×
Pour une meilleure utilisation, nous vous conseillons d’activer Javascript dans votre navigateur.
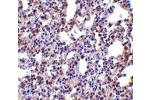
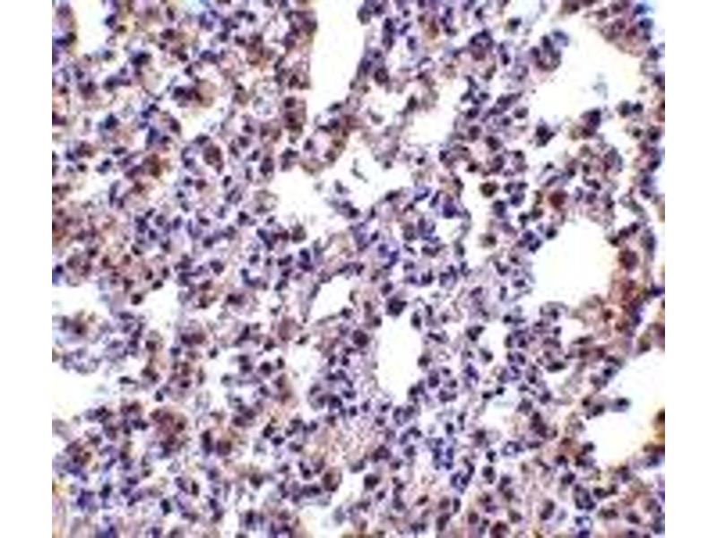
EIF2AK2 anticorps (C-Term)
L’anticorps anti-EIF2AK2 Polyclonal Lapin est utilisé pour la détection de EIF2AK2 dans des échantillons de Humain, Souris et Rat. Il a été validé pour WB, IHC et ELISA.
N° du produit ABIN1030589
539,00 €
Plus frais de livraison 40,00 € et TVA
Envoi sous 6 à 9 jours ouvrables
Aperçu rapide pour EIF2AK2 anticorps (C-Term) (ABIN1030589)
Antigène
Voir toutes EIF2AK2 Anticorps
EIF2AK2
(Eukaryotic Translation Initiation Factor 2-alpha Kinase 2 (EIF2AK2))
Reactivité
Toutes les réactivités sur EIF2AK2 Anticorps
Humain, Souris, Rat
Hôte
Toutes les hôtes sur EIF2AK2 Anticorps
Lapin
Clonalité
Toutes les clonalités sur EIF2AK2 Anticorps
Polyclonal
Conjugué
Tous les conjugués à travers EIF2AK2 Anticorps
Cet anticorp EIF2AK2 est non-conjugé
Application
Tous les applications à travers EIF2AK2 Anticorps.
Western Blotting (WB), Immunohistochemistry (IHC), ELISA
Détail du produit anti-EIF2AK2 anticorps
(cache)
Épitope
Tous les épitopes à travers EIF2AK2 Anticorps.
C-Term
Purification
Affinity chromatography purified via peptide column
Alternatives
(show)
Information d'application
(cache)
Indications d'application
PKR antibody can be used for detection of PKR by Western blot at 0.5 - 1 μg/mL.
Restrictions
For Research Use only
Stockage
(cache)
Format
Liquid
Concentration
1 mg/mL
Buffer
PBS
Agent conservateur
Sodium azide
Précaution d'utilisation
This product contains sodium azide: a POISONOUS AND HAZARDOUS SUBSTANCE which should be handled by trained staff only.
Stock
4 °C
Détails sur EIF2AK2
(cache)
Antigène
EIF2AK2
(Eukaryotic Translation Initiation Factor 2-alpha Kinase 2 (EIF2AK2))
Autre désignation
PKR
Pathways
Réparation de l'ADN , ER-Nucleus Signaling , Hepatitis C
Vus récemment
(cache)
Chat with us , powered by LiveChat