Tel:
+49 (0)241 95 163 153
Fax:
+49 (0)241 95 163 155
E-Mail:
orders@anticorps-enligne.fr

ZFPL1 Anticorps

(Zinc Finger Protein-Like 1 (ZFPL1))

Choisissez l’un des 29 anticorps ZFPL1 de notre liste de produits basés sur 7 images de validation.

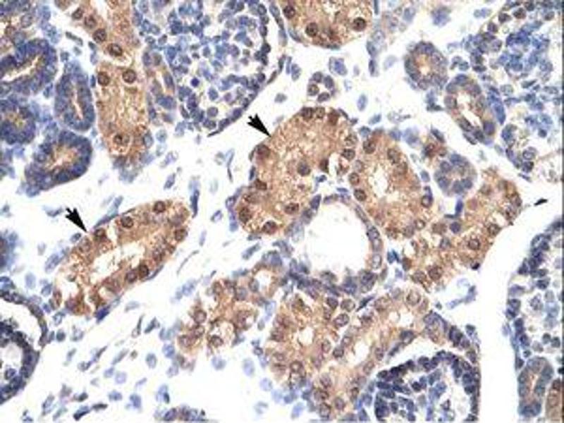
Découvrez des anticorps ZFPL1 fiables issus d’une large sélection de fabricants renommés. Notre portefeuille permet une détection précise de ZFPL1 dans plusieurs espèces, y compris Human, Mouse, Rat, Cow, Goat, Guinea Pig, Rabbit, Dog, Horse, Hamster, Pig, Zebrafish (Danio rerio), Monkey, et prend en charge diverses applications de recherche telles que WB, IF (cc), IF (p), ELISA, IHC (p).

Trouvez rapidement l’anticorps adapté grâce à nos outils de recherche, de filtrage et de comparaison. Chaque page produit fournit des données de validation détaillées, des références bibliographiques et des retours d’utilisateurs. Contrairement aux ressources dédiées uniquement à la comparaison, vous pouvez acheter directement les anticorps sur notre site. Choisissez parmi des anticorps polyclonaux, monoclonaux ou recombinants ZFPL1, issus de différents hôtes tels que Rabbit. Parcourez nos produits ci-dessous et commandez directement pour soutenir vos recherches en toute confiance.

Les noms alternatifs de ZFPL1 sont ZFPL1, Zfpl1, zfpl1, zfpl1.L.

29 Résultats

ZFPL1 Reactivité: Humain, Souris, Boeuf (Vache), Chévre, Cobaye, Lapin, Hamster, Porc WB, IHC (p), IHC Hôte: Lapin Polyclonal unconjugated
N° du produit ABIN6735842
789,41 €
Plus frais de livraison 40,00 € et TVA
100 μL
Destination: France
Envoi sous 15 à 20 jours ouvrables
 
ZFPL1 Reactivité: Humain, Souris, Rat, Boeuf (Vache), Chien, Chévre, Cobaye, Lapin, Cheval, Poisson zèbre (Danio rerio), Hamster, Porc, Singe WB Hôte: Lapin Polyclonal unconjugated
N° du produit ABIN6741424
789,41 €
Plus frais de livraison 40,00 € et TVA
100 μL
Destination: France
Envoi sous 15 à 20 jours ouvrables
 
ZFPL1 Reactivité: Humain, Souris, Rat, Boeuf (Vache), Chien, Chévre, Cobaye, Lapin, Cheval WB, IHC Hôte: Lapin Polyclonal unconjugated
N° du produit ABIN2775740
534,11 €
Plus frais de livraison 40,00 € et TVA
100 μL (Autres quantités disponibles)
Destination: France
Envoi sous 6 à 9 jours ouvrables
 
ZFPL1 Reactivité: Humain, Souris, Rat ELISA, IF (cc), IF (p), IHC (p), IHC (fro), ICC Hôte: Lapin Polyclonal unconjugated
N° du produit ABIN6989502
357,70 €
Plus frais de livraison 40,00 € et TVA
100 μL
Destination: France
Envoi sous 12 à 17 jours ouvrables
 
