Tel:
+49 (0)241 95 163 153
Fax:
+49 (0)241 95 163 155
E-Mail:
orders@anticorps-enligne.fr

RAB27A Anticorps

(RAB27A, Member RAS Oncogene Family (RAB27A))

Choisissez l’un des 66 anticorps RAB27A de notre liste de produits basés sur 18 publications et 49 images de validation.

Découvrez des anticorps RAB27A fiables issus d’une large sélection de fabricants renommés. Notre portefeuille permet une détection précise de RAB27A dans plusieurs espèces, y compris Human, Mouse, Rat, Cow, Dog, Goat, Horse, Sheep, Guinea Pig, Monkey, Rabbit, Chicken, Pig, Cat, Donkey, Hamster, Zebrafish (Danio rerio), Avian, Bat, Xenopus laevis, et prend en charge diverses applications de recherche telles que WB, ELISA, IF, FACS, ICC.

Trouvez rapidement l’anticorps adapté grâce à nos outils de recherche, de filtrage et de comparaison. Chaque page produit fournit des données de validation détaillées, des références bibliographiques et des retours d’utilisateurs. Contrairement aux ressources dédiées uniquement à la comparaison, vous pouvez acheter directement les anticorps sur notre site. Choisissez parmi des anticorps polyclonaux, monoclonaux ou recombinants RAB27A, issus de différents hôtes tels que Rabbit, Mouse, Goat. Parcourez nos produits ci-dessous et commandez directement pour soutenir vos recherches en toute confiance.

Les noms alternatifs de RAB27A sont rab27a.L, RAB27A, rab27a, rab27a.S, Rab27a.

66 Résultats

RAB27A Reactivité: Humain WB, ELISA, IHC (p), RNAi Hôte: Souris Monoclonal 1G7 unconjugated
Pubmed 8 références
N° du produit ABIN562560
651,20 €
Plus frais de livraison 40,00 € et TVA
100 μg
Destination: France
Envoi sous 8 à 9 jours ouvrables
 
RAB27A Reactivité: Humain ELISA, IHC Hôte: Souris Monoclonal 7D7C9 unconjugated
N° du produit ABIN2683011
657,84 €
Plus frais de livraison 40,00 € et TVA
100 μL
Destination: France
Envoi sous 7 à 10 jours ouvrables
 
RAB27A Reactivité: Humain WB, IF Hôte: Lapin Polyclonal unconjugated
N° du produit ABIN3015733
385,00 €
Plus frais de livraison 40,00 € et TVA
100 μL (Autres quantités disponibles)
Destination: France
Envoi sous 8 à 10 jours ouvrables
 
RAB27A Reactivité: Humain, Souris, Rat WB, ELISA, IHC, FACS, ICC Hôte: Lapin Polyclonal unconjugated
N° du produit ABIN5692927
500,50 €
Plus frais de livraison 40,00 € et TVA
100 μg
Destination: France
Envoi sous 8 à 12 jours ouvrables
 
RAB27A Reactivité: Humain, Souris, Rat, Boeuf (Vache), Chévre, Cheval, Mouton, Chien, Cobaye, Lapin, Singe, Poulet, Porc, Cat, Âne, Hamster, Avian WB, IF, IHC (p), IHC (fro) Hôte: Chèvre Polyclonal unconjugated
Pubmed 3 références
N° du produit ABIN1440000
465,38 €
Plus frais de livraison 40,00 € et TVA
200 μg (Autres quantités disponibles)
Destination: France
Envoi sous 2 à 4 jours ouvrables
 
RAB27A Reactivité: Humain, Souris, Rat WB, ELISA, IHC Hôte: Lapin Polyclonal unconjugated
N° du produit ABIN7237627
449,00 €
Plus frais de livraison 40,00 € et TVA
200 μL (Autres quantités disponibles)
Destination: France
Envoi sous 9 à 13 jours ouvrables
 
RAB27A Reactivité: Humain ELISA, IHC, IF Hôte: Lapin Polyclonal unconjugated
N° du produit ABIN7167270
328,90 €
Plus frais de livraison 40,00 € et TVA
100 μg (Autres quantités disponibles)
Destination: France
Envoi sous 11 à 15 jours ouvrables
 
