Tel:
+49 (0)241 95 163 153
Fax:
+49 (0)241 95 163 155
E-Mail:
orders@anticorps-enligne.fr

Tubulin, beta Anticorps

(Tubulin, beta (TUBB))

Choisissez l’un des 232 anticorps TUBB de notre liste de produits basés sur 43 publications et 161 images de validation.

Découvrez des anticorps TUBB fiables issus d’une large sélection de fabricants renommés. Notre portefeuille permet une détection précise de TUBB dans plusieurs espèces, y compris Human, Mouse, Rat, Pig, Rabbit, Chicken, Monkey, Cow, Dog, Zebrafish (Danio rerio), Hamster, Drosophila melanogaster, Xenopus tropicalis, Saccharomyces cerevisiae, Xenopus laevis, Insect, Plant, Sheep, Arabidopsis thaliana, Fish, Goat, Horse, Tetrahymena, Arabidopsis, Bat, et prend en charge diverses applications de recherche telles que WB, FACS, IHC, IF, ELISA.

Trouvez rapidement l’anticorps adapté grâce à nos outils de recherche, de filtrage et de comparaison. Chaque page produit fournit des données de validation détaillées, des références bibliographiques et des retours d’utilisateurs. Contrairement aux ressources dédiées uniquement à la comparaison, vous pouvez acheter directement les anticorps sur notre site. Choisissez parmi des anticorps polyclonaux, monoclonaux ou recombinants TUBB, issus de différents hôtes tels que Rabbit, Mouse, Human. Parcourez nos produits ci-dessous et commandez directement pour soutenir vos recherches en toute confiance.

Les noms alternatifs de TUBB sont TUBB, czcC, tbb-6, tubb, LOC462399, betaTub56D, betaTub60D, betaTub85D, betaTub97EF, Tub1, Tub3, Tub2, Tub4, TVAG_525430, TVAG_062880, TVAG_456920, LOC100101153, TUBB6, Tb927.1.2330, Tb927.1.2350, Tb927.1.2370, Tb927.1.2390, tubb.L, Tubb, LOC693049, LOC443015, Tubb5.

232 Résultats

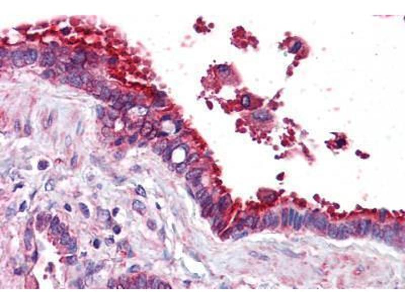
TUBB Reactivité: Humain, Souris, Porc, Plantes WB, ICC, IHC (fro) Hôte: Souris Monoclonal TU-13 unconjugated
Pubmed 2 références
N° du produit ABIN192340
324,85 €
Plus frais de livraison 40,00 € et TVA
100 μg
Destination: France
Envoi sous 2 à 4 jours ouvrables
 
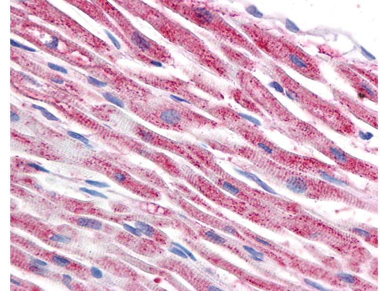
TUBB Reactivité: Humain, Souris, Rat, Lapin, Poulet, Boeuf (Vache), Grenouille WB, IHC, IF, IHC (p) Hôte: Souris Monoclonal unconjugated
N° du produit ABIN462130
732,58 €
Plus frais de livraison 40,00 € et TVA
50 μL
Destination: France
Envoi sous 15 à 20 jours ouvrables
 
TUBB Reactivité: Humain, Souris, Rat, Poulet, Singe WB, IHC, IF, ICC, FACS Hôte: Lapin Polyclonal unconjugated
Pubmed 3 références
N° du produit ABIN4886757
500,50 €
Plus frais de livraison 40,00 € et TVA
100 μg
Destination: France
Envoi sous 8 à 12 jours ouvrables
 
