PPARA anticorps (AA 153-181)
Aperçu rapide pour PPARA anticorps (AA 153-181) (ABIN1811177)
Antigène
Voir toutes PPARA AnticorpsReactivité
Hôte
Clonalité
Conjugué
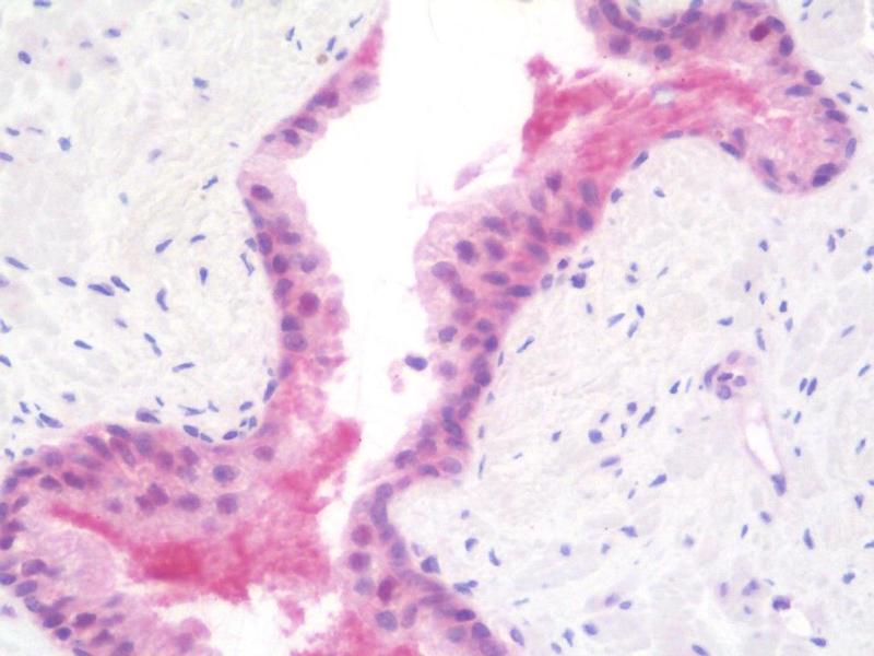
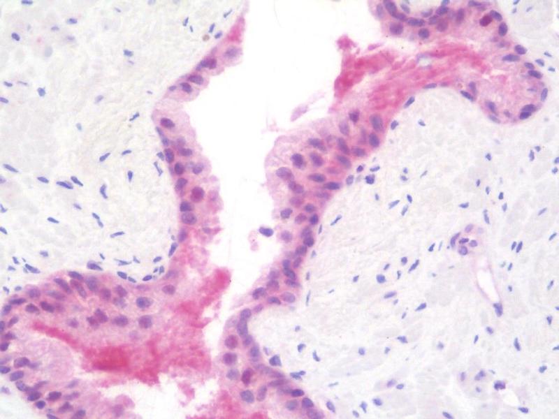
Application
-
-
Épitope
- AA 153-181
-
Specificité
- This PPARA antibody is generated from rabbits immunized with a KLH conjugated synthetic peptide between 153-181 amino acids from the Central region of human PPARA.
-
Purification
- Protein A purified
-
-
-
-
Indications d'application
- Approved: Flo (1:10 - 1:50), IHC, IHC-P (1:50), WB (1:1000)
-
Commentaires
-
Target Species of Antibody: Human
-
Restrictions
- For Research Use only
-
-
-
Format
- Liquid
-
Concentration
- Lot specific
-
Buffer
- PBS, 0.09 % sodium azide
-
Agent conservateur
- Sodium azide
-
Précaution d'utilisation
- This product contains Sodium azide: a POISONOUS AND HAZARDOUS SUBSTANCE which should be handled by trained staff only.
-
Stock
- 4 °C,-20 °C
-
Stockage commentaire
- Maintain refrigerated at 2-8°C for up to 6 months. For long term storage store at -20°C.
-
Date de péremption
- 6 months
-
-
- PPARA (Peroxisome Proliferator-Activated Receptor alpha (PPARA))
-
Autre désignation
- PPAR alpha
-
Sujet
-
Name/Gene ID: PPARA
Subfamily: NR1 Thyroid hormone-like
Family: NHR
Synonyms: PPARA, PPAR Alpha, PPARalpha, PPAR-alpha, NR1C1, HPPAR, PPAR -
ID gène
- 5465
-
UniProt
- Q07869
-
Pathways
- Nuclear Receptor Transcription Pathway, Steroid Hormone Mediated Signaling Pathway, Regulation of Lipid Metabolism by PPARalpha, Regulation of Carbohydrate Metabolic Process, Hepatitis C
Antigène
-