RAB27A Reactivité: Humain, Souris, Rat WB, ELISA, IHC, IF, ICC Hôte: Lapin Polyclonal unconjugated
N° du produit ABIN6264567
525,71 €
Plus frais de livraison 40,00 € et TVA
100 μL (Autres quantités disponibles)
Destination: France
Envoi sous 9 à 11 jours ouvrables
 
RAB27A Reactivité: Humain WB Hôte: Lapin Polyclonal RB42745 unconjugated
Pubmed 5 références
N° du produit ABIN1881720
434,77 €
Plus frais de livraison 40,00 € et TVA
400 μL (Autres quantités disponibles)
Destination: France
Envoi sous 14 à 17 jours ouvrables
 
KD Validated RAB27A Reactivité: Humain WB Hôte: Souris Monoclonal 24GB7165 unconjugated
N° du produit ABIN7800092
598,92 €
Plus frais de livraison 40,00 € et TVA
100 μL
Destination: France
Envoi sous 7 à 10 jours ouvrables
 
RAB27A Reactivité: Humain WB, FACS Hôte: Souris Monoclonal 9C6 unconjugated
N° du produit ABIN4913395
422,08 €
Plus frais de livraison 40,00 € et TVA
100 μL
Destination: France
Envoi sous 12 à 17 jours ouvrables
 
RAB27A Reactivité: Humain, Souris, Rat, Chien, Singe WB, IHC, IF, IHC (p) Hôte: Chèvre Polyclonal unconjugated
N° du produit ABIN2627455
512,07 €
Plus frais de livraison 40,00 € et TVA
200 μg
Destination: France
Envoi sous 15 à 20 jours ouvrables
 
RAB27A Reactivité: Humain WB Hôte: Souris Monoclonal 24GB8550 unconjugated
N° du produit ABIN7800093
394,31 €
Plus frais de livraison 40,00 € et TVA
100 μL
Destination: France
Envoi sous 7 à 10 jours ouvrables
 
RAB27A Reactivité: Humain WB, ELISA Hôte: Lapin Polyclonal unconjugated
N° du produit ABIN3032421
631,13 €
Plus frais de livraison 40,00 € et TVA
0.4 mL (Autres quantités disponibles)
Destination: France
Envoi sous 6 à 9 jours ouvrables
 
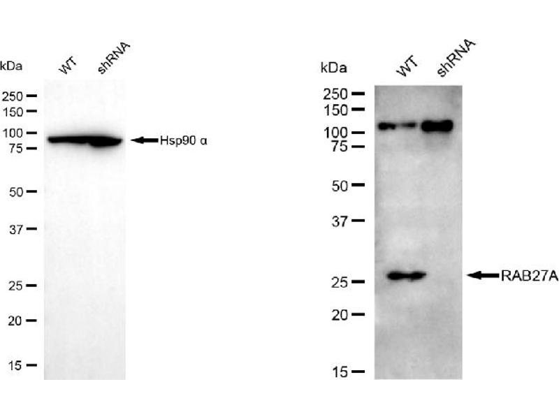
KO Validated RAB27A Reactivité: Humain, Souris, Rat WB, IP, IHC (p) Hôte: Lapin Polyclonal unconjugated
Pubmed 2 références
N° du produit ABIN1742354
415,38 €
Plus frais de livraison 40,00 € et TVA
50 μg
Destination: France
Envoi sous 2 à 3 jours ouvrables
 
RAB27A Reactivité: Humain, Souris, Rat WB, IHC, IF, FACS, ICC Hôte: Souris Monoclonal 2F5 unconjugated
N° du produit ABIN7602714
500,50 €
Plus frais de livraison 40,00 € et TVA
100 μg
Destination: France
Envoi sous 8 à 12 jours ouvrables
 
RAB27A Reactivité: Humain, Souris, Rat WB, ELISA Hôte: Lapin Polyclonal unconjugated
N° du produit ABIN6389188
377,51 €
Plus frais de livraison 40,00 € et TVA
100 μL (Autres quantités disponibles)
Destination: France
Envoi sous 8 à 10 jours ouvrables
 