ZFPL1 Reactivité: Humain, Souris, Rat IF (cc), IF (p) Hôte: Lapin Polyclonal Cy5.5
N° du produit ABIN6985314
437,53 €
Plus frais de livraison 40,00 € et TVA
100 μL
Destination: France
Envoi sous 20 à 25 jours ouvrables
 
ZFPL1 Reactivité: Humain WB, ELISA Hôte: Lapin Polyclonal unconjugated
N° du produit ABIN2569231
1.328,20 €
Plus frais de livraison 40,00 € et TVA
200 μL
Destination: France
Envoi sous 15 à 20 jours ouvrables
 
ZFPL1 Reactivité: Humain WB, ELISA Hôte: Lapin Polyclonal Biotin
N° du produit ABIN1949807
1.708,41 €
Plus frais de livraison 40,00 € et TVA
200 μL
Destination: France
Envoi sous 15 à 20 jours ouvrables
 
ZFPL1 Reactivité: Humain WB, ELISA Hôte: Lapin Polyclonal FITC
N° du produit ABIN1949808
1.708,41 €
Plus frais de livraison 40,00 € et TVA
200 μL
Destination: France
Envoi sous 15 à 20 jours ouvrables
 
ZFPL1 Reactivité: Humain WB, ELISA Hôte: Lapin Polyclonal APC
N° du produit ABIN1949806
1.708,41 €
Plus frais de livraison 40,00 € et TVA
200 μL
Destination: France
Envoi sous 15 à 20 jours ouvrables
 
ZFPL1 Reactivité: Humain WB, ELISA Hôte: Lapin Polyclonal HRP
N° du produit ABIN1949804
1.708,41 €
Plus frais de livraison 40,00 € et TVA
200 μL
Destination: France
Envoi sous 15 à 20 jours ouvrables
 
ZFPL1 Reactivité: Humain WB, ELISA Hôte: Lapin Polyclonal PE
N° du produit ABIN1949809
1.708,41 €
Plus frais de livraison 40,00 € et TVA
200 μL
Destination: France
Envoi sous 15 à 20 jours ouvrables
 
ZFPL1 Reactivité: Humain, Souris, Rat IF (cc), IF (p) Hôte: Lapin Polyclonal AbBy Fluor® 350
N° du produit ABIN6976794
426,37 €
Plus frais de livraison 40,00 € et TVA
100 μL
Destination: France
Envoi sous 20 à 25 jours ouvrables
 
ZFPL1 Reactivité: Humain, Souris, Rat IF (cc), IF (p) Hôte: Lapin Polyclonal AbBy Fluor® 647
N° du produit ABIN6980170
426,37 €
Plus frais de livraison 40,00 € et TVA
100 μL
Destination: France
Envoi sous 20 à 25 jours ouvrables
 
ZFPL1 Reactivité: Humain, Souris, Rat IF (cc), IF (p) Hôte: Lapin Polyclonal AbBy Fluor® 555
N° du produit ABIN6978516
426,37 €
Plus frais de livraison 40,00 € et TVA
100 μL
Destination: France
Envoi sous 20 à 25 jours ouvrables
 
ZFPL1 Reactivité: Humain, Souris, Rat IF (cc), IF (p) Hôte: Lapin Polyclonal AbBy Fluor® 488
N° du produit ABIN6977655
426,37 €
Plus frais de livraison 40,00 € et TVA
100 μL
Destination: France
Envoi sous 20 à 25 jours ouvrables
 
ZFPL1 Reactivité: Humain, Souris, Rat IF (cc), IF (p) Hôte: Lapin Polyclonal AbBy Fluor® 750
N° du produit ABIN6982052
426,37 €
Plus frais de livraison 40,00 € et TVA
100 μL
Destination: France
Envoi sous 20 à 25 jours ouvrables
 
