Tel:
+49 (0)241 95 163 153
Fax:
+49 (0)241 95 163 155
E-Mail:
orders@anticorps-enligne.fr

OR13C9 Anticorps

(Olfactory Receptor, Family 13, Subfamily C, Member 9 (OR13C9))

Choisissez l’un des 9 anticorps OR13C9 de notre liste de produits basés sur 13 images de validation.

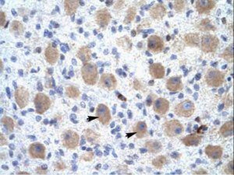
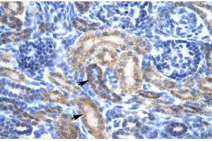
Découvrez des anticorps OR13C9 fiables issus d’une large sélection de fabricants renommés. Notre portefeuille permet une détection précise de OR13C9 dans plusieurs espèces, y compris Human, Dog, Rat, Horse, Monkey, Pig, Cow, Mouse, et prend en charge diverses applications de recherche telles que WB, IHC, ELISA, IHC (p).

Trouvez rapidement l’anticorps adapté grâce à nos outils de recherche, de filtrage et de comparaison. Chaque page produit fournit des données de validation détaillées, des références bibliographiques et des retours d’utilisateurs. Contrairement aux ressources dédiées uniquement à la comparaison, vous pouvez acheter directement les anticorps sur notre site. Choisissez parmi des anticorps polyclonaux, monoclonaux ou recombinants OR13C9, issus de différents hôtes tels que Rabbit. Parcourez nos produits ci-dessous et commandez directement pour soutenir vos recherches en toute confiance.

Les noms alternatifs de OR13C9 sont OR13C9.

9 Résultats

OR13C9 Reactivité: Humain WB, IHC Hôte: Lapin Polyclonal unconjugated
N° du produit ABIN925773
1.075,31 €
Plus frais de livraison 40,00 € et TVA
100 μg
Destination: France
Envoi sous 20 à 27 jours ouvrables
 
OR13C9 Reactivité: Humain, Singe WB, IHC, IHC (p) Hôte: Lapin Polyclonal unconjugated
N° du produit ABIN202231
741,67 €
Plus frais de livraison 40,00 € et TVA
100 μL
Destination: France
Envoi sous 15 à 20 jours ouvrables
 
OR13C9 Reactivité: Humain, Chien, Rat, Cheval, Porc, Boeuf (Vache) WB, IHC Hôte: Lapin Polyclonal unconjugated
N° du produit ABIN2777483
534,11 €
Plus frais de livraison 40,00 € et TVA
100 μL (Autres quantités disponibles)
Destination: France
Envoi sous 6 à 9 jours ouvrables
 
OR13C9 Reactivité: Humain WB Hôte: Lapin Polyclonal RB48700 unconjugated
N° du produit ABIN6243931
434,77 €
Plus frais de livraison 40,00 € et TVA
400 μL (Autres quantités disponibles)
Destination: France
Envoi sous 14 à 17 jours ouvrables
 
OR13C9 Reactivité: Humain, Chien, Rat, Cheval, Porc, Singe, Souris WB Hôte: Lapin Polyclonal unconjugated
N° du produit ABIN6740287
789,41 €
Plus frais de livraison 40,00 € et TVA
100 μL
Destination: France
Envoi sous 15 à 20 jours ouvrables
 
OR13C9 Reactivité: Humain, Chien, Rat WB Hôte: Lapin Polyclonal unconjugated
N° du produit ABIN927341
1.218,13 €
Plus frais de livraison 40,00 € et TVA
100 μL
Destination: France
Envoi sous 20 à 27 jours ouvrables
 
OR13C9 Reactivité: Humain WB Hôte: Lapin Polyclonal unconjugated
N° du produit ABIN2581912
734,86 €
Plus frais de livraison 40,00 € et TVA
400 μL
Destination: France
Envoi sous 15 à 20 jours ouvrables
 
OR13C9 Reactivité: Humain WB, ELISA Hôte: Lapin Polyclonal unconjugated
N° du produit ABIN2460312
763,13 €
Plus frais de livraison 40,00 € et TVA
100 μL
Destination: France
Envoi sous 6 à 9 jours ouvrables
 
OR13C9 Reactivité: Humain WB Hôte: Lapin Polyclonal unconjugated
N° du produit ABIN7842232
480,77 €
Plus frais de livraison 40,00 € et TVA
200 μL
Destination: France
Envoi sous 8 à 10 jours ouvrables
 
  • Type Primary
    • Primary
  • Application
    • Western Blotting (WB)
    • Immunohistochemistry (IHC)
    • ELISA
    • Immunohistochemistry (Paraffin-embedded Sections) (IHC (p))
  • Réactivité
    • Human
    • Dog
    • Rat
    • Horse
    • Monkey
    • Pig
    • Cow
    • Mouse
  • Images disponible
  • Hote
    • Rabbit
  • Clonalité
    • Polyclonal
  • Clone
    • RB48700
  • Epitope
    • Middle Region
    • AA 13-44
    • N-Term
    • AA 72-121
    • C-Term
  • Conjugué
    • Inconjugué
  • Isotype
    • IgG
    • Ig Fraction
  • Format
    • Lyophilized
    • Liquid
  • Supplier
    • antibodies-online
    • Aviva Systems Biology
    • Cohesion Biosciences
    • ProSci

Pseudonymes pour OR13C9 Anticorps

olfactory receptor family 13 subfamily C member 9 (OR13C9) Anticorps
OR9-13 Anticorps
OR37L Anticorps
Vous êtes ici:
Chat with us!