Tel:
+49 (0)241 95 163 153
Fax:
+49 (0)241 95 163 155
E-Mail:
orders@anticorps-enligne.fr

PACSIN3 Anticorps

(Protein Kinase C and Casein Kinase Substrate in Neurons 3 (PACSIN3))

Choisissez l’un des 65 anticorps PACSIN3 de notre liste de produits basés sur 36 images de validation.

Découvrez des anticorps PACSIN3 fiables issus d’une large sélection de fabricants renommés. Notre portefeuille permet une détection précise de PACSIN3 dans plusieurs espèces, y compris Human, Mouse, Rat, Dog, Monkey, Cow, Horse, Pig, Rabbit, Guinea Pig, Bat, Hamster, et prend en charge diverses applications de recherche telles que WB, IHC, ELISA, IF (cc), IF (p).

Trouvez rapidement l’anticorps adapté grâce à nos outils de recherche, de filtrage et de comparaison. Chaque page produit fournit des données de validation détaillées, des références bibliographiques et des retours d’utilisateurs. Contrairement aux ressources dédiées uniquement à la comparaison, vous pouvez acheter directement les anticorps sur notre site. Choisissez parmi des anticorps polyclonaux, monoclonaux ou recombinants PACSIN3, issus de différents hôtes tels que Rabbit, Mouse, Goat. Parcourez nos produits ci-dessous et commandez directement pour soutenir vos recherches en toute confiance.

Les noms alternatifs de PACSIN3 sont pacsin3, PACSIN3, pacsin3.L, Pacsin3.

65 Résultats

PACSIN3 Reactivité: Humain WB, ELISA, IHC, IF Hôte: Lapin Polyclonal unconjugated
N° du produit ABIN7165690
328,90 €
Plus frais de livraison 40,00 € et TVA
100 μg (Autres quantités disponibles)
Destination: France
Envoi sous 11 à 15 jours ouvrables
 
PACSIN3 Reactivité: Humain, Rat, Chien, Singe WB, FACS Hôte: Souris Monoclonal 2A3 unconjugated
N° du produit ABIN1500011
806,47 €
Plus frais de livraison 40,00 € et TVA
100 μL
Destination: France
Envoi sous 15 à 20 jours ouvrables
 
PACSIN3 Reactivité: Humain, Chien, Singe WB, FACS Hôte: Souris Monoclonal 4A7 unconjugated
N° du produit ABIN1500013
806,47 €
Plus frais de livraison 40,00 € et TVA
100 μL
Destination: France
Envoi sous 15 à 20 jours ouvrables
 
PACSIN3 Reactivité: Humain, Rat, Chien, Singe WB, FACS Hôte: Souris Monoclonal 2A6 unconjugated
N° du produit ABIN1500012
806,47 €
Plus frais de livraison 40,00 € et TVA
100 μL
Destination: France
Envoi sous 15 à 20 jours ouvrables
 
PACSIN3 Reactivité: Humain, Rat, Chien, Singe WB, FACS Hôte: Souris Monoclonal 2D7 unconjugated
N° du produit ABIN1500014
806,47 €
Plus frais de livraison 40,00 € et TVA
100 μL
Destination: France
Envoi sous 15 à 20 jours ouvrables
 
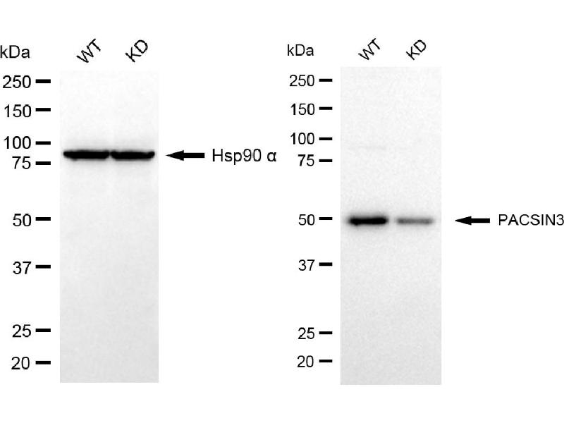
KD Validated PACSIN3 Reactivité: Humain WB, FACS Hôte: Souris Monoclonal 25GB500 unconjugated
N° du produit ABIN7799981
598,92 €
Plus frais de livraison 40,00 € et TVA
100 μL
Destination: France
Envoi sous 7 à 10 jours ouvrables
 
