VEGFA
Reactivité: Humain
WB, ELISA, Neut
Hôte: Lapin
Polyclonal
unconjugated
Indications d'application
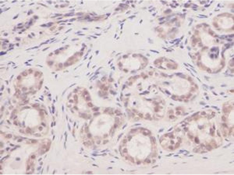
Neutralization: To yield one-half maximal inhibition [ND50] of the biological activity ofHuman VEGF (10 ng/mL), a concentration of 0.05-0.1 μg/mL of this antibody is required. Sandwich ELISA: To detect Human VEGF by Sandwich ELISA (using 100 μL/well antibodysolution) a concentration of 0.5-2.0 μg/mL is required. In conjunction with BiotinylatedAnti-Human VEGF (ABIN181546 or ABIN181545) as a Detection antibody, it allows thedetection of at least 0.2-0.4 ng/well of recombinant Human VEGF. Western Blot: To detect Human VEGF by Western Blot analysis this antibody can be used ata concentration of 0.1-0.2 μg/mL. Used in conjunction with compatible secondary reagentsthe detection limit for recombinant Human VEGF is 1.5-3.0 ng/lane, under either reducingor non-reducing conditions. Immunohistochemistry: 5.0-15.0 μg/mL with 30 minutes at RT or an overnight incubation at4 °C. This antibody stained Formalin-Fixed, Paraffin-Embedded sections of Human breastinvasive ductal carcinoma. An HRP-labeled polymer detection system was used with a DABchromogen. This antibody was also tested in an HRP-Biotin labeling detection system. Heat induced antigen retrieval with pH 6.0 Sodium Citrate buffer is recommended. Other applications not tested. Optimal dilutions are dependent on conditions and should be determined by the user.
Restrictions
For Research Use only
Reconstitution
Restore in sterile water to a concentration of 0.1-1.0 mg/mL.
Buffer
PBS, pH 7.2
Conseil sur la manipulation
Avoid repeated freezing and thawing.
Stock
-20 °C
Stockage commentaire
Store the lyophilized antibody at -20 °C. Following reconstitution it is stable for two weeks at 2-8 °C. Frozen aliquots are stable for 6 months when stored at -20 °C.
Date de péremption
6 months
Antigène
VEGFA
(Vascular Endothelial Growth Factor A (VEGFA))