TUBB Reactivité: Humain, Souris, Rat WB, IF, IHC (p), IF (cc) Hôte: Souris Monoclonal 7D3 unconjugated
N° du produit ABIN4914532
422,08 €
Plus frais de livraison 40,00 € et TVA
100 μL
Destination: France
Envoi sous 12 à 17 jours ouvrables
 
TUBB Reactivité: Humain, Souris, Rat WB, IHC (p), IF (p) Hôte: Souris Monoclonal 7G3 unconjugated
N° du produit ABIN5675112
120,76 €
Plus frais de livraison 40,00 € et TVA
100 μL
Destination: France
Envoi sous 8 à 12 jours ouvrables
 
TUBB Reactivité: Humain, Souris, Rat WB, IF Hôte: Souris Monoclonal M7 unconjugated
N° du produit ABIN3181205
377,51 €
Plus frais de livraison 40,00 € et TVA
100 μL (Autres quantités disponibles)
Destination: France
Envoi sous 8 à 10 jours ouvrables
 
TUBB Reactivité: Humain WB, IF, ELISA Hôte: Souris Monoclonal AT5B2 unconjugated
N° du produit ABIN933080
839,49 €
Plus frais de livraison 40,00 € et TVA
100 μL
Destination: France
Envoi sous 13 à 17 jours ouvrables
 
TUBB Reactivité: Porc WB, IHC, ICC, IHC (p), Inhibition Hôte: Souris Monoclonal TU-06 unconjugated
N° du produit ABIN239815
512,07 €
Plus frais de livraison 40,00 € et TVA
50 μg
Destination: France
Envoi sous 15 à 20 jours ouvrables
 
TUBB Reactivité: Humain, Souris, Rat, Singe IHC, IF, ICC, IHC (p) Hôte: Lapin Monoclonal 9F3 Alexa Fluor 555
N° du produit ABIN305890
755,32 €
Plus frais de livraison 40,00 € et TVA
50 μL
Destination: France
Envoi sous 15 à 20 jours ouvrables
 
TUBB Reactivité: Humain WB, FACS Hôte: Souris Monoclonal 24GB7860 unconjugated
N° du produit ABIN7800667
394,31 €
Plus frais de livraison 40,00 € et TVA
100 μL
Destination: France
Envoi sous 7 à 10 jours ouvrables
 
TUBB Reactivité: Humain WB, FACS Hôte: Lapin Monoclonal 24GB7875 unconjugated Recombinant Antibody
N° du produit ABIN7800665
394,31 €
Plus frais de livraison 40,00 € et TVA
100 μL
Destination: France
Envoi sous 7 à 10 jours ouvrables
 
TUBB Reactivité: Humain WB, FACS Hôte: Lapin Monoclonal 24GB7895 unconjugated Recombinant Antibody
N° du produit ABIN7800666
394,31 €
Plus frais de livraison 40,00 € et TVA
100 μL
Destination: France
Envoi sous 7 à 10 jours ouvrables
 
TUBB Reactivité: Humain WB, IHC, ELISA Hôte: Lapin Polyclonal unconjugated
N° du produit ABIN3029339
631,13 €
Plus frais de livraison 40,00 € et TVA
0.4 mL (Autres quantités disponibles)
Destination: France
Envoi sous 6 à 9 jours ouvrables
 
TUBB Reactivité: Humain, Souris, Rat, Boeuf (Vache) WB, IHC, BI Hôte: Souris Monoclonal 5H1 unconjugated
Pubmed 5 références
N° du produit ABIN967495
212,22 €
Plus frais de livraison 40,00 € et TVA
0.1 mg
Destination: France
Envoi sous 12 à 15 jours ouvrables
 
TUBB Reactivité: Humain, Souris, Rat, Arabidopsis thaliana WB, IHC, IF Hôte: Lapin Polyclonal unconjugated
N° du produit ABIN7301420
169,23 €
Plus frais de livraison 40,00 € et TVA
100 μL (Autres quantités disponibles)
Destination: France
Envoi sous 17 à 20 jours ouvrables
 