KD Validated PACSIN3 Reactivité: Humain WB, FACS Hôte: Souris Monoclonal 25GB505 unconjugated
N° du produit ABIN7799982
598,92 €
Plus frais de livraison 40,00 € et TVA
100 μL
Destination: France
Envoi sous 7 à 10 jours ouvrables
 
PACSIN3 Reactivité: Humain, Souris WB, IHC (p) Hôte: Lapin Polyclonal RB3577 unconjugated
N° du produit ABIN392668
434,77 €
Plus frais de livraison 40,00 € et TVA
400 μL (Autres quantités disponibles)
Destination: France
Envoi sous 14 à 17 jours ouvrables
 
Verified PACSIN3 Reactivité: Humain WB, ELISA Hôte: Chèvre Polyclonal unconjugated
N° du produit ABIN184666
488,25 €
Plus frais de livraison 40,00 € et TVA
100 μg
Destination: France
Envoi sous 5 à 8 jours ouvrables
 
PACSIN3 Reactivité: Humain WB, FACS Hôte: Lapin Monoclonal 24GB13750 unconjugated Recombinant Antibody
N° du produit ABIN7799983
394,31 €
Plus frais de livraison 40,00 € et TVA
100 μL
Destination: France
Envoi sous 7 à 10 jours ouvrables
 
PACSIN3 Reactivité: Humain, Souris, Rat WB Hôte: Lapin Polyclonal unconjugated
N° du produit ABIN7264672
580,00 €
Plus frais de livraison 40,00 € et TVA
200 μL (Autres quantités disponibles)
Destination: France
Envoi sous 9 à 13 jours ouvrables
 
PACSIN3 Reactivité: Humain WB, ELISA, IF (cc), IF (p), IHC (p), IHC (fro), ICC Hôte: Lapin Polyclonal unconjugated
N° du produit ABIN2178169
357,70 €
Plus frais de livraison 40,00 € et TVA
100 μL
Destination: France
Envoi sous 8 à 12 jours ouvrables
 
PACSIN3 Reactivité: Humain WB Hôte: Lapin Polyclonal unconjugated
N° du produit ABIN6145159
320,00 €
Plus frais de livraison 40,00 € et TVA
100 μL (Autres quantités disponibles)
Destination: France
Envoi sous 8 à 10 jours ouvrables
 
PACSIN3 Reactivité: Humain, Souris WB, IHC (p), EIA Hôte: Lapin Polyclonal unconjugated
N° du produit ABIN360557
870,77 €
Plus frais de livraison 40,00 € et TVA
0.4 mL
Destination: France
Envoi sous 17 jours ouvrables
 
PACSIN3 Reactivité: Humain WB, IF (cc), IF (p) Hôte: Lapin Polyclonal AbBy Fluor® 750
N° du produit ABIN5008254
426,37 €
Plus frais de livraison 40,00 € et TVA
100 μL
Destination: France
Envoi sous 20 à 25 jours ouvrables
 
PACSIN3 Reactivité: Humain WB, IF (cc), IF (p) Hôte: Lapin Polyclonal AbBy Fluor® 680
N° du produit ABIN5008253
426,37 €
Plus frais de livraison 40,00 € et TVA
100 μL
Destination: France
Envoi sous 20 à 25 jours ouvrables
 
PACSIN3 Reactivité: Humain WB, IF (cc), IF (p) Hôte: Lapin Polyclonal AbBy Fluor® 488
N° du produit ABIN2178171
426,37 €
Plus frais de livraison 40,00 € et TVA
100 μL
Destination: France
Envoi sous 20 à 25 jours ouvrables
 
PACSIN3 Reactivité: Humain WB, IF (cc), IF (p) Hôte: Lapin Polyclonal AbBy Fluor® 350
N° du produit ABIN2178170
426,37 €
Plus frais de livraison 40,00 € et TVA
100 μL
Destination: France
Envoi sous 20 à 25 jours ouvrables
 
PACSIN3 Reactivité: Humain WB, IF (cc), IF (p) Hôte: Lapin Polyclonal Cy5.5
N° du produit ABIN2178177
437,53 €
Plus frais de livraison 40,00 € et TVA
100 μL
Destination: France
Envoi sous 20 à 25 jours ouvrables
 
PACSIN3 Reactivité: Humain WB, IF (cc), IF (p) Hôte: Lapin Polyclonal Cy5
N° du produit ABIN2178176
437,53 €
Plus frais de livraison 40,00 € et TVA
100 μL
Destination: France
Envoi sous 20 à 25 jours ouvrables
 
