Tel:
+49 (0)241 95 163 153
Fax:
+49 (0)241 95 163 155
E-Mail:
orders@anticorps-enligne.fr

Tyrosine Hydroxylase Anticorps

(Tyrosine Hydroxylase (TH))

Choisissez l’un des 192 anticorps Tyrosine Hydroxylase de notre liste de produits basés sur 1 480 publications et 110 images de validation.

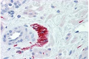
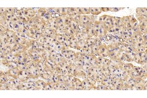
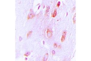
Découvrez des anticorps Tyrosine Hydroxylase fiables issus d’une large sélection de fabricants renommés. Notre portefeuille permet une détection précise de Tyrosine Hydroxylase dans plusieurs espèces, y compris Human, Rat, Mouse, Dog, Cow, Rabbit, Chicken, Mammalian, Guinea Pig, Monkey, Pig, Xenopus laevis, Zebrafish (Danio rerio), Bat, Cat, Drosophila melanogaster, Ferret, Alpaca, Amphibian, Aplysia californica, Avian, Bee, Blow Fly, Clams (Mytilus), Cockroach, et prend en charge diverses applications de recherche telles que WB, IHC, IF, ICC, ELISA.

Trouvez rapidement l’anticorps adapté grâce à nos outils de recherche, de filtrage et de comparaison. Chaque page produit fournit des données de validation détaillées, des références bibliographiques et des retours d’utilisateurs. Contrairement aux ressources dédiées uniquement à la comparaison, vous pouvez acheter directement les anticorps sur notre site. Choisissez parmi des anticorps polyclonaux, monoclonaux ou recombinants Tyrosine Hydroxylase, issus de différents hôtes tels que Rabbit, Mouse, Sheep. Parcourez nos produits ci-dessous et commandez directement pour soutenir vos recherches en toute confiance.

Les noms alternatifs de Tyrosine Hydroxylase sont TH, Th, ple, th, th.S, LOC100008895.

192 Résultats

TH Reactivité: Humain, Rat, Souris, Chien, Poulet, Lapin, Drosophila melanogaster, Porc, Poisson zèbre (Danio rerio), Xenopus laevis, Cobaye, Furet, Cat, Salmon, Salamander, Saccharomyces cerevisiae, Rongeurs, Caille, Polypterus senegalus, Pigeon, Phoronida, Parrot (Melopsittacus), Parrot, Opossum, Onchocerca, Triton, Zebra Finch, Mollusca, Sea Pansy, Sea Slug, Serinus canaria, Requin, Mouton, Musaraigne, Snail, Serpent, Moineau, Squirrel Monkey, Starling, Truite, Dindon, Tortue, Water Buffalo, Emu, Alpaca, Amphibien, Aplysia californica, Avian, Bee, Blow Fly, Clams (Mytilus), Cockroach, Morue, Corail, Crab, Crayfish, Cynomolgus, Echidna, Macrobrachium rosenbergii (Giant fresh water prawn), Poisson, Renard, Grenouille, Gecko, Gerbille, Poisson rouge, Guppy, Hamster, Iguana iguana, Lamprey, Sangsue, Lézard, Homard, Locust (Schistocerca) WB, IHC, IF, ICC, IEM Hôte: Souris Monoclonal LNC1 unconjugated
Pubmed 1443 références
N° du produit ABIN617906
577,50 €
Plus frais de livraison 40,00 € et TVA
0.1 mL
Destination: France
Envoi sous 6 à 9 jours ouvrables
 
TH Reactivité: Humain WB, IHC, ICC, IP Hôte: Lapin Polyclonal unconjugated
N° du produit ABIN7433633
298,22 €
Plus frais de livraison 40,00 € et TVA
100 μL (Autres quantités disponibles)
Destination: France
Envoi sous 11 à 15 jours ouvrables
 
