Tel:
+49 (0)241 95 163 153
Fax:
+49 (0)241 95 163 155
E-Mail:
orders@anticorps-enligne.fr

SLBP Anticorps

(Stem-Loop Binding Protein (SLBP))

Choisissez l’un des 23 anticorps SLBP de notre liste de produits basés sur 1 publication et 21 images de validation.

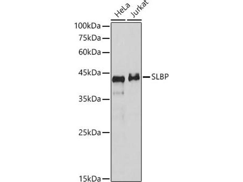
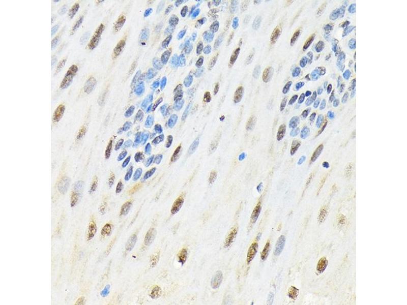
Découvrez des anticorps SLBP fiables issus d’une large sélection de fabricants renommés. Notre portefeuille permet une détection précise de SLBP dans plusieurs espèces, y compris Human, Dog, Mouse, Zebrafish (Danio rerio), Cow, Guinea Pig, Horse, Rat, Bat, Monkey, et prend en charge diverses applications de recherche telles que WB, IHC, IP, ICC, ELISA.

Trouvez rapidement l’anticorps adapté grâce à nos outils de recherche, de filtrage et de comparaison. Chaque page produit fournit des données de validation détaillées, des références bibliographiques et des retours d’utilisateurs. Contrairement aux ressources dédiées uniquement à la comparaison, vous pouvez acheter directement les anticorps sur notre site. Choisissez parmi des anticorps polyclonaux, monoclonaux ou recombinants SLBP, issus de différents hôtes tels que Rabbit, Mouse. Parcourez nos produits ci-dessous et commandez directement pour soutenir vos recherches en toute confiance.

Les noms alternatifs de SLBP sont Slbp, slbp, SLBP, LOC726745, EHI_178590, CpipJ_CPIJ008644, slbp.L.

23 Résultats

SLBP Reactivité: Humain, Souris, Rat WB, IHC, IF Hôte: Lapin Polyclonal unconjugated
N° du produit ABIN7075733
710,77 €
Plus frais de livraison 40,00 € et TVA
100 μL
Destination: France
Envoi sous 13 à 20 jours ouvrables
 
SLBP Reactivité: Humain WB, ELISA, IF Hôte: Souris Monoclonal 2C4-1C8 unconjugated
Pubmed 1 reference
N° du produit ABIN563497
846,56 €
Plus frais de livraison 40,00 € et TVA
100 μg
Destination: France
Envoi sous 8 à 9 jours ouvrables
 
KD Validated SLBP Reactivité: Humain WB, FACS Hôte: Lapin Monoclonal 25GB4485 unconjugated Recombinant Antibody
N° du produit ABIN7800436
598,92 €
Plus frais de livraison 40,00 € et TVA
100 μL
Destination: France
Envoi sous 7 à 10 jours ouvrables
 
SLBP Reactivité: Humain, Chien, Poisson zèbre (Danio rerio) WB Hôte: Lapin Polyclonal unconjugated
N° du produit ABIN633212
1.309,82 €
Plus frais de livraison 40,00 € et TVA
100 μL
Destination: France
Envoi sous 13 à 17 jours ouvrables
 
SLBP Reactivité: Humain, Boeuf (Vache), Chien, Poisson zèbre (Danio rerio), Cobaye, Cheval, Roussette (Chauve-souris), Singe WB Hôte: Lapin Polyclonal unconjugated
N° du produit ABIN6736294
848,83 €
Plus frais de livraison 40,00 € et TVA
100 μL
Destination: France
Envoi sous 15 à 20 jours ouvrables
 
SLBP Reactivité: Humain WB, IP Hôte: Lapin Polyclonal unconjugated
N° du produit ABIN7449822
576,62 €
Plus frais de livraison 40,00 € et TVA
100 μg (Autres quantités disponibles)
Destination: France
Envoi sous 7 à 10 jours ouvrables
 