  • Type Primary
    • Primary
  • Application
    • Western Blotting (WB)
    • Immunohistochemistry (IHC)
    • ELISA
    • Immunofluorescence (Cultured Cells) (IF (cc))
    • Immunofluorescence (Paraffin-embedded Sections) (IF (p))
    • Flow Cytometry (FACS)
    • Immunofluorescence (IF)
    • Immunohistochemistry (Paraffin-embedded Sections) (IHC (p))
    • Immunoprecipitation (IP)
    • Immunohistochemistry (Frozen Sections) (IHC (fro))
    • Immunocytochemistry (ICC)
    • Enzyme Immunoassay (EIA)
  • Réactivité
    • Human
    • Mouse
    • Rat
    • Dog
    • Monkey
    • Cow
    • Horse
    • Pig
    • Rabbit
    • Guinea Pig
    • Bat
    • Hamster
  • Images disponible
  • Sans conservateur uniquement
  • Carrier free only
  • Hote
    • Rabbit
    • Mouse
    • Goat
  • Clonalité
    • Polyclonal
    • Monoclonal
  • Clone
    • S04-1F1
    • 2A6
    • 4A7
    • 2 E4
    • 24GB13750
    • 25GB500
    • 25GB505
    • 2A3
    • 2D7
    • PT0794R
    • RB3577
  • Epitope
    • AA 251-350
    • AA 1-30
    • AA 1-300
    • N-Term
    • AA 275-325
    • AA 161-175
    • AA 175-424
    • AA 289-338
    • AA 30-110
    • AA 325-375
    • C-Term
    • Internal Region
    • Intracellular
  • Conjugué
    • Inconjugué
    • Biotin
    • FITC
    • HRP
    • APC
    • AbBy Fluor® 350
    • AbBy Fluor® 488
    • AbBy Fluor® 555
    • AbBy Fluor® 594
    • AbBy Fluor® 647
    • AbBy Fluor® 680
    • AbBy Fluor® 750
    • Alexa Fluor 350
    • Alexa Fluor 405
    • Alexa Fluor 488
    • Alexa Fluor 555
    • Alexa Fluor 594
    • Alexa Fluor 647
    • Alexa Fluor 680
    • Alexa Fluor 750
    • Cy3
    • Cy5
    • Cy5.5
    • Cy7
    • PE
  • Isotype
    • IgG
    • IgG1
    • IgG2a
    • IgG2b
    • Ig Fraction
    • kappa
  • Type Proteine
    • Recombinant Antibody
  • Format
    • Liquid
    • Lyophilized
  • Grade
    • KD Validated
    • Verified
  • Supplier
    • antibodies-online
    • Signalway
    • Abbexa
    • Acris
    • Alomone Labs
    • Aviva Systems Biology
    • Biomatik
    • Cohesion Biosciences
    • USBio

Dernières publications pour nos PACSIN3 Anticorps

Cuajungco, Grimm, Oshima, Dhoedt, Nilius, Mensenkamp, Bindels, Plomann, Heller: "PACSINs bind to the TRPV4 cation channel. PACSIN 3 modulates the subcellular localization of TRPV4." dans: The Journal of biological chemistry, Vol. 281, Issue 27, pp. 18753-62, (2006) (PubMed).

Sumoy, Pluvinet, Andreu, Estivill, Escarceller: "PACSIN 3 is a novel SH3 domain cytoplasmic adapter protein of the pacsin-syndapin-FAP52 gene family." dans: Gene, Vol. 262, Issue 1-2, pp. 199-205, (2001) (PubMed).

Modregger, Ritter, Witter, Paulsson, Plomann: "All three PACSIN isoforms bind to endocytic proteins and inhibit endocytosis." dans: Journal of cell science, Vol. 113 Pt 24, pp. 4511-21, (2001) (PubMed).

Pseudonymes pour PACSIN3 Anticorps

protein kinase C and casein kinase substrate in neurons 3 (pacsin3) Anticorps
protein kinase C and casein kinase substrate in neurons 3 (PACSIN3) Anticorps
protein kinase C and casein kinase substrate in neurons 3 L homeolog (pacsin3.L) Anticorps
protein kinase C and casein kinase substrate in neurons 3 (Pacsin3) Anticorps
4921507A02Rik Anticorps
6330413E15Rik Anticorps
AW413130 Anticorps
MGC82145 Anticorps
Pacsin1 Anticorps
PACSIN3 Anticorps
sdpiii Anticorps
SDPIII Anticorps
SdpIII Anticorps
wu:fa11d03 Anticorps
wu:fj67e09 Anticorps
wu:fq16a06 Anticorps
zgc:56324 Anticorps
Vous êtes ici:
Chat with us!