Tel:
+49 (0)241 95 163 153
Fax:
+49 (0)241 95 163 155
E-Mail:
orders@anticorps-enligne.fr

SAMM50 Anticorps

(Sorting and Assembly Machinery Component 50 Homolog (SAMM50))

Choisissez l’un des 40 anticorps SAMM50 de notre liste de produits basés sur 1 publication et 26 images de validation.

Découvrez des anticorps SAMM50 fiables issus d’une large sélection de fabricants renommés. Notre portefeuille permet une détection précise de SAMM50 dans plusieurs espèces, y compris Human, Mouse, Rat, Cow, Dog, Guinea Pig, Horse, Rabbit, Zebrafish (Danio rerio), et prend en charge diverses applications de recherche telles que WB, IHC, ELISA, FACS, IF (p).

Trouvez rapidement l’anticorps adapté grâce à nos outils de recherche, de filtrage et de comparaison. Chaque page produit fournit des données de validation détaillées, des références bibliographiques et des retours d’utilisateurs. Contrairement aux ressources dédiées uniquement à la comparaison, vous pouvez acheter directement les anticorps sur notre site. Choisissez parmi des anticorps polyclonaux, monoclonaux ou recombinants SAMM50, issus de différents hôtes tels que Rabbit, Mouse. Parcourez nos produits ci-dessous et commandez directement pour soutenir vos recherches en toute confiance.

Les noms alternatifs de SAMM50 sont LOC413450, SAMM50, Samm50, samm50.

40 Résultats

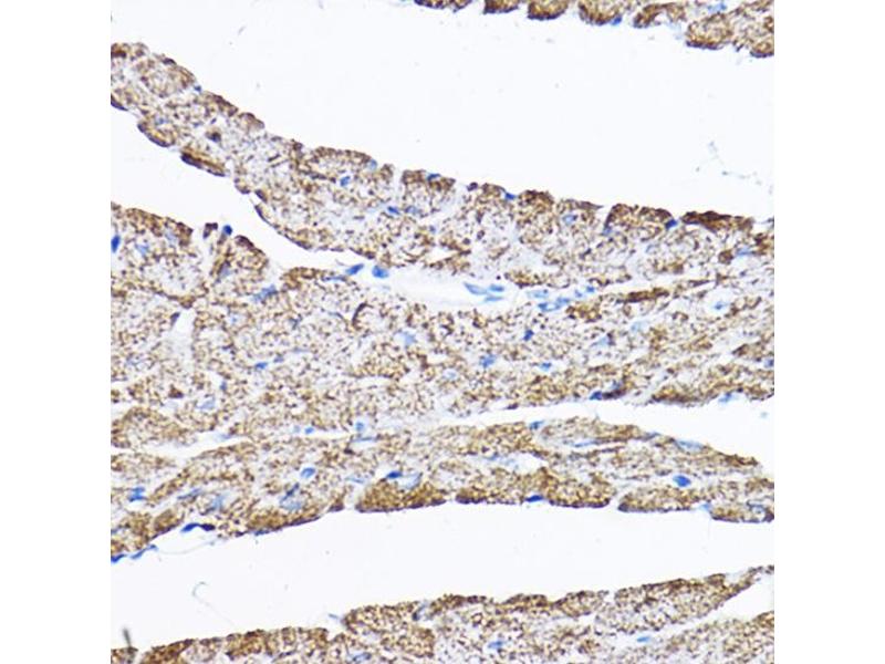
SAMM50 Reactivité: Humain WB, IHC Hôte: Lapin Monoclonal unconjugated
N° du produit ABIN7270501
330,00 €
Plus frais de livraison 40,00 € et TVA
100 μL (Autres quantités disponibles)
Destination: France
Envoi sous 8 à 10 jours ouvrables
 
SAMM50 Reactivité: Humain WB, IHC, IP Hôte: Lapin Polyclonal unconjugated
N° du produit ABIN1682619
320,00 €
Plus frais de livraison 40,00 € et TVA
100 μg (Autres quantités disponibles)
Destination: France
Envoi sous 8 à 10 jours ouvrables
 
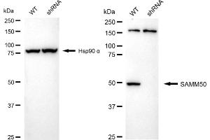
KD Validated SAMM50 Reactivité: Humain WB, FACS, IF (p) Hôte: Lapin Monoclonal 24GB1135 unconjugated Recombinant Antibody
N° du produit ABIN7800407
598,92 €
Plus frais de livraison 40,00 € et TVA
100 μL
Destination: France
Envoi sous 7 à 10 jours ouvrables
 
