MEK1 anticorps
Aperçu rapide pour MEK1 anticorps (ABIN1499381)
Antigène
Voir toutes MEK1 (MAP2K1) AnticorpsReactivité
Hôte
Clonalité
Conjugué
Application
Clone
-
-
Specificité
- Human MEK1
-
Purification
- Protein A/G purified
-
Immunogène
-
Full length human recombinant protein of human MAP2K1(NP_002746) produced in HEK293T cell.
Type of Immunogen: Recombinant protein -
Isotype
- IgG1
-
-
-
-
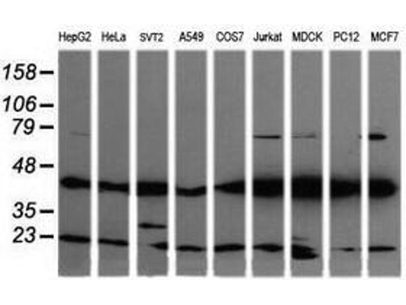
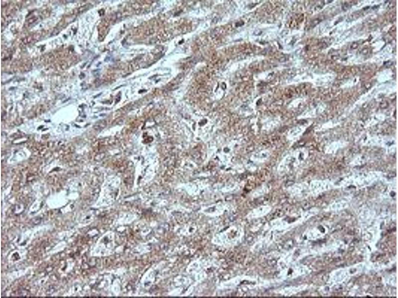
Indications d'application
- Approved: IF (1:100), IHC, IHC-P (1:150), WB (1:200 - 1:2000)
-
Commentaires
-
Target Species of Antibody: Human
-
Restrictions
- For Research Use only
-
-
-
Format
- Liquid
-
Concentration
- Lot specific
-
Buffer
- PBS, pH 7.3, 1 % BSA, 50 % glycerol, 0.02 % sodium azide
-
Agent conservateur
- Sodium azide
-
Précaution d'utilisation
- This product contains Sodium azide: a POISONOUS AND HAZARDOUS SUBSTANCE which should be handled by trained staff only.
-
Conseil sur la manipulation
- Minimize freezing and thawing.
-
Stock
- -20 °C
-
Stockage commentaire
- Store at -20°C. Avoid freeze-thaw cycles.
-
-
- MEK1 (MAP2K1) (Mitogen-Activated Protein Kinase Kinase 1 (MAP2K1))
-
Autre désignation
- MAP2K1 / MEK1
-
Sujet
-
Name/Gene ID: MAP2K1
Subfamily: MAP2K
Family: Protein Kinase
Synonyms: MAP2K1, ERK activator kinase 1, MAPK/ERK kinase 1, MAPKK 1, MKK1, PRKMK1, MEK 1, MAP kinase kinase 1, MAPKK1, MEK1 -
ID gène
- 5604
-
NCBI Accession
- NP_002746
-
UniProt
- Q02750
-
Pathways
- Signalisation MAPK, Signalisation RTK, Interferon-gamma Pathway, Fc-epsilon Receptor Signaling Pathway, Neurotrophin Signaling Pathway, Activation of Innate immune Response, Toll-Like Receptors Cascades, Autophagy, Signaling of Hepatocyte Growth Factor Receptor, BCR Signaling
Antigène
-