Tel:
+49 (0)241 95 163 153
Fax:
+49 (0)241 95 163 155
E-Mail:
orders@anticorps-enligne.fr

Purine Nucleoside Phosphorylase Anticorps

(Purine Nucleoside Phosphorylase (PNP))

Choisissez l’un des 40 anticorps PNP de notre liste de produits basés sur 37 images de validation.

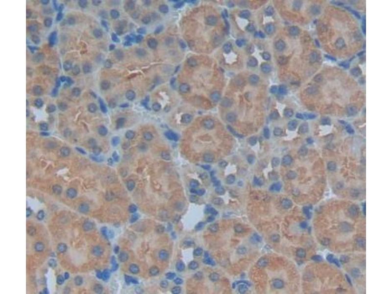
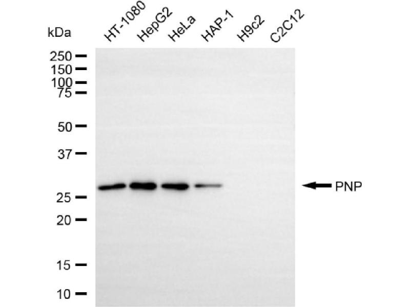
Découvrez des anticorps PNP fiables issus d’une large sélection de fabricants renommés. Notre portefeuille permet une détection précise de PNP dans plusieurs espèces, y compris Human, Rat, Mouse, Cow, Chicken, Dog, Measles Virus, Micrococcus luteus, Monkey, Pig, Rabbit, Zebrafish (Danio rerio), et prend en charge diverses applications de recherche telles que WB, ELISA, IHC, ICC, FACS.

Trouvez rapidement l’anticorps adapté grâce à nos outils de recherche, de filtrage et de comparaison. Chaque page produit fournit des données de validation détaillées, des références bibliographiques et des retours d’utilisateurs. Contrairement aux ressources dédiées uniquement à la comparaison, vous pouvez acheter directement les anticorps sur notre site. Choisissez parmi des anticorps polyclonaux, monoclonaux ou recombinants PNP, issus de différents hôtes tels que Rabbit, Mouse, Goat. Parcourez nos produits ci-dessous et commandez directement pour soutenir vos recherches en toute confiance.

Les noms alternatifs de PNP sont PNP, Pnp.

40 Résultats

PNP Reactivité: Humain, Rat, Souris WB, IHC, FACS Hôte: Lapin Polyclonal unconjugated
N° du produit ABIN4886701
500,50 €
Plus frais de livraison 40,00 € et TVA
100 μg
Destination: France
Envoi sous 8 à 12 jours ouvrables
 
PNP Reactivité: Humain WB, ELISA Hôte: Souris Monoclonal 6E5 unconjugated
N° du produit ABIN948191
651,20 €
Plus frais de livraison 40,00 € et TVA
100 μg
Destination: France
Envoi sous 8 à 9 jours ouvrables
 
PNP Reactivité: Rat WB, IHC, IP, ICC Hôte: Lapin Polyclonal unconjugated
N° du produit ABIN5014042
266,00 €
Plus frais de livraison 40,00 € et TVA
100 μL
Destination: France
Envoi sous 13 à 17 jours ouvrables
 
Verified PNP Reactivité: Humain WB, ELISA, IHC Hôte: Chèvre Polyclonal unconjugated
N° du produit ABIN1590092
488,25 €
Plus frais de livraison 40,00 € et TVA
100 μg
Destination: France
Envoi sous 5 à 8 jours ouvrables
 
PNP Reactivité: Humain WB, ELISA Hôte: Souris Polyclonal unconjugated
N° du produit ABIN562031
508,80 €
Plus frais de livraison 40,00 € et TVA
50 μL
Destination: France
Envoi sous 8 à 9 jours ouvrables
 
PNP Reactivité: Humain WB, ELISA, IHC Hôte: Lapin Polyclonal unconjugated
N° du produit ABIN7166631
328,90 €
Plus frais de livraison 40,00 € et TVA
100 μL (Autres quantités disponibles)
Destination: France
Envoi sous 11 à 15 jours ouvrables
 
