Tel:
+49 (0)241 95 163 153
Fax:
+49 (0)241 95 163 155
E-Mail:
orders@anticorps-enligne.fr

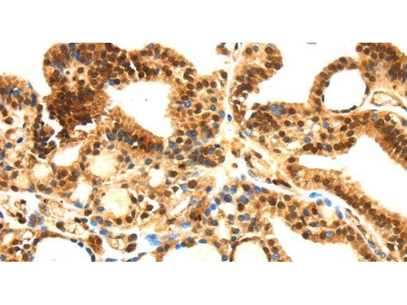
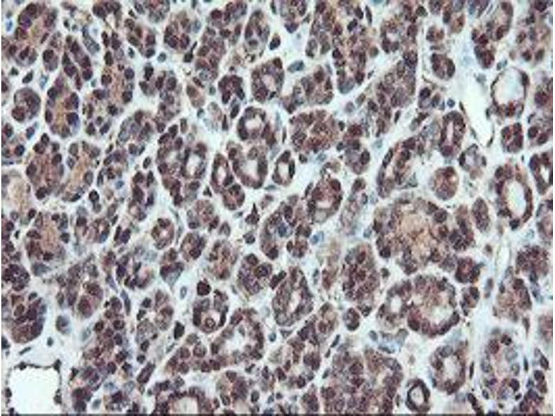
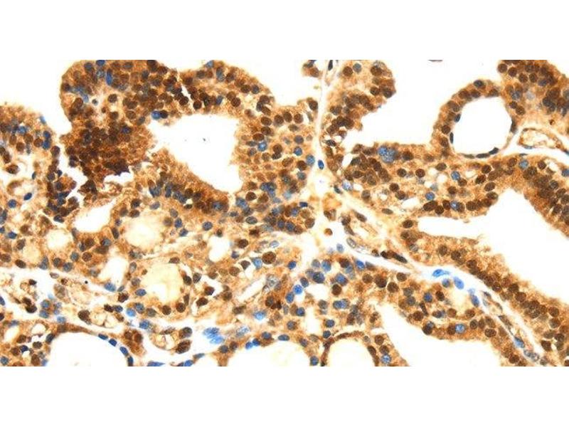
SERPINB1 Anticorps

(serpin Peptidase Inhibitor, Clade B (Ovalbumin), Member 1 (SERPINB1))

Choisissez l’un des 61 anticorps SERPINB1 de notre liste de produits basés sur 85 images de validation.

Découvrez des anticorps SERPINB1 fiables issus d’une large sélection de fabricants renommés. Notre portefeuille permet une détection précise de SERPINB1 dans plusieurs espèces, y compris Human, Mouse, Rat, Dog, Monkey, Pig, Sheep, Cow, Horse, et prend en charge diverses applications de recherche telles que WB, ELISA, IHC, ICC, IF.

Trouvez rapidement l’anticorps adapté grâce à nos outils de recherche, de filtrage et de comparaison. Chaque page produit fournit des données de validation détaillées, des références bibliographiques et des retours d’utilisateurs. Contrairement aux ressources dédiées uniquement à la comparaison, vous pouvez acheter directement les anticorps sur notre site. Choisissez parmi des anticorps polyclonaux, monoclonaux ou recombinants SERPINB1, issus de différents hôtes tels que Rabbit, Mouse, Goat. Parcourez nos produits ci-dessous et commandez directement pour soutenir vos recherches en toute confiance.

Les noms alternatifs de SERPINB1 sont SERPINB1, serpinb1, serpinb1.L.

61 Résultats

SERPINB1 Reactivité: Rat WB, IHC, IF, ICC Hôte: Lapin Polyclonal unconjugated
N° du produit ABIN7443074
330,65 €
Plus frais de livraison 40,00 € et TVA
100 μL (Autres quantités disponibles)
Destination: France
Envoi sous 11 à 15 jours ouvrables
 
SERPINB1 Reactivité: Souris WB, IHC, IF, ICC Hôte: Lapin Polyclonal unconjugated
N° du produit ABIN7435499
317,29 €
Plus frais de livraison 40,00 € et TVA
100 μL (Autres quantités disponibles)
Destination: France
Envoi sous 11 à 15 jours ouvrables
 
SERPINB1 Reactivité: Humain, Rat, Singe, Chien WB, IHC, FACS, IHC (p) Hôte: Souris Monoclonal 3B4 unconjugated
N° du produit ABIN1491670
806,47 €
Plus frais de livraison 40,00 € et TVA
100 μL
Destination: France
Envoi sous 15 à 20 jours ouvrables
 
SERPINB1 Reactivité: Humain, Rat, Chien WB, IHC, FACS, IHC (p) Hôte: Souris Monoclonal 4B3 unconjugated
N° du produit ABIN1491671
806,47 €
Plus frais de livraison 40,00 € et TVA
100 μL
Destination: France
Envoi sous 15 à 20 jours ouvrables
 
