Tel:
+49 (0)241 95 163 153
Fax:
+49 (0)241 95 163 155
E-Mail:
orders@anticorps-enligne.fr

PEA15 Anticorps

(phosphoprotein Enriched in Astrocytes 15 (PEA15))

Choisissez l’un des 73 anticorps PEA15 de notre liste de produits basés sur 3 publications et 40 images de validation.

Découvrez des anticorps PEA15 fiables issus d’une large sélection de fabricants renommés. Notre portefeuille permet une détection précise de PEA15 dans plusieurs espèces, y compris Human, Mouse, Rat, Monkey, Cow, Dog, Guinea Pig, Horse, Rabbit, Zebrafish (Danio rerio), Bat, Hamster, Pig, Xenopus laevis, et prend en charge diverses applications de recherche telles que WB, ELISA, IHC, IF (cc), IF (p).

Trouvez rapidement l’anticorps adapté grâce à nos outils de recherche, de filtrage et de comparaison. Chaque page produit fournit des données de validation détaillées, des références bibliographiques et des retours d’utilisateurs. Contrairement aux ressources dédiées uniquement à la comparaison, vous pouvez acheter directement les anticorps sur notre site. Choisissez parmi des anticorps polyclonaux, monoclonaux ou recombinants PEA15, issus de différents hôtes tels que Rabbit, Sheep. Parcourez nos produits ci-dessous et commandez directement pour soutenir vos recherches en toute confiance.

Les noms alternatifs de PEA15 sont PEA15, Pea15, pea15.L, pea15.

73 Résultats

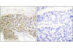
PEA15 Reactivité: Humain, Souris, Rat IHC Hôte: Lapin Polyclonal unconjugated
N° du produit ABIN7265284
590,00 €
Plus frais de livraison 40,00 € et TVA
200 μL (Autres quantités disponibles)
Destination: France
Envoi sous 9 à 13 jours ouvrables
 
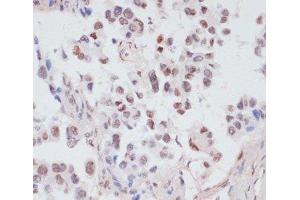
PEA15 Reactivité: Humain, Souris WB, IHC (p), FACS Hôte: Lapin Polyclonal RB21195 unconjugated
Pubmed 1 reference
N° du produit ABIN652463
434,77 €
Plus frais de livraison 40,00 € et TVA
400 μL (Autres quantités disponibles)
Destination: France
Envoi sous 14 à 17 jours ouvrables
 
PEA15 Reactivité: Humain WB, ELISA, IHC, IF Hôte: Lapin Polyclonal unconjugated
N° du produit ABIN7144769
328,90 €
Plus frais de livraison 40,00 € et TVA
100 μL (Autres quantités disponibles)
Destination: France
Envoi sous 11 à 15 jours ouvrables
 
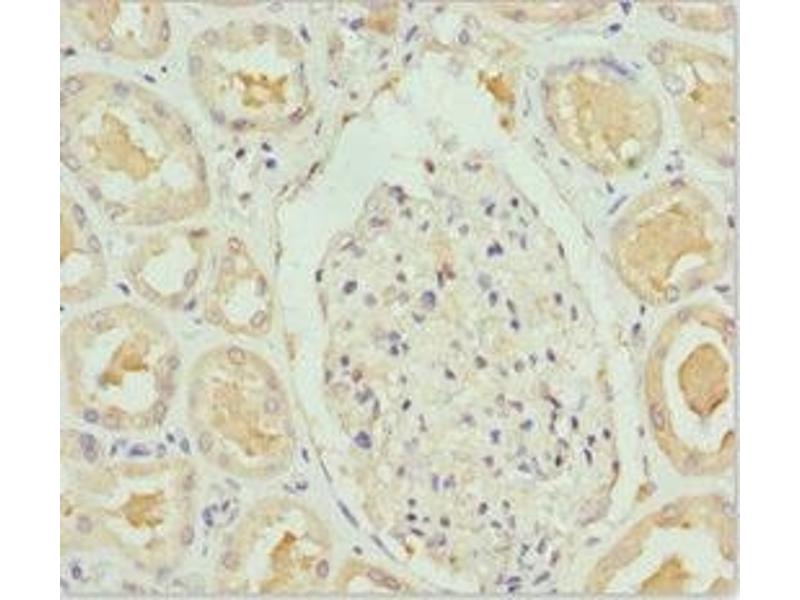
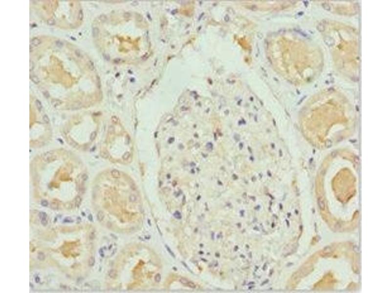
PEA15 Reactivité: Humain, Souris, Rat, Singe, Boeuf (Vache), Chien, Cobaye, Cheval, Lapin, Poisson zèbre (Danio rerio), Roussette (Chauve-souris), Hamster, Porc, Xenopus laevis WB, IHC, IHC (p) Hôte: Lapin Polyclonal unconjugated
N° du produit ABIN6754908
512,07 €
Plus frais de livraison 40,00 € et TVA
100 μL
Destination: France
Envoi sous 15 à 20 jours ouvrables
 