TUBB Reactivité: Humain, Souris, Rat, Lapin, Poulet, Singe, Chien, Saccharomyces cerevisiae, Insectes, Mouton WB, IHC, IF Hôte: Souris Monoclonal unconjugated
N° du produit ABIN7305068
169,23 €
Plus frais de livraison 40,00 € et TVA
100 μL (Autres quantités disponibles)
Destination: France
Envoi sous 17 à 20 jours ouvrables
 
TUBB Reactivité: Humain, Souris, Rat WB, IF, ICC, FACS Hôte: Souris Monoclonal 5E4 unconjugated
N° du produit ABIN7602743
500,50 €
Plus frais de livraison 40,00 € et TVA
100 μg
Destination: France
Envoi sous 8 à 12 jours ouvrables
 
TUBB Reactivité: Humain, Souris, Rat WB, IHC, IF, ELISA, ICC Hôte: Lapin Polyclonal unconjugated
N° du produit ABIN3187378
377,51 €
Plus frais de livraison 40,00 € et TVA
100 μL (Autres quantités disponibles)
Destination: France
Envoi sous 8 à 10 jours ouvrables
 
TUBB Reactivité: Humain, Souris, Rat, Lapin, Singe, Chien, Boeuf (Vache), Hamster, Saccharomyces cerevisiae, Insectes, Mouton WB, IHC Hôte: Souris Monoclonal 5G3 HRP
N° du produit ABIN3188051
377,51 €
Plus frais de livraison 40,00 € et TVA
100 μL (Autres quantités disponibles)
Destination: France
Envoi sous 8 à 10 jours ouvrables
 
TUBB Reactivité: Humain, Souris WB, IHC (p) Hôte: Souris Monoclonal 5F7 unconjugated
N° du produit ABIN4997409
120,76 €
Plus frais de livraison 40,00 € et TVA
100 μL
Destination: France
Envoi sous 8 à 12 jours ouvrables
 