SERPINB1 Reactivité: Humain WB, IP Hôte: Lapin Polyclonal unconjugated
N° du produit ABIN515232
636,80 €
Plus frais de livraison 40,00 € et TVA
100 μL
Destination: France
Envoi sous 8 à 9 jours ouvrables
 
SERPINB1 Reactivité: Humain WB, IHC, ELISA, IF, IP Hôte: Lapin Polyclonal unconjugated
N° du produit ABIN7158247
328,90 €
Plus frais de livraison 40,00 € et TVA
100 μg (Autres quantités disponibles)
Destination: France
Envoi sous 11 à 15 jours ouvrables
 
SERPINB1 Reactivité: Humain WB, IHC, IF Hôte: Lapin Polyclonal unconjugated
N° du produit ABIN6147583
320,00 €
Plus frais de livraison 40,00 € et TVA
100 μL (Autres quantités disponibles)
Destination: France
Envoi sous 8 à 10 jours ouvrables
 
SERPINB1 Reactivité: Humain WB, ELISA, IF Hôte: Souris Monoclonal 4D7 unconjugated
N° du produit ABIN515235
651,20 €
Plus frais de livraison 40,00 € et TVA
100 μg
Destination: France
Envoi sous 8 à 9 jours ouvrables
 
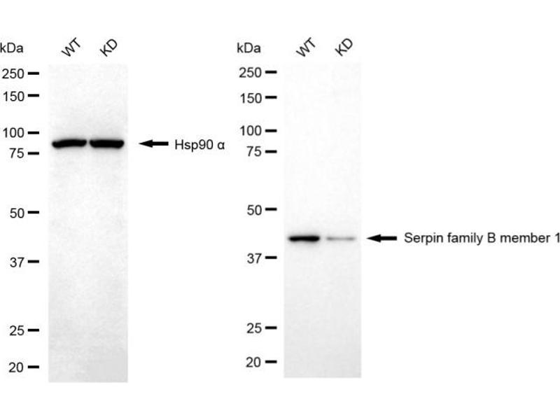
KD Validated SERPINB1 Reactivité: Humain WB, FACS Hôte: Souris Monoclonal 24GB6545 unconjugated
N° du produit ABIN7800319
598,92 €
Plus frais de livraison 40,00 € et TVA
100 μL
Destination: France
Envoi sous 7 à 10 jours ouvrables
 
KD Validated SERPINB1 Reactivité: Humain WB, FACS Hôte: Souris Monoclonal 24GB6540 unconjugated
N° du produit ABIN7800318
598,92 €
Plus frais de livraison 40,00 € et TVA
100 μL
Destination: France
Envoi sous 7 à 10 jours ouvrables
 
SERPINB1 Reactivité: Humain WB, IHC, ELISA Hôte: Lapin Polyclonal unconjugated
N° du produit ABIN7158251
328,90 €
Plus frais de livraison 40,00 € et TVA
100 μL (Autres quantités disponibles)
Destination: France
Envoi sous 11 à 15 jours ouvrables
 
SERPINB1 Reactivité: Humain, Singe, Chien WB Hôte: Souris Monoclonal 2B10 unconjugated
N° du produit ABIN1491673
806,47 €
Plus frais de livraison 40,00 € et TVA
100 μL
Destination: France
Envoi sous 15 à 20 jours ouvrables
 
SERPINB1 Reactivité: Humain WB, ELISA Hôte: Souris Monoclonal 4A7 unconjugated
N° du produit ABIN515234
651,20 €
Plus frais de livraison 40,00 € et TVA
100 μg
Destination: France
Envoi sous 8 à 9 jours ouvrables
 
SERPINB1 Reactivité: Humain WB Hôte: Souris Polyclonal unconjugated
N° du produit ABIN515231
651,20 €
Plus frais de livraison 40,00 € et TVA
50 μg
Destination: France
Envoi sous 8 à 9 jours ouvrables
 
SERPINB1 Reactivité: Humain WB, IHC, IP, ICC Hôte: Lapin Polyclonal unconjugated
N° du produit ABIN1868959
245,00 €
Plus frais de livraison 40,00 € et TVA
100 μL (Autres quantités disponibles)
Destination: France
Envoi sous 11 à 15 jours ouvrables
 
SERPINB1 Reactivité: Humain WB, ELISA, IF, ICC, FACS Hôte: Lapin Polyclonal unconjugated
N° du produit ABIN7601949
500,50 €
Plus frais de livraison 40,00 € et TVA
100 μg
Destination: France
Envoi sous 8 à 12 jours ouvrables
 