SLBP Reactivité: Humain, Souris, Boeuf (Vache), Chien, Poisson zèbre (Danio rerio), Rat, Cobaye, Cheval WB, IHC Hôte: Lapin Polyclonal unconjugated
N° du produit ABIN2778993
534,11 €
Plus frais de livraison 40,00 € et TVA
100 μL (Autres quantités disponibles)
Destination: France
Envoi sous 6 à 9 jours ouvrables
 
KO Validated SLBP Reactivité: Humain WB, ICC, IF Hôte: Lapin Polyclonal unconjugated
N° du produit ABIN7464579
765,00 €
Plus frais de livraison 40,00 € et TVA
100 μL
Destination: France
Envoi sous 7 à 10 jours ouvrables
 
SLBP Reactivité: Humain, Boeuf (Vache) WB, IP Hôte: Lapin Polyclonal unconjugated
N° du produit ABIN1935371
1.017,50 €
Plus frais de livraison 40,00 € et TVA
100 μL (Autres quantités disponibles)
Destination: France
Envoi sous 15 à 20 jours ouvrables
 
SLBP Reactivité: Humain, Souris ELISA Hôte: Lapin Polyclonal unconjugated
N° du produit ABIN7095162
630,85 €
Plus frais de livraison 40,00 € et TVA
100 μL (Autres quantités disponibles)
Destination: France
Envoi sous 9 à 11 jours ouvrables
 
SLBP Reactivité: Humain, Chien, Poisson zèbre (Danio rerio) WB, ELISA Hôte: Lapin Polyclonal unconjugated
N° du produit ABIN2462218
763,13 €
Plus frais de livraison 40,00 € et TVA
100 μL
Destination: France
Envoi sous 6 à 9 jours ouvrables
 
SLBP Reactivité: Humain, Souris WB, IHC, ICC, ELISA, IF, FACS Hôte: Lapin Polyclonal unconjugated
N° du produit ABIN7600074
500,50 €
Plus frais de livraison 40,00 € et TVA
100 μg
Destination: France
Envoi sous 8 à 12 jours ouvrables
 
SLBP Reactivité: Humain WB, ELISA, IF Hôte: Souris Monoclonal 2C4-1C8 unconjugated
N° du produit ABIN2361395
933,96 €
Plus frais de livraison 40,00 € et TVA
100 μg
Destination: France
Envoi sous 15 à 22 jours ouvrables
 
SLBP Reactivité: Humain WB, IP, IHC, ICC Hôte: Lapin Monoclonal Alexa Fluor 405
N° du produit ABIN7779606
466,40 €
Plus frais de livraison 40,00 € et TVA
100 μL
Destination: France
Envoi sous 10 à 14 jours ouvrables
 
SLBP Reactivité: Humain WB, IP, IHC, ICC Hôte: Lapin Monoclonal Alexa Fluor 488
N° du produit ABIN7779607
466,40 €
Plus frais de livraison 40,00 € et TVA
100 μL
Destination: France
Envoi sous 10 à 14 jours ouvrables
 
SLBP Reactivité: Humain WB, IP, IHC, ICC Hôte: Lapin Monoclonal Alexa Fluor 555
N° du produit ABIN7779608
466,40 €
Plus frais de livraison 40,00 € et TVA
100 μL
Destination: France
Envoi sous 10 à 14 jours ouvrables
 
SLBP Reactivité: Humain WB, IP, IHC, ICC Hôte: Lapin Monoclonal Alexa Fluor 594
N° du produit ABIN7779609
466,40 €
Plus frais de livraison 40,00 € et TVA
100 μL
Destination: France
Envoi sous 10 à 14 jours ouvrables
 
SLBP Reactivité: Humain WB, IP, IHC, ICC Hôte: Lapin Monoclonal Alexa Fluor 647
N° du produit ABIN7779610
466,40 €
Plus frais de livraison 40,00 € et TVA
100 μL
Destination: France
Envoi sous 10 à 14 jours ouvrables
 
SLBP Reactivité: Humain WB, IP, IHC, ICC Hôte: Lapin Monoclonal Alexa Fluor 350
N° du produit ABIN7779605
466,40 €
Plus frais de livraison 40,00 € et TVA
100 μL
Destination: France
Envoi sous 10 à 14 jours ouvrables
 