TH Reactivité: Humain WB, IF, ICC, IHC (p), IHC (fro), IHC (wm) Hôte: Lapin Polyclonal unconjugated
N° du produit ABIN2855393
583,17 €
Plus frais de livraison 40,00 € et TVA
100 μL
Destination: France
Envoi sous 7 à 10 jours ouvrables
 
TH Reactivité: Humain, Rat, Souris WB, ELISA, IHC (p), IHC (fro), IF (cc), IF (p) Hôte: Lapin Polyclonal unconjugated
Pubmed 5 références
N° du produit ABIN723635
357,70 €
Plus frais de livraison 40,00 € et TVA
100 μL
Destination: France
Envoi sous 8 à 12 jours ouvrables
 
TH Reactivité: Humain, Rat, Souris WB, IHC, IF, ICC, ELISA Hôte: Lapin Polyclonal unconjugated
N° du produit ABIN6255304
525,71 €
Plus frais de livraison 40,00 € et TVA
100 μL (Autres quantités disponibles)
Destination: France
Envoi sous 9 à 11 jours ouvrables
 
TH Reactivité: Humain, Rat, Souris WB, IHC, IF, ICC, ELISA Hôte: Lapin Polyclonal unconjugated
N° du produit ABIN6255191
525,71 €
Plus frais de livraison 40,00 € et TVA
100 μL (Autres quantités disponibles)
Destination: France
Envoi sous 9 à 11 jours ouvrables
 
TH Reactivité: Humain WB, IHC, ELISA, FACS Hôte: Lapin Polyclonal unconjugated
N° du produit ABIN3029766
631,13 €
Plus frais de livraison 40,00 € et TVA
0.4 mL (Autres quantités disponibles)
Destination: France
Envoi sous 6 à 9 jours ouvrables
 
TH Reactivité: Rat WB, IHC, ICC, IP Hôte: Lapin Polyclonal unconjugated
N° du produit ABIN7433639
318,25 €
Plus frais de livraison 40,00 € et TVA
100 μL (Autres quantités disponibles)
Destination: France
Envoi sous 11 à 15 jours ouvrables
 
TH Reactivité: Humain, Rat, Souris WB, IHC, IF, ICC, ELISA Hôte: Lapin Polyclonal unconjugated
N° du produit ABIN6255056
525,71 €
Plus frais de livraison 40,00 € et TVA
100 μL (Autres quantités disponibles)
Destination: France
Envoi sous 9 à 11 jours ouvrables
 
TH Reactivité: Rat, Souris WB, IHC, IF Hôte: Lapin Polyclonal unconjugated
Pubmed 10 références
N° du produit ABIN3043947
500,50 €
Plus frais de livraison 40,00 € et TVA
100 μg
Destination: France
Envoi sous 8 à 12 jours ouvrables
 
TH Reactivité: Rat WB, IHC, ICC, ELISA Hôte: Mouton Polyclonal unconjugated
N° du produit ABIN361414
589,60 €
Plus frais de livraison 40,00 € et TVA
100 μL
Destination: France
Envoi sous 7 à 10 jours ouvrables
 
TH Reactivité: Rat WB, IHC, ICC, ELISA Hôte: Lapin Polyclonal unconjugated
Pubmed 5 références
N° du produit ABIN361502
589,60 €
Plus frais de livraison 40,00 € et TVA
100 μL
Destination: France
Envoi sous 7 à 10 jours ouvrables
 
Verified TH Reactivité: Humain IHC, ELISA Hôte: Chèvre Polyclonal unconjugated
N° du produit ABIN570916
488,25 €
Plus frais de livraison 40,00 € et TVA
100 μg
Destination: France
Envoi sous 5 à 8 jours ouvrables
 
TH Reactivité: Humain IHC Hôte: Lapin Monoclonal HMV312 unconjugated Recombinant Antibody
N° du produit ABIN7826153
348,46 €
Plus frais de livraison 40,00 € et TVA
100 μL (Autres quantités disponibles)
Destination: France
Envoi sous 3 à 5 jours ouvrables
 