RAB27A Reactivité: Humain ELISA, FACS Hôte: Lapin Monoclonal 200000000200000000 unconjugated Recombinant Antibody
N° du produit ABIN7542683
1.006,50 €
Plus frais de livraison 40,00 € et TVA
100 μL
Destination: France
Envoi sous 8 à 9 jours ouvrables
 
Cell Culture Grade RAB27A Reactivité: Humain WB, IF, FACS Hôte: Souris Monoclonal 1G7 FITC
N° du produit ABIN7662265
972,00 €
Plus frais de livraison 40,00 € et TVA
50 μg (Autres quantités disponibles)
Destination: France
Envoi sous 8 à 9 jours ouvrables
 
Cell Culture Grade RAB27A Reactivité: Humain WB, IF, FACS Hôte: Souris Monoclonal 1G7 PE
N° du produit ABIN7662266
972,00 €
Plus frais de livraison 40,00 € et TVA
50 μg (Autres quantités disponibles)
Destination: France
Envoi sous 8 à 9 jours ouvrables
 
  • Type Primary
    • Primary
  • Application
    • Western Blotting (WB)
    • ELISA
    • Immunofluorescence (IF)
    • Flow Cytometry (FACS)
    • Immunocytochemistry (ICC)
    • Immunoprecipitation (IP)
    • Immunohistochemistry (IHC)
    • Immunohistochemistry (Paraffin-embedded Sections) (IHC (p))
    • Immunofluorescence (Cultured Cells) (IF (cc))
    • Immunohistochemistry (Frozen Sections) (IHC (fro))
    • RNA Interference (RNAi)
  • Réactivité
    • Human
    • Mouse
    • Rat
    • Cow
    • Dog
    • Goat
    • Horse
    • Sheep
    • Guinea Pig
    • Monkey
    • Rabbit
    • Chicken
    • Pig
    • Cat
    • Donkey
    • Hamster
    • Zebrafish (Danio rerio)
    • Avian
    • Bat
    • Xenopus laevis
  • Cité dans publications
  • Images disponible
  • Sans conservateur uniquement
  • Carrier free only
  • Hote
    • Rabbit
    • Mouse
    • Goat
    • Sheep
  • Clonalité
    • Polyclonal
    • Monoclonal
  • Clone
    • 1G7
    • 200000000200000000
    • 21R29
    • 24GB7165
    • 24GB8550
    • 2E8
    • 2F5
    • 7D7C9
    • 9C6
    • 9F7
    • RB42745
  • Epitope
    • AA 136-164
    • AA 2-221
    • C-Term
    • AA 1-221
    • AA 122-221
    • AA 135-218
    • AA 90-170
    • AA 98-216
    • Middle Region
    • AA 1-215
    • AA 122-222
    • AA 91-140
    • full length
  • Conjugué
    • Inconjugué
    • Biotin
    • FITC
    • APC
    • Alexa Fluor 488
    • Alexa Fluor 555
    • Alexa Fluor 594
    • Alexa Fluor 647
    • Alexa Fluor 680
    • Alexa Fluor 750
    • HRP
    • PE
    • Alexa Fluor 350
    • Alexa Fluor 405
  • Isotype
    • IgG
    • IgG1
    • IgG2b
    • Ig Fraction
    • IgG1 kappa
  • Type Proteine
    • Recombinant Antibody
  • Format
    • Liquid
    • Lyophilized
  • Grade
    • Cell Culture Grade
    • KO Validated
    • KD Validated
    • KO Validated, KD Validated
  • Supplier
    • antibodies-online
    • Signalway
    • Boster Bio
    • Abbexa
    • Angio-Proteomie
    • Aviva Systems Biology
    • Cohesion Biosciences
    • NSJ Bioreagents
    • Synaptic Systems
    • USBio
    • Wuhan Fine biotech

Dernières publications pour nos RAB27A Anticorps

Alzahofi, Welz, Robinson, Page, Briggs, Stainthorp, Reekes, Elbe, Straub, Kallemeijn, Tate, Goff, Sviderskaya, Cantero, Montoliu, Nedelec, Miles, Bailly, Kerkhoff, Hume: "Rab27a co-ordinates actin-dependent transport by controlling organelle-associated motors and track assembly proteins." dans: Nature communications, Vol. 11, Issue 1, pp. 3495, (2020) (PubMed).