PEA15 Reactivité: Humain, Souris WB, IHC, FACS Hôte: Lapin Polyclonal unconjugated
N° du produit ABIN3003786
845,72 €
Plus frais de livraison 40,00 € et TVA
400 μL (Autres quantités disponibles)
Destination: France
Envoi sous 7 à 13 jours ouvrables
 
PEA15 Reactivité: Humain, Souris, Rat WB, ELISA, IHC, IF Hôte: Lapin Polyclonal unconjugated
N° du produit ABIN1532389
402,00 €
Plus frais de livraison 40,00 € et TVA
100 μL (Autres quantités disponibles)
Destination: France
Envoi sous 6 à 9 jours ouvrables
 
PEA15 Reactivité: Humain, Souris, Rat, Boeuf (Vache), Chien, Cobaye, Cheval, Lapin, Poisson zèbre (Danio rerio) WB, IHC Hôte: Lapin Polyclonal unconjugated
N° du produit ABIN2783293
534,11 €
Plus frais de livraison 40,00 € et TVA
100 μL (Autres quantités disponibles)
Destination: France
Envoi sous 6 à 9 jours ouvrables
 
PEA15 Reactivité: Humain, Souris, Rat, Boeuf (Vache), Chien, Cobaye, Cheval, Lapin, Poisson zèbre (Danio rerio) WB, IHC Hôte: Lapin Polyclonal unconjugated
N° du produit ABIN2787878
534,11 €
Plus frais de livraison 40,00 € et TVA
100 μL (Autres quantités disponibles)
Destination: France
Envoi sous 6 à 9 jours ouvrables
 
PEA15 Reactivité: Humain, Souris, Rat, Singe WB, ELISA, IHC Hôte: Lapin Polyclonal unconjugated
N° du produit ABIN3182555
377,51 €
Plus frais de livraison 40,00 € et TVA
100 μL (Autres quantités disponibles)
Destination: France
Envoi sous 8 à 10 jours ouvrables
 
PEA15 Reactivité: Rat ELISA, IHC (p), IF (cc), IF (p), IHC (fro) Hôte: Lapin Polyclonal unconjugated
Pubmed 1 reference
N° du produit ABIN744698
357,70 €
Plus frais de livraison 40,00 € et TVA
100 μL
Destination: France
Envoi sous 8 à 12 jours ouvrables
 
PEA15 Reactivité: Humain ELISA, IHC (p), IF (cc), IF (p), IHC (fro) Hôte: Lapin Polyclonal unconjugated
Pubmed 1 reference
N° du produit ABIN744683
357,70 €
Plus frais de livraison 40,00 € et TVA
100 μL
Destination: France
Envoi sous 8 à 12 jours ouvrables
 
PEA15 Reactivité: Humain WB, ELISA, IHC Hôte: Lapin Polyclonal unconjugated
N° du produit ABIN7182396
218,90 €
Plus frais de livraison 40,00 € et TVA
100 μg (Autres quantités disponibles)
Destination: France
Envoi sous 11 à 15 jours ouvrables
 
PEA15 Reactivité: Humain, Souris ELISA, IHC Hôte: Lapin Polyclonal unconjugated
N° du produit ABIN791027
629,14 €
Plus frais de livraison 40,00 € et TVA
100 μL
Destination: France
Envoi sous 15 à 20 jours ouvrables
 
PEA15 Reactivité: Humain, Souris, Rat, Singe, Boeuf (Vache), Chien, Cobaye, Cheval, Lapin, Roussette (Chauve-souris), Hamster, Porc, Xenopus laevis WB Hôte: Lapin Polyclonal unconjugated
N° du produit ABIN6738433
789,41 €
Plus frais de livraison 40,00 € et TVA
100 μL
Destination: France
Envoi sous 15 à 20 jours ouvrables
 
PEA15 Reactivité: Humain, Souris, Rat WB, ELISA, IHC Hôte: Lapin Polyclonal unconjugated
N° du produit ABIN1531370
402,00 €
Plus frais de livraison 40,00 € et TVA
100 μL (Autres quantités disponibles)
Destination: France
Envoi sous 6 à 9 jours ouvrables
 
PEA15 Reactivité: Humain, Souris, Rat WB, ELISA, IHC Hôte: Lapin Polyclonal unconjugated
N° du produit ABIN1531459
402,00 €
Plus frais de livraison 40,00 € et TVA
100 μL (Autres quantités disponibles)
Destination: France
Envoi sous 6 à 9 jours ouvrables
 
PEA15 Reactivité: Humain, Souris, Rat WB, IF Hôte: Lapin Polyclonal unconjugated
N° du produit ABIN7303470
330,77 €
Plus frais de livraison 40,00 € et TVA
100 μL (Autres quantités disponibles)
Destination: France
Envoi sous 17 à 20 jours ouvrables
 