SERPINB1 Reactivité: Humain WB Hôte: Lapin Polyclonal unconjugated
N° du produit ABIN2855844
583,17 €
Plus frais de livraison 40,00 € et TVA
100 μL
Destination: France
Envoi sous 7 à 10 jours ouvrables
 
Verified SERPINB1 Reactivité: Humain WB, IHC, ELISA Hôte: Chèvre Polyclonal unconjugated
N° du produit ABIN1782170
488,25 €
Plus frais de livraison 40,00 € et TVA
100 μg
Destination: France
Envoi sous 5 à 8 jours ouvrables
 
Verified SERPINB1 Reactivité: Humain WB, IHC, ELISA Hôte: Chèvre Polyclonal unconjugated
N° du produit ABIN1782172
488,25 €
Plus frais de livraison 40,00 € et TVA
100 μg
Destination: France
Envoi sous 5 à 8 jours ouvrables
 
SERPINB1 Reactivité: Humain, Singe, Porc, Mouton WB Hôte: Lapin Polyclonal unconjugated
N° du produit ABIN6743639
789,41 €
Plus frais de livraison 40,00 € et TVA
100 μL
Destination: France
Envoi sous 15 à 20 jours ouvrables
 
  • Type Primary
    • Primary
  • Application
    • Western Blotting (WB)
    • ELISA
    • Immunohistochemistry (IHC)
    • Immunocytochemistry (ICC)
    • Immunofluorescence (IF)
    • Flow Cytometry (FACS)
    • Immunoprecipitation (IP)
    • Immunohistochemistry (Paraffin-embedded Sections) (IHC (p))
    • Enzyme Immunoassay (EIA)
    • Immunofluorescence (fixed cells) (IF/ICC)
  • Réactivité
    • Human
    • Mouse
    • Rat
    • Dog
    • Monkey
    • Pig
    • Sheep
    • Cow
    • Horse
  • Images disponible
  • Sans conservateur uniquement
  • Carrier free only
  • Hote
    • Rabbit
    • Mouse
    • Goat
  • Clonalité
    • Polyclonal
    • Monoclonal
  • Clone
    • 1D1
    • 24GB6540
    • 24GB6545
    • 2B10
    • 2B4
    • 3B4
    • 4A7
    • 4B3
    • 4D7
  • Epitope
    • AA 1-379
    • AA 168-196
    • AA 77-306
    • Center
    • AA 100-379
    • AA 13-252
    • AA 167-196
    • AA 17-332
    • Internal Region
    • Middle Region
    • AA 130-143
    • AA 184-368
    • AA 201-300
    • AA 215-264
    • AA 52-275
    • N-Term
  • Conjugué
    • Inconjugué
    • Biotin
    • FITC
    • Alexa Fluor 488
    • Alexa Fluor 555
    • Alexa Fluor 594
    • Alexa Fluor 647
    • Alexa Fluor 680
    • Alexa Fluor 750
    • HRP
    • APC
    • PE
  • Isotype
    • IgG
    • IgG2b
    • Ig Fraction
    • IgG2a
    • IgG1
  • Format
    • Liquid
    • Lyophilized
  • Grade
    • KD Validated
    • Verified
  • Supplier
    • antibodies-online
    • Signalway
    • Cohesion Biosciences
    • USBio
    • Abbexa
    • Acris
    • Aviva Systems Biology
    • Biomatik
    • Boster Bio
    • CUSABIO
    • Cloud-Clone
    • ProSci
    • RayBiotech

Dernières publications pour nos SERPINB1 Anticorps

Gallardo, Barrio, Fernandez, Paradela, Arenas, Toldos, Ayala, Albizua, Jimenez, Redondo, Garcia-Martin, Gilsanz, Albar, Martinez-Lopez: "Proteomic analysis reveals heat shock protein 70 has a key role in polycythemia Vera." dans: Molecular cancer, Vol. 12, pp. 142, (2013) (PubMed).

Pseudonymes pour SERPINB1 Anticorps

serpin peptidase inhibitor, clade B (ovalbumin), member 1 (SERPINB1) Anticorps
serpin family B member 1 (SERPINB1) Anticorps
serpin peptidase inhibitor, clade B (ovalbumin), member 1 (serpinb1) Anticorps
serpin family B member 1 L homeolog (serpinb1.L) Anticorps
EI Anticorps
ELANH2 Anticorps
elanh2 Anticorps
LEI Anticorps
lei Anticorps
M/NEI Anticorps
m/nei Anticorps
MNEI Anticorps
mnei Anticorps
PI-2 Anticorps
PI2 Anticorps
pi2 Anticorps
si:dkey-177p2.11 Anticorps
si:dkey-177p2.12 Anticorps
zgc:91981 Anticorps
Vous êtes ici:
Chat with us!