PNP Reactivité: Humain WB, ELISA, IHC, IHC (p) Hôte: Souris Monoclonal unconjugated
N° du produit ABIN791487
825,22 €
Plus frais de livraison 40,00 € et TVA
100 μL
Destination: France
Envoi sous 15 à 20 jours ouvrables
 
PNP Reactivité: Humain WB, FACS Hôte: Souris Monoclonal 25GB710 unconjugated
N° du produit ABIN7800066
394,31 €
Plus frais de livraison 40,00 € et TVA
100 μL
Destination: France
Envoi sous 7 à 10 jours ouvrables
 
PNP Reactivité: Humain WB, FACS Hôte: Lapin Monoclonal 25GB1600 unconjugated Recombinant Antibody
N° du produit ABIN7800067
394,31 €
Plus frais de livraison 40,00 € et TVA
100 μL
Destination: France
Envoi sous 7 à 10 jours ouvrables
 
PNP Reactivité: Humain WB Hôte: Lapin Polyclonal RB49601 unconjugated
N° du produit ABIN6242481
434,77 €
Plus frais de livraison 40,00 € et TVA
400 μL (Autres quantités disponibles)
Destination: France
Envoi sous 14 à 17 jours ouvrables
 
PNP Reactivité: Humain WB, ELISA Hôte: Lapin Polyclonal unconjugated
N° du produit ABIN7166630
328,90 €
Plus frais de livraison 40,00 € et TVA
100 μg (Autres quantités disponibles)
Destination: France
Envoi sous 11 à 15 jours ouvrables
 
PNP Reactivité: Humain, Boeuf (Vache), Poulet, Chien, Singe, Porc, Lapin, Poisson zèbre (Danio rerio) WB Hôte: Lapin Polyclonal unconjugated
N° du produit ABIN6743475
789,41 €
Plus frais de livraison 40,00 € et TVA
100 μL
Destination: France
Envoi sous 15 à 20 jours ouvrables
 
PNP Reactivité: Humain WB, IP Hôte: Lapin Polyclonal unconjugated
N° du produit ABIN7450576
576,62 €
Plus frais de livraison 40,00 € et TVA
100 μg (Autres quantités disponibles)
Destination: France
Envoi sous 7 à 10 jours ouvrables
 
PNP Reactivité: Souris WB, IHC, IP, ICC Hôte: Lapin Polyclonal unconjugated
N° du produit ABIN5014043
252,00 €
Plus frais de livraison 40,00 € et TVA
100 μL
Destination: France
Envoi sous 13 à 17 jours ouvrables
 
PNP Reactivité: Humain WB, IHC, IP, ICC Hôte: Lapin Polyclonal unconjugated
N° du produit ABIN5014044
245,00 €
Plus frais de livraison 40,00 € et TVA
100 μL
Destination: France
Envoi sous 13 à 17 jours ouvrables
 
PNP Reactivité: Humain ELISA, ICC, IHC (p), IF (cc), IF (p), IHC (fro) Hôte: Lapin Polyclonal unconjugated
N° du produit ABIN1386565
357,70 €
Plus frais de livraison 40,00 € et TVA
100 μL
Destination: France
Envoi sous 8 à 12 jours ouvrables
 
PNP Reactivité: Humain WB, IHC, ICC, IF Hôte: Lapin Polyclonal unconjugated
N° du produit ABIN7467304
765,00 €
Plus frais de livraison 40,00 € et TVA
100 μL
Destination: France
Envoi sous 7 à 10 jours ouvrables
 
PNP Reactivité: Boeuf (Vache) WB, ELISA, IF Hôte: Lapin Polyclonal Biotin
N° du produit ABIN459085
577,31 €
Plus frais de livraison 40,00 € et TVA
1 mL
Destination: France
Envoi sous 2 à 4 jours ouvrables
 
PNP Reactivité: Boeuf (Vache) WB, ELISA, IF Hôte: Lapin Polyclonal unconjugated
N° du produit ABIN459247
302,40 €
Plus frais de livraison 40,00 € et TVA
10 mg
Destination: France
Envoi sous 2 à 4 jours ouvrables
 