  • Type Primary
    • Primary
  • Application
    • Western Blotting (WB)
    • Flow Cytometry (FACS)
    • Immunohistochemistry (IHC)
    • Immunofluorescence (IF)
    • ELISA
    • Immunocytochemistry (ICC)
    • Immunofluorescence (Paraffin-embedded Sections) (IF (p))
    • Immunohistochemistry (Paraffin-embedded Sections) (IHC (p))
    • Immunofluorescence (Cultured Cells) (IF (cc))
    • Immunoprecipitation (IP)
    • Immunohistochemistry (Frozen Sections) (IHC (fro))
    • Dot Blot (DB)
    • Immunochromatography (IC)
    • Immunofluorescence (fixed cells) (IF/ICC)
    • BioImaging (BI)
    • Blocking Antibody (Inhibition)
    • Enzyme Immunoassay (EIA)
    • Immunohistochemistry (Formalin-fixed Paraffin-embedded Sections) (IHC (fp))
    • Immunostaining (ISt)
    • Intracellular Flow Cytometry (ICFC)
    • Immunohistochemistry (Whole Mount) (IHC (wm))
  • Réactivité
    • Human
    • Mouse
    • Rat
    • Pig
    • Rabbit
    • Chicken
    • Monkey
    • Cow
    • Dog
    • Zebrafish (Danio rerio)
    • Hamster
    • Drosophila melanogaster
    • Xenopus tropicalis
    • Saccharomyces cerevisiae
    • Xenopus laevis
    • Insect
    • Plant
    • Sheep
    • Arabidopsis thaliana
    • Fish
    • Goat
    • Horse
    • Tetrahymena
    • Arabidopsis
    • Bat
    • C. elegans
    • Chlamydomonas
    • Dictyostelium sp.
    • Guinea Pig
    • Nicotiana tabacum
    • Alfalfa
    • Bacteria
    • Carp
    • Chlamydomonas reinhardtii
    • Frog
    • Mammalian
    • Paramecium
    • Primate
    • Protozoa
    • Schizosaccharomyces pombe
  • Cité dans publications
  • Images disponible
  • Carrier free only
  • Hote
    • Rabbit
    • Mouse
    • Human
    • Goat
    • Human Cells
  • Clonalité
    • Monoclonal
    • Polyclonal
    • Chimeric
  • Clone
    • 7G3
    • S11B
    • TU-06
    • TUB-2
    • 5F7
    • 16E11D4
    • 3B3
    • 5G3
    • AT5B2
    • BT7R
    • C3
    • TU-12
    • TU-13
    • 13k134
    • 17T13
    • 17T15
    • 1E1-E8-H4
    • 1TUB-2A2
    • 24GB7860
    • 24GB7875
    • 24GB7895
    • 2E11
    • 2F11
    • 2G7D4
    • 3K5
    • 5E4
    • 5H1
    • 7C2
    • 7D3
    • 7H79
    • 87CT59-3-7
    • 8B2
    • 9F3
    • A488
    • BLR236K
    • C4
    • C4-2
    • C5
    • M7
    • Mix
    • PT0505R
    • RB55943
    • RB55944
    • RB57742
    • SPM178
  • Epitope
    • AA 61-160
    • AA 1-50
    • N-Term
    • C-Term
    • acLys379
    • AA 170-419
    • AA 1-100
    • AA 1-445
    • AA 200-444
    • AA 400-444
    • AA 401-450
    • AA 417-435
    • AA 46-78
    • Chain alpha
    • Chain beta
    • Gly434
    • AA 1-444
    • AA 160-447
    • AA 202-292
    • AA 238-429
    • AA 238-439
    • AA 298-328
    • AA 36-85
    • AA 370-450
    • AA 383-412
    • AA 4-31
    • AA 40-260
  • Conjugué
    • Inconjugué
    • Biotin
    • HRP
    • Alexa Fluor 555
    • Alexa Fluor 488
    • Alexa Fluor 594
    • Alexa Fluor 647
    • Alexa Fluor 680
    • Alexa Fluor 750
    • AbBy Fluor® 350
    • AbBy Fluor® 488
    • AbBy Fluor® 555
    • AbBy Fluor® 594
    • AbBy Fluor® 647
    • AbBy Fluor® 680
    • AbBy Fluor® 750
    • Cy3
    • Cy5
    • Cy5.5
    • Cy7
    • FITC
    • Alexa Fluor 350
    • Alexa Fluor 405
    • PE
    • Magnetic Particles
    • Sepharose
  • Isotype
    • IgG
    • IgG1
    • IgM
    • IgG2a
    • Ig Fraction
    • IgG2b
    • IgG2b kappa
    • IgG1 kappa
    • IgG2a kappa
    • kappa
    • Ig kappa
    • IgG lambda
    • IgG1 lambda
    • IgG2
    • IgG2 lambda
    • IgG3
    • IgG3 kappa
    • IgM kappa
  • Type Proteine
    • Recombinant Antibody
  • Format
    • Liquid
    • Lyophilized
  • Supplier
    • antibodies-online
    • Signalway
    • Cohesion Biosciences
    • USBio
    • Biomatik
    • Boster Bio
    • Agrisera
    • Abbexa
    • Acris
    • Enogene Biotech
    • CUSABIO
    • Covalab
    • NSJ Bioreagents
    • ProteoGenix
    • Abeomics
    • Assay Biotechnology Company, Inc.
    • Aviva Systems Biology
    • BD Biosciences
    • Elabscience
    • Epitope Biotech
    • RayBiotech

Dernières publications pour nos Tubulin, beta Anticorps

Xu, Sun, Zeng, Xu, Chen, Xu, Zhang, Cao, Tang, Wu, Kong, Zeng, Mao: "Anti-bacterial and anti-viral nanchangmycin displays anti-myeloma activity by targeting Otub1 and c-Maf." dans: Cell death & disease, Vol. 11, Issue 9, pp. 818, (2021) (PubMed).