ZFPL1 Reactivité: Humain, Souris, Rat IF (cc), IF (p) Hôte: Lapin Polyclonal AbBy Fluor® 680
N° du produit ABIN6981080
426,37 €
Plus frais de livraison 40,00 € et TVA
100 μL
Destination: France
Envoi sous 20 à 25 jours ouvrables
 
ZFPL1 Reactivité: Humain, Souris, Rat IF (cc), IF (p) Hôte: Lapin Polyclonal AbBy Fluor® 594
N° du produit ABIN6979314
426,37 €
Plus frais de livraison 40,00 € et TVA
100 μL
Destination: France
Envoi sous 20 à 25 jours ouvrables
 
ZFPL1 Reactivité: Humain, Souris, Rat ELISA, IHC (p), IHC (fro) Hôte: Lapin Polyclonal Biotin
N° du produit ABIN6982702
419,50 €
Plus frais de livraison 40,00 € et TVA
100 μL
Destination: France
Envoi sous 20 à 25 jours ouvrables
 
ZFPL1 Reactivité: Humain, Souris, Rat IF (cc), IF (p) Hôte: Lapin Polyclonal Cy5
N° du produit ABIN6984453
437,53 €
Plus frais de livraison 40,00 € et TVA
100 μL
Destination: France
Envoi sous 20 à 25 jours ouvrables
 
  • Type Primary
    • Primary
  • Application
    • Western Blotting (WB)
    • Immunofluorescence (Cultured Cells) (IF (cc))
    • Immunofluorescence (Paraffin-embedded Sections) (IF (p))
    • ELISA
    • Immunohistochemistry (Paraffin-embedded Sections) (IHC (p))
    • Immunohistochemistry (Frozen Sections) (IHC (fro))
    • Immunohistochemistry (IHC)
    • Immunocytochemistry (ICC)
  • Réactivité
    • Human
    • Mouse
    • Rat
    • Cow
    • Goat
    • Guinea Pig
    • Rabbit
    • Dog
    • Horse
    • Hamster
    • Pig
    • Zebrafish (Danio rerio)
    • Monkey
  • Images disponible
  • Sans conservateur uniquement
  • Carrier free only
  • Hote
    • Rabbit
  • Clonalité
    • Polyclonal
  • Epitope
    • AA 31-130
    • AA 191-219
    • Center
    • Middle Region
    • AA 101-150
    • AA 190-219
    • C-Term
    • Internal Region
  • Conjugué
    • Inconjugué
    • Biotin
    • FITC
    • HRP
    • APC
    • AbBy Fluor® 350
    • AbBy Fluor® 488
    • AbBy Fluor® 555
    • AbBy Fluor® 594
    • AbBy Fluor® 647
    • AbBy Fluor® 680
    • AbBy Fluor® 750
    • Cy3
    • Cy5
    • Cy5.5
    • Cy7
    • PE
  • Isotype
    • IgG
    • Ig Fraction
  • Format
    • Liquid
    • Lyophilized
  • Supplier
    • antibodies-online
    • Aviva Systems Biology
    • Cohesion Biosciences
    • ProSci
    • RayBiotech
    • USBio

Dernières publications pour nos ZFPL1 Anticorps

Wong, Munro: "Membrane trafficking. The specificity of vesicle traffic to the Golgi is encoded in the golgin coiled-coil proteins." dans: Science (New York, N.Y.), Vol. 346, Issue 6209, pp. 1256898, (2014) (PubMed).

Pseudonymes pour ZFPL1 Anticorps

zinc finger protein like 1 (ZFPL1) Anticorps
zinc finger like protein 1 (Zfpl1) Anticorps
zinc finger protein-like 1 (zfpl1) Anticorps
zinc finger protein like 1 L homeolog (zfpl1.L) Anticorps
zinc finger protein like 1 (Zfpl1) Anticorps
zinc finger protein-like 1 (Zfpl1) Anticorps
1500015B20Rik Anticorps
D11S750 Anticorps
MCG4 Anticorps
zgc:63760 Anticorps
Vous êtes ici:
Chat with us!