PEA15 Reactivité: Humain, Souris, Rat, Singe WB, IHC Hôte: Lapin Polyclonal unconjugated
N° du produit ABIN7303960
376,92 €
Plus frais de livraison 40,00 € et TVA
100 μL (Autres quantités disponibles)
Destination: France
Envoi sous 17 à 20 jours ouvrables
 
PEA15 Reactivité: Humain IF (cc), IF (p) Hôte: Lapin Polyclonal AbBy Fluor® 680
N° du produit ABIN5008643
426,37 €
Plus frais de livraison 40,00 € et TVA
100 μL
Destination: France
Envoi sous 20 à 25 jours ouvrables
 
PEA15 Reactivité: Humain IF (cc), IF (p) Hôte: Lapin Polyclonal AbBy Fluor® 750
N° du produit ABIN5008644
426,37 €
Plus frais de livraison 40,00 € et TVA
100 μL
Destination: France
Envoi sous 20 à 25 jours ouvrables
 
  • Type Primary
    • Primary
  • Application
    • Western Blotting (WB)
    • ELISA
    • Immunohistochemistry (IHC)
    • Immunofluorescence (Cultured Cells) (IF (cc))
    • Immunofluorescence (Paraffin-embedded Sections) (IF (p))
    • Immunohistochemistry (Paraffin-embedded Sections) (IHC (p))
    • Immunofluorescence (IF)
    • Immunohistochemistry (Frozen Sections) (IHC (fro))
    • Flow Cytometry (FACS)
    • Immunoprecipitation (IP)
    • Immunofluorescence (fixed cells) (IF/ICC)
    • Enzyme Immunoassay (EIA)
  • Réactivité
    • Human
    • Mouse
    • Rat
    • Monkey
    • Cow
    • Dog
    • Guinea Pig
    • Horse
    • Rabbit
    • Zebrafish (Danio rerio)
    • Bat
    • Hamster
    • Pig
    • Xenopus laevis
  • Cité dans publications
  • Images disponible
  • Sans conservateur uniquement
  • Carrier free only
  • Hote
    • Rabbit
    • Sheep
  • Clonalité
    • Polyclonal
  • Clone
    • RB21195
  • Epitope
    • AA 51-130
    • pSer104
    • pSer116
    • AA 86-115
    • C-Term
    • AA 1-130
    • AA 2-130
    • AA 81-130
    • Ser116
    • AA 70-119
    • AA 74-123
    • Asp110
    • Center
    • Middle Region
    • Ser104
    • Tyr393
    • Tyr439
    • phosphorylated
  • Conjugué
    • Inconjugué
    • Biotin
    • Alexa Fluor 488
    • Alexa Fluor 555
    • Alexa Fluor 594
    • Alexa Fluor 647
    • Alexa Fluor 680
    • Alexa Fluor 750
    • FITC
    • HRP
    • APC
    • AbBy Fluor® 350
    • AbBy Fluor® 488
    • AbBy Fluor® 555
    • AbBy Fluor® 594
    • AbBy Fluor® 647
    • AbBy Fluor® 680
    • AbBy Fluor® 750
    • Cy3
    • Cy5
    • Cy5.5
    • Cy7
    • PE
  • Isotype
    • IgG
    • Ig Fraction
  • Format
    • Liquid
    • Lyophilized
  • Supplier
    • antibodies-online
    • Signalway
    • Abbexa
    • Assay Biotechnology Company, Inc.
    • Cohesion Biosciences
    • USBio
    • Aviva Systems Biology
    • Acris
    • Angio-Proteomie

Dernières publications pour nos PEA15 Anticorps

Kim, Kang: "PKC, AKT and ERK1/2-Mediated Modulations of PARP1, NF-κB and PEA15 Activities Distinctly Regulate Regional Specific Astroglial Responses Following Status Epilepticus." dans: Frontiers in molecular neuroscience, Vol. 12, pp. 180, (2019) (PubMed).

Lv, Ma, Zhang, Zheng, Ma, Zhao, Lai, Shen, Wang, Ji: "Quantitative proteomics reveals that PEA15 regulates astroglial A? phagocytosis in an Alzheimer's disease mouse model." dans: Journal of proteomics, Vol. 110C, pp. 45-58, (2014) (PubMed).

Pseudonymes pour PEA15 Anticorps

proliferation and apoptosis adaptor protein 15 (PEA15) Anticorps
proliferation and apoptosis adaptor protein 15 (Pea15) Anticorps
phosphoprotein enriched in astrocytes 15 (PEA15) Anticorps
proliferation and apoptosis adaptor protein 15 L homeolog (pea15.L) Anticorps
proliferation and apoptosis adaptor protein 15 (pea15) Anticorps
Astrocytic phosphoprotein PEA-15 (pea15) Anticorps
phosphoprotein enriched in astrocytes 15 (pea15) Anticorps
DKFZp459O1410 Anticorps
HMAT1 Anticorps
HUMMAT1H Anticorps
MAT1 Anticorps
MAT1H Anticorps
PEA-15 Anticorps
PEA15 Anticorps
Pea15a Anticorps
PED Anticorps
Vous êtes ici:
Chat with us!