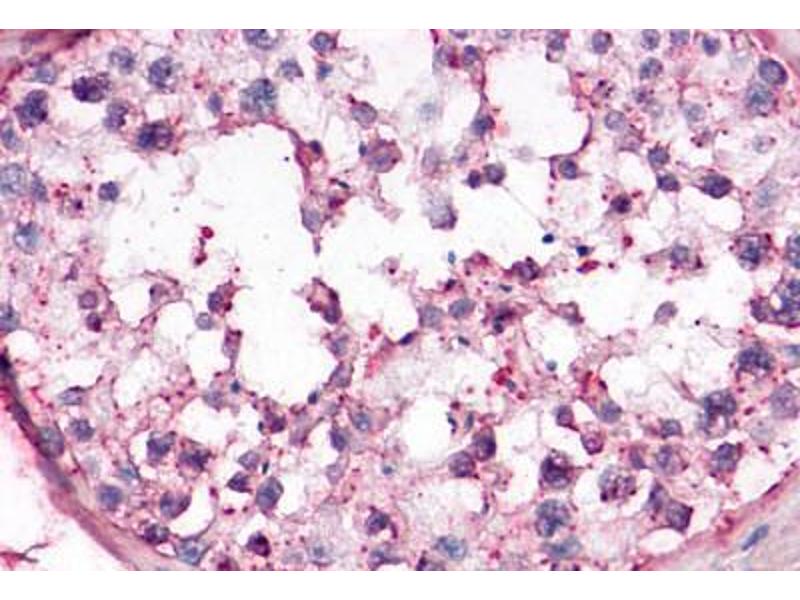
OR10R2 Reactivité: Humain IHC Hôte: Lapin Polyclonal unconjugated
N° du produit ABIN2319796
998,04 €
Plus frais de livraison 40,00 € et TVA
50 μg
Destination: France
Envoi sous 15 à 22 jours ouvrables
 
  • Type Primary
    • Primary
  • Application
    • Western Blotting (WB)
    • ELISA
    • Immunofluorescence (IF)
    • Immunohistochemistry (IHC)
    • Immunohistochemistry (Paraffin-embedded Sections) (IHC (p))
    • Immunocytochemistry (ICC)
  • Réactivité
    • Human
    • Cow
    • Monkey
    • Rabbit
    • Dog
    • Guinea Pig
    • Horse
    • Mouse
    • Rat
  • Images disponible
  • Hote
    • Rabbit
  • Clonalité
    • Polyclonal
  • Epitope
    • C-Term
    • 2nd Extracellular Domain
    • AA 229-278
    • AA 260-340
    • AA 271-320
    • AA 286-335
    • Extracellular Domain
  • Conjugué
    • Inconjugué
  • Isotype
    • IgG
  • Format
    • Liquid
    • Lyophilized
  • Supplier
    • antibodies-online
    • Assay Biotechnology Company, Inc.
    • Aviva Systems Biology
    • USBio

Pseudonymes pour OR10R2 Anticorps

olfactory receptor family 10 subfamily R member 2 (OR10R2) Anticorps
olfactory receptor, family 10, subfamily R, member 2 (OR10R2) Anticorps
cOR10AH1P olfactory receptor family 10 subfamily AH-like (cOR10AH1P) Anticorps
OR1-8 Anticorps
OR10R2Q Anticorps
Vous êtes ici:
Chat with us!