SAMM50 Reactivité: Humain WB, ELISA Hôte: Souris Monoclonal 2A9 unconjugated
Pubmed 1 reference
N° du produit ABIN525443
651,20 €
Plus frais de livraison 40,00 € et TVA
100 μg
Destination: France
Envoi sous 8 à 9 jours ouvrables
 
SAMM50 Reactivité: Humain WB, IHC, ELISA Hôte: Lapin Polyclonal unconjugated
N° du produit ABIN7170343
328,90 €
Plus frais de livraison 40,00 € et TVA
100 μL (Autres quantités disponibles)
Destination: France
Envoi sous 11 à 15 jours ouvrables
 
SAMM50 Reactivité: Humain WB Hôte: Lapin Polyclonal RB50095 unconjugated
N° du produit ABIN6243999
434,77 €
Plus frais de livraison 40,00 € et TVA
400 μL (Autres quantités disponibles)
Destination: France
Envoi sous 14 à 17 jours ouvrables
 
SAMM50 Reactivité: Humain WB Hôte: Lapin Polyclonal RB39857 unconjugated
N° du produit ABIN1537915
434,77 €
Plus frais de livraison 40,00 € et TVA
400 μL (Autres quantités disponibles)
Destination: France
Envoi sous 14 à 17 jours ouvrables
 
SAMM50 Reactivité: Humain WB, IHC, ELISA Hôte: Lapin Polyclonal unconjugated
N° du produit ABIN7571486
527,38 €
Plus frais de livraison 40,00 € et TVA
100 μg
Destination: France
Envoi sous 10 à 13 jours ouvrables
 
SAMM50 Reactivité: Humain WB, IHC (p) Hôte: Lapin Polyclonal unconjugated
N° du produit ABIN7469013
765,00 €
Plus frais de livraison 40,00 € et TVA
100 μL
Destination: France
Envoi sous 7 à 10 jours ouvrables
 
SAMM50 Reactivité: Humain, Souris, Rat WB Hôte: Lapin Polyclonal unconjugated
N° du produit ABIN7384190
250,00 €
Plus frais de livraison 40,00 € et TVA
60 μL
Destination: France
Envoi sous 9 à 13 jours ouvrables
 
SAMM50 Reactivité: Humain WB, ELISA Hôte: Lapin Polyclonal unconjugated
N° du produit ABIN2580071
1.328,20 €
Plus frais de livraison 40,00 € et TVA
200 μL
Destination: France
Envoi sous 15 à 20 jours ouvrables
 
SAMM50 Reactivité: Humain WB, ELISA Hôte: Lapin Polyclonal APC
N° du produit ABIN1932642
1.708,41 €
Plus frais de livraison 40,00 € et TVA
200 μL
Destination: France
Envoi sous 15 à 20 jours ouvrables
 
SAMM50 Reactivité: Humain WB, ELISA Hôte: Lapin Polyclonal Biotin
N° du produit ABIN1932641
1.708,41 €
Plus frais de livraison 40,00 € et TVA
200 μL
Destination: France
Envoi sous 15 à 20 jours ouvrables
 
SAMM50 Reactivité: Humain WB, ELISA Hôte: Lapin Polyclonal FITC
N° du produit ABIN1932643
1.708,41 €
Plus frais de livraison 40,00 € et TVA
200 μL
Destination: France
Envoi sous 15 à 20 jours ouvrables
 
SAMM50 Reactivité: Humain WB, ELISA Hôte: Lapin Polyclonal HRP
N° du produit ABIN1932645
1.708,41 €
Plus frais de livraison 40,00 € et TVA
200 μL
Destination: France
Envoi sous 15 à 20 jours ouvrables
 
SAMM50 Reactivité: Humain WB, ELISA Hôte: Lapin Polyclonal PE
N° du produit ABIN1932644
1.708,41 €
Plus frais de livraison 40,00 € et TVA
200 μL
Destination: France
Envoi sous 15 à 20 jours ouvrables
 
SAMM50 Reactivité: Humain, Souris, Rat WB, IHC, ELISA Hôte: Lapin Polyclonal unconjugated
N° du produit ABIN7119352
393,85 €
Plus frais de livraison 40,00 € et TVA
100 μg
Destination: France
Envoi sous 11 à 15 jours ouvrables
 