TH Reactivité: Humain, Rat, Souris, Furet, Cat WB, IHC, IF, IP, ELISA, IHC (p), IHC (fro) Hôte: Lapin Polyclonal unconjugated
N° du produit ABIN462131
639,37 €
Plus frais de livraison 40,00 € et TVA
50 μL
Destination: France
Envoi sous 15 à 20 jours ouvrables
 
TH Reactivité: Humain, Rat, Souris WB, IHC, ELISA, IF/ICC Hôte: Lapin Polyclonal unconjugated
N° du produit ABIN1847900
453,66 €
Plus frais de livraison 40,00 € et TVA
100 μL (Autres quantités disponibles)
Destination: France
Envoi sous 7 à 13 jours ouvrables
 
TH Reactivité: Humain WB, IHC, FACS Hôte: Lapin Polyclonal unconjugated
N° du produit ABIN1683183
320,00 €
Plus frais de livraison 40,00 € et TVA
100 μg (Autres quantités disponibles)
Destination: France
Envoi sous 8 à 10 jours ouvrables
 
TH Reactivité: Humain, Rat WB, IHC, IF, IHC (p), IHC (fro) Hôte: Lapin Polyclonal unconjugated
N° du produit ABIN364267
512,07 €
Plus frais de livraison 40,00 € et TVA
50 μL
Destination: France
Envoi sous 15 à 20 jours ouvrables
 
TH Reactivité: Humain WB, IF Hôte: Souris Monoclonal 3G3 unconjugated
N° du produit ABIN1501369
806,47 €
Plus frais de livraison 40,00 € et TVA
100 μL
Destination: France
Envoi sous 15 à 20 jours ouvrables
 
TH Reactivité: Humain, Rat, Souris WB, IHC, IF, ELISA Hôte: Lapin Polyclonal unconjugated
N° du produit ABIN1531205
402,00 €
Plus frais de livraison 40,00 € et TVA
100 μL (Autres quantités disponibles)
Destination: France
Envoi sous 6 à 9 jours ouvrables
 