PNP Reactivité: Humain Hôte: Lapin Polyclonal FITC
N° du produit ABIN7166634
328,90 €
Plus frais de livraison 40,00 € et TVA
100 μg (Autres quantités disponibles)
Destination: France
Envoi sous 11 à 15 jours ouvrables
 
  • Type Primary
    • Primary
  • Application
    • Western Blotting (WB)
    • ELISA
    • Immunohistochemistry (IHC)
    • Immunocytochemistry (ICC)
    • Flow Cytometry (FACS)
    • Immunofluorescence (IF)
    • Immunoprecipitation (IP)
    • Enzyme Immunoassay (EIA)
    • Immunohistochemistry (Paraffin-embedded Sections) (IHC (p))
    • Radioimmunoassay (RIA)
    • Immunodiffusion (ID)
    • Immunoelectrophoresis (IEP)
    • Immunofluorescence (Cultured Cells) (IF (cc))
    • Immunofluorescence (Paraffin-embedded Sections) (IF (p))
    • Immunohistochemistry (Frozen Sections) (IHC (fro))
  • Réactivité
    • Human
    • Rat
    • Mouse
    • Cow
    • Chicken
    • Dog
    • Measles Virus
    • Micrococcus luteus
    • Monkey
    • Pig
    • Rabbit
    • Zebrafish (Danio rerio)
  • Images disponible
  • Sans conservateur uniquement
  • Carrier free only
  • Hote
    • Rabbit
    • Mouse
    • Goat
    • Sheep
  • Clonalité
    • Polyclonal
    • Monoclonal
  • Clone
    • 25GB1600
    • 25GB710
    • 2F3
    • 2H10
    • 6E5
    • 7G5
    • RB49601
  • Epitope
    • AA 1-289
    • Middle Region
    • AA 1-286
    • AA 107-156
    • AA 142-153
    • AA 145-178
    • AA 161-189
    • AA 174-283
    • AA 201-280
    • AA 239-289
    • AA 44-273
    • AA 68-289
  • Conjugué
    • Inconjugué
    • Biotin
    • FITC
    • APC
    • HRP
    • PE
    • PerCP
  • Isotype
    • IgG
    • IgG1
    • IgG2b
    • Ig Fraction
    • IgG1 kappa
    • IgG2a
  • Type Proteine
    • Recombinant Antibody
  • Format
    • Liquid
    • Lyophilized
  • Grade
    • Verified
  • Supplier
    • antibodies-online
    • Assaypro
    • Boster Bio
    • Cloud-Clone
    • CUSABIO
    • ProteoGenix

Dernières publications pour nos Purine Nucleoside Phosphorylase Anticorps

Zhao, Zhang, Luo, Wang, Zhou, Zhong, Xie, Jiang, Yang, Tang, Pan, Hall, Luong, Fan, Varghese, Moorhead, Pinzani, Chen, Ruan: "CD36 palmitoylation disrupts free fatty acid metabolism and promotes tissue inflammation in non-alcoholic steatohepatitis." dans: Journal of hepatology, Vol. 69, Issue 3, pp. 705-717, (2018) (PubMed).

Kojima, Chiyomaru, Kawakami, Yoshino, Enokida, Nohata, Fuse, Ichikawa, Naya, Nakagawa, Seki: "Tumour suppressors miR-1 and miR-133a target the oncogenic function of purine nucleoside phosphorylase (PNP) in prostate cancer." dans: British journal of cancer, Vol. 106, Issue 2, pp. 405-13, (2012) (PubMed).

Pseudonymes pour Purine Nucleoside Phosphorylase Anticorps

purine nucleoside phosphorylase (PNP) Anticorps
purine nucleoside phosphorylase (Pnp) Anticorps
purine-nucleoside phosphorylase (Pnp) Anticorps
AL024301 Anticorps
AU015798 Anticorps
NP Anticorps
Np Anticorps
Np-1 Anticorps
Np-2 Anticorps
Pnp1 Anticorps
PRO1837 Anticorps
PUNP Anticorps
Vous êtes ici:
Chat with us!