Tan, Wang, Wang, Zeng, Hong, Li, Yang, Cai, Zheng, Wu, Gu: "Genome-Wide Analysis of H3K27me3 in Porcine Embryonic Muscle Development." dans: Frontiers in cell and developmental biology, Vol. 9, pp. 739321, (2021) (PubMed).

Feng, Zhao, Liu, Peng, Duan, Yan, Wu, Wang, Deng, Duan: "Role of Nrf2 in Lipopolysaccharide-Induced Acute Kidney Injury: Protection by Human Umbilical Cord Blood Mononuclear Cells." dans: Oxidative medicine and cellular longevity, Vol. 2020, pp. 6123459, (2021) (PubMed).

Niu, Zheng, Xue, Cheng, Liu, Wang, Hu, Zhang, Liu, Xu: "Two coupled mutations abolished the binding of CEBPB to the promoter of CXCL14 that displayed an antiviral effect on PRRSV by activating IFN signaling." dans: FASEB journal : official publication of the Federation of American Societies for Experimental Biology, Vol. 34, Issue 8, pp. 11257-11271, (2021) (PubMed).

Dai, Zhou, Zhang, Ge: "Bletilla striata Polysaccharide Prevents Restenosis of Vein Graft Through Inhibiting Cell Proliferation in Rat Model." dans: Cell transplantation, Vol. 29, pp. 963689720969173, (2021) (PubMed).

Tan, Hong, Qiao, Zhou, Xing, Yan, Zheng, Cai, Huang, Wu, Gu: "Identification and Expression Pattern of EZH2 in Pig Developing Fetuses." dans: BioMed research international, Vol. 2020, pp. 5315930, (2021) (PubMed).

Dong, Sun, Zhang, Li, Yuan, Mao, Liu: "Genetic deletion of Rnd3 suppresses apoptosis through NF‑κB signaling in the brain." dans: Oncology reports, Vol. 45, Issue 2, pp. 595-605, (2021) (PubMed).

Castle, Daude, Gilch, Westaway: "Application of high-throughput, capillary-based Western analysis to modulated cleavage of the cellular prion protein." dans: The Journal of biological chemistry, Vol. 294, Issue 8, pp. 2642-2650, (2019) (PubMed).

Hannen, Steffani, Voellger, Carl, Wang, Bartsch, Nimsky: "Effects of anti-estrogens on cell invasion and survival in pituitary adenoma cells: A systematic study." dans: The Journal of steroid biochemistry and molecular biology, Vol. 187, pp. 88-96, (2019) (PubMed).

Lee, Jun, Kim, Kim: "Astrocytic cystine/glutamate antiporter is a key regulator of erythropoietin expression in the ischemic retina." dans: FASEB journal : official publication of the Federation of American Societies for Experimental Biology, Vol. 33, Issue 5, pp. 6045-6054, (2019) (PubMed).