  • Type Primary
    • Primary
  • Application
    • Western Blotting (WB)
    • Immunohistochemistry (IHC)
    • Immunofluorescence (IF)
    • Immunocytochemistry (ICC)
    • ELISA
    • Immunoprecipitation (IP)
    • Immunohistochemistry (Paraffin-embedded Sections) (IHC (p))
    • Flow Cytometry (FACS)
    • Immunohistochemistry (Frozen Sections) (IHC (fro))
    • Immunofluorescence (Cultured Cells) (IF (cc))
    • Immunofluorescence (Paraffin-embedded Sections) (IF (p))
    • Fluorescence Microscopy (FM)
    • Immunochromatography (IC)
    • Immunofluorescence (fixed cells) (IF/ICC)
    • Dot Blot (DB)
    • Enzyme Immunoassay (EIA)
    • Immunoelectron Microscopy (IEM)
    • Immunohistochemistry (Whole Mount) (IHC (wm))
  • Réactivité
    • Human
    • Rat
    • Mouse
    • Dog
    • Cow
    • Rabbit
    • Chicken
    • Mammalian
    • Guinea Pig
    • Monkey
    • Pig
    • Xenopus laevis
    • Zebrafish (Danio rerio)
    • Bat
    • Cat
    • Drosophila melanogaster
    • Ferret
    • Alpaca
    • Amphibian
    • Aplysia californica
    • Avian
    • Bee
    • Blow Fly
    • Clams (Mytilus)
    • Cockroach
    • Cod
    • Coral
    • Crab
    • Crayfish
    • Cynomolgus
    • Echidna
    • Emu
    • Fish
    • Fox
    • Frog
    • Gecko
    • Gerbil
    • Goldfish
    • Guppy
    • Hamster
    • Iguana iguana
    • Lamprey
    • Leech
    • Lizard
    • Lobster
    • Locust (Schistocerca)
    • Macrobrachium rosenbergii (Giant fresh water prawn)
    • Mollusca
    • Newt
    • Non-Human Primate
    Please use search to find more...
  • Cité dans publications
  • Images disponible
  • Sans conservateur uniquement
  • Carrier free only
  • Hote
    • Rabbit
    • Mouse
    • Sheep
    • Chicken
    • Goat
  • Clonalité
    • Polyclonal
    • Monoclonal
  • Clone
    • LNC1
    • TH-100
    • 103E1
    • 185
    • 1B5
    • 3G3
    • 43F2
    • 45-Tyrosine Hydroxylase
    • 8B6
    • BLR155J
    • C5
    • HMV312
    • MAB16159
    • MAB186183
    • MAB221512
    • MAB23855
    • MAB259116
    • TOH A1-1
  • Epitope
    • pSer40
    • AA 101-165
    • pSer31
    • pSer19
    • N-Term
    • C-Term
    • AA 34-301
    • pSer71
    • pSer8
    • AA 139-155
    • AA 41-90
    • AA 1-20
    • AA 1-260
    • AA 1-50
    • AA 10-59
    • AA 115-160
    • AA 18-133
    • AA 193-222
    • AA 2-51
    • AA 278-401
    • AA 29-33
    • AA 32-47
    • AA 35-84
    • AA 45-214
    • AA 450-500
    • AA 486-514
    • AA 5-54
    • AA 82-310
    • Center
    • Gln25
    • Gly13
    • Middle Region
    • Phe34
    • Pro2
    • Ser19
    • Ser8
    • Tyr3
    • full length
    • pSer18
    • pSer62
    • total
  • Conjugué
    • Inconjugué
    • Biotin
    • Alexa Fluor 488
    • Alexa Fluor 555
    • Alexa Fluor 594
    • Alexa Fluor 647
    • Alexa Fluor 680
    • Alexa Fluor 750
    • Alexa Fluor 350
    • Alexa Fluor 405
    • HRP
    • Magnetic Particles
    • Sepharose
    • AbBy Fluor® 350
    • AbBy Fluor® 488
    • AbBy Fluor® 555
    • AbBy Fluor® 594
    • AbBy Fluor® 647
    • AbBy Fluor® 680
    • AbBy Fluor® 750
    • Cy3
    • Cy5
    • Cy5.5
    • Cy7
    • FITC
    • FL490
    • FL550
    • FL594
    • FL650
    • PE
  • Isotype
    • IgG
    • IgG1
    • IgY
    • Ig Fraction
    • IgG2a
    • IgG2a kappa
    • IgG2b
    • IgG2b kappa
    • IgM
    • IgG1 kappa
    • IgG2c kappa
  • Type Proteine
    • Recombinant Antibody
  • Format
    • Liquid
    • Lyophilized
  • Grade
    • Microarray verified
    • Carrier-free
    • Verified
  • Supplier
    • antibodies-online
    • Signalway
    • Antibodies Incorporated
    • Cohesion Biosciences
    • Acris
    • Assay Biotechnology Company, Inc.
    • ProSci
    • Rockland
    • USBio
    • Abbexa
    • Neuromics Antibodies
    • Synaptic Systems
    • Angio-Proteomie
    • BD Biosciences
    • Boster Bio
    • Cloud-Clone
    • Covalab
    • ImmunoStar
    • NSJ Bioreagents

Dernières publications pour nos Tyrosine Hydroxylase Anticorps

Chen, Liang, Gu, Xu, Xu, Wang, Hou, Xie, Chai, An: "Exosomes derived from mesenchymal stem cells repair a Parkinson's disease model by inducing autophagy." dans: Cell death & disease, Vol. 11, Issue 4, pp. 288, (2021) (PubMed).

Wang, Ye, Qian, Zhang, Mao, Yao, Sun, Lu, Zhang: "Stress increases MHC-I expression in dopaminergic neurons and induces autoimmune activation in Parkinson's disease." dans: Neural regeneration research, Vol. 16, Issue 12, pp. 2521-2527, (2021) (PubMed).