SAMM50 Reactivité: Humain, Souris, Rat, Boeuf (Vache), Chien, Cobaye, Cheval, Lapin, Poisson zèbre (Danio rerio) WB Hôte: Lapin Polyclonal unconjugated
N° du produit ABIN2790861
534,11 €
Plus frais de livraison 40,00 € et TVA
100 μL (Autres quantités disponibles)
Destination: France
Envoi sous 6 à 9 jours ouvrables
 
SAMM50 Reactivité: Humain WB, IHC Hôte: Lapin Monoclonal 27S60 unconjugated
N° du produit ABIN7606241
500,50 €
Plus frais de livraison 40,00 € et TVA
100 μL
Destination: France
Envoi sous 8 à 12 jours ouvrables
 
SAMM50 Reactivité: Humain, Souris WB, IHC, ELISA Hôte: Lapin Polyclonal unconjugated
N° du produit ABIN6098552
628,83 €
Plus frais de livraison 40,00 € et TVA
100 μL (Autres quantités disponibles)
Destination: France
Envoi sous 7 à 13 jours ouvrables
 
  • Type Primary
    • Primary
  • Application
    • Western Blotting (WB)
    • Immunohistochemistry (IHC)
    • ELISA
    • Flow Cytometry (FACS)
    • Immunofluorescence (Paraffin-embedded Sections) (IF (p))
    • Immunohistochemistry (Paraffin-embedded Sections) (IHC (p))
    • Immunoprecipitation (IP)
  • Réactivité
    • Human
    • Mouse
    • Rat
    • Cow
    • Dog
    • Guinea Pig
    • Horse
    • Rabbit
    • Zebrafish (Danio rerio)
  • Cité dans publications
  • Images disponible
  • Sans conservateur uniquement
  • Carrier free only
  • Hote
    • Rabbit
    • Mouse
  • Clonalité
    • Polyclonal
    • Monoclonal
  • Clone
    • 2A9
    • 24GB1135
    • 27S60
    • RB39857
    • RB50095
  • Epitope
    • AA 163-189
    • AA 1-220
    • AA 1-468
    • AA 1-469
    • AA 125-469
    • AA 162-189
    • AA 346-380
    • Center
    • Internal Region
    • N-Term
  • Conjugué
    • Inconjugué
    • Biotin
    • Alexa Fluor 488
    • Alexa Fluor 555
    • Alexa Fluor 594
    • Alexa Fluor 647
    • Alexa Fluor 680
    • Alexa Fluor 750
    • APC
    • Alexa Fluor 350
    • Alexa Fluor 405
    • FITC
    • HRP
    • PE
  • Isotype
    • IgG
    • Ig Fraction
    • IgG2b
    • IgG2b kappa
  • Type Proteine
    • Recombinant Antibody
  • Format
    • Liquid
  • Grade
    • KD Validated
  • Supplier
    • antibodies-online
    • Signalway
    • USBio
    • Abbexa
    • Aviva Systems Biology
    • Boster Bio
    • Cohesion Biosciences
    • ProteoGenix

Dernières publications pour nos SAMM50 Anticorps

Takamitsu, Otsuka, Haebara, Yano, Matsuzaki, Kobuchi, Moriya, Utsumi: "Identification of Human N-Myristoylated Proteins from Human Complementary DNA Resources by Cell-Free and Cellular Metabolic Labeling Analyses." dans: PLoS ONE, Vol. 10, Issue 8, pp. e0136360, (2015) (PubMed).

Joseph, Hood: "Plasticity of TOM complex assembly in skeletal muscle mitochondria in response to chronic contractile activity." dans: Mitochondrion, Vol. 12, Issue 2, pp. 305-12, (2012) (PubMed).

Pseudonymes pour SAMM50 Anticorps

sorting and assembly machinery component 50 homolog (LOC413450) Anticorps
SAMM50 sorting and assembly machinery component (SAMM50) Anticorps
SAMM50 sorting and assembly machinery component (Samm50) Anticorps
SAMM50 sorting and assembly machinery component (samm50) Anticorps
1110030L07Rik Anticorps
OMP85 Anticorps
SAM50 Anticorps
samm50a Anticorps
TOB55 Anticorps
TRG-3 Anticorps
YNL026W Anticorps
zgc:55803 Anticorps
Vous êtes ici:
Chat with us!