Pseudonymes pour Tubulin, beta Anticorps

tubulin beta class I (TUBB) Anticorps
putative cobalt-zinc-cadmium outer membrane resistance protein (czcC) Anticorps
Tubulin beta chain (tbb-6) Anticorps
tubulin beta class I (tubb) Anticorps
tubulin beta-2A chain (LOC462399) Anticorps
beta-Tubulin at 56D (betaTub56D) Anticorps
beta-Tubulin at 60D (betaTub60D) Anticorps
beta-Tubulin at 85D (betaTub85D) Anticorps
beta-Tubulin at 97EF (betaTub97EF) Anticorps
beta-tubulin (Tub1) Anticorps
beta-tubulin (Tub3) Anticorps
beta-tubulin (Tub2) Anticorps
beta-tubulin (Tub4) Anticorps
beta-tubulin (TVAG_525430) Anticorps
beta-tubulin (TVAG_062880) Anticorps
beta-tubulin (TVAG_456920) Anticorps
beta-tubulin (LOC100101153) Anticorps
tubulin beta 6 class V (TUBB6) Anticorps
beta tubulin (Tb927.1.2330) Anticorps
beta tubulin (Tb927.1.2350) Anticorps
beta tubulin (Tb927.1.2370) Anticorps
beta tubulin (Tb927.1.2390) Anticorps
tubulin beta class I L homeolog (tubb.L) Anticorps
tubulin beta class I (Tubb) Anticorps
beta-tubulin (LOC693049) Anticorps
beta-tubulin (LOC443015) Anticorps
tubulin, beta 5 class I (Tubb5) Anticorps
1t Anticorps
2t Anticorps
3t Anticorps
4t Anticorps
143391_i_at Anticorps
B1t Anticorps
B2t Anticorps
B3t Anticorps
B4t Anticorps
beta Anticorps
beta(2)Tu Anticorps
beta(2)Tub Anticorps
beta-Tub Anticorps
beta-tub Anticorps
beta-Tub6D Anticorps
beta-Tub56D Anticorps
beta-Tub60D Anticorps
beta-Tub85D Anticorps
beta-tub85D Anticorps
beta-Tub97EF Anticorps
beta-tubulin56D Anticorps
beta1 Anticorps
beta1-tub Anticorps
beta1-Tubulin Anticorps
beta1t Anticorps
beta1Tub Anticorps
beta1tub Anticorps
BETA2 Anticorps
beta2 Anticorps
beta2-tub Anticorps
beta2t Anticorps
beta2tub Anticorps
beta3 Anticorps
beta3 TU Anticorps
beta3-Tub Anticorps
beta3-tubulin Anticorps
beta3t Anticorps
beta3TUB Anticorps
beta3Tub Anticorps
beta4 Anticorps
beta4t Anticorps
BETA 56D Anticorps
beta56D Anticorps
beta60C Anticorps
BETA 60D Anticorps
BETA 85D Anticorps
beta85D Anticorps
beta97F Anticorps
BETA 98B Anticorps
betaTub Anticorps
betatub(56D) Anticorps
betaTub1 Anticorps
betaTub2 Anticorps
betaTub3 Anticorps
betaTub4 Anticorps
betaTub60C Anticorps
betatub60D Anticorps
betaTub98BC Anticorps
betaTub98C Anticorps
beta[[1]]-tubulin Anticorps
beta[[1]] tubulin Anticorps
beta[[2]]-tubulin Anticorps
beta[[3]]-Tub Anticorps
beta[[3]]-tubulin Anticorps
beta[[3]] tubulin Anticorps
bmtub1 Anticorps
bmtub2 Anticorps
bmtub3 Anticorps
bmtub4 Anticorps
CG3401 Anticorps
CG4869 Anticorps
CG9277 Anticorps
CG9359 Anticorps
D.m.BETA-60D Anticorps
D.m.BETA-85D Anticorps
Dmbeta1 Anticorps
Dmbeta2 Anticorps
Dmbeta3 Anticorps
Dmbeta4 Anticorps
Dmel\\CG3401 Anticorps
Dmel\\CG4869 Anticorps
Dmel\\CG9277 Anticorps
Dmel\\CG9359 Anticorps
DTB1 Anticorps
DTB2 Anticorps
DTB3 Anticorps
DTB4 Anticorps
LOC100101153 Anticorps
M40 Anticorps
m40 Anticorps
ms(3)KK[D] Anticorps
OK/SW-cl.56 Anticorps
ok/sw-cl.56 Anticorps
p50 Anticorps
p50/tubulin Anticorps
p53 Anticorps
p53/tubulin Anticorps
T Anticorps
Tub Anticorps
Tub1 Anticorps
Tub2 Anticorps
Tub3 Anticorps
Tub4 Anticorps
Tub60D Anticorps
TUBB Anticorps
TUBB1 Anticorps
tubb1 Anticorps
TUBB2A Anticorps
TUBB2B Anticorps
TUBB5 Anticorps
tubb5 Anticorps
Tubulin Anticorps
XLOT Anticorps
Vous êtes ici:
Chat with us!