Yoon, Kovalenko, Bogdanov, Wallach: "MLKL, the Protein that Mediates Necroptosis, Also Regulates Endosomal Trafficking and Extracellular Vesicle Generation." dans: Immunity, Vol. 47, Issue 1, pp. 51-65.e7, (2017) (PubMed).

Pelkonen, Reinisalo, Morin-Picardat, Kidron, Urtti: "Isolation of Intact and Functional Melanosomes from the Retinal Pigment Epithelium." dans: PLoS ONE, Vol. 11, Issue 8, pp. e0160352, (2017) (PubMed).

Felicetti, De Feo, Coscia, Puglisi, Pedini, Pasquini, Bellenghi, Errico, Pagani, Carè: "Exosome-mediated transfer of miR-222 is sufficient to increase tumor malignancy in melanoma." dans: Journal of translational medicine, Vol. 14, pp. 56, (2016) (PubMed).

Reichhart, Markowski, Ishiyama, Wagner, Crespo-Garcia, Schorb, Ramalho, Milenkovic, Föckler, Seabra, Strauß: "Rab27a GTPase modulates L-type Ca2+ channel function via interaction with the II-III linker of CaV1.3 subunit." dans: Cellular signalling, Vol. 27, Issue 11, pp. 2231-40, (2016) (PubMed).

Hannafon, Carpenter, Berry, Janknecht, Dooley, Ding: "Exosome-mediated microRNA signaling from breast cancer cells is altered by the anti-angiogenesis agent docosahexaenoic acid (DHA)." dans: Molecular cancer, Vol. 14, pp. 133, (2015) (PubMed).

Hou, Ernst, Stuenkel, Lentz, Williams: "Rab27A Is Present in Mouse Pancreatic Acinar Cells and Is Required for Digestive Enzyme Secretion." dans: PLoS ONE, Vol. 10, Issue 5, pp. e0125596, (2015) (PubMed).

Cetica, Hackmann, Grieve, Sieni, Ciambotti, Coniglio, Pende, Gilmour, Romagnoli, Griffiths, Aricò: "Patients with Griscelli syndrome and normal pigmentation identify RAB27A mutations that selectively disrupt MUNC13-4 binding." dans: The Journal of allergy and clinical immunology, (2014) (PubMed).

Kimura, Yamaoka, Taniguchi, Okamoto, Takei, Ando, Iwamatsu, Watanabe, Kaibuchi, Ishizaki, Niki: "Activated Cdc42-bound IQGAP1 determines the cellular endocytic site." dans: Molecular and cellular biology, Vol. 33, Issue 24, pp. 4834-43, (2013) (PubMed).

Peinado, Ale?kovi?, Lavotshkin, Matei, Costa-Silva, Moreno-Bueno, Hergueta-Redondo, Williams, García-Santos, Ghajar, Nitadori-Hoshino, Hoffman, Badal, Garcia, Callahan, Yuan, Martins, Skog, Kaplan et al.: "Melanoma exosomes educate bone marrow progenitor cells toward a pro-metastatic phenotype through MET. ..." dans: Nature medicine, Vol. 18, Issue 6, pp. 883-91, (2012) (PubMed).

Pseudonymes pour RAB27A Anticorps

RAB27A, member RAS oncogene family L homeolog (rab27a.L) Anticorps
RAB27A, member RAS oncogene family (RAB27A) Anticorps
RAB27A, member RAS oncogene family (rab27a) Anticorps
RAB27A, member RAS oncogene family S homeolog (rab27a.S) Anticorps
RAB27A, member RAS oncogene family (Rab27a) Anticorps
2210402C08Rik Anticorps
2410003M20Rik Anticorps
4933437C11Rik Anticorps
ash Anticorps
gs2 Anticorps
GS2 Anticorps
hst18676 Anticorps
HsT18676 Anticorps
MGC80943 Anticorps
MGC89827 Anticorps
rab27 Anticorps
RAB27 Anticorps
RAB27A Anticorps
ram Anticorps
RAM Anticorps
zgc:114135 Anticorps
Vous êtes ici:
Chat with us!