Richard, Kozlowski, Guillorit, Garnier, McKnight, Danchin, Manière: "Queuine, a bacterial-derived hypermodified nucleobase, shows protection in in vitro models of neurodegeneration." dans: PloS one, Vol. 16, Issue 8, pp. e0253216, (2021) (PubMed).

Zhu, Gao, Shan, Wang, Wang, Shao, Dou, Jiang, Wang, Cheng: "Apelin-36 mediates neuroprotective effects by regulating oxidative stress, autophagy and apoptosis in MPTP-induced Parkinson's disease model mice." dans: Brain research, Vol. 1726, pp. 146493, (2020) (PubMed).

Sanyal, Dutta, Camara, Chandran, Koller, Watson, Sengupta, Ysselstein, Montenegro, Cannon, Rochet, Mattoo: "Alpha-Synuclein Is a Target of Fic-Mediated Adenylylation/AMPylation: Possible Implications for Parkinson's Disease." dans: Journal of molecular biology, Vol. 431, Issue 12, pp. 2266-2282, (2020) (PubMed).

Wu, Song, Li, Lei, Zhang, Gao, Cheng, Liu, Miao, Bi, Yang, Pei: "Blockade of adrenergic β-receptor activation through local delivery of propranolol from a 3D collagen/polyvinyl alcohol/hydroxyapatite scaffold promotes bone repair in vivo." dans: Cell proliferation, Vol. 53, Issue 1, pp. e12725, (2020) (PubMed).

Zhu, Yu, Li, Xu, Qi, Yao, Ma, Wan, Chen, Li, Gong, Luo, Zhu: "MACS: Rapid Aqueous Clearing System for 3D Mapping of Intact Organs." dans: Advanced science (Weinheim, Baden-Wurttemberg, Germany), Vol. 7, Issue 8, pp. 1903185, (2020) (PubMed).

Kishinevsky, Wang, Rodina, Chung, Xu, Philip, Taldone, Joshi, Alpaugh, Bolaender, Gutbier, Sandhu, Fattahi, Zimmer, Shah, Chang, Inda, Koren, Saurat, Leist, Gross, Seshan, Klein, Tomishima et al.: "HSP90-incorporating chaperome networks as biosensor for disease-related pathways in patient-specific midbrain dopamine neurons. ..." dans: Nature communications, Vol. 9, Issue 1, pp. 4345, (2019) (PubMed).

Borkar, Bharne, Nagalakshmi, Sakharkar, Subhedar, Kokare: "Cocaine- and Amphetamine-Regulated Transcript Peptide (CART) Alleviates MK-801-Induced Schizophrenic Dementia-Like Symptoms." dans: Neuroscience, Vol. 375, pp. 94-107, (2019) (PubMed).

Rinaldi, Seguella, Gigli, Hanieh, Del Favero, Cantù, Pesce, Sarnelli, Marianecci, Esposito, Carafa: "inPentasomes: An innovative nose-to-brain pentamidine delivery blunts MPTP parkinsonism in mice." dans: Journal of controlled release : official journal of the Controlled Release Society, Vol. 294, pp. 17-26, (2019) (PubMed).

Pseudonymes pour Tyrosine Hydroxylase Anticorps

tyrosine hydroxylase (TH) Anticorps
tyrosine hydroxylase (Th) Anticorps
pale (ple) Anticorps
tyrosine 3-monooxygenase (th) Anticorps
tyrosine hydroxylase (th) Anticorps
tyrosine hydroxylase S homeolog (th.S) Anticorps
tyrosine hydroxylase (LOC100008895) Anticorps
CG10118 Anticorps
DH65B Anticorps
Dmel\\CG10118 Anticorps
DTH Anticorps
dTH1 Anticorps
dTH65B Anticorps
DYT5b Anticorps
dyt5b Anticorps
DYT14 Anticorps
dyt14 Anticorps
Pale Anticorps
pale/ple Anticorps
Ple Anticorps
TH Anticorps
Th Anticorps
th Anticorps
The Anticorps
TYH Anticorps
tyh Anticorps
VII Anticorps
Vous êtes ici:
Chat with us!