SLBP Reactivité: Humain WB, IP, IHC, ICC Hôte: Lapin Monoclonal Alexa Fluor 680
N° du produit ABIN7779611
466,40 €
Plus frais de livraison 40,00 € et TVA
100 μL
Destination: France
Envoi sous 10 à 14 jours ouvrables
 
  • Type Primary
    • Primary
  • Application
    • Western Blotting (WB)
    • Immunohistochemistry (IHC)
    • Immunoprecipitation (IP)
    • Immunocytochemistry (ICC)
    • ELISA
    • Immunofluorescence (IF)
    • Flow Cytometry (FACS)
  • Réactivité
    • Human
    • Dog
    • Mouse
    • Zebrafish (Danio rerio)
    • Cow
    • Guinea Pig
    • Horse
    • Rat
    • Bat
    • Monkey
  • Cité dans publications
  • Images disponible
  • Carrier free only
  • Hote
    • Rabbit
    • Mouse
  • Clonalité
    • Monoclonal
    • Polyclonal
  • Clone
    • 2C4-1C8
    • 25GB4485
  • Epitope
    • AA 220-270
    • AA 1-270
    • AA 1-271
    • AA 142-191
    • AA 146-270
    • Middle Region
  • Conjugué
    • Inconjugué
    • Alexa Fluor 350
    • Alexa Fluor 405
    • Alexa Fluor 488
    • Alexa Fluor 555
    • Alexa Fluor 594
    • Alexa Fluor 647
    • Alexa Fluor 680
    • Alexa Fluor 750
    • Biotin
  • Isotype
    • IgG
    • IgG2a
    • IgG2a kappa
  • Type Proteine
    • Recombinant Antibody
  • Format
    • Liquid
    • Lyophilized
  • Grade
    • KD Validated
    • KO Validated
  • Supplier
    • Signalway
    • antibodies-online
    • Aviva Systems Biology
    • Boster Bio
    • Cohesion Biosciences
    • ProSci
    • USBio

Dernières publications pour nos SLBP Anticorps

Tan, Hagen: "Destabilization of CDC6 upon DNA damage is dependent on neddylation but independent of Cullin E3 ligases." dans: The international journal of biochemistry & cell biology, Vol. 45, Issue 7, pp. 1489-98, (2013) (PubMed).

Zheng, Dominski, Yang, Elms, Raska, Borchers, Marzluff et al.: "Phosphorylation of stem-loop binding protein (SLBP) on two threonines triggers degradation of SLBP, the sole cell cycle-regulated factor required for regulation of histone mRNA processing, at the end ..." dans: Molecular and cellular biology, Vol. 23, Issue 5, pp. 1590-601, (2003) (PubMed).

Whitfield, Zheng, Baldwin, Ohta, Hurt, Marzluff: "Stem-loop binding protein, the protein that binds the 3' end of histone mRNA, is cell cycle regulated by both translational and posttranslational mechanisms." dans: Molecular and cellular biology, Vol. 20, Issue 12, pp. 4188-98, (2000) (PubMed).

Pseudonymes pour SLBP Anticorps

stem-loop binding protein (Slbp) Anticorps
Stem-loop binding protein (Slbp) Anticorps
stem-loop binding protein (slbp) Anticorps
stem-loop binding protein (SLBP) Anticorps
histone RNA hairpin-binding protein (LOC726745) Anticorps
histone RNA hairpin-binding protein (EHI_178590) Anticorps
histone RNA hairpin-binding protein (CpipJ_CPIJ008644) Anticorps
histone RNA hairpin-binding protein (slbp) Anticorps
stem-loop binding protein L homeolog (slbp.L) Anticorps
cb157 Anticorps
CG11886 Anticorps
Dmel\\CG11886 Anticorps
dSLBP Anticorps
dSLPB Anticorps
GB13630 Anticorps
HBP Anticorps
sb:cb157 Anticorps
si:dkey-102m7.2 Anticorps
SLBP Anticorps
slbp Anticorps
slbp1 Anticorps
xslbp Anticorps
Vous êtes